• 2025年第14期文章目次
    全 选
    显示方式: |
    • >脑梗死专题·论著
    • 前后循环小动脉闭塞型脑梗死患者实施替罗非班治疗的效果评价

      2025, 35(14):1-5. DOI: 10.3969/j.issn.1005-8982.2025.14.001

      摘要 (269) HTML (188) PDF 571.65 K (124) 评论 (0) 收藏

      摘要:目的 探究前后循环小动脉闭塞型(SAO)脑梗死患者实施替罗非班治疗的效果。方法 选取2020年10月—2024年2月安徽医科大学附属阜阳医院收治的92例SAO脑梗死患者,所有患者行替罗非班治疗,根据血管闭塞部位分为前循环组(64例)、后循环组(28例)。比较两组患者基本资料、空腹血糖、甘油三酯、总胆固醇、低密度胆固醇、美国国立卫生研究院卒中量表(NIHSS)评分及改良Rankin量表(mRS)评分。结果 两组性别、年龄、合并高血压、甘油三酯、糖尿病、冠心病、总胆固醇、高脂血症、吸烟、饮酒、静脉溶栓治疗、空腹血糖、低密度胆固醇比较,差异均无统计学意义(P > 0.05)。前循环组治疗前后NIHSS评分的差值大于后循环组(P < 0.05)。前循环组mRS评分较后循环组降低(P < 0.05)。结论 与后循环SAO脑梗死相比,前循环SAO脑梗死患者实施替罗非班治疗可有效降低患者NIHSS评分,减轻神经功能损伤,改善预后。

    • 高分辨率磁共振血管壁成像对大动脉粥样硬化型脑梗死患者预后的预测价值

      2025, 35(14):6-11. DOI: 10.3969/j.issn.1005-8982.2025.14.002

      摘要 (238) HTML (91) PDF 666.45 K (111) 评论 (0) 收藏

      摘要:目的 探究高分辨率磁共振血管壁成像(HRMR-VWI)对大动脉粥样硬化型(LAA)脑梗死患者预后的预测价值。方法 回顾性选取2022年1月—2024年10月在宝鸡高新医院就诊的115例LAA脑梗死患者,所有患者行HRMR-VWI检查。对所有患者进行3个月的随访,根据3个月时的改良Rankin量表(mRS)评分分为预后良好组(74例)和预后不良组(41例)。比较两组患者临床资料,采用多因素逐步Logistic回归模型分析预后的独立影响因素,受试者工作特征(ROC)曲线分析HRMR-VWI对预后的预测价值。结果 预后不良组的年龄、美国国立卫生研究院卒中量表(NIHSS)评分、同型半胱氨酸(Hcy)水平、低密度脂蛋白水平、斑块体积、斑块负荷、狭窄率和血管重构指数、斑块内出血、脂质核心均高于预后良好组(P <0.05),纤维帽厚度低于预后良好组(P <0.05)。多因素逐步Logistic回归分析结果显示:NIHSS评分高[O^R=4.252(95% CI:1.999,9.042)]、Hcy水平高[O^R=1.105(95% CI:1.021,1.196)]、斑块体积大[O^R=2.528(95% CI:1.522,4.198)]、斑块负荷大[O^R=2.913(95% CI:1.493,5.683)]、狭窄率高[O^R=5.220(95% CI:1.922,14.172)]、血管重构指数高[O^R=1.884(95% CI:1.307,2.714)]、斑块内出血[O^R=3.168(95% CI:1.393,7.201)]均为LAA脑梗死患者预后不良的危险因素(P <0.05)。ROC曲线结果显示,HRMR-VWI参数斑块体积、负荷、狭窄率、血管重构指数、斑块内出血及5项联合预测患者预后的敏感性分别为70.7%、65.9%、75.6%、73.2%、61.0%、90.2%,特异性分别为74.3%、70.3%、73.0%、68.9%、75.7%、86.5%,曲线下面积分别为0.792、0.770、0.809、0.790、0.683、0.952。结论 HRMR-VWI参数斑块体积、负荷、狭窄率、血管重构指数是LAA脑梗死患者预后的独立影响因素,HRMR-VWI检查对患者预后有一定的预测价值。

