• 2025年第17期文章目次
    全 选
    显示方式: |
    • >耳鼻咽喉疾病专题·论著
    • 二氧化碳激光与开放式部分喉切除术在喉鳞状细胞癌患者中的应用效果研究

      2025, 35(17):1-7. DOI: 10.3969/j.issn.1005-8982.2025.17.001

      摘要 (275) HTML (111) PDF 716.85 K (155) 评论 (0) 收藏

      摘要:目的 探讨二氧化碳激光与开放式部分喉切除术在喉鳞状细胞癌患者中的应用效果与安全性。方法 采用随机数字表法将2021年2月—2024年7月山西白求恩医院收治的120例喉鳞状细胞癌患者分为观察组与对照组,每组60例。观察组接受二氧化碳激光手术,对照组接受开放式部分喉切除术。比较两组患者的基线资料、生存情况、手术指标(手术时间、术中出血量、住院时间)、喉功能[饮食评估量表(EAT-10)、洼田饮水试验]、术后视觉模拟评分法(VAS)评分及并发症发生情况。结果 截至随访结束,观察组有2例患者死亡,术后3年累计生存率为96.67%(58/60);对照组有3例死亡,1例失访,术后3年累计生存率为93.33%(56/60)。两组3年生存率比较,差异无统计学意义(P >0.05)。观察组手术时间、术后住院时间均短于对照组(P <0.05),术中出血量少于对照组(P <0.05)。观察组手术前后EAT-10评分、洼田饮水试验评分的差值均小于对照组(P <0.05)。两组术后不同时间点VAS评分比较,结果 ①不同时间点VAS评分比较,差异有统计学意义(P <0.05);②观察组与对照组VAS评分比较,差异有统计学意义(P <0.05),观察组VAS评分较低,相对镇痛效果较好;③两组VAS评分变化趋势比较,差异无统计学意义(P >0.05)。观察组并发症发生率低于对照组(P <0.05)。结论 二氧化碳激光在喉鳞状细胞癌的治疗中具有较好的临床疗效,手术创伤小,术后恢复快,喉功能保存较好,且并发症少。

      • 0+1
    • 鼓室内注射糖皮质激素治疗联合前庭康复训练对梅尼埃病的疗效研究

      2025, 35(17):8-13. DOI: 10.3969/j.issn.1005-8982.2025.17.002

      摘要 (249) HTML (52) PDF 649.07 K (122) 评论 (0) 收藏

      摘要:目的 探讨鼓室内注射糖皮质激素联合前庭康复训练治疗梅尼埃病的疗效。方法 选取2022年6月—2023年12月陕西中医药大学第二附属医院耳鼻喉科就诊的82例梅尼埃病患者,按随机数字表法分为观察组和对照组,各41例。对照组接受鼓室内注射糖皮质激素治疗,观察组在此基础上联合前庭康复训练。患者治疗前后进行耳蜗电图测试、纯音听阈测试、眩晕残障程度评定量表(DHI)、Berg平衡量表(BBS)、焦虑自评量表(SAS),并随访6个月判断预后。结果 两组患者治疗前耳蜗电图阳性率比较,差异无统计学意义(P >0.05);观察组治疗后耳蜗电图阳性率低于对照组(P <0.05)。观察组治疗前后听阈的差值高于对照组(P <0.05)。观察组治疗前后DHI、BBS、SAS评分的差值均高于对照组(P <0.05)。两组患者控制率比较,差异无统计学意义(P >0.05),观察组基本控制率高于对照组(P <0.05)。结论 鼓室内注射糖皮质激素联合前庭康复训练治疗梅尼埃病比单纯鼓室内注射糖皮质激素疗效更佳,可显著改善患者的眩晕症状、提升听力和平衡功能,值得在临床中推广使用。

