• 2025年第21期文章目次
    全 选
    显示方式: |
    • >产后疾病专题·论著
    • 筋膜松解手法联合Waff核心运动在产后腹直肌分离中的应用价值

      2025, 35(21):1-8. DOI: 10.3969/j.issn.1005-8982.2025.21.001

      摘要 (138) HTML (142) PDF 1.06 M (71) 评论 (0) 收藏

      摘要:目的 探讨筋膜松解手法联合Waff核心运动在产后腹直肌分离中的应用价值。方法 选取2023年6月—2024年1月在淮安市妇幼保健院分娩的产后腹直肌分离产妇96例,采用随机分组法分为观察组与对照组,每组48例。对照组采用Waff核心运动治疗,观察组在对照组基础上联合筋膜松解手法治疗。两组康复治疗时间均为8周。比较两组的腹直肌间距(IRD)、腹直肌厚度、腰围、尿失禁、子宫脱垂、腰背部疼痛、情绪状态及生活质量评分。结果 观察组治疗后肚脐上方5.0 cm、肚脐及肚脐下方5.0 cm处IRD均小于对照组(P <0.05),观察组治疗前后肚脐上方5.0 cm、肚脐及肚脐下方5.0 cm处IRD的差值均大于对照组(P <0.05)。观察组治疗后腹直肌厚度大于对照组,腰围小于对照组(P <0.05),观察组治疗前后腹直肌厚度及腰围的差值均大于对照组(P <0.05)。观察组治疗后尿失禁和子宫脱垂症状评分均低于对照组(P <0.05),观察组治疗前后尿失禁和子宫脱垂症状评分差值均大于对照组(P <0.05)。观察组治疗后腰背部疼痛症状评分均低于对照组(P <0.05),观察组治疗前后腰背部疼痛症状评分的差值大于对照组(P <0.05)。观察组治疗后HAMA、HAMD及SF-36评分均低于对照组(P <0.05),观察组治疗前后HAMA、HAMD及SF-36评分的差值均大于对照组(P <0.05)。结论 Waff核心运动联合筋膜松解手法治疗产后腹直肌分离,有助于缩小患者的IRD,促进腹直肌恢复正常,减轻尿失禁、子宫脱垂及腰背部疼痛等症状。

      • 0+1
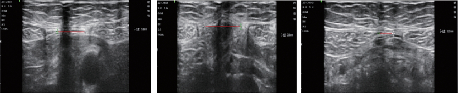
    • 高频超声用于评估Flexi-bar运动训练联合脉管电刺激治疗后产后腹直肌分离变化的临床价值

      2025, 35(21):9-15. DOI: 10.3969/j.issn.1005-8982.2025.21.002

      摘要 (106) HTML (49) PDF 1.10 M (83) 评论 (0) 收藏

      摘要:目的 探讨高频超声用于评估Flexi-bar运动训练联合脉管电刺激治疗后产后腹直肌分离变化的临床价值。方法 回顾性分析常州市妇幼保健院2022年5月—2024年4月收治的87例产后腹直肌分离患者的病历资料。根据治疗方法不同将患者分成观察组(45例)与对照组(42例),观察组采用Flexi-bar运动训练联合脉管电刺激治疗,对照组采用脉管电刺激治疗。采用高频超声评估患者腹直肌间距离,对比两组的腹围、腹直肌间距离、腹直肌均方根、肌纤维力及生活质量。结果 观察组治疗前后下腹围、中腹围和上腹围的差值均大于对照组(P <0.05)。观察组治疗前后屈曲状态下脐下3 cm、脐上3 cm和脐中腹直肌间距离的差值均大于对照组(P <0.05)。观察组治疗前后静息状态下脐下3 cm、脐上3 cm和脐中腹直肌间距离的差值均大于对照组(P <0.05)。观察组治疗前后腹直肌最大自主等长收缩振幅均方根、盆底Ⅱ类肌纤维肌力平均值、盆底Ⅰ类肌纤维肌力最大值的差值均大于对照组(P <0.05)。观察组治疗前后生活质量评分的差值大于对照组(P <0.05)。结论 Flexi-bar运动训练联合脉管电刺激可改善产后腹直肌分离患者生活质量与盆底肌纤维肌力,缩小患者腹围,促进产后腹直肌分离的恢复,且高频超声可有效评估患者恢复情况与腹直肌分离情况。