      • 0+1
    • 颈内动脉支架植入对次全闭塞脑梗死亚急性期患者血流灌注及神经功能的影响

      2025, 35(14):12-18. DOI: 10.3969/j.issn.1005-8982.2025.14.003

      摘要 (187) HTML (40) PDF 681.47 K (101) 评论 (0) 收藏

      摘要:目的 研究颈内动脉支架植入术对次全闭塞脑梗死亚急性期患者的血流灌注及神经功能的影响,并评价其在增加脑血流、促进神经功能康复方面的作用。方法 回顾性分析2022年1月—2024年1月双鸭山双矿医院收治的80例次全闭塞脑梗死亚急性期患者,根据治疗方式分为对照组与观察组,每组40例。对照组患者接受常规内科治疗,观察组患者接受常规内科治疗联合脑保护伞下球囊扩张+支架植入术。对两组患者血流灌注参数、简易智能精神状态检查量表(MMSE)评分、美国国立卫生研究院脑卒中量表(NIHSS)评分、血液流变学指标、血浆黏度(PV)、红细胞聚集指数(EAI)、纤维蛋白原(FIB)、神经功能因子水平及改良Rankin量表(mRS)评分进行比较。结果 观察组与对照组术前、术后1 d、术后6个月的脑血流量(CBF)、脑血容量(CBV)、MMSE评分、NIHSS评分比较,结果 ①不同时间点CBF、MMSE评分、NIHSS评分比较,差异均有统计学意义(P < 0.05);不同时间点CBV水平比较,差异无统计学意义(P > 0.05)。②观察组与对照组CBF、MMSE评分、NIHSS评分比较,差异均有统计学意义(P <0.05);观察组与对照组CBV水平比较,差异无统计学意义(P > 0.05)。③两组CBF、MMSE评分变化趋势比较,差异均有统计学意义(P < 0.05);两组CBV、NIHSS评分变化趋势比较,差异均无统计学意义(P > 0.05)。观察组患者手术前后椎动脉收缩期峰流速、基底动脉收缩期峰流速、颈内动脉收缩期峰流速、颈总动脉收缩期峰流速的差值均大于对照组(P < 0.05)。观察组患者手术前后PV、EAI、FIB的差值均大于对照组(P < 0.05)。观察组患者手术前后S100β蛋白、神经生长因子、脑源性神经生长因子的差值均大于对照组(P < 0.05)。对照组mRS评分等级高于观察组(P < 0.05)。观察组与对照组高灌注综合征、支架内血栓形成、局部血肿、感染并发症发生率比较,差异均无统计学意义(P > 0.05)。结论 颈内动脉支架植入术可作为次全闭塞脑梗死亚急性期患者的一种有效治疗手段。

    • 依达拉奉右莰醇注射用浓溶液联合丁苯酞氯化钠注射液治疗高龄前循环急性脑梗死患者的效果及对预后的影响

      2025, 35(14):19-24. DOI: 10.3969/j.issn.1005-8982.2025.14.004

      摘要 (309) HTML (219) PDF 646.40 K (111) 评论 (0) 收藏

      摘要:目的 探讨依达拉奉右莰醇注射用浓溶液联合丁苯酞氯化钠注射液治疗高龄前循环急性脑梗死患者的效果及对预后的影响。方法 选取2020年3月—2022年8月在联勤保障部队第904医院就诊的82例高龄前循环急性脑梗死患者,以随机数字表法将患者分成对照组、研究组,各41例。两组均接受基础治疗,对照组在此基础上采用丁苯酞氯化钠注射液治疗,研究组在对照组基础上采用依达拉奉右莰醇注射用浓溶液治疗。两组均治疗14 d。对比两组神经功能、临床疗效、血管内皮功能、血液流变学及不良反应,随访3个月,对比两组短期预后。结果 研究组治疗前后神经元特异性烯醇化酶、美国国立卫生院神经功能缺损评分的差值均大于对照组(P < 0.05)。研究组总有效率高于对照组(P < 0.05)。研究组治疗前后VEGF水平的差值大于对照组(P < 0.05)。研究组治疗前后红细胞压积、血小板聚集率的差值均大于对照组(P < 0.05)。研究组与对照组总不良反应发生率比较,差异无统计学意义(P > 0.05)。研究组治疗前后改良Rankin量表评分的差值大于对照组(P < 0.05)。研究组与对照组病死率比较,差异无统计学意义(P > 0.05)。结论 依达拉奉右莰醇注射用浓溶液联合丁苯酞氯化钠注射液可改善高龄前循环急性脑梗死患者血管内皮功能、血液流变学、神经功能,疗效显著,安全可靠,且短期预后良好。

