• 2025年第15期文章目次
    全 选
    显示方式: |
    • >继发性肾病专题·论著
    • 德谷胰岛素利拉鲁肽注射液联合骨化三醇治疗糖尿病肾病的临床研究

      2025, 35(15):1-6. DOI: 10.3969/j.issn.1005-8982.2025.15.001

      摘要 (175) HTML (62) PDF 624.65 K (82) 评论 (0) 收藏

      摘要:目的 探讨德谷胰岛素利拉鲁肽联合骨化三醇治疗糖尿病肾病的疗效。方法 将糖尿病肾病患者随机分为对照组、试验组和联合组。对照组服用骨化三醇胶囊,并皮下注射德谷门冬双胰岛素,0.1~0.2 u/kg,1 次/d;试验组仅皮下注射德谷胰岛素利拉鲁肽10 u/次,1 次/d;联合组服用骨化三醇胶囊,并皮下注射德谷胰岛素利拉鲁肽,剂量同上。比较3组治疗3个月后的疗效、血糖、炎症因子、肾间质纤维化及肾功能,并记录药物不良反应情况。结果 3组各入组58例患者,其中对照组脱落5例,最终有53例纳入统计分析;试验组脱落2例,最终纳入56例;联合组脱落4例,最终有54例纳入统计分析。联合组与试验组治疗前后糖化血红蛋白(HbA1c)、餐后2 h血糖(2 hPG)和空腹血糖(FBG)的差值均大于对照组(P <0.05),试验组与联合组治疗前后HbA1c、2 hPG和FBG的差值比较,差异均无统计学意义(P >0.05);联合组治疗前后C反应蛋白(CRP)、降钙素原(PCT)、血管内皮生长因子(VEGF)、转化生长因子-β1(TGF-β1)的差值均大于试验组和对照组(P <0.05),对照组治疗前后CRP、PCT、VEGF、TGF-β1的差值均大于试验组(P <0.05);联合组治疗前后β2微球蛋白、血尿素氮(BUN)、血肌酐(Scr)的差值均大于试验组和对照组(P <0.05),对照组和试验组治疗前后β2微球蛋白、BUN、Scr的差值比较,差异均无统计学意义(P >0.05);联合组治疗总有效率高于对照组和试验组(P <0.05),试验组与对照组总有效率比较,差异无统计学意义(P >0.05);联合组和试验组低血糖发生率均低于对照组(P <0.05),试验组与联合组比较,差异无统计学意义(P >0.05)。3组患者恶心呕吐和腹泻发生率比较,差异无统计学意义(P >0.05)。结论 德谷胰岛素利拉鲁肽注射液联合骨化三醇治疗糖尿病肾病,有助于提高临床疗效,改善肾功能,并降低低血糖发生风险。