    • 慢性鼻窦炎患者血清IL-6、CCL-4、ECP水平变化及对术后复发的预测价值

      2025, 35(17):14-18. DOI: 10.3969/j.issn.1005-8982.2025.17.003

      摘要 (225) HTML (77) PDF 617.74 K (134) 评论 (0) 收藏

      摘要:目的 探讨慢性鼻窦炎患者血清白细胞介素-6(IL-6)、趋化因子4(CCL-4)、嗜酸性细胞阳离子蛋白(ECP)水平变化及对术后复发的预测价值。方法 回顾性2021年12月—2023年12月盐城市第三人民医院收治的154例慢性鼻窦炎患者的临床资料,将其归为研究组,并以同期入院体检的60例健康人群为对照组。根据患者术后复发情况将研究组分为复发组63例和未复发组91例。比较研究组与对照组、复发组与未复发组血清IL-6、CCL-4、ECP水平。采用受试者工作特征(ROC)曲线分析血清IL-6、CCL-4、ECP水平对慢性鼻窦炎患者术后复发的预测效能。结果 研究组血清IL-6、CCL-4、ECP水平均高于对照组(P <0.05)。复发组血清IL-6、CCL-4、ECP水平均高于未复发组(P <0.05)。ROC曲线分析结果显示,血清IL-6、CCL-4、ECP预测慢性鼻窦炎患者术后复发的曲线下面积分别为0.768(95% CI:0.705,0.822)、0.791(95% CI:0.731,0.844)、0.815(95% CI:0.755,0.863);敏感性分别为62.50%(95% CI:0.538,0.706)、77.94%(95% CI:0.700,0.846)、67.65%(95% CI:0.591,0.754);特异性分别为83.12%(95% CI:0.729,0.907)、74.03%(95% CI:0.628,0.834)、80.52%(95% CI:0.699,0.887)。结论 慢性鼻窦炎患者血清IL-6、CCL-4、ECP水平较健康人群有明显升高趋势,其水平与术后复发有关,水平越高术后复发概率越大,临床早期检测患者血清IL-6、CCL-4、ECP水平,可有效预测患者术后复发,为临床早期预防性治疗提供参考。

      • 0+1
    • 全降解鼻窦药物支架系统治疗伴鼻息肉的慢性鼻窦炎的疗效及术后恢复效果分析

      2025, 35(17):19-24. DOI: 10.3969/j.issn.1005-8982.2025.17.004

      摘要 (291) HTML (346) PDF 630.92 K (121) 评论 (0) 收藏

      摘要:目的 探讨全降解鼻窦药物支架系统治疗伴鼻息肉的慢性鼻窦炎(CRSwNP)患者的临床疗效及术后恢复效果。方法 选取2022年8月—2024年10月在榆林市中医医院接受鼻内镜手术治疗的120例CRSwNP患者,采用随机数字表法分为观察组和对照组,各60例。两组患者均接受鼻内镜手术治疗,观察组在手术结束前植入全降解鼻窦药物支架系统,对照组术后采用布地奈德鼻腔冲洗与喷雾治疗。术后评估两组患者症状改善时间、术后并发症情况、复发率及临床疗效,比较两组手术前后的鼻腔结构、鼻气道阻力、鼻窦CT评分及鼻内镜各项评分。结果 观察组患者的术后恢复通气时间、鼻黏膜恢复时间及住院时长均短于对照组(P <0.05)。观察组治疗前后的Lund-Mackay评分、息肉评分、水肿评分和鼻腔分泌物评分的差值及治疗后瘢痕/结痂评分均低于对照组(P <0.05)。观察组术后并发症发生率和复发率均低于对照组(P <0.05),总有效率高于对照组(P <0.05)。结论 全降解鼻窦药物支架系统对CRSwNP有显著的临床疗效,可加快术后恢复,降低术后并发症和复发率,具有较高的临床应用价值。

