• 2025年第20期文章目次
    全 选
    显示方式: |
    • >关节疾病专题·论著
    • 血清OSTN、SII水平在老年股骨粗隆间骨折股骨近端防旋髓内钉术后的变化及其临床意义

      2025, 35(20):1-7. DOI: 10.3969/j.issn.1005-8982.2025.20.001

      摘要 (341) HTML (93) PDF 719.73 K (146) 评论 (0) 收藏

      摘要:目的 分析血清骨织素(OSTN)、全身免疫炎症指数(SII)水平在老年股骨粗隆间骨折股骨近端防旋髓内钉(PFNA)术后的变化及其临床意义。方法 回顾性分析2023年1月—2023年12月十堰市人民医院收治的92例老年股骨粗隆间骨折PFNA术患者的临床资料。术后随访2年,参照Harris髋关节功能评分,分为预后良好组(Harris评分 ≥80分)和预后不佳组(Harris评分 < 80分)。于术前、术后1 d及术后10个月检测患者血清OSTN及SII水平,观察其变化情况,并比较两组临床资料,分析股骨粗隆间骨折患者PFNA术后远期预后的影响因素,血清OSTN、SII水平对股骨粗隆间骨折患者PFNA术后远期预后的预测价值。结果 92例患者术前1 d、术后1 d及10个月的血清OSTN水平和SII比较,差异均有统计学意义(P < 0.05);血清OSTN水平呈下降趋势,SII呈先升高再降低趋势。2年后随访,92例患者中有71例Harris评分 ≥ 80分。预后不佳组糖尿病率、重度骨质疏松占比及SII水平均高于预后良好组(P <0.05),术后1 d的OSTN水平低于预后良好组(P <0.05)。多因素一般Logistic回归分析结果显示:糖尿病[O^R=3.047(95% CI:1.060,8.758)]、重度骨质疏松[O^R=3.462(95% CI:1.239,9.674)]、OSTN低水平[O^R=0.056(95% CI:0.019,0.163)]及SII高水平[O^R=1.004(95% CI:1.001,1.007)]均为PFNA术后远期预后不佳的危险因素(P <0.05)。受试者工作特征曲线结果表明,血清OSTN联合SII预测股骨粗隆间骨折患者PFNA术后远期预后的曲线下面积为0.891(95% CI:0.835,0.967),敏感性为81.40%(95% CI:0.726,0.905),特异性为91.50%(95% CI:0.834,0.985)。结论 老年股骨粗隆间骨折患者PFNA术后血清OSTN水平下降,SII先升后降。两者联合可更好地预测PFNA术后远期预后,可通过其指导临床治疗,改善预后。

      • 0+1
    • 布比卡因脂质体行肌间沟臂丛神经阻滞对全身麻醉肩关节镜患者术后镇痛及早期功能恢复的影响

      2025, 35(20):8-14. DOI: 10.3969/j.issn.1005-8982.2025.20.002

      摘要 (256) HTML (90) PDF 693.39 K (124) 评论 (0) 收藏

      摘要:目的 探讨布比卡因脂质体用于肌间沟臂丛神经阻滞对全身麻醉肩关节镜患者术后镇痛及早期功能恢复的影响。方法 选取2024年6月—2025年4月徐州医科大学附属淮安医院收治的96例全身麻醉肩关节镜手术患者,按随机数字表法分为对照组(盐酸罗哌卡因)和观察组(布比卡因脂质体),各48例。比较两组患者手术指标、血流动力学、疼痛指标、早期恢复指标、炎症指标、应激指标及不良反应的发生情况。结果 观察组与对照组手术时间和住院时间比较,差异均无统计学意义(P >0.05)。观察组与对照组入手术室时、术毕、术后30 min的心率(HR)、平均动脉压(MAP)比较,结果 ①不同时间点HR、MAP比较,差异均有统计学意义(P <0.05);②观察组与对照组HR、MAP比较,差异均有统计学意义(P <0.05),观察组HR较低,MAP较高;③两组HR、MAP变化趋势比较,差异均有统计学意义(P <0.05)。观察组与对照组术后1、6、12和48 h的静息状态下视觉模拟评分法(VAS)评分比较,结果 ①不同时间点VAS评分比较,差异有统计学意义(P <0.05);②观察组与对照组VAS评分比较,差异有统计学意义(P <0.05),观察组VAS评分较低,相对镇痛效果较好;③两组VAS评分变化趋势比较,差异有统计学意义(P <0.05)。观察组术前后恢复质量量表评分、前屈活动度、外展活动度的差值均大于对照组(P <0.05)。观察组术前后白细胞介素-6、C-反应蛋白、丙二醛、超氧化物歧化酶的差值均小于对照组(P <0.05)。观察组与对照组不良事件总发生率比较,差异无统计学意义(P >0.05)。结论 布比卡因脂质体肌间沟臂丛神经阻滞可显著改善全身麻醉肩关节镜患者的术后镇痛效果,促进早期功能恢复,减轻炎症反应,且安全性良好,具有临床推广价值。