    • 超声造影技术评估糖尿病肾病肾脏血流灌注的应用价值

      2025, 35(15):7-15. DOI: 10.3969/j.issn.1005-8982.2025.15.002

      摘要 (162) HTML (130) PDF 758.46 K (70) 评论 (0) 收藏

      摘要:目的 探索糖尿病肾病(DN)不同阶段肾脏血流灌注状态的特征性改变及爆破-再灌注超声造影技术在DN中的临床应用价值。方法 选取2024年2月—2025年1月北京中医药大学东直门医院收治的55例糖尿病(DM)患者,依据尿微量白蛋白/肌酐比值(UACR)分为DM组(正常蛋白尿)13例、DN早期组(微量蛋白尿)28例、DN临床期组(大量蛋白尿)14例,同期选取该院6例健康受试者作为对照组。患者均行常规超声、彩色多普勒超声及爆破-再灌注超声造影。采用Pearson法进行相关性分析。采用多因素逐步Logistic回归模型分析DN的影响因素。绘制受试者工作特征(ROC)曲线分析各指标对DN的诊断价值。结果 与DM组比较,DN早期组肾动脉主干阻力指数(RI)较高(P <0.05);与DM组比较,DN早期组、DN临床期组段动脉RI和叶间动脉RI较高(P <0.05)。相关性分析结果显示,UACR与DM病程、皮质厚、段动脉RI、叶间动脉RI、皮质平均通过时间(mTT)、肾髓质达峰时间(TTP)均呈正相关(r =0.504、0.331、0.320、0.352、0.359、0.295,P <0.05);UACR与估计肾小球滤过率(eGFR)、肾动脉舒张期流速(Vd)、段动脉Vd、肾皮质上升斜率(WiR)、肾髓质WiR、髓质减半WiR均呈负相关(r =-0.336、-0.292、-0.301、-0.429、-0.469、-0.334,P <0.05)。eGFR与肾动脉Vd、段动脉Vd、叶间动脉Vd、皮质减半WiR、皮质WiR均呈正相关(r =0.356、0.500、0.440、0.262、0.417,P <0.05);eGFR与DM病程、肾动脉RI、段动脉RI、叶间动脉RI、皮质TTP、皮质mTT均呈负相关(r =-0.476、-0.499、-0.438、-0.417、-0.538、-0.565,P <0.05)。多因素逐步Logistic回归分析结果显示,DM病程长[O^R=1.258(95% CI:1.088,1.454)]、皮质WiR小[O^R=0.653(95% CI:0.434,0.982)]是DN的危险因素。ROC曲线分析结果显示,DM病程、皮质WiR及两者联合诊断DN的曲线下面积分别为0.878(95% CI:0.788,0.967)、0.737(95% CI:0.608,0.866)、0.904(95% CI:0.827,0.982),敏感性分别为84.2%(95% CI:0.624,0.945)、73.7%(95% CI:0.512,0.882)、83.3%(95% CI:0.608,0.942),特异性分别为76.7%(95% CI:0.623,0.869)、71.4%(95% CI:0.564,0.828)、86.1%(95% CI:0.727,0.934)。结论 通过超声造影技术可以观察到,随着DN病情进展,血管阻力增加,血流灌注上升斜率减缓,反映了肾脏灌注能力的下降。DM病程与超声造影皮质上升斜率联合应用于DN诊断中,具有较高的诊断价值。

      • 0+1
    • 外周血β2微球蛋白、TFF3、Lp-PLA2对老年2型糖尿病患者早期肾功能损害及蛋白尿进展的评估价值

      2025, 35(15):16-22. DOI: 10.3969/j.issn.1005-8982.2025.15.003

      摘要 (139) HTML (48) PDF 716.96 K (63) 评论 (0) 收藏

      摘要:目的 分析外周血β2微球蛋白、三叶因子3(TFF3)、脂蛋白相关磷脂酶A2(Lp-PLA2)对老年2型糖尿病患者早期肾功能损害及蛋白尿进展的价值。方法 选择2021年3月—2024年5月邯郸市第一医院收治的97例老年2型糖尿病患者,根据Mogensen糖尿病肾病(DN)分期标准分为Ⅲ期组(35例)、Ⅳ期组(20例)、Ⅴ期组(11例)及非DN组(31例)。比较早期肾功能损害患者与非DN患者血清β2微球蛋白、TFF3、Lp-PLA2水平。采用Spearman法分析血清β2微球蛋白、TFF3、Lp-PLA2与老年2型糖尿病患者早期肾功能损害的相关性。根据老年2型糖尿病患者是否发生蛋白尿进展分为发生组(23例)与非发生组(74例)。多因素一般Logistic回归模型分析老年2型糖尿病患者发生蛋白尿进展的影响因素,绘制受试者工作特征(ROC)曲线评估β2微球蛋白、TFF3、Lp-PLA2的预测价值。结果 Ⅴ期组血清β2微球蛋白、TFF3、Lp-PLA2水平均高于Ⅲ期组、Ⅳ期组及非DN组(P <0.05),Ⅳ期组血清β2微球蛋白、TFF3和Lp-PLA2水平均高于Ⅲ期组和非DN组(P <0.05),Ⅲ期组血清β2微球蛋白、TFF3和Lp-PLA2水平高于非DN组(P <0.05)。Spearman相关性分析结果显示,血清β2微球蛋白、TFF3、Lp-PLA2与老年2型糖尿病患者早期肾功能损害均呈正相关(rs = 0.573、0.625和0.594,P <0.05)。发生组二甲双胍使用率、血肌酐、血清β2微球蛋白、TFF3和Lp-PLA2水平均高于非发生组(P <0.05)。多因素一般Logistic回归分析结果显示,使用二甲双胍[O^R =4.821(95% CI:2.119,10.967)]、血清β2微球蛋白水平高[O^R =5.217(95% CI:2.294,11.869)]、血清TFF3水平高[O^R =4.112(95% CI:1.808,9.355)]、血清Lp-PLA2水平高[O^R =3.777(95% CI:1.660,8.593)]均为老年2型糖尿病患者发生蛋白尿进展的危险因素(P <0.05)。ROC曲线分析结果显示,血清β2微球蛋白、TFF3、Lp-PLA2水平及三者联合预测老年2型糖尿病患者发生蛋白尿进展的敏感性分别为78.26%(95% CI:0.725,0.874)、82.61%(95% CI:0.818,0.935)、91.30%(95% CI:0.856,0.991)、91.30%(95% CI:0.851,0.996);特异性分别为85.14%(95% CI:0.783,0.961)、83.78%(95% CI:0.764,0.946)、72.97%(95% CI:0.654,0.816)、93.24%(95% CI:0.883,0.998);曲线下面积分别为0.799(95% CI:0.682,0.915)、0.843(95% CI:0.721,0.967)、0.796(95% CI:0.679,0.912)、0.909(95% CI:0.778,1.043),联合预测价值更高。结论 血清β2微球蛋白、TFF3、Lp-PLA2水平与老年2型糖尿病患者早期肾功能损害均有相关性,三者在预测老年2型糖尿病患者蛋白尿进展中具有重要价值,且三者联合的预测价值更高。