    • 头孢克洛联合糖皮质激素治疗对慢性鼻-鼻窦炎术后鼻腔黏膜恢复及预后的影响

      2025, 35(17):25-32. DOI: 10.3969/j.issn.1005-8982.2025.17.005

      摘要 (192) HTML (51) PDF 1.39 M (102) 评论 (0) 收藏

      摘要:目的 探讨头孢克洛联合糖皮质激素浸润对慢性鼻-鼻窦炎患者术后鼻腔黏膜恢复及预后的影响。方法 选取2021年1月—2022年12月连云港市第二人民医院收治的96例慢性鼻-鼻窦炎患者,采用随机数字表法分为对照组和观察组,各48例。对照组采用常规鼻窦炎术后处理,观察组在对照组基础上给予头孢克洛联合糖皮质激素浸润治疗。比较两组患者的视觉模拟评分法(VAS)评分、鼻黏膜功能、鼻黏膜恢复情况、炎症水平、生活质量、并发症及预后情况。结果 观察组治疗后1个月流涕、鼻塞、鼻痒、喷嚏的VAS评分均低于对照组(P <0.05);观察组治疗前与治疗后1个月流涕、鼻塞、鼻痒、喷嚏VAS评分的差值均高于对照组(P <0.05)。观察组治疗后1个月鼻腔黏液纤毛传输时间(MTT)低于对照组,鼻纤毛传输速率(MTR)高于对照组(P <0.05);观察组治疗前与治疗后1个月MTT、MTR的差值高于对照组(P <0.05)。观察组治疗后3个月Lund-Mackay、Lund-Kennedy评分均低于对照组(P <0.05);观察组治疗前与治疗后3个月Lund-Mackay、Lund-Kennedy评分的差值均高于对照组。观察组治疗后1个月肿瘤坏死因子-α(TNF-α)、干扰素γ(IFN-γ)、白细胞介素-5(IL-5)水平均低于对照组(P <0.05);观察组治疗前与治疗后1个月TNF-α、IFN-γ、IL-5水平的差值均高于对照组(P <0.05)。观察组治疗后3个月汉化版鼻腔鼻窦结局测试22条(SNOT-22)量表各维度评分均低于对照组(P <0.05);观察组治疗前与治疗后3个月SNOT-22量表各维度评分的差值均高于对照组(P <0.05)。观察组与对照组不良事件总发生率和复发率比较,差异均无统计学意义(P >0.05)。结论 头孢克洛联合糖皮质激素浸润治疗可有效改善慢性鼻-鼻窦炎术后患者的鼻黏膜纤毛功能、鼻黏膜功能和鼻黏膜恢复情况,降低炎症水平,对生活质量无显著影响,且具有较好的安全性。

      • 0+1
      • 1+1
      • 2+1
      • 3+1
    • >实验研究·论著
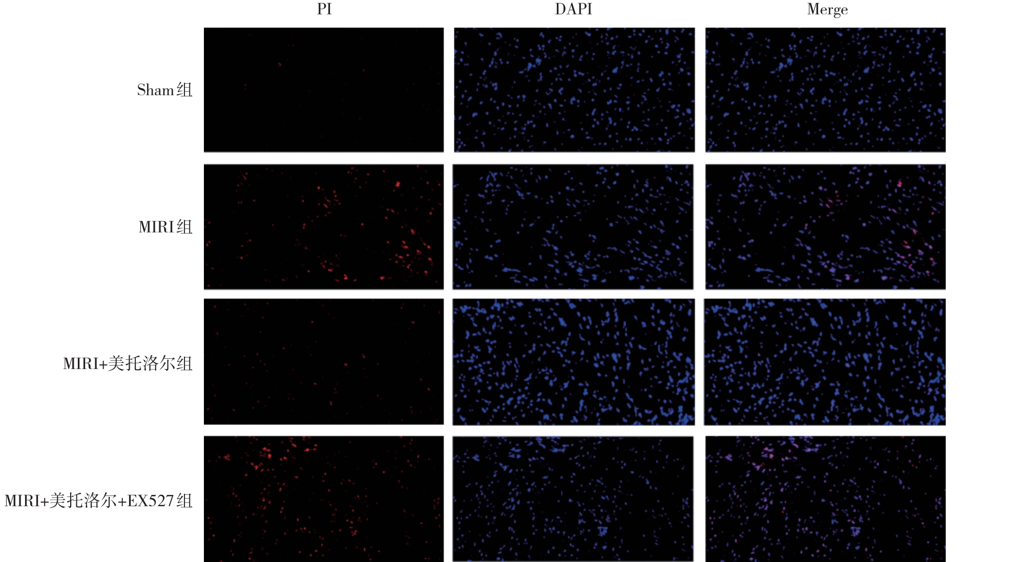
    • 美托洛尔改善心肌缺血再灌注损伤的机制研究