    • Endobutton带袢钢板弹性固定在踝关节骨折合并下胫腓联合韧带损伤中的应用效果

      2025, 35(20):15-20. DOI: 10.3969/j.issn.1005-8982.2025.20.003

      摘要 (197) HTML (240) PDF 614.39 K (128) 评论 (0) 收藏

      摘要:目的 探讨Endobutton带袢钢板弹性固定在踝关节骨折合并下胫腓联合韧带损伤中的应用效果。方法 选取2021年1月—2024年10月宁夏医科大学附属石嘴山市第一人民医院接受治疗的86例踝关节骨折合并下胫腓联合韧带损伤患者作为研究对象。通过随机数字表法将患者分为对照组和观察组,各43例。对照组接受下胫腓螺钉刚性固定,观察组接受Endobutton带袢钢板弹性固定。记录患者的手术时间、术中出血量、切口长度、下床活动时间,比较术前和术后6个月的踝关节活动度(背伸、跖屈、内翻、外翻)、影像学检测指标[胫骨远端前侧关节面角(TAS)、距骨倾斜角(TT)、胫骨踝穴角(TC)、胫骨侧位关节面角(TLS)],通过美国足踝外科协会(AOFAS)评分、Barthel指数(BI)评估患者的踝关节功能和日常活动能力。记录术后并发症发生情况。结果 两组患者手术时间、术中出血量和切口长度比较,差异均无统计学意义(P >0.05)。观察组下床活动时间短于对照组(P <0.05)。观察组手术后踝关节背伸、跖屈、内翻、外翻角度均大于对照组(P <0.05)。观察组手术前后踝关节背伸、跖屈、内翻、外翻角度的差值均大于对照组(P <0.05)。观察组手术后TAS、TC、TLS均大于对照组(P <0.05),TT小于对照组(P <0.05)。观察组手术前后TAS、TT、TC、TLS的差值均大于对照组(P <0.05)。观察组手术后AOFAS评分、BI指数均高于对照组(P <0.05)。观察组手术前后AOFAS评分、BI指数的差值均大于对照组(P <0.05)。观察组术后并发症发生率低于对照组(P <0.05)。结论 Endobutton带袢钢板弹性固定治疗踝关节骨折合并下胫腓联合损伤较螺钉固定可更好地促进患者早期活动,改善踝关节功能,并减少并发症风险。

    • 3种钢板内固定手术在HaraguchiⅡ型后踝骨折中的临床应用

      2025, 35(20):21-26. DOI: 10.3969/j.issn.1005-8982.2025.20.004

      摘要 (189) HTML (64) PDF 666.57 K (103) 评论 (0) 收藏

      摘要:目的 对比改良纵向弧形切口后内侧、后外联合后内侧、跟腱旁后内侧入路钢板内固定在Haraguchi Ⅱ型后踝骨折中临床应用。方法 回顾性分析2020年3月—2022年2月中国人民解放军联勤保障部队第九〇四医院收治的127例Haraguchi Ⅱ型后踝骨折患者的临床资料,以随机数字表法分为A组(42例)、B组(43例)和C组(42例)。A组行后外联合后内侧入路钢板内固定治疗,B组行跟腱旁后内侧入路钢板内固定治疗,C组行改良纵向弧形切口后内侧入路钢板内固定治疗。对比3组围手术期资料、手术效果、骨折复位质量、骨折愈合时间及并发症。结果 B、C组术中失血量少于A组(P <0.05)。3组手术时间和切口愈合等级比较,差异均无统计学意义(P >0.05)。3组术后3个月和术后2年视觉模拟评分法和美国足踝外科协会评分比较,差异均无统计学意义(P >0.05)。3组完全负重时间、踝屈伸-跖屈活动度(ROM)、踝屈伸-背屈ROM比较,差异均无统计学意义(P >0.05)。B、C组骨折复位质量优于A组(P <0.05),B、C组骨折愈合时间短于A组(P <0.05)。A组并发症总发生率最高(P <0.012 5),C组并发症总发生率最低(P <0.012 5)。结论 相比于后外联合后内侧入路,改良纵向弧形切口后内侧、跟腱旁后内侧入路钢板内固定可降低Haraguchi Ⅱ型后踝骨折患者并发症发生风险,提高复位质量,缩短骨折愈合时间,并减轻手术创伤。