      • 0+1
    • 不同起始剂量罗沙司他在糖尿病肾病合并肾性贫血患者中的疗效

      2025, 35(15):23-30. DOI: 10.3969/j.issn.1005-8982.2025.15.004

      摘要 (157) HTML (77) PDF 664.60 K (70) 评论 (0) 收藏

      摘要:目的 探讨不同起始剂量罗沙司他在糖尿病肾病合并肾性贫血患者中的治疗效果比较。方法 纳入2023年1月—2024年11月中国人民解放军联勤保障部队第904医院治疗的104例糖尿病肾病合并肾性贫血患者,采用信封抽签法随机分为低剂量组(35例)、中剂量组(35例)和标准剂量组(34例)。治疗期间根据患者血红蛋白水平进行剂量调整,持续12周。比较治疗前后临床疗效、贫血指标(血红蛋白、红细胞计数、红细胞压积)、肾功能[血肌酐(Scr)、估计肾小球滤过率(eGFR)],铁代谢(血清铁、铁蛋白、总铁结合力、转铁蛋白饱和度)、脂代谢[总胆固醇(TC)、甘油三酯(TG)]、治疗期间的剂量调整及不良反应发生情况。结果 3组治疗总有效率比较,差异无统计学意义(P >0.05)。3组治疗前血红蛋白、红细胞计数、红细胞压积、血清铁、铁蛋白、总铁结合力、转铁蛋白饱和度、Scr、eGFR、TC和TG比较,差异均无统计学意义(P >0.05);3组治疗后血红蛋白、红细胞计数、红细胞压积、血清铁、铁蛋白、总铁结合力、转铁蛋白饱和度、Scr、eGFR、TC和TG比较,差异均无统计学意义(P >0.05)。治疗12周后,3组患者血红蛋白、红细胞计数、红细胞压积、血清铁、总铁结合力和转铁蛋白饱和度均较治疗前升高(P <0.05),铁蛋白、TC和TG均较治疗前降低(P <0.05)。标准剂量组中有8例(23.53%)下调剂量,中剂量组中有1例(2.86%)下调剂量,低剂量组中有4例(11.43%)上调剂量。3组患者剂量总调整率、调整量及最终总剂量比较,差异均有统计学意义(P <0.05)。3组不良反应总发生率比较,差异无统计学意义(P >0.05)。结论 低剂量和中剂量的罗沙司他均能有效治疗维持性血液透析糖尿病肾病合并肾性贫血,且其疗效与标准剂量组相当,对铁代谢和脂代谢有积极影响。3组治疗效果相近,且治疗过程中未发现明显的剂量相关不良反应,具有较好的耐受性和较少的剂量调整需求。