      2025, 35(17):33-39. DOI: 10.3969/j.issn.1005-8982.2025.17.006

      摘要 (244) HTML (92) PDF 1.09 M (113) 评论 (0) 收藏

      摘要:目的 探讨美托洛尔是否通过调控沉默信息调节因子1(SIRT1)/核转录因子相关因子2(Nrf2)信号通路抑制细胞焦亡来改善心肌缺血再灌注损伤(MIRI)。方法 选取32只8~10周龄健康雄性C57BL/6小鼠,复制MIRI模型,分为Sham组、MIRI组、MIRI+美托洛尔组(MIRI+美托洛尔)和MIRI+美托洛尔+EX527组(MIRI+美托洛尔+EX527),每组8只。采用超声心动图测量左心室短轴缩短率(LVFS)和射血分数(LVEF)评估各组小鼠的心脏功能;采用酶联免疫吸附试验测定小鼠血清乳酸脱氢酶(LDH)和cTnI水平,评估心肌细胞损伤程度;采用免疫荧光染色(PI染色法)检测小鼠心肌组织焦亡细胞数;Western blotting检测炎症因子白细胞介素-1β(IL-1β)、白细胞介素-18(IL-18),焦亡相关蛋白半胱氨酸的天冬氨酸蛋白水解酶1(Caspase-1)、Caspase-11、活化胱天蛋白酶后裂解蛋白GSDMD,以及SIRT1、Nrf2蛋白的表达。结果 与Sham组比较,MIRI组小鼠的LVFS和LVEF降低(P <0.05);与MIRI组比较,MIRI+美托洛尔组的LVFS和LVEF升高(P <0.05);与MIRI+美托洛尔组比较,MIRI+美托洛尔+EX527组的LVFS和LVEF降低(P <0.05)。与Sham组比较,MIRI组小鼠的LDH和cTnI水平升高(P <0.05);与MIRI组比较,MIRI+美托洛尔组LDH和cTnI水平降低(P <0.05);与MIRI+美托洛尔组比较,MIRI+美托洛尔+EX527组LDH和cTnI水平升高(P <0.05)。与Sham组比较,MIRI组小鼠的心肌焦亡细胞数增加(P <0.05);与MIRI组小鼠比较,MIRI+美托洛尔组心肌焦亡细胞数减少(P <0.05);与MIRI+美托洛尔组小鼠比较,MIRI+美托洛尔+EX527组焦亡心肌细胞数升高(P <0.05)。与Sham组比较,MIRI组小鼠的IL-1β、IL-18、Caspase-1、Caspase-11、GSDMD蛋白相对表达量增加(P <0.05);与MIRI组比较,MIRI+美托洛尔组IL-1β、IL-18、Caspase-1、Caspase-11、GSDMD蛋白相对表达量降低(P <0.05);与MIRI+美托洛尔组比较,MIRI+美托洛尔+EX527组IL-1β、IL-18、Caspase-1、Caspase-11、GSDMD蛋白相对表达量升高(P <0.05)。与Sham组比较,MIRI组的SIRT1、Nrf2蛋白相对表达量降低(P <0.05);与MIRI组比较,MIRI+美托洛尔组的SIRT1、Nrf2蛋白相对表达量升高(P <0.05);与MIRI+美托洛尔组比较,MIRI+美托洛尔+EX527组的SIRT1、Nrf2蛋白相对表达量降低(P <0.05)。结论 美托洛尔通过调控Sirt1/Nrf2信号通路抑制细胞焦亡,减轻MIRI,具有显著的心脏保护作用,为临床治疗心肌缺血再灌注损伤提供了新的理论依据。

      • 0+1
      • 1+1
    • >综述
    • 听力损失相关的NOX家族蛋白研究进展

      2025, 35(17):40-46. DOI: 10.3969/j.issn.1005-8982.2025.17.007

      摘要 (187) HTML (92) PDF 649.12 K (100) 评论 (0) 收藏

      摘要:还原型烟酰胺腺嘌呤二核苷酸磷酸(NADPH)氧化酶(NOX)家族蛋白通过调控活性氧(ROS)的生成参与多种基础细胞生理过程,更与多种人类疾病的发生、发展密切相关。在内耳中,ROS作为关键信号分子,参与调控内耳细胞的代谢活动、信号传导等重要生理过程。当ROS生成失衡,引发级联氧化应激反应,会导致内耳细胞结构和功能的损伤。这种氧化应激机制是多种听力损失(如噪声性耳聋、老年性聋、药物性耳聋等)的共同病理基础。作为细胞内ROS产生的主要来源之一,NOX家族蛋白通过介导氧化应激反应,在听力系统的发育或功能维持中扮演着重要角色。这一作用机制提示了NOX家族蛋白可能是防治听力损失的重要潜在靶点。该文综述了NOX家族蛋白在听觉系统中的功能和机制,以及靶向NOX家族蛋白的药物研发进展,期望对推动NOX靶向治疗、改善患者听力提供参考。

    • 内镜黏膜下剥离术后食管狭窄预防新进展

      2025, 35(17):47-53. DOI: 10.3969/j.issn.1005-8982.2025.17.008

      摘要 (229) HTML (83) PDF 739.67 K (107) 评论 (0) 收藏

      摘要:内镜黏膜下剥离术(ESD)是在内镜辅助下使用特殊电刀将病变完整剥离的微创技术,已成为治疗早期食管癌及癌前病变的主要手段,然而术后大面积黏膜缺损引发的食管狭窄会严重影响患者生活质量。目前虽已有多种手段预防食管ESD后狭窄,如物理扩张、药物预防、生物材料修复和组织工程学与再生医学的黏膜移植等,但对于狭窄的最佳预防策略尚未达成共识。该文就预防ESD后食管狭窄的研究进展进行综述。