    • 3.0T MRI平扫与64排螺旋CT在诊断肩关节损伤中的对比研究

      2025, 35(20):27-31. DOI: 10.3969/j.issn.1005-8982.2025.20.005

      摘要 (188) HTML (189) PDF 591.41 K (108) 评论 (0) 收藏

      摘要:目的 分析3.0T MRI平扫与64排螺旋CT在诊断肩关节损伤中的应用效果。方法 选取2023年11月—2024年12月在中国人民解放军联勤保障部队第九〇三医院就诊的疑似肩关节损伤患者122例,以关节镜检查为“金标准”,分析肩关节损伤患者的诊断结果。对其采取3.0T MRI平扫、64排螺旋CT检查,比较3.0T MRI平扫、64排螺旋CT检查肩关节损伤的诊断效能及对肩关节损伤不同情况的诊断准确率。结果 122例疑似肩关节损伤患者中,以关节镜检查为“金标准”,确诊肩关节损伤116例(95.08%),其中肩袖损伤76例,盂唇损伤32例,肩峰撞击综合征13例,粘连性肩关节囊炎4例,肱二头肌长头腱损伤2例。3.0T MRI平扫诊断肩关节损伤的敏感性为84.48%(95% CI:0.759,0.930),特异性为66.67%(95% CI:0.582,0.752);64层螺旋CT诊断肩关节损伤的敏感性为59.48%(95% CI:0.510,0.680),特异性为33.33%(95% CI:0.248,0.418)。3.0T MRI平扫检查肩袖损伤、盂唇损伤诊断准确率均高于64排螺旋CT检查(P <0.05);3.0T MRI平扫与64排螺旋CT检查肩峰撞击综合征、粘连性肩关节囊炎和肱二头肌长头腱损伤诊断准确率比较,差异均无统计学意义(P >0.05)。3.0T MRI平扫诊断肩袖损伤的敏感性为53.95%(95% CI:0.455,0.625),特异性为76.09%(95% CI:0.676,0.846);64层螺旋CT诊断肩袖损伤的敏感性为26.32%(95% CI:0.178,0.348),特异性为86.96%(95% CI:0.785,0.955)。3.0T MRI平扫诊断盂唇损伤的敏感性为53.95%(95% CI:0.455,0.625),特异性为76.09%(95% CI:0.676,0.846);64层螺旋CT诊断盂唇损伤的敏感性为26.32%(95% CI:0.178,0.348),特异性为86.96%(95% CI:0.785,0.955)。结论 肩关节损伤患者应用3.0T MRI平扫、64排螺旋CT检查均具有较好的诊断效能,但3.0T MRI平扫检查在诊断肩关节损伤方面更具优势。

    • OATS联合ADSCs、ACI修复膝关节大面积全层软骨缺损的效果分析

      2025, 35(20):32-38. DOI: 10.3969/j.issn.1005-8982.2025.20.006

      摘要 (172) HTML (103) PDF 719.40 K (112) 评论 (0) 收藏

      摘要:目的 探讨网状微钻孔自体骨软骨马赛克移植(OATS)联合自体脂肪干细胞(ADSCs)、软骨细胞移植(ACI)修复膝关节大面积全层软骨缺损的效果。方法 回顾性分析2019年1月—2023年6月华北医疗健康集团峰峰总医院邯郸院区收治的膝关节大面积全层软骨受损患者100例,按治疗方法分为对照组(48例)、观察组(52例)。对照组采取网状微钻孔联合OATS方法治疗;观察组在此基础上采取ACI+ADSCs技术促进修复。随访1年,对比两组患者膝关节疼痛程度、膝关节功能、生活质量和不良反应。结果 实验组与对照组术后1、3、6个月静息状态下视觉模拟评分(VAS)、国际膝关节文献委员会主观膝部评估表(IKDC)和Lysholm膝关节评分量表(Lysholm)评分比较,结果 ①不同时间点VAS、IKDC和Lysholm评分比较,差异均有统计学意义(P <0.05);②实验组与对照组VAS、IKDC和Lysholm评分比较,差异有统计学意义(P <0.05),实验组VAS评分较低,IKDC和Lysholm评分较高;③两组VAS、IKDC和Lysholm评分变化趋势比较,差异有统计学意义(P <0.05)。实验组与对照组术前及术后6、12个月的生活质量调查量表(SF-36)评分比较,结果 ①不同时间点SF-36评分比较,差异有统计学意义(P <0.05);②实验组与对照组SF-36评分比较,差异有统计学意义(P <0.05),实验组SF-36评分较高;③两组SF-36评分变化趋势比较,差异有统计学意义(P <0.05)。两组不良反应总发生率比较,差异无统计学意义(P >0.05)。结论 NanoF+OATS联合ACI+ADSCs修复膝关节大面积全层软骨缺损能减轻患者术后疼痛,加快膝关节功能恢复,提高患者生活质量,且安全性较好。