    • PAI-1基因多态性与糖尿病肾病患者并发脑梗死的关系研究

      2025, 35(15):31-37. DOI: 10.3969/j.issn.1005-8982.2025.15.005

      摘要 (122) HTML (47) PDF 675.45 K (67) 评论 (0) 收藏

      摘要:目的 探讨纤溶酶原激活剂抑制物-1(PAI-1)基因多态性与糖尿病肾病(DN)患者并发脑梗死的关系。方法 回顾性2020年1月—2023年12月大庆龙南医院收治的149例DN患者的资料,其中DN并发脑梗死患者68例(DN并发脑梗死组)、单纯DN患者81例(DN未并发脑梗死组)。比较两组患者PAI-1基因多态性;采用多因素一般Logistic回归分析DN患者并发脑梗死的影响因素;采用受试者工作特征(ROC)曲线分析PAI-1基因多态性预测DN患者并发脑梗死的价值。结果 两组患者PAI-1基因的4G/4G、4G/5G和5G/5G基因频率比较,差异有统计学意义(P < 0.05);DN并发脑梗死组PAI-1基因的4G/4G基因频率高于DN未并发脑梗死组。两组患者PAI-1基因的4G等位基因和5G等位基因构成比较,差异有统计学意义(P < 0.05);DN并发脑梗死组的4G等位基因构成高于DN未并发脑梗死组(P < 0.05)。两组的性别构成、年龄、体质量指数、吸烟率、饮酒率、高血压患病率、高脂血症患病率、冠心病患病率、收缩压、舒张压、既往用药史构成、T2DM病程、糖化血红蛋白水平、心脑血管事件发生率、UAER水平、残余肾功能水平、24 h尿量、残余肾小球滤过率、CysC水平、血红蛋白水平、血清白蛋白水平、血肌酐水平、血尿酸水平、血尿素氮水平、血钙水平、血磷水平、空腹血糖水平、TG水平和HDL-C水平的比较,差异均无统计学意义(P > 0.05)。DN并发脑梗死组的透析龄、TC水平、LDL-C水平、纤维蛋白原水平、同型半胱氨酸水平均高于DN未并发脑梗死组(P < 0.05),DN并发脑梗死组的尿素清除指数低于DN未并发脑梗死组(P <0.05)。多因素一般Logistic回归分析显示,PAI-1基因4G/4G基因型[O^R=5.859(95% CI:2.003,17.142)]、透析龄大[O^R=4.545(95% CI:1.870,11.046)]、LDL-C水平高[O^R=3.951(95% CI:1.626,9.603)]均为DN患者并发脑梗死的危险因素(P <0.05)。ROC曲线结果显示,透析龄、LDL-C、PAI-1基因多态性单一及联合预测DN患者并发脑梗死的敏感性分别为77.78%(95% CI:0.676,0.853)、87.65%(95% CI:0.782,0.921)、85.19%(95% CI:0.750,0.921)、92.59%(95% CI:0.853,0.964),特异性分别为75.00%(95% CI:0.647,0.833)、70.59%(95% CI:0.600,0.800)、67.65%(95% CI:0.562,0.781)、85.29%(95% CI:0.765,0.914),曲线下面积分别为0.810(95% CI:0.740,0.880)、0.853(95% CI:0.790,0.916)、0.764(95% CI:0.684,0.844)、0.939(95% CI:0.900,0.978)。结论 PAI-1基因4G/4G基因型、透析龄、LDL-C与DN患者并发脑梗死有关,三者联合预测DN患者并发脑梗死的效能良好。

      • 0+1
    • 沙格列汀联合苯溴马隆对糖尿病患者合并高尿酸血症的疗效分析

      2025, 35(15):38-42. DOI: 10.3969/j.issn.1005-8982.2025.15.006

      摘要 (148) HTML (27) PDF 611.60 K (62) 评论 (0) 收藏

      摘要:目的 探究沙格列汀联合苯溴马隆治疗糖尿病合并高尿酸血症患者的临床效果。方法 采用前瞻性的研究方法,选取2018年2月—2022年10月中国人民解放军联勤保障部队第九〇四医院常州医疗区收治的82例糖尿病合并高尿酸血症患者,依照随机数字表法分为对照组与观察组,每组41例。对照组给予沙格列汀治疗,观察组给予沙格列汀联合苯溴马隆治疗,两组均连续治疗12周。比较两组患者血糖[空腹血糖(FBG)、餐后2 h血糖(2 hPG)、糖化血红蛋白(HbA1c)]、空腹胰岛素(FINS)、血尿酸(UA)、血肌酐(Scr)、尿素氮(BUN)、血脂[总胆固醇(TC)、甘油三酯(TG)、低密度脂蛋白胆固醇(LDL-C)],以及临床疗效和不良反应。结果 观察组治疗前后FBG、2 hPG、HbA1c、FINS、UA、Scr、BUN的差值均高于对照组(P <0.05)。观察组治疗前后TC、TG、LDL-C的差值均高于对照组(P <0.05)。观察组临床疗效总有效率高于对照组(P <0.05)。观察组与对照组不良反应总发生率比较,差异无统计学意义(P >0.05)。结论 沙格列汀联合苯溴马隆治疗糖尿病合并高尿酸血症患者可有效降低血糖、FINS、UA、Scr、BUN及血脂,提高临床疗效,且安全可靠。