    • 舒血宁注射液联合依达拉奉右莰醇在急性脑梗死静脉溶栓治疗中的应用效果

      2025, 35(14):25-30. DOI: 10.3969/j.issn.1005-8982.2025.14.005

      摘要 (210) HTML (226) PDF 654.50 K (105) 评论 (0) 收藏

      摘要:目的 探讨舒血宁注射液联合依达拉奉右莰醇在急性脑梗死静脉溶栓治疗中的应用效果。方法 选取2022年6月—2023年12月在张家口市第一医院就诊的152例急性脑梗死患者作为研究对象,将患者随机分为联合组和对照组,各76例。两组均接受标准溶栓治疗,对照组辅以依达拉奉右莰醇,联合组在对照组基础上加用舒血宁注射液。对比两组的临床疗效、氧化应激水平、血清炎症标志物、血流动力学参数及不良反应。结果 联合组治疗前后一氧化氮、丙二醛、活性氧簇的差值均大于对照组(P <0.05)。联合组治疗前后总抗氧化能力、超氧化物歧化酶的差值均大于对照组(P <0.05)。联合组治疗前后肿瘤坏死因子-α、超敏C反应蛋白、白细胞介素-6、白细胞介素-8的差值均大于对照组(P <0.05)。血流动力学方面,联合组治疗前后平均血流速度、血管搏动指数、血管阻力指数的差值均大于对照组(P <0.05)。对照组不良反应总发生率高于联合组(P <0.05)。结论 舒血宁注射液与依达拉奉右莰醇联合静脉溶栓治疗急性脑梗死,可显著提升治疗效果,优化血流动力学,减轻氧化应激与炎症反应,且安全性良好,值得临床推广。

    • >实验研究·论著
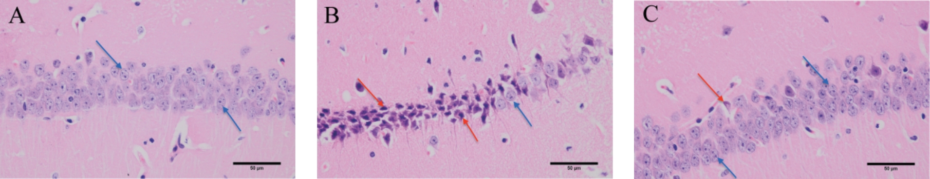
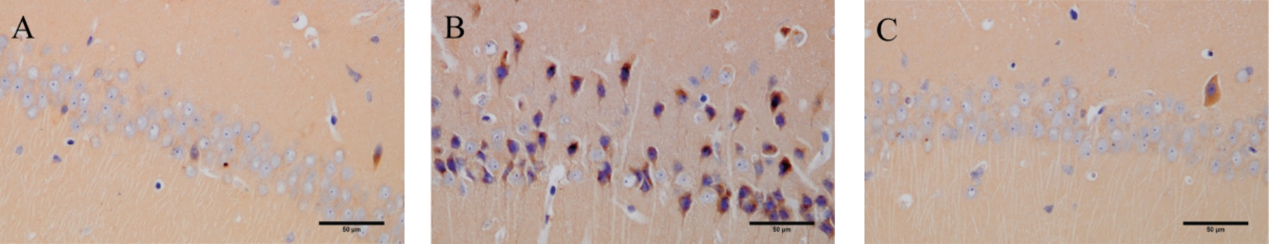
    • HSP90介导线粒体分裂抗阿尔茨海默病的作用机制研究