    • 艾司氯氨酮自控静脉镇痛联合连续髋关节囊周围神经阻滞对老年全髋关节置换术后镇痛的影响

      2025, 35(20):39-45. DOI: 10.3969/j.issn.1005-8982.2025.20.007

      摘要 (141) HTML (28) PDF 735.82 K (69) 评论 (0) 收藏

      摘要:目的 分析艾司氯氨酮自控静脉镇痛(PCIA)联合连续髋关节囊周围神经阻滞(PENGB)对老年全髋关节置换术(THA)后镇痛的影响。方法 回顾性分析2019年4月—2023年7月在宜兴市中医医院行THA的95例老年患者的临床资料,按照不同麻醉方法将其分为对照组和观察组。对照组(46例)采用艾司氯氨酮PCIA联合常规腰丛阻滞,观察组(49例)采用PCIA联合连续髋关节囊PENGB,比较两组镇痛效果。结果 实验组与对照组麻醉前(T0)、麻醉完成后10 min(T1)、术后20 min(T2)时、术后3 h(T3)、术后6 h(T4)、术后24 h(T5)的心率(HR)和平均动脉压(MAP)水平比较,结果 ①不同时间点HR和MAP水平比较,差异有统计学意义(P <0.05);②实验组与对照组HR和MAP水平比较,差异有统计学意义(P <0.05);③两组HR和MAP水平变化趋势比较,差异有统计学意义(P <0.05)。观察组术后12 h与24 h的肾上腺素、β-内啡肽的差值均小于对照组(P <0.05)。观察组术后12 h与24 h的神经肽Y、P物质、前列腺素E2、静息时疼痛评分和活动时疼痛评分的差值均大于对照组(P <0.05)。观察组镇痛泵按压次数和补救镇痛率均低于对照组(P <0.05)。观察组与对照组不良反应总发生率比较,差异无统计学意义(P >0.05)。结论 采用艾司氯氨酮PCIA联合连续PENGB对老年THA可显著减轻疼痛介质和疼痛程度,降低患者应激反应,且血流动力学较稳定,不良反应较少。

    • 雷火灸联合主动疼痛管理在踝关节骨折术后的临床应用研究

      2025, 35(20):46-52. DOI: 10.3969/j.issn.1005-8982.2025.20.008

      摘要 (151) HTML (48) PDF 638.36 K (70) 评论 (0) 收藏

      摘要:目的 探讨雷火灸联合主动疼痛管理在踝关节骨折术后疼痛患者中的应用效果。方法 选取2022年1月—2024年1月无锡市第九人民医院收治的82例踝关节骨折患者作为研究对象。根据随机数字表法将患者分为对照组和观察组,各41例。两组均在术后次日接受常规康复训练,对照组在常规康复训练的基础上联合主动疼痛管理,观察组在对照组基础上接受雷火灸治疗。记录患者治疗前、治疗1周和治疗4周后的疼痛评分和踝关节肿胀程度,比较两组治疗前和治疗4周后的炎症因子水平、踝关节活动度,并通过美国足踝外科协会(AOFAS)评分比较两组患者手术前后的踝关节功能。结果 两组患者治疗前、治疗1周后、治疗4个月后的视觉模拟评分法(VAS)评分、关节肿胀值比较,结果 ①不同时间点VAS评分、关节肿胀值比较,差异均有统计学意义(F =362.094、1 512.463,均P <0.05);②两组患者VAS评分、关节肿胀值比较,差异均有统计学意义(F =11.054、34.932,均P <0.05),观察组治疗后VAS评分、关节肿胀值较低;③两组患者VAS评分、关节肿胀值变化趋势比较,差异均有统计学意义(F =3.302、12.971,均P <0.05)。两组患者治疗前白细胞介素-6(IL-6)、C反应蛋白(CRP)比较,差异均无统计学意义(P >0.05)。观察组治疗后IL-6、CRP均低于对照组(P <0.05)。两组治疗后IL-6、CRP均较治疗前低(P <0.05)。观察组治疗前后IL-6、CRP的差值均高于对照组(P <0.05)。两组患者治疗前背伸、跖屈、内翻、外翻活动度比较,差异均无统计学意义(P >0.05)。观察组治疗后背伸、跖屈、内翻、外翻活动度均大于对照组(P <0.05)。两组治疗后背伸、跖屈、内翻、外翻活动度均较治疗前大(P <0.05)。观察组治疗前后背伸、跖屈、内翻、外翻活动度的差值均大于对照组(P <0.05)。两组患者治疗前疼痛、功能、足部对线评分比较,差异均无统计学意义(P >0.05)。观察组治疗后疼痛程度、踝关节功能、足部对线评分均高于对照组(P <0.05)。观察组治疗后疼痛程度、踝关节功能、足部对线评分均高于对照组(P <0.05)。观察组治疗前后疼痛程度、踝关节功能、足部对线评分的差值均高于对照组(P <0.05)。结论 雷火灸联合主动疼痛管理有助于降低踝关节骨折患者术后疼痛,改善关节功能。

    • >实验研究·论著
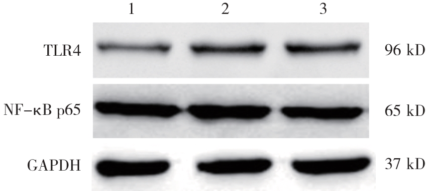
    • PRP-Exos通过TLR4/NF-κB通路对神经病理性疼痛的作用及其机制研究