    • >实验研究·论著
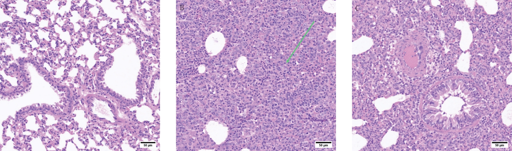
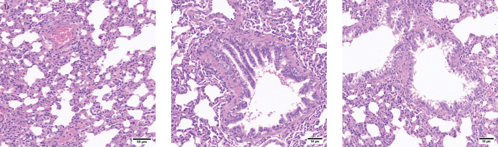
    • 甘露清瘟方通过调控Bcl-2/Bax/Caspase-3信号通路抑制急性肺损伤大鼠肺组织细胞凋亡的机制研究

      2025, 35(15):43-51. DOI: 10.3969/j.issn.1005-8982.2025.15.007

      摘要 (127) HTML (75) PDF 2.54 M (85) 评论 (0) 收藏

      摘要:目的 探讨甘露清瘟方对急性肺损伤(ALI)/急性呼吸窘迫综合征(ARDS)大鼠B淋巴细胞瘤-2(Bcl-2)/凋亡效应蛋白Bax/Caspase-3信号通路的调节作用,以及其调控细胞凋亡的作用机制。方法 48只雄性SD大鼠随机分为6组,甘露清瘟方低、中、高剂量组,空白组,脂多糖模型组,地塞米松组,每组8只。进行ALI大鼠模型复制。模型复制前3 d,对6组大鼠进行灌胃给药,1次/d,连续3 d。空白组给予生理盐水1.0 mL/kg,脂多糖模型组给予脂多糖5 mg/kg,地塞米松组给予地塞米松溶液2 mg/kg,甘露清瘟方低、中、高、剂量组分别给予甘露清瘟方溶液0.60、1.20、2.40 g/kg;第3天给药后,将20 mg/kg 脂多糖溶于100 μL磷酸盐缓冲液(PBS)中,地塞米松组和甘露清瘟方各组大鼠气管内滴注;空白组大鼠气管内滴注等体积生理盐水。苏木精-伊红(HE)染色观察肺组织病理形态学变化;酶联免疫吸附试验(ELISA)检测各组大鼠血清及肺组织的肿瘤坏死因子-α(TNF-α)、干扰素-γ(IFN-γ)、白细胞介素-6(IL-6)水平;Western blotting检测各组大鼠肺组织Bcl-2、Bax、Caspase-3蛋白表达;实时荧光定量聚合酶链反应(qRT-PCR)检测大鼠Bcl-2、Bax、Caspase-3 mRNA表达。结果 脂多糖模型组大鼠肺组织大面积实质化,肺泡结构不清,可见弥漫性炎症细胞浸润。与脂多糖模型组比较,地塞米松组和甘露清瘟方低、中、高剂量组血清及肺组织IL-6、TNF-α、IFN-γ水平降低(P <0.05),Bcl-2蛋白表达及mRNA表达增加(P <0.05),Bax、Caspase-3蛋白表达及mRNA表达降低(P <0.05)。与甘露清瘟方低剂量组比较,甘露清瘟方中剂量组大鼠肺组织Caspase-3蛋白相对表达量下降(P <0.05),甘露清瘟方高剂量组大鼠肺组织Bcl-2蛋白相对表达量升高,Bax、Caspase-3蛋白相对表达量下降(P <0.05)。与甘露清瘟方低剂量组比较,甘露清瘟方中、高剂量组大鼠肺组织Bax、Caspase-3 mRNA相对表达量下降(P <0.05),Bcl-2 mRNA相对表达量上升(P <0.05);与甘露清瘟方中剂量组比较,甘露清瘟方高剂量组大鼠肺组织Bax mRNA相对表达量下降(P <0.05),Bcl-2 mRNA相对表达量上升(P <0.05)。结论 甘露清瘟方可通过促进Bcl-2表达、抑制Caspase-3、Bax表达减轻肺损伤并降低肺组织细胞凋亡。