      2025, 35(14):31-37. DOI: 10.3969/j.issn.1005-8982.2025.14.006

      摘要 (309) HTML (115) PDF 2.05 M (120) 评论 (0) 收藏

      摘要:目的 以HSP90/PGAM5/DRP1通路为切入点,探讨其介导线粒体分裂抗阿尔茨海默病(AD)的作用机制。方法 将小鼠随机分为3组:对照组(C57BL/6J)、模型组(APP/PS1双转基因)、HSP90抑制剂组(模型+HSP90抑制剂干预)。通过Morris水迷宫实验评估小鼠学习记忆能力;HE染色观察海马组织病理形态;ELISA检测血清肿瘤坏死因子-α(TNF-α)、白细胞介素-4(IL-4)水平;免疫组织化学染色检测p-MLKL阳性表达;Western blotting检测海马组织Tau蛋白磷酸化、HSP90/PGAM5/DRP1通路相关蛋白表达。结果 模型组小鼠逃避潜伏期长于对照组(P <0.05),穿越平台次数少于对照组(P <0.05);HSP90抑制剂组小鼠逃避潜伏期短于模型组(P <0.05),穿越平台次数多于模型组(P <0.05)。海马组织出现病理性改变。模型组小鼠海马组织p-MLKL阳性表达量高于对照组(P <0.05);HSP90抑制剂组小鼠海马组织p-MLKL阳性表达量低于模型组(P <0.05)。与对照组相比,模型组小鼠海马组织IL-4水平降低(P <0.05),TNF-α水平升高(P <0.05);与模型组相比,HSP90抑制剂组小鼠海马组织IL-4水平升高(P <0.05),TNF-α水平降低(P <0.05)。与对照组相比,模型组小鼠海马组织HSP90、PGAM5、p-MLKL/MLKL、p-Drp1/Drp1、p-Tau蛋白表达量均升高(P <0.05),MFN1、MFN2、ATP5a蛋白表达量均降低(P <0.05);与模型组比较,HSP90抑制剂组小鼠海马组织HSP90、PGAM5、p-MLKL/MLKL、p-Drp1/Drp1、p-Tau蛋白表达量均降低(P <0.05),MFN1、MFN2、ATP5a蛋白表达量均升高(P <0.05)。结论 HSP90/PGAM5/DRP1通路通过介导线粒体分裂参与AD进程,抑制该通路可显著减轻AD病理变化、抑制神经炎症并改善认知功能,为AD治疗提供新靶点。

      • 0+1
      • 1+1
      • 2+1
    • >综述
    • 人工智能在急诊医学中的应用进展

      2025, 35(14):38-43. DOI: 10.3969/j.issn.1005-8982.2025.14.007

      摘要 (359) HTML (381) PDF 614.44 K (126) 评论 (0) 收藏

      摘要:急诊医学作为应对急性疾病和创伤的医学分支,面临病情复杂性、诊疗效率需求高等挑战。近年人工智能技术的快速发展为急诊诊疗提供了重要支持,其通过深度学习模型和大数据分析,显著提高疾病诊断准确性、改善患者分诊流程、优化资源配置,并助力个性化治疗方案的制订。然而,当前人工智能的临床应用仍面临诸多挑战。未来研究应重点关注跨机构数据共享机制、模型优化及安全性验证,并探索基于人工智能的决策支持系统在急诊环境中的全面应用。

    • N6-甲基腺苷修饰及其在肺动脉高压中的研究进展

      2025, 35(14):44-48. DOI: 10.3969/j.issn.1005-8982.2025.14.008

      摘要 (205) HTML (109) PDF 574.76 K (86) 评论 (0) 收藏

      摘要:N6-甲基腺苷(m6A)修饰是一种常见的RNA甲基化修饰,在许多的病理生理过程中起重要作用,与许多疾病的发生、发展密切相关,主要由甲基转移酶、去甲基化酶和m6A结合蛋白调节。肺动脉高压是一种常见的慢性呼吸系统疾病,且发病率较高,其主要病理特征是肺血管重塑,但发病机制尚不完全明确,并缺乏根治的方法。越来越多的证据表明,m6A修饰作为一种持续动态调节,可对肺动脉高压的特定基因表达和病理生理过程产生影响,参与肺动脉高压的发生、发展。通过对m6A修饰及其相关蛋白在肺动脉高压中的分子机制的研究,为肺动脉高压的治疗提供新思路和靶点。

    • >临床研究·论著
    • 帕瑞昔布钠超前镇痛对宫腔镜手术患者术后疼痛、炎症反应指标的影响

      2025, 35(14):49-54. DOI: 10.3969/j.issn.1005-8982.2025.14.009

      摘要 (195) HTML (80) PDF 662.08 K (108) 评论 (0) 收藏

      摘要:目的 探讨帕瑞昔布钠超前镇痛对宫腔镜手术患者术后疼痛及炎症反应指标的影响。方法 选取2022年5月—2024年5月江南大学附属医院接收的92例宫腔镜手术患者为研究对象。通过随机数字表法,将患者分为对照组(常规麻醉)和观察组(帕瑞昔布钠超前镇痛),各46例。比较两组患者的疼痛及舒适度指标、炎症指标、氧化应激指标、镇静与恢复指标及不良反应发生情况。结果 观察组与对照组术后2、12和24 h的视觉模拟评分法(VAS)评分、布鲁格曼舒适度量表(BCS)评分、白细胞介素-6(IL-6)、肿瘤坏死因子-α(TNF-α)、前列腺素E2(PGE2)、丙二醛(MDA)、总抗氧化状态(TAS),促肾上腺皮质激素(ACTH)水平比较,结果 ①不同时间点VAS评分、BCS评分、IL-6、TNF-α、PGE2、MDA、TAS及ACTH水平比较,差异均有统计学意义(P <0.05)。②观察组与对照组VAS评分、BCS评分、IL-6、TNF-α、PGE2、MDA、TAS及ACTH水平比较,差异均有统计学意义(P <0.05);观察组VAS评分、IL-6、TNF-α、PGE2、MDA、ACTH水平均较低,BCS评分、TAS水平均较高。③两组VAS和BCS评分变化趋势比较,差异均无统计学意义(P >0.05);两组IL-6、TNF-α、PGE2、MDA、TAS及ACTH水平变化趋势比较,差异均有统计学意义(P <0.05)。观察组患者Ramsay镇静评分高于对照组(P <0.05),苏醒时间和呼吸恢复时间均低于对照组(P <0.05)。观察组与对照组不良反应总发生率比较,差异无统计学意义(P >0.05)。结论 帕瑞昔布钠超前镇痛可显著减轻宫腔镜手术患者术后疼痛,降低炎症反应水平,促进术后恢复,且治疗安全,有利于临床推广应用。