      2025, 35(20):53-59. DOI: 10.3969/j.issn.1005-8982.2025.20.009

      摘要 (169) HTML (50) PDF 2.64 M (82) 评论 (0) 收藏

      摘要:目的 探讨富血小板血浆来源外泌体(PRP-Exos)通过TLR4/NF-κB信号通路对坐骨神经损伤(SNI)大鼠神经病理性疼痛的作用及其分子机制。方法 将30只雄性SD大鼠随机分为空白组、模型组和PRP-Exos组,每组10只。模型组和PRP-Exos组采用SNI法复制神经病理性疼痛模型。PRP-Exos组模型复制后第7天起鞘内注射200 mg/L PRP-Exos(0.5 mL/次,隔日1次,共10次),模型组注射等体积生理盐水。检测干预前后大鼠机械痛阈值(MWT)、热痛阈值(TWL)及坐骨神经运动神经传导速度(MNCV);干预结束后,坐骨神经甲苯胺蓝染色观察病理形态,透射电镜观察并测量有髓神经纤维的轴突直径和髓鞘厚度,酶联免疫吸附试验测定脊髓组织肿瘤坏死因子-α(TNF-α)和白细胞介素-6(IL-6)水平,Western blotting检测脊髓Toll样受体4(TLR4)、核因子-κB(NF-κB)、p65蛋白表达。结果 空白组、模型组和PRP-Exos组术前、模型复制后第6天、给药10次时MWT、TWL、MNCV水平比较,结果 ①不同时间点MWT和TWL水平比较,差异均有统计学意义(P <0.05)。②3组MWT、TWL、MNCV水平比较,差异均有统计学意义(P <0.05);与空白组相比,模型组和PRP-Exos组模型复制后第6天、给药10次时MWT、TWL、MNCV水平均降低;与模型组相比,PRP-Exos组给药10次时MWT、TWL、MNCV水平均升高。③3组MWT、TWL、MNCV水平变化趋势比较,差异有统计学意义(P <0.05)。与空白组相比,模型组和PRP-Exos组轴突直径和髓鞘厚度均减小(P <0.05);与模型组相比,PRP-Exos组轴突直径和髓鞘厚度均增大(P <0.05)。与空白组相比,模型组和PRP-Exos组TNF-α、IL-6水平和TLR4、NF-κB p65蛋白相对表达量均升高(P <0.05);与模型组相比,PRP-Exos组TNF-α、IL-6水平和TLR4、NF-κB p65蛋白相对表达量均降低(P <0.05)。结论 PRP-Exos可通过抑制TLR4/NF-κB信号通路,减少脊髓炎症因子释放,改善SNI大鼠神经病理形态,从而缓解神经病理性疼痛。

      • 0+1
      • 1+1
    • >综述
    • 肿瘤坏死因子-α在分枝杆菌肉芽肿免疫中的研究进展

      2025, 35(20):60-65. DOI: 10.3969/j.issn.1005-8982.2025.20.010

      摘要 (198) HTML (55) PDF 662.74 K (114) 评论 (0) 收藏

      摘要:肿瘤坏死因子-α(TNF-α)通过TNFR1/TNFR2受体介导的核转录因子κB、丝裂原活化蛋白激酶及凋亡信号通路,在肺感染性肉芽肿免疫中呈现“保护-损伤”双重效应。TNF-α通过调控巨噬细胞极化及T细胞免疫应答,在分枝杆菌肉芽肿免疫中发挥核心防御功能,通过维持肉芽肿结构完整性限制病原体播散及增强吞噬杀伤能力清除病原体。TNF-α缺失或过量则引发肉芽肿坏死、纤维化及病原播散,凸显其精准调控在免疫保护中的必要性。临床使用抗TNF治疗可显著增加结核再激活、真菌及非结核分枝杆菌感染风险,单克隆抗体类药物风险尤甚。未来需解析肉芽肿微环境中TNF-α的动态互作网络,开发精准干预TNF-α信号策略,优化抗感染疗效并减少副作用,为分枝杆菌肺病的治疗提供新思路。

    • Notch信号通路在血管新生方面的研究进展

      2025, 35(20):66-70. DOI: 10.3969/j.issn.1005-8982.2025.20.011

      摘要 (200) HTML (87) PDF 571.76 K (86) 评论 (0) 收藏

      摘要:神经源性位点缺口同源蛋白(Notch)信号通路参与调节细胞增殖、分化和凋亡过程,Notch信号通路的失调会导致多种疾病的发生。血管新生是一个复杂的生物学过程,Notch信号通路通过DLL4/Notch信号轴参与血管生成过程,影响内皮细胞的增殖。Notch信号通路调控血管新生的过程参与多种疾病的发生、发展,如癌症、心脑血管疾病和糖尿病。因此通过研究Notch信号通路调控血管新生的过程,可以更好地阐明该信号通路在疾病发生机制中的作用,还可能对相关疾病的诊断和治疗提供新思路。