      • 0+1
    • >临床药学·论著
    • 普瑞巴林联合曲马多治疗硼替佐米所致外周神经病理性疼痛的疗效研究

      2025, 35(17):54-60. DOI: 10.3969/j.issn.1005-8982.2025.17.009

      摘要 (183) HTML (85) PDF 696.82 K (96) 评论 (0) 收藏

      摘要:目的 探讨普瑞巴林联合曲马多治疗硼替佐米所致外周神经病理性疼痛的疗效。方法 选取2023年2月—2024年8月在新沂市人民医院血液科接受以硼替佐米为基础治疗的96例多发性骨髓瘤患者为研究对象,患者均因硼替佐米致外周神经病理性疼痛,第1周接受曲马多缓释片治疗。治疗1周后根据视觉模拟评分法(VAS)评分进行分组,30例VAS评分< 4分的患者入A组,继续口服曲马多缓释片治疗2周;34例VAS评分≥ 4分患者入B1组,继续口服曲马多缓释片治疗2周;32例VAS评分≥4分患者入B2组,在曲马多基础上加用普瑞巴林镇痛。共治疗3周后观察并记录3组患者的临床疗效,并比较患者治疗前后的睡眠质量、负性情绪及生活质量,同时记录用药期间不良反应发生情况。结果 3组患者总有效率比较,差异有统计学意义(P <0.05);A组和B2组的总有效率均高于B1组(P <0.0125),而A组与B2组比较,差异无统计学意义(P >0.0125)。3组患者治疗前后睡眠质量、入睡时间、睡眠时间、睡眠频率、睡眠障碍、催眠药物、日间功能、HAMA、HAMD、生理、心理、社会关系和环境评分的差值比较,差异均有统计学意义(P <0.05);A组和B2组的治疗前后睡眠质量、入睡时间、睡眠时间、睡眠频率、睡眠障碍、催眠药物、日间功能、HAMA、HAMD、生理、心理、社会关系和环境评分差值均高于B1组(P <0.05),而A组与B2组比较,差异无统计学意义(P >0.05)。结论 普瑞巴林联合曲马多治疗硼替佐米所致外周神经病理性疼痛较单纯曲马多治疗更有效,能够显著改善患者的生存质量,且不增加不良反应风险。

    • >临床研究·论著
    • 博来霉素多点注射联合介入栓塞治疗眼眶血管畸形的临床研究

      2025, 35(17):61-66. DOI: 10.3969/j.issn.1005-8982.2025.17.010

      摘要 (162) HTML (42) PDF 912.73 K (88) 评论 (0) 收藏

      摘要:目的 评估博来霉素多点注射联合介入栓塞治疗在治疗眼眶血管畸形中的临床疗效及安全性。方法 选取2020年1月—2023年12月在中国人民解放军陆军第七十三集团军医院接受治疗的115例眼眶血管畸形患者为研究对象。随机分为两组,对照组(57例)接受经导管动脉硬化栓塞治疗,治疗组(58例)接受博来霉素多点注射联合经导管动脉硬化栓塞治疗。采用数字减影血管造影指导介入治疗,并通过临床症状改善情况、瘤体面积变化、瘤体厚度变化、影像学评估及不良反应发生率等评价治疗效果。结果 治疗组的总有效率达到100%,高于对照组的85.96%(P <0.05)。治疗组治疗前后瘤体面积与瘤体厚度的差值均大于对照组(P <0.05)。影像学评估显示,治疗后眼眶血管畸形显著缩小,周围肿胀组织逐步恢复至正常状态。治疗组和对照组的不良反应发生率分别为3.44%和8.77%,差异无统计学意义(P >0.05)。两组均无严重并发症报告。结论 博来霉素多点注射联合经导管动脉硬化栓塞治疗在改善眼眶血管畸形临床症状和减小瘤体尺寸方面表现出显著优势,并且不良反应发生率较低,是一种有效且安全的治疗策略。