    • 血清总胆红素、白蛋白及神经肽Y水平与高胆红素血症患儿预后的关系

      2025, 35(14):55-59. DOI: 10.3969/j.issn.1005-8982.2025.14.010

      摘要 (185) HTML (71) PDF 651.41 K (116) 评论 (0) 收藏

      摘要:目的 分析血清总胆红素(TBIL)、白蛋白(Alb)及神经肽Y(NPY)水平与高胆红素血症患儿预后的关系。方法 回顾性分析2022年1月—2024年8月安徽医科大学第二附属医院收治的110例重度高胆红素血症患儿的临床资料。患儿均行血清TBIL、Alb及NPY水平检测,经光疗后随访3个月,依据神经运动检查结果判定和统计预后情况。比较预后不良组和预后良好组的基线资料及血清TBIL、Alb及NPY水平,分析高胆红素血症患儿预后不良的影响因素,分析血清TBIL、Alb、NPY水平对高胆红素血症患儿预后不良的预测效能。结果 预后不良组胆红素所致神经功能障碍(BIND)评分及血清TBIL水平均高于预后良好组(P <0.05),血清Alb、NPY水平低于预后良好组(P <0.05)。预后不良组与预后良好组性别构成、病因、胎龄、日龄、出生体重、病因构成、黄疸起始日龄及持续时间比较,差异均无统计意义(P >0.05)。多因素一般Logistic回归分析结果显示:高BIND评分[O^R=3.658(95% CI:1.250,10.703)]、高TBIL水平[O^R=1.224(95% CI:1.050,1.426)]、低Alb水平[O^R=0.693(95% CI:0.592,0.812)]、低NPY水平[O^R=0.168(95% CI:0.058,0.493)]均为高胆红素血症患儿预后不良的危险因素(P <0.05);3项联合的曲线下面积为0.976(95% CI:0.952,1.000),敏感性为96.4%(95% CI:0.927,1.000),特异性为87.8%(95% CI:0.765,0.968),均高于单一指标检测。结论 高BIND评分、TBIL水平和低Alb、NPY水平的重度高胆红素血症患儿更易出现预后不良,TBIL、Alb、NPY联合检测对患儿预后不良具有较高的预测效能。

      • 0+1
    • 胶质瘤患者层粘连蛋白γ1、玻连蛋白的表达及其临床意义

      2025, 35(14):60-66. DOI: 10.3969/j.issn.1005-8982.2025.14.011

      摘要 (185) HTML (139) PDF 749.00 K (96) 评论 (0) 收藏

      摘要:目的 研究胶质瘤患者层粘连蛋白γ1(LAMC1)、玻连蛋白(VTN)的表达及临床意义。方法 选取2021年2月—2023年7月海军特色医学中心收治的109例胶质瘤患者作为研究组,另取同期该院45例脑部外伤手术患者作为对照组。随访1年,根据胶质瘤患者预后分为死亡组与生存组。采用免疫组织化学法检测LAMC1表达水平,酶联免疫吸附试验检测血清VTN水平。采用多因素Cox回归模型分析胶质瘤患者预后的影响因素,绘制Kaplan-Meier生存曲线分析LAMC1、VTN表达与胶质瘤患者1年生存率的关系。结果 研究组LAMC1、VTN水平均高于对照组(P <0.05)。LAMC1高表达组肿瘤直径≥ 5 cm、临床分期Ⅲ、Ⅳ期及Karnofsky功能状态(KPS)评分< 70分的患者构成均高于LAMC1低表达组(P <0.05)。VTN高表达组肿瘤直径≥ 5 cm、临床分期Ⅲ、Ⅳ期和KPS评分< 70分的患者构成均高于VTN低表达组(P <0.05)。随访1年,所有胶质瘤患者均未失访,其中死亡63例,生存46例。LAMC1高表达与低表达患者的生存曲线比较,差异有统计学意义(P <0.05)。VTN高表达与低表达患者的生存曲线比较,差异有统计学意义(P <0.05)。多因素逐步Cox回归分析结果:LAMC1高表达[H^R=3.425(95% CI:1.505,7.790)]、VTN高表达[H^R=2.798(95% CI:1.230,6.366)]均为胶质瘤患者1年内死亡的危险因素(P <0.05)。结论 胶质瘤组织中LAMC1高表达、血清VTN高表达,其表达与肿瘤直径、临床分期、KPS评分及1年预后有关,且两者均可作为胶质瘤患者预后评估的生物学标志物。