    • >临床药学·论著
    • 经颅电刺激联合草酸艾司西酞普兰对脑出血后抑郁症患者神经递质水平及应激指标的影响

      2025, 35(20):71-76. DOI: 10.3969/j.issn.1005-8982.2025.20.012

      摘要 (149) HTML (65) PDF 632.42 K (80) 评论 (0) 收藏

      摘要:目的 探讨经颅电刺激联合草酸艾司西酞普兰在改善脑出血后抑郁症(PHD)患者神经递质水平和应激指标的临床效果。方法 选取2021年4月—2023年4月在南京医科大学附属淮安第一医院院收治的81例PHD患者为研究对象。采用随机数字表法将患者分为草酸艾司西酞普兰组(ESC组)、经颅电刺激组(tES组)及联合组(小剂量草酸艾司西酞普兰+tES治疗),各27例。评估患者治疗前后的抑郁程度[汉密尔顿焦虑量表(HAMA)、汉密尔顿抑郁量表(HAMD)]、神经递质水平[谷氨酸(Glu)、γ-氨基丁酸(GABA)、5-羟色胺(5-HT)、去甲肾上腺素(NE)]、氧化应激指标[皮质醇(CORT)、脑源性神经营养因子(BDNF)、一氧化氮(NO)、丙二醛(MDA)]、免疫炎症指标[中性粒细胞(Neu)、淋巴细胞计数(Lym)、中性粒细胞/淋巴细胞比值(NLR)、系统性炎症反应指数(SII)]、生活质量评分[脑卒中专用生活质量量表(SS-QOL)、匹兹堡睡眠质量指数(PSQI)],并评估治疗的安全性。结果 联合组治疗前后HAMA、HAMD的差值均高于ESC组、tES组(P <0.05)。联合组治疗前后Glu、GABA、5-HT、NE的差值均高于ESC组、tES组(P <0.05)。联合组治疗前后CORT、BDNF、NO、MDA的差值均高于ESC组、tES组(P <0.05)。联合组治疗前后Neu、Lym、SII的差值均高于ESC组、tES组(P <0.05)。联合组治疗前后SS-QOL、PSQI的差值均高于ESC组、tES组(P <0.05)。结论 经颅电刺激联合草酸艾司西酞普兰治疗PHD能有效改善患者的抑郁症状,提高神经递质水平,降低应激反应,改善免疫炎症状态,提升生活质量。且经颅电刺激能减少草酸艾司西酞普兰的用量,值得临床推广应用。

    • 拉贝洛尔结合不同剂量阿司匹林对子痫前期患者氧化应激、血压及母婴结局的影响

      2025, 35(20):77-82. DOI: 10.3969/j.issn.1005-8982.2025.20.013

      摘要 (135) HTML (89) PDF 636.18 K (74) 评论 (0) 收藏

      摘要:目的 探究子痫前期患者使用拉贝洛尔结合不同剂量阿司匹林治疗后的氧化应激、血压及母婴结局。方法 选取2021年12月—2023年10月西北妇女儿童医院产科收治的116例子痫前期患者为研究对象,根据阿司匹林用量分为低剂量组(38例)、中剂量组(39例)和高剂量组(39例)。3组患者采用拉贝洛尔联合阿司匹林肠溶片治疗,低、中、高剂量组阿司匹林肠溶片用量分别为25、50和100 mg/d,3组患者均治疗1周。治疗后检测氧化应激指标[血清超氧化物歧化酶(SOD)和谷胱甘肽过氧化物酶(GSH-Px)活性、血清丙二醛(MDA)、脂质过氧化物(LPO)]水平、血压[收缩压(SBP)和舒张压(DBP)],记录并比较母婴结局。结果 中、高剂量组治疗前后血清SOD、GSH-Px、MDA及LPO的差值均大于低剂量组(P <0.05)。中、高剂量组治疗前后SBP的差值均大于低剂量组(P <0.05);低、中、高剂量组治疗前后DBP的差值比较,差异无统计学意义(P >0.05)。低、中、高剂量组剖宫产、早产、产后出血、新生儿窒息率、新生儿死亡率比较,差异均无统计学意义(P >0.05)。结论 痫前期患者使用100 mg/d阿司匹林联合拉贝洛尔治疗可以有效改善氧化应激状态、血压和母婴结局,且具有良好的安全性。

    • >临床研究·论著
    • 高频超声联合血清microRNA-599、Galectin-3在乳头状甲状腺癌颈部淋巴结转移中的预测价值

      2025, 35(20):83-88. DOI: 10.3969/j.issn.1005-8982.2025.20.014

      摘要 (132) HTML (22) PDF 1.18 M (74) 评论 (0) 收藏

      摘要:目的 探讨高频超声联合血清microRNA-599(miR-599)、半乳糖凝集素-3(Galectin-3)在乳头状甲状腺癌(PTC)颈部淋巴结转移中的预测价值。方法 选取2021年3月—2024年3月北京中医药大学孙思邈医院80例临床诊断为PTC的患者,以病理学诊断作为“金标准”,根据患者是否发生颈部淋巴结转移分为:阳性组(有淋巴结转移35例)和阴性组(无淋巴结转移45例)。所有患者进行高频超声诊断及血清miR-599、Galectin-3水平检测,评估高频超声诊断价值并比较两组血清miR-599、Galectin-3水平,使用受试者工作特征(ROC)曲线评估其对PTC颈淋巴结转移的预测效能。结果 80例PTC患者中,病理学诊断阳性35例,阴性45例,高频超声诊断阳性42例,阴性38例。高频超声诊断的敏感性为80.0%(28/35),特异性为68.9%(31/45)。阳性组血清miR-599水平低于阴性组(P <0.05),Galectin-3水平高于阴性组(P <0.05)。ROC曲线结果表明,3者联合检测诊断PTC颈部淋巴结转移的敏感性为97.1%(95% CI:0.851,0.999),特异性为80.0%(95% CI:0.654,0.904),AUC为0.942(95% CI:0.894,0.990)。结论 高频超声结合血清miR-599和Galectin-3检测对PTC颈淋巴结转移的诊断更准确,优于单独检测,能更准确地预测颈部淋巴结转移的风险。