      • 0+1
      • 1+1
      • 2+1
    • >综述
    • 空间代谢组学在肾脏疾病中的研究进展

      2025, 35(15):52-57. DOI: 10.3969/j.issn.1005-8982.2025.15.008

      摘要 (178) HTML (113) PDF 611.60 K (59) 评论 (0) 收藏

      摘要:肾脏疾病的发病率和病死率较高,但早期一般没有明显的临床症状,通常发现时,肾脏已遭受严重损害。目前,对肾脏疾病早期诊断标志物的研究主要依赖于基因组学、蛋白质组学、转录组学和其他方法,但这些方法都不能保留时间和空间信息。代谢组学在识别潜在疾病机制、促进临床诊断和开发肾脏疾病药物治疗方面显示出越来越大的潜力。作为组学工具包的最新成员,空间代谢组学脱颖而出。该方法对新鲜组织标本进行原位质谱分析,同时能有效保存其时空信息。该文全面综述了空间代谢组学在肾脏疾病研究中的进展,包括对糖尿病肾病发生、发展的理解,对肾细胞癌和正常组织的鉴别诊断等。

    • 孟德尔随机化在糖尿病肾病中的研究进展

      2025, 35(15):58-62. DOI: 10.3969/j.issn.1005-8982.2025.15.009

      摘要 (157) HTML (61) PDF 595.98 K (61) 评论 (0) 收藏

      摘要:孟德尔随机化是一种基于遗传变异作为工具变量的因果推理方法,其巧妙利用遗传变异的随机分布和时间优先性,能够有效避免传统观察性研究中的混杂偏差和反向因果问题。近年来,这一方法已成为研究领域的热点。糖尿病肾病是糖尿病引发的微血管并发症之一,也是导致终末期肾脏病的重要原因。糖尿病肾病的致病机制复杂,涉及多种因素,然而现有的认知多基于传统的观察性研究,缺乏强有力的证据来确认因果关系。该文综述了孟德尔随机化方法在糖尿病肾病的研究进展,为糖尿病肾病的治疗提供新的依据。

    • >临床药学·论著
    • 知柏强骨汤治疗肝肾亏虚型膝关节骨性关节炎的临床疗效观察

      2025, 35(15):63-67. DOI: 10.3969/j.issn.1005-8982.2025.15.010

      摘要 (113) HTML (82) PDF 636.60 K (74) 评论 (0) 收藏

      摘要:目的 探讨知柏强骨汤治疗肝肾亏虚型膝关节骨性关节炎(KOA)的临床疗效。方法 选取2021年1月—2024年3月在徐州市中心医院确诊为肝肾亏虚型KOA的80例患者,按照随机数字表法分为对照组与治疗组,每组40例。对照组给予常规治疗,治疗组在常规治疗基础上加用知柏强骨汤。比较两组临床疗效、膝关节活动度、中医证候评分、骨代谢指标及炎症因子水平。结果 治疗组的总有效率高于对照组(P <0.05)。治疗组治疗前后膝关节伸直度、屈曲度和屈伸弧度的差值均高于对照组(P <0.05)。治疗组治疗前后中医证候评分的差值均高于对照组(P <0.05)。治疗组治疗前后抗酒石酸酸性磷酸酶、Ⅰ型胶原羧基端肽、骨钙素、骨保护素水平的差值均高于对照组(P <0.05)。治疗组治疗前后白细胞介素-1、白细胞介素-6、肿瘤坏死因子-α、血沉水平的差值均高于对照组(P <0.05)。结论 知柏强骨汤联合常规治疗对肝肾亏虚型KOA具有显著的临床疗效。