      • 0+1
      • 1+1
    • 二联与三联方案治疗恶性肿瘤化疗性恶心呕吐的疗效研究

      2025, 35(17):67-72. DOI: 10.3969/j.issn.1005-8982.2025.17.011

      摘要 (166) HTML (29) PDF 642.14 K (79) 评论 (0) 收藏

      摘要:目的 研究昂丹司琼与地塞米松的二联方案与昂丹司琼、阿瑞匹坦、地塞米松的三联方案在治疗恶性肿瘤化疗性恶心呕吐(CINV)中的疗效。方法 回顾性收集2021年1月—2023年7月西安交通大学第二附属医院接受化疗的120例CINV患者的临床资料,根据治疗方案不同分为二联组与三联组,每组60例。二联组使用昂丹司琼、地塞米松治疗,三联组使用昂丹司琼、阿瑞匹坦、地塞米松治疗。比较两组治疗后的恶心、呕吐症状分级、恶心呕吐功能生活质量量表(FLIE)评分、Karnofsky功能状态(KPS)评分、血清5-羟色胺(5-HT)水平、多巴胺(DA)水平及不良反应发生情况。结果 治疗后,三联组的恶心、呕吐症状严重程度占比均低于二联组(P <0.05);三联组FLIE评分低于二联组,KPS评分高于二联组(P <0.05);三联组血清5-HT和DA水平均低于二联组(P <0.05);两组不良反应总发生率比较,差异无统计学意义(P >0.05)。结论 昂丹司琼、阿瑞匹坦、地塞米松组成的三联疗法在治疗恶性肿瘤患者因化疗引发的恶心呕吐方面,其疗效显著优于昂丹司琼与地塞米松组成的二联疗法,且两者在不良反应发生率上保持相似水平。因此,三联疗法在临床应用中展现出更为优越的价值和广阔的前景。

    • 自体下关节突骨块辅助腰椎椎间融合术治疗腰椎退行性病变伴骨质疏松症的效果研究

      2025, 35(17):73-79. DOI: 10.3969/j.issn.1005-8982.2025.17.012

      摘要 (148) HTML (56) PDF 654.39 K (84) 评论 (0) 收藏

      摘要:目的 探讨自体下关节突骨块辅助腰椎椎间融合术(LIF)治疗腰椎退行性病变伴骨质疏松症的临床效果。方法 选取2021年6月—2023年6月黄石市中医医院112例腰椎退行性病变伴骨质疏松症患者,按照分层随机抽样法,将患者分为对照组与试验组,每组56例。对照组接受自体髂骨块为植骨块辅助LIF治疗,试验组接受自体下关节突骨块辅助LIF治疗。对比两组临床指标、疼痛状况[McGill疼痛评估量表(MPQ)评分]、腰椎功能[Oswestry功能障碍指数(ODI)评分、日本骨科协会(JOA)评分]、生活质量[健康状况量表(SF-36)评分]、腰椎前凸角(LL)、节段前凸角(SL)、融合间隙角(DL)、椎间隙高度(DH)、DH改善率、融合率、术后并发症(感染、供区疼痛、神经损伤、移植物后退、移植物塌陷)差异。结果 试验组手术时间和术中出血量均低于对照组(P <0.05);试验组与对照组术后引流量、腰椎骨密度和住院天数比较,差异均无统计学意义(P >0.05)。试验组与对照组术后1、3、6个月的MPQ、ODI、JOA、SF-36评分比较,结果 ①不同时间点MPQ、ODI、JOA、SF-36评分比较,差异均有统计学意义(P <0.05);②试验组与对照组MPQ、ODI、JOA、SF-36评分比较,差异均有统计学意义(P <0.05),试验组术后1、3、6个月MPQ、ODI评分均低于对照组,JOA、SF-36评分均高于对照组;③两组MPQ评分变化趋势比较,差异无统计学意义(P >0.05),两组ODI、JOA、SF-36评分变化趋势比较,差异均有统计学意义(P <0.05)。试验组与对照组术后1、3、6个月的LL、SL、DL比较,结果 ①不同时间点LL、SL、DL比较,差异均有统计学意义(P <0.05);②试验组与对照组LL、SL、DL比较,差异均无统计学意义(P >0.05);③两组LL、SL、DL变化趋势比较,差异均无统计学意义(P >0.05)。试验组与对照组术后1、3、6个月的DH比较,结果 ①不同时间点DH比较,差异有统计学意义(P <0.05);②试验组与对照组DH比较,差异无统计学意义(P >0.05);③两组DH变化趋势比较,差异无统计学意义(P >0.05)。试验组术后1个月DH改善率低于对照组(P <0.05)。试验组与对照组术后3、6个月DH改善率比较,差异均无统计学意义(P >0.05)。试验组术后6个月融合率高于对照组(P <0.05)。试验组并发症总发生率低于对照组(P <0.05)。结论 自体下关节突骨块辅助LIF治疗腰椎退行性病变伴骨质疏松症能够有效改善临床指标和腰椎功能,提高生活质量,减少术后并发症的发生,促进椎体融合,具有显著的临床价值。