      • 0+1
      • 1+1
    • 3D个体化打印导向器在强直性脊柱炎胸腰椎骨折中的应用

      2025, 35(20):89-95. DOI: 10.3969/j.issn.1005-8982.2025.20.015

      摘要 (124) HTML (53) PDF 1018.03 K (65) 评论 (0) 收藏

      摘要:目的 评估3D个体化打印椎弓根螺钉导向置入在强直性脊柱炎患者胸腰椎骨折中的应用效果。方法 回顾性选取2019年1月—2022年10月在西南医科大学附属医院治疗的104例强直性脊柱炎合并胸腰椎骨折患者的临床资料。根据不同置钉方式分为观察组和对照组,分别有53、51例。观察组进行3D打印椎弓根导板辅助置钉;对照组采用传统X射线辅助徒手置钉。比较两组患者围手术期指标、术后1 d的应激指标[血清促肾上腺皮质激素(ACTH)、皮质醇(Cor)],并对比术前和术后12个月的视觉模拟评分法(VAS)、日本骨科协会腰椎功能评分(JOA)、骨代谢指标[骨钙素、骨碱性磷酸酶(BALP)]、脊柱三维运动范围、伤椎Cobb角、伤椎前缘高度和后缘高度。结果 观察组手术时间、置钉时间、切口长度短于对照组(P <0.05),术中出血量低于对照组(P <0.05),螺钉调整次数少于对照组(P <0.05)。观察组术后1 d ACTH、Cor水平均低于对照组(P <0.05)。观察组手术前后ACTH、Cor的差值均低于观察组(P <0.05)。观察组术后12个月VAS评分均低于对照组(P <0.05),JOA评分、骨钙素、BALP均高于对照组(P <0.05)。观察组患者手术前后VAS评分、JOA评分、骨钙素、BALP的差值均高于观察组(P <0.05)。观察组术后12个月脊柱前屈、后伸、侧屈和旋转范围均大于对照组(P <0.05)。观察组手术前后脊柱前屈、后伸、侧屈和旋转范围的差值均高于观察组(P <0.05)。观察组术后12个月的伤椎前缘高度、后缘高度均高于对照组(P <0.05),伤椎Cobb角低于对照组(P <0.05)。观察组手术前后伤椎Cobb角、伤椎前缘高度和后缘高度的差值均高于观察组(P <0.05)。结论 3D个体化打印导向器引导的椎弓根置入有助于强直性脊柱炎患者胸腰椎骨折后的恢复。

      • 0+1
    • 老年腹部恶性肿瘤患者围手术期发生谵妄的风险因素分析

      2025, 35(20):96-102. DOI: 10.3969/j.issn.1005-8982.2025.20.016

      摘要 (173) HTML (73) PDF 707.63 K (88) 评论 (0) 收藏

      摘要:目的 分析老年腹部恶性肿瘤患者围手术期发生谵妄的风险因素。方法 选取2023年6月—2024年12月南通大学附属第三人民医院收治的164例老年腹部恶性肿瘤患者,均接受手术治疗,在围手术期通过重症监护意识模糊评估法(CAM-ICU)评估患者是否发生谵妄,根据评估结果将所有患者分为谵妄组(52例)和非谵妄组(112例)。收集患者性别、年龄、受教育程度、基础疾病(高血压、高脂血症、冠心病、糖尿病)、围手术期指标(手术时间、麻醉时间、术中出血量)、术中风险事件(低血压、低体温、中转开腹)、术中用药、术前基本生化指标等,通过多因素一般Logistic回归模型筛选老年腹部恶性肿瘤患者围手术期发生谵妄的风险因素,构建列线图模型,并评价模型效能。结果 谵妄组患者的年龄、冠心病患病率、糖尿病患病率、手术时间、麻醉时间、术中出血量、低血压率、低体温率、氯胺酮使用率、白细胞计数均高于非谵妄组(P <0.05);氟比洛芬酯使用率、血红蛋白水平均低于非谵妄组(P <0.05)多因素一般Logistic回归分析结果显示:高龄[O^R=1.137(95% CI:1.037,1.246)]、合并冠心病[O^R=4.297(95% CI:1.164,15.862)]、术中出血量多[O^R=1.047(95% CI:1.030,1.064)]、术中低血压[O^R=3.362(95% CI:1.016,11.118)]、术中低体温[O^R=4.919(95% CI:1.168,20.714)]、术前血红蛋白水平低[O^R=0.970(95% CI:0.941,1.000)]均为谵妄的危险因素(P <0.05),氟比洛芬酯的使用[O^R=0.287(95% CI:0.083,0.991)]是谵妄的保护因素(P <0.05)。根据多因素分析结果建立列线图模型,结果显示,高龄、合并冠心病、术中出血量高、术中低血压、术中低体温、术前血红蛋白水平低均发生谵妄的风险因素,使用氟比洛芬酯是保护因素(P <0.05)。受试者工作特征曲线结果分析,列线图模型预测谵妄发生的敏感性为86.5%(95% CI:0.742,0.944),特异性为96.4%(95% CI:0.911,0.990),曲线下面积为0.937(95% CI:0.893,0.981)。结论 老年腹部恶性肿瘤患者围手术期发生谵妄的风险因素包括高龄、合并冠心病、术中出血量高、术中低血压及低体温、术前血红蛋白水平低,使用氟比洛芬酯为保护因素,且基于多因素分析建立的列线图模型预测效能较高。