    • >临床研究·论著
    • 维持性血液透析患者死亡的独立危险因素分析及列线图模型的构建

      2025, 35(15):68-74. DOI: 10.3969/j.issn.1005-8982.2025.15.011

      摘要 (127) HTML (67) PDF 727.55 K (62) 评论 (0) 收藏

      摘要:目的 分析维持性血液透析(MHD)患者死亡的独立危险因素,并构建列线图模型以预测死亡风险,为临床干预提供依据。方法 选取2019年4月—2024年4月在天津市北辰医院进行血液透析的280例患者为研究对象。根据患者临床结局分为死亡组(74例)与存活组(206例)。收集患者一般资料(年龄、性别、体质量指数、高血压史、糖尿病史、冠心病史、心力衰竭史、脑血管疾病史、外周血管疾病史、透析时间等)、首次透析前48 h内实验室指标[血钙、血磷、血钾、血钠、血氯、血镁、血铁、血红蛋白、血清白蛋白、前白蛋白、血清甲状旁腺激素、血尿素氮、血肌酐、β2微球蛋白、估计肾小球滤过率(eGFR)、C反应蛋白(CRP)、甘油三酯(TG)、总胆固醇(TC)、脑钠肽(BNP)]、首次血液透析住院时超声心动图检查指标[左心房直径(LAD)、左心室后壁厚度(LCPW)、左心室舒张末期内径(LVDd)]。采用多因素逐步Cox回归模型分析MHD患者死亡的影响因素并构建列线图模型。结果 死亡组的年龄、血氯、TC、β2微球蛋白、eGFR、CRP、BNP、主动脉钙化、LAD均高于存活组(P <0.05),血磷、血钾、血铁、转铁蛋白饱、血清白蛋白、低密度脂蛋白胆固醇、血肌酐、血尿素氮均低于存活组(P <0.05)。多因素逐步Cox回归分析结果表明,血钾高[H^R=0.530(95% CI:0.319,0.880)]、血铁高[H^R=0.854(95% CI:0.752,0.971)]、血肌酐高[H^R=0.994(95% CI:0.991,0.997)]均为MHD患者死亡的保护因素(P <0.05);eGFR[H^R=1.112(95% CI:1.009,1.226)]、BNP[H^R=1.004(95% CI:1.001,1.007)]均为MHD患者死亡的危险因素(P <0.05)。结论 确定了MHD患者的死亡危险因素,并通过构建列线图模型有效预测了患者的生存情况,帮助临床医生更好地理解死亡风险,从而优化治疗策略,改善患者预后。

      • 0+1
      • 1+1
    • 长期血液透析患者生存预后的前瞻性队列研究

      2025, 35(15):75-84. DOI: 10.3969/j.issn.1005-8982.2025.15.012

      摘要 (238) HTML (93) PDF 670.70 K (59) 评论 (0) 收藏

      摘要:目的 探讨长期血液透析(HD)患者的1年和3年生存率,并分析其生存预后的影响因素。方法 选取2021年12月1日起在皖西卫生职业学院附属医院(六安市第二人民医院)行规律HD的患者,随访截至2024年11月30日。以死亡作为终点事件,将患者分为死亡组与存活组。比较两组患者的临床资料、实验室检查数据、随访期间出现的并发症等;采用单因素或多因素Cox比例风险回归模型分析影响患者生存预后的危险因素;采用Kaplan-Meier生存分析比较不同肾病原发病患者的生存率。结果 共纳入206例长期HD患者,其1年生存率为95.7%,3年生存率为85.0%;其中,原发病为糖尿病肾病患者生存率最低,分别为84.2%和73.2%。Cox比例风险回归模型分析显示,白蛋白水平[H^R =0.911(95% CI:0.856,0.970)]、原发病为糖尿病肾病[H^R =2.470(95% CI:1.092,5.588)]、随访期间并发心血管疾病[H^R =3.589(95% CI:1.561,8.249)]、并发脑卒中[H^R =3.045(95% CI:1.305,7.102)]均为长期HD患者死亡的危险因素(P <0.05)。白蛋白水平[H^R =0.747(95% CI:0.638,0.873)]、年龄增高[H^R =1.087(95% CI:1.019,1.160)]及随访期间并发心血管疾病[H^R =9.248(95% CI:2.422,35.315)]均为原发病为糖尿病肾病患者死亡的危险因素(P <0.05);年龄增高[H^R =1.064(95% CI:1.011,1.120)]和总胆固醇水平高[H^R =1.760(95% CI:1.150,2.693)]均为原发病为慢性肾小球肾炎及其他肾病患者死亡的危险因素(P <0.05)。结论 白蛋白水平、原发病为糖尿病肾病、并发心血管疾病和脑卒中是长期HD患者生存预后的独立危险因素。