    • 低强度脉冲超声联合常规康复治疗肩关节挛缩的疗效分析

      2025, 35(17):80-85. DOI: 10.3969/j.issn.1005-8982.2025.17.013

      摘要 (228) HTML (29) PDF 641.20 K (78) 评论 (0) 收藏

      摘要:目的 观察低强度脉冲超声(LIPUS)联合常规康复治疗和单纯常规康复治疗对肩关节挛缩患者的疗效。方法 选取2024年1月—2024年12月于安徽医科大学第二附属医院接受治疗的肩关节挛缩患者59例。根据数字表法随机分为对照组30例和实验组29例,对照组采用单纯常规康复治疗,实验组采用常规康复治疗+ LIPUS治疗。评估两组患者治疗前后的患肩关节活动度、视觉模拟评估法(VAS)评分、Constant Murley肩关节评分(CMS)和患侧肩部三角肌表面积分肌电值(iEMG)。结果 实验组治疗前后前屈活动度、外展活动度和后伸活动评分的差值均高于对照组(P <0.05)。两组患者患侧肩关节治疗前后CMS评分差值比较,差异均有统计学意义(P <0.05);实验组治疗前后疼痛程度、日常生活、肌力及肩关节活动度4项评分的差值均高于对照组。实验组治疗前后VAS评分的差值均高于对照组(P <0.05)。实验组治疗前后前屈iEMG值、外展iEMG值差值均高于对照组(P <0.05)。结论 LIPUS联合常规康复治疗能显著缓解肩关节疼痛和增加患侧肩关节活动范围,改善肩关节的综合功能,提高患侧三角肌iEMG值,其综合疗效优于单纯常规康复治疗。

    • 髋关节旋转中心位置对全髋关节置换术后Crowe Ⅳ型DDH患者关节功能的影响

      2025, 35(17):86-92. DOI: 10.3969/j.issn.1005-8982.2025.17.014

      摘要 (132) HTML (122) PDF 707.96 K (75) 评论 (0) 收藏

      摘要:目的 探讨不同髋关节旋转中心位置对全髋关节置换术后Crowe Ⅳ型发育性髋关节发育不良(DDH)患者关节功能恢复的影响。方法 选取2019年1月—2024年3月唐山市人民医院82例行全髋关节置换术的Crowe Ⅳ型DDH患者为研究对象,根据术后标准骨盆正位片测量旋转中心垂直上移距离(ΔH),将患者分为3组:ΔH1组(ΔH<5 mm,34例),ΔH2组(ΔH 5~<10 mm,29例),ΔH3组(ΔH≥10 mm,19例)。比较3组术前、术后3个月、术后6个月、术后12个月的Harris评分(HHS)、伯格平衡量表(BBS)评分、视觉模拟评分法(VAS)评分及Trendelenburg征阳性率;比较3组术后12个月患侧与健侧臼杯前倾角、外展角、偏心距的差异,以及假体松动、脱位、髂腰肌撞击等不良事件的发生情况。结果 术前、术后3个月、术后6个月、术后12个月HHS、BBS、VAS评分比较,结果 ①不同时间点的HHS、BBS、VAS评分比较,差异均有统计学意义(P <0.05);②ΔH1组、ΔH2组和ΔH3组的HHS、BBS、VAS评分比较,差异均有统计学意义(P <0.05);③3组的HHS评分变化趋势比较,差异有统计学意义(P <0.05)。3组术后3、6、12个月Trendelenburg征阳性率比较,差异均有统计学意义(P <0.05);ΔH3组术后12个月Trendelenburg征阳性率均高于ΔH1组和ΔH2组,术后3个月、6个月Trendelenburg征阳性率均高于ΔH1组(P <0.05)。3组术后12个月患者患侧与健侧臼杯前倾角、臼杯外展角、偏心距的差值比较,差异均有统计学意义(P <0.05);ΔH1组患侧与健侧臼杯前倾角的差值均小于ΔH2组和ΔH3组(P <0.05),臼杯外展角和偏心距的差值均小于ΔH3组(P <0.05);ΔH2组患侧与健侧臼杯前倾角、臼杯外展角、偏心距的差值均小于ΔH3组(P <0.05)。ΔH3组不良事件总发生率均高于ΔH1组和ΔH2组(P <0.0125)。结论 髋关节旋转中心位置的合理调整对Crowe Ⅳ型DDH患者的全髋关节置换术后关节功能恢复具有重要影响。适度调整旋转中心位置可显著提高术后髋关节功能,且安全性较高,上移幅度<10 mm时效果更佳。这一调整策略对临床改善患者的关节功能及减少并发症具有积极作用。