      • 0+1
      • 1+1
    • 右美托咪定联合不同浓度七氟烷对下肢骨折手术患者应激反应、术后恢复及脑氧代谢的影响

      2025, 35(20):103-108. DOI: 10.3969/j.issn.1005-8982.2025.20.017

      摘要 (131) HTML (54) PDF 711.82 K (61) 评论 (0) 收藏

      摘要:目的 分析右美托咪定(DEX)联合不同浓度七氟烷对下肢骨折手术患者的应用效果。方法 选取2022年4月—2024年9月在宝鸡市中医医院行下肢骨折手术的患者84例,按随机数字表法分为观察组和对照组,各42例。对照组采取DEX联合高浓度(2.5%~4.0%)七氟烷行麻醉维持,观察组采取DEX联合低浓度(1.0%~2.0%)七氟烷行麻醉维持,比较两组麻醉效果。结果 观察组与对照组T0、T1、T2的心率(HR)、平均动脉压(MAP)、静脉血氧含量(CvO2)动脉血氧含量(CaO2)、静脉血氧含量(CvO2)、肾上腺皮质激素(ACTH)、皮质醇、肾上腺素(AD)水平比较,结果 ①不同时间点HR、MAP、CaO2、CvO2、ACTH、皮质醇、AD比较,差异均有统计学意义(P <0.05);②观察组与对照组HR、MAP比较,差异均无统计学意义(P >0.05);观察组与对照组CaO2、CvO2、ACTH、皮质醇、AD比较,差异均有统计学意义(P <0.05);③两组HR、MAP、CaO2、CvO2、ACTH、皮质醇、AD水平变化趋势比较,差异均有统计学意义(P <0.05)。观察组自主呼吸恢复时间和首次排气时间均短于对照组(P <0.05)。观察组术前与术后48 h的简易智力状态检查、视觉模拟评分法、蒙特利尔认知评估量表评分的差值均大于对照组(P <0.05)。观察组不良反应总发生率低于对照组(P <0.05)。结论 下肢骨折患者应用DEX联合低浓度七氟烷麻醉方案,可减小血流动力学波动、减轻认知功能损害,应激反应相对较小,且麻醉不良反应发生率较低。

    • 腹腔镜无张力疝修补术在老年腹股沟疝患者中的应用研究

      2025, 35(20):109-114. DOI: 10.3969/j.issn.1005-8982.2025.20.018

      摘要 (157) HTML (60) PDF 671.70 K (78) 评论 (0) 收藏

      摘要:目的 探究腹腔镜无张力疝修补术在老年腹股沟疝患者中的应用及对应激反应的影响。方法 回顾性选取2022年9月—2024年9月张家港市第一人民医院104例老年腹股沟疝患者,根据手术方式分为观察组和对照组,各52例。两组患者均予以无张力疝修补术,对照组患者予以传统开放式手术,观察组予以腹腔镜手术。比较两组围手术期相关指标、疼痛程度、应激反应、并发症及生活质量。结果 与对照组相比,观察组手术时间长、术后排气及下床时间短、住院时间短,并发症少(P <0.05)。观察组与对照组术前、术后24、48和72 h的静息状态下视觉模拟评分法(VAS)评分比较,结果 ①不同时间点VAS评分比较,差异有统计学意义(P <0.05);②观察组与对照组VAS评分比较,差异有统计学意义(P <0.05),观察组术后VAS评分较低,疼痛程度相对轻;③两组VAS评分变化趋势比较,差异有统计学意义(P <0.05)。观察组手术前后皮质醇、淀粉样蛋白A(SAA)、去甲肾上腺素(NE)、白细胞介素-6(IL-6)的差值均小于对照组(P <0.05)。观察组与对照组术前、术后3和6个月的生活质量量表(SF-36)评分比较,结果 ①不同时间点SF-36评分比较,差异有统计学意义(P <0.05);②观察组与对照组SF-36评分比较,差异有统计学意义(P <0.05),观察组术后SF-36评分较高,相对生活质量较好;③两组SF-36评分变化趋势比较,差异有统计学意义(P <0.05)。结论 腹腔镜无张力疝修补术应用于老年腹股沟疝患者,可有效促进术后快速恢复,减轻术后疼痛及应激反应,提升生活质量,且减少并发症。

当期目录


年第卷第

文章目录

过刊浏览

年份

刊期

点击排行

引用排行

下载排行