      • 0+1
      • 1+1
    • 血清proBNP、RDW-CV对射血分数保留型心力衰竭患者发生主要心血管不良事件的预测价值

      2025, 35(14):67-72. DOI: 10.3969/j.issn.1005-8982.2025.14.012

      摘要 (189) HTML (69) PDF 630.25 K (96) 评论 (0) 收藏

      摘要:目的 探讨血清N端B型脑钠肽前体(proBNP)、红细胞分布宽度变异系数(RDW-CV)对射血分数保留型(HFpEF)心力衰竭(以下简称心衰)患者发生主要心血管不良事件(MACEs)的预测价值。方法 选取2023年1月—2023年12月成都中医药大学附属龙泉中医医院收治的106例HFpEF心衰患者作为研究对象,记录患者出院后12个月内MACEs的发生情况,根据MACEs发生情况分为MACEs组、非MACEs组。比较两组的proBNP、RDW-CV表达差异,分析HFpEF心衰患者发生MACEs的影响因素分析,评估RDW-CV、proBNP对HFpEF心衰患者发生MACEs的预测价值。结果 106例HFpEF心衰患者中32例患者发生MACEs,占比30.19%。MACEs组RDW-CV、proBNP水平均高于非MACEs组(P <0.05),红细胞比容低于非MACEs组(P <0.05)。多因素逐步Logistic回归分析结果显示:红细胞比容低[O^R=0.242(95% CI:0.097,0.606)]、RDW-CV水平高[O^R=3.955(95% CI:1.595,10.006)]、proBNP水平高[O^R=4.354(95% CI:1.738,10.905)]均为HFpEF心衰患者发生MACEs的危险因素(P <0.05)。受试者工作特征曲线结果分析得出,RDW-CV、proBNP及其联合预测HFpEF心衰患者发生MACEs的敏感性为77.1%(95% CI:0.683,0.845)、83.5%(95% CI:0.729,0.921)、91.4%(95% CI:0.813,0.996),特异性为79.5%(95% CI:0.701,0.889)、65.3%(95% CI:0.574,0.712)、61.4%(95% CI:0.561,0.709)。结论 RDW-CV、proBNP预测HFpEF心衰患者发生MACEs的效能良好。

      • 0+1
    • 司美格鲁肽与贝那鲁肽治疗2型糖尿病合并多囊卵巢综合征的对比研究

      2025, 35(14):73-77. DOI: 10.3969/j.issn.1005-8982.2025.14.013

      摘要 (330) HTML (366) PDF 633.56 K (103) 评论 (0) 收藏

      摘要:目的 对比司美格鲁肽与贝那鲁肽治疗2型糖尿病(T2DM)合并多囊卵巢综合征(PCOS)的疗效及安全性。方法 选取2021年7月—2023年8月西北妇女儿童医院收治的153例T2DM合并PCOS患者为研究对象,按随机数字表法分为对照组(77例)和观察组(76例)。对照组注射贝那鲁肽注射液,观察组注射司美格鲁肽,两组治疗3个月后观察效果。比较两组治疗前后糖脂代谢指标、性激素与外周血因子及药物不良反应发生情况。结果 观察组治疗前后空腹血糖、餐后2 h血糖、胰岛素抵抗指数、胰岛β-细胞功能指数的差值均大于对照组(P <0.05)。观察组治疗前后三酰甘油、总胆固醇的差值均大于对照组(P <0.05)。观察组治疗前后睾酮、雌二醇、促黄体生成素、促卵泡生成激素的差值均大于对照组(P <0.05)。观察组治疗前后网膜素-1、单核细胞趋化蛋白-1、胰岛素样生长因子、摄食抑制因子-1的差值均大于对照组(P <0.05)。观察组、对照组总药物不良反应发生率分别为6.58%和5.19%,差异无统计学意义(P >0.05)。结论 与贝那鲁肽相比,司美格鲁肽治疗T2DM合并PCOS患者在改善糖脂代谢、激素水平及外周血因子分泌方面更具优势,且安全可靠。