    • 瑞马唑仑在肥胖患者腹腔镜胆囊切除术中的应用

      2025, 35(17):93-98. DOI: 10.3969/j.issn.1005-8982.2025.17.015

      摘要 (167) HTML (18) PDF 633.65 K (87) 评论 (0) 收藏

      摘要:目的 探讨瑞马唑仑在肥胖患者腹腔镜胆囊切除术中的应用。方法 选取2021年9月—2024年2月铜川市人民医院120例接受腹腔镜胆囊切除术的肥胖患者为研究对象,采用摸球法分组,奇数为对照组,偶数为观察组,每组60例。对照组予以丙泊酚麻醉诱导,观察组予以瑞马唑仑麻醉诱导,比较两组麻醉苏醒效果、不同时间点[麻醉诱导前(T0)、插管即刻(T1)、气腹即刻(T2)、拔管即刻(T3)]的血流动力学指标[平均动脉压(MAP)、心率(HR)]、术前及术后1 d的氧化应激指标[超氧化物歧化酶(SOD)、丙二醛(MDA)、谷胱甘肽过氧化物酶(GSH-Px)]、认知功能评分[简易精神状态评价量表(MMSE)]及不良反应发生情况。结果 观察组苏醒时间、拔管时间和麻醉恢复室(PACU)停留时间均短于对照组(P <0.05)。实验组与对照组不同时间点的MAP、HR水平比较,结果 ①不同时间点MAP、HR水平比较,差异有统计学意义(P <0.05);②实验组与对照组MAP、HR水平比较,差异有统计学意义(P <0.05),实验组MAP、HR水平较高,相对血流动力学较稳定;③两组MAP、HR水平变化趋势比较,差异有统计学意义(P <0.05)。观察组术前与术后1 d的SOD、GSH-Px、MDA及MMSE评分的变化幅度均小于对照组(P <0.05)。观察组不良反应总发生率低于对照组(P <0.05)。结论 瑞马唑仑在肥胖患者腹腔镜胆囊切除术中能有效缩短苏醒时间和PACU停留时间,改善氧化应激指标及认知功能,且不良反应发生率较低。

    • Carisolv伢典微创去腐联合3M复合树脂填充治疗儿童龋齿的效果

      2025, 35(17):99-104. DOI: 10.3969/j.issn.1005-8982.2025.17.016

      摘要 (196) HTML (22) PDF 646.36 K (92) 评论 (0) 收藏

      摘要:目的 探讨Carisolv伢典微创去腐联合3M复合树脂填充治疗儿童龋齿的效果。方法 纳入2021年10月—2023年10月榆林市第一医院收治的106例龋齿患儿,采用摸球法分组,奇数为对照组,偶数为观察组,每组53例。对照组予以传统机械去腐联合3 M复合树脂填充,观察组予以Carisolv伢典微创去腐联合3M复合树脂填充。比较两组修复效果、治疗前后的疼痛程度(儿童疼痛行为量表评分)、牙周指标[牙龈指数(GI)、菌斑指数(PLI)]、依从性(Frankl依从性量表评分)、耐受程度(Houpt行为量表评分)、并发症发生情况。结果 对照组与观察组总有效率比较,差异有统计学意义(P <0.05)。观察组疼痛程度低于对照组(P <0.05)。对照组与观察组治疗前GI和PLI比较,差异均无统计学意义(P >0.05)。对照组与观察组治疗后GI和PLI比较,差异均有统计学意义(P <0.05);观察组治疗后GI和PLI均小于对照组。观察组治疗前后GI和PLI的差值均大于对照组(P <0.05)。对照组与观察组治疗前Frankl和Houpt评分比较,差异均无统计学意义(P>0.05)。观察组治疗后Frankl和Houpt评分均高于对照组(P <0.05)。观察组治疗前后Frankl和Houpt评分的差值均小于对照组(P <0.05)。观察组并发症发生率低于对照组(P <0.05)。结论 Carisolv伢典微创去腐联合3M复合树脂填充治疗儿童龋齿较传统机械去腐治疗效果更佳,能有效减轻疼痛、提高修复效果、改善牙周指标和依从性,且并发症发生率较低。

当期目录


年第卷第

文章目录

过刊浏览

年份

刊期

点击排行

引用排行

下载排行