      • 0+1
    • APACHE Ⅱ评分联合肾血管阻力指数及KIM-1对急性肾损伤患者预后的预测价值

      2025, 35(15):85-90. DOI: 10.3969/j.issn.1005-8982.2025.15.013

      摘要 (115) HTML (42) PDF 708.49 K (65) 评论 (0) 收藏

      摘要:目的 探讨急性生理学与慢性健康状况评分系统Ⅱ(APACHE Ⅱ)评分联合肾血管阻力指数(RRI)及肾损伤分子-1(KIM-1)对急性肾损伤患者预后的预测价值。方法 回顾性分析2023年1月—2024年12月南充市中心医院收治的203例急性肾损伤患者的病历资料。患者均接受连续性肾脏替代治疗(CRRT)。随访28 d,根据患者预后分为死亡组(69例)与存活组(134例)。比较死亡组与生存组的APACHE Ⅱ评分、RRI、血清KIM-1水平及临床资料。采用多因素一般Logistic回归模型分析急性肾损伤患者死亡的影响因素。绘制受试者工作特征(ROC)曲线分析APACHE Ⅱ评分、RRI、血清KIM-1及三者联合对急性肾损伤患者死亡的预测价值。结果 死亡组的APACHE Ⅱ评分、RRI和血清KIM-1水平均高于生存组(P <0.05)。死亡组的年龄大于生存组(P <0.05),病情分期Ⅲ期占比均高于生存组(P <0.05)。多因素一般Logistic回归分析结果显示,APACHE Ⅱ评分高[O^R=3.838(95% CI:2.008,7.336)]、RRI高[O^R=3.717(95% CI:1.945,7.105)]、血清KIM-1水平高[O^R=3.550(95% CI:1.858,6.785)]、病情分期Ⅲ期[O^R=3.059(95% CI:1.600,5.846)]均为急性肾损伤患者死亡的危险因素(P <0.05)。ROC曲线分析结果显示,APACHE Ⅱ评分、RRI、血清KIM-1及三者联合预测急性肾损伤患者死亡的敏感性分别为84.06%(95% CI:0.728,0.914)、84.06%(95% CI:0.728,0.914)、89.86%(95% CI:0.796,0.955)、89.86%(95% CI:0.796,0.955);特异性分别为72.38%(95% CI:0.639,0.796)、83.58%(95% CI:0.760,0.892)、73.13%(95% CI:0.647,0.802)、93.28%(95% CI:0.873,0.967);曲线下面积分别为0.805(95% CI:0.703,0.886)、0.847(95% CI:0.749,0.915)、0.799(95% CI:0.695,0.879)、0.913(95% CI:0.826,0.961)。结论 APACHE Ⅱ评分、RRI、血清KIM-1在评估急性肾损伤患者预后中具有重要价值,且三者联合的预测价值更高。

      • 0+1
    • 经外侧弓状韧带上腰方肌前路阻滞在腹腔镜子宫全切术术后镇痛中的作用研究

      2025, 35(15):91-96. DOI: 10.3969/j.issn.1005-8982.2025.15.014

      摘要 (122) HTML (54) PDF 694.39 K (75) 评论 (0) 收藏

      摘要:目的 探讨经外侧弓状韧带上腰方肌前路阻滞(AQLB-LSAL)在腹腔镜子宫全切术(LTH)术后镇痛中的作用。方法 选取2023年1月—2024年12月中山市小榄人民医院100例子宫肌瘤患者为研究对象,择期行LTH治疗,按照随机数字表法分为腹横肌平面阻滞(TAPB)组(最终纳入49例)与AQLB-LSAL组(最终纳入49例)。全身麻醉诱导前,TAPB组实施TAPB,AQLB-LSAL组实施AQLB-LSAL。统计两组术后不同时间点视觉模拟评分法(VAS)评分,比较两组手术前后血清前列腺素E2(PGE2)、P物质(SP)及神经肽Y(NPY)水平,并比较术中瑞芬太尼用量及术后48 h内补救镇痛率、舒芬太尼用量、患者自控静脉镇痛(PCIA)有效次数,以及不良反应发生率。结果 两组患者术后不同时间点静息时VAS评分比较,结果 ①不同时间点静息时VAS评分比较,差异有统计学意义(P <0.05);②两组静息时VAS评分比较,差异有统计学意义(P <0.05);③两组静息时VAS评分变化趋势比较,差异有统计学意义(P <0.05)。两组患者手术前后不同时间点血清PGE2、SP、NPY水平比较,结果 ①不同时间点PGE2、SP、NPY水平比较,差异均有统计学意义(P <0.05);②两组PGE2、SP、NPY水平比较,差异均有统计学意义(P <0.05);③两组PGE2、SP、NPY水平变化趋势比较,差异均有统计学意义(P <0.05)。AQLB-LSAL组术中瑞芬太尼用量及术后48 h内舒芬太尼用量、PCIA有效次数、补救镇痛率均低于TAPB组(P <0.05)。两组术后48 h内不良反应发生率比较,差异无统计学意义(P >0.05)。结论 相较于TAPB,AQLB-LSAL能降低子宫肌瘤患者LTH术后疼痛介质释放水平,有效减轻患者术后疼痛,还可减少阿片类镇痛药用量,具有一定安全性。

当期目录


年第卷第

文章目录

过刊浏览

年份

刊期

点击排行

引用排行

下载排行