    • 新型生物陶瓷iRoot SP联合单尖充填技术治疗慢性根尖周炎的临床效果

      2025, 35(14):78-84. DOI: 10.3969/j.issn.1005-8982.2025.14.014

      摘要 (283) HTML (310) PDF 769.00 K (95) 评论 (0) 收藏

      摘要:目的 比较AH-Plus根管封闭剂结合热牙胶垂直加压充填技术与新型生物陶瓷iRoot SP联合单尖充填技术在慢性根尖周炎治疗中的临床效果。方法 选取2020年5月—2023年5月宝鸡市人民医院口腔科收治的慢性根尖周炎患者76例,按照随机数字表法分为对照组、观察组,各38例。对照组采用AH-Plus根管封闭剂结合热牙胶垂直加压充填技术,观察组采用新型生物陶瓷iRoot SP联合单尖充填技术。分别收集患者治疗前(T0)、治疗3个月(T1)、治疗6个月(T2)的龈沟液检测炎症因子水平。统计并比较两组患者根管充填时间、治疗充填质量与疗效。采用视觉模拟评分法(VAS)评估患者治疗各时期疼痛情况。统计两组患者治疗各时期咀嚼功能、咬合功能,采用电测牙髓试验(EPT)评估牙髓活性。采用根尖周指数(PAI)对患者X射线检查进行病损评估。结果 对照组充填时间长于观察组(P <0.05),超填比例高于观察组(P <0.05),显效/有效占比低于观察组(P <0.05)。观察组与对照组T1、T2时VAS评分比较,结果 ①不同时间点VAS评分比较,差异有统计学意义(P <0.05);②观察组与对照组VAS评分比较,差异有统计学意义(P <0.05);③两组VAS评分变化趋势比较,差异无统计学意义(P >0.05)。观察组与对照组T0,T1、T2时IL-1β、IL-6、IL-8、TNF-α水平比较,结果 ①不同时间点IL-1β、IL-6、IL-8、TNF-α水平比较,差异均有统计学意义(P <0.05);②观察组与对照组IL-1β、IL-6、IL-8、TNF-α水平比较,差异均有统计学意义(P <0.05);③两组IL-1β、IL-6、IL-8、TNF-α水平变化趋势比较,差异均有统计学意义(P <0.05)。观察组与对照组T0、T1、T2时EPT、咀嚼功能、咬合功能评分比较,结果 ①不同时间点EPT、咀嚼功能、咬合功能评分比较,差异均有统计学意义(P <0.05);②观察组与对照组EPT、咀嚼功能、咬合功能评分比较,差异均有统计学意义(P <0.05);③两组EPT、咀嚼功能、咬合功能评分变化趋势比较,差异均有统计学意义(P <0.05)。观察组与对照组T0、T1、T2时PAI评分比较,结果 ①不同时间点PAI评分比较,差异有统计学意义(P <0.05);②观察组与对照组PAI评分比较,差异有统计学意义(P <0.05);③两组PAI评分变化趋势比较,差异无统计学意义(P >0.05)。结论 iRoot SP联合单尖充填技术治疗慢性根尖周炎能够显著缩短治疗时间,有效控制治疗后疼痛,并在根尖区病损治疗及充填质量上展现出更佳的效果。

      • 0+1
      • 1+1
    • 左西孟旦联合强化抗血小板治疗对急性ST段抬高型心肌梗死并心力衰竭患者心功能改善及预后的影响研究

      2025, 35(14):85-89. DOI: 10.3969/j.issn.1005-8982.2025.14.015

      摘要 (161) HTML (14) PDF 602.02 K (110) 评论 (0) 收藏

      摘要:目的 探讨左西孟旦联合强化抗血小板治疗对急性ST段抬高型心肌梗死(STEMI)并心力衰竭患者心功能改善及预后的影响。方法 回顾性分析2022年6月—2024年6月乐山市人民医院纳入的102例STEMI伴有心力衰竭患者的临床资料,根据不同的治疗方案分为对照组和研究组,各51例。两组均接受常规治疗,对照组在常规治疗基础上接受多巴酚丁胺,研究组在常规治疗基础上接受左西孟旦。对比两组心功能、心室肌稳定性[校正QT离散度(QTcd)、T波峰末间期(Tpe)]、血小板指标、基质金属蛋白酶-9(MMP-9)、生长分化因子-15(GDF-15)、髓过氧化物(MPO)、血清N末端脑钠肽前体(NT-proBNP)、预后状况[心血管不良事件(MACE)发生率、再住院率、病死率]差异。结果 研究组治疗前后左室射血分数、左室舒张末期内径、左室短轴缩短率的差值均高于对照组(P <0.05)。研究组治疗前后QTcd、Tpe的差值均低于对照组(P <0.05)。研究组治疗前后血小板活化因子、血小板计数的差值均高于对照组(P <0.05)。研究组治疗前后MMP-9、GDF-15、MPO、NT-proBNP的差值均高于对照组(P <0.05)。两组1、3、6个月MACE发生率、病死率比较,差异均无统计学意义(P >0.05)。研究组再住院率低于对照组(P <0.05)。结论 左西孟旦联合强化抗血小板治疗能够显著改善STEMI并心力衰竭患者的心功能、心室肌稳定性、心肌损伤水平,并有效降低再住院率,显示出优异的治疗效果和良好的预后。

    • 不同剂量利多卡因复合舒芬太尼对老年腹腔镜手术患者术后疼痛程度及神经电生理水平的影响

      2025, 35(14):90-96. DOI: 10.3969/j.issn.1005-8982.2025.14.016

      摘要 (140) HTML (58) PDF 706.49 K (109) 评论 (0) 收藏

      摘要:目的 分析不同剂量利多卡因复合舒芬太尼对老年腹腔镜手术患者术后疼痛程度及神经电生理水平的影响。方法 回顾性分析2021年3月—2024年7月宝鸡市中医医院收治的97例老年腹腔镜手术患者的病历资料,以随机数字表法分为高剂量组(50例)、低剂量组(47例)。两组麻醉诱导时均应用舒芬太尼。低剂量组以利多卡因负荷剂量1.0 mg/kg输注10 min,然后以1.0 mg/(kg·h)持续泵注,直到手术结束。高剂量组以利多卡因负荷剂量2.0 mg/kg输注10 min,然后以2.0 mg/(kg·h)持续泵注,直到手术结束。对比两组术中一般情况、术后疼痛程度、神经电生理、血流动力学、应激反应及不良反应。结果 高剂量组丙泊酚用量和自控泵有效按压次数均低于低剂量组(P <0.05);两组手术时间、瑞芬太尼用量、麻醉时间和术中出血量比较,差异均无统计学意义(P >0.05)。两组术后6、12、48 h静息状态下VAS评分比较,结果 ①不同时间点VAS评分比较,差异有统计学意义(P <0.05);②两组VAS评分比较,差异有统计学意义(P <0.05),高剂量组VAS评分较低,相对镇痛效果较好;③两组VAS评分变化趋势比较,差异有统计学意义(P <0.05)。两组T0、T1、T2的N20潜伏期、N20波幅、下肢拇收肌潜伏期、下肢拇收肌波幅比较,结果 ①不同时间点N20潜伏期和波幅比较,差异均有统计学意义(P <0.05);不同时间点下肢拇收肌潜伏期和波幅比较,差异均无统计学意义(P >0.05)。②两组N20潜伏期和波幅比较,差异均有统计学意义(P <0.05);两组下肢拇收肌潜伏期和波幅比较,差异均无统计学意义(P >0.05)。③两组N20潜伏期和波幅变化趋势比较,差异均有统计学意义(P <0.05);两组下肢拇收肌潜伏期和波幅比较,差异均无统计学意义(P >0.05)。两组T0、T1、T2的MAP、HR比较,结果 ①不同时间点MAP、HR比较,差异均有统计学意义(P <0.05);②两组MAP、HR比较,差异均无统计学意义(P >0.05);③两组MAP、HR比较,差异均无统计学意义(P >0.05)。高剂量组手术前后Cor、AngⅡ的差值均小于低剂量组(P <0.05)。两组总不良反应率比较,差异无统计学意义(P >0.05)。结论 不同剂量利多卡因复合舒芬太尼均可有效维持老年腹腔镜手术患者术中血流动力学稳定,安全性良好。相比于低剂量利多卡因,高剂量利多卡因可减轻患者疼痛程度与应激反应,但会降低神经电生理监测质量。

当期目录


年第卷第

文章目录

过刊浏览

年份

刊期

点击排行

引用排行

下载排行