      • 0+1
      • 1+1
    • 凶险性前置胎盘患者髂总球囊预置治疗后并发产后出血的影响因素及预测模型构建

      2025, 35(21):16-21. DOI: 10.3969/j.issn.1005-8982.2025.21.003

      摘要 (122) HTML (31) PDF 632.03 K (86) 评论 (0) 收藏

      摘要:目的 分析凶险性前置胎盘患者髂总球囊预置治疗后并发产后出血的影响因素,构建并验证列线图预测模型。方法 回顾性分析淮安市第一人民医院2021年4月—2024年7月诊治的97例凶险性前置胎盘患者的病历资料。所有患者接受髂总球囊预置治疗。根据凶险性前置胎盘患者髂总球囊预置治疗后是否并发产后出血分为并发组13例与非并发组84例。比较两组的临床资料,分析凶险性前置胎盘患者髂总球囊预置治疗后并发产后出血的影响因素,构建并验证列线图预测模型。结果 并发组年龄≥35岁构成比、术前体质量指数(BMI)≥28 kg/m2构成比、流产或引产次数、胎盘植入或粘连构成比、D-二聚体/血小板计数比值(DPR)均高于非并发组(P <0.05)。年龄≥35岁[O^R =3.421(95% CI:1.504,7.783)]、术前BMI ≥28 kg/m2 [O^R =4.433(95% CI:1.949,10.083)]、流产或引产次数多[O^R =3.842(95% CI:1.689,8.740)]、DPR水平高[O^R =4.874(95% CI:2.143,11.088)]均为凶险性前置胎盘患者髂总球囊预置治疗后并发产后出血的危险因素(P <0.05)。列线图模型预测凶险性前置胎盘患者髂总球囊预置治疗后并发产后出血的敏感性为95.31%(95% CI:0.621,0.996),特异性为84.52%(95% CI:0.746,0.912)。结论 年龄、术前BMI、流产或引产次数、DPR与凶险性前置胎盘患者髂总球囊预置治疗后并发产后出血风险有关,构建列线图预测模型有助于早期识别凶险性前置胎盘患者髂总球囊预置治疗后并发产后出血的风险。

      • 0+1
      • 1+1
      • 2+1
    • >实验研究·论著
    • 低氧诱导因子-1α对牙周炎氧化应激与铁死亡影响的初步研究

      2025, 35(21):22-29. DOI: 10.3969/j.issn.1005-8982.2025.21.004

      摘要 (139) HTML (31) PDF 3.19 M (82) 评论 (0) 收藏

      摘要:目的 探讨低氧诱导因子-1α(HIF-1α)在牙周组织中的表达及对氧化应激与铁死亡的影响。方法 将40只6~8周龄SD雄性大鼠分为常氧对照组(A组),常氧牙周炎组(B组),低氧对照组(C组),低氧牙周炎组(D组),每组10只,分别复制牙周炎模型和低氧模型。模型复制1、3、6周时取牙龈组织,采用苏木精-伊红(HE)染色检测软组织炎症状态,采用免疫组织化学染色检测HIF-1α、铁重链蛋白1(FTH1)和谷胱甘肽过氧化物酶(GPX4)蛋白阳性表达,采用酶联免疫吸附试验(ELISA)检测血清HIF-1α、谷胱甘肽(GSH)及活性氧(ROS)表达。结果 HE染色结果显示:与A组比较,B组炎症随时间延长逐渐加重,C组与A组相似,D组前、中期炎症细胞浸润明显,后期炎症减轻。免疫组织化学染色结果显示:与A组比较,B、C、D组HIF-1α、FTH1表达均升高(P <0.05),D组前、中期HIF-1α、FTH1表达高于B组(P <0.05),后期GPX4表达高于B组(P <0.05)。ELISA结果显示,D组前期HIF-1α、ROS表达升高(P <0.05),中期C组和D组GSH表达高于B组(P <0.05),后期C组和D组ROS表达低于A组和B组(P <0.05)。结论 低氧环境激活的HIF-1α与牙周组织炎症的发生、发展相关,且HIF-1α可能通过影响ROS生成与铁代谢参与牙周组织氧化应激与铁死亡。

      • 0+1
      • 1+1
      • 2+1
      • 3+1
    • >综述
    • 脂多糖与非酒精性脂肪性肝病治疗

      2025, 35(21):30-35. DOI: 10.3969/j.issn.1005-8982.2025.21.005

      摘要 (137) HTML (192) PDF 614.85 K (74) 评论 (0) 收藏

      摘要:非酒精性脂肪性肝病(NAFLD)是中国乃至全世界最常见的肝病类型之一,目前NAFLD发病率在全球范围内呈上升趋势,是全球慢性肝硬化最重要且最常见的病因,给全球带来了极大的医疗负担,且仍没有针对其的有效治疗措施。近年来,大量针对NAFLD的药物治疗研究正在进行,分别通过干预与脂多糖(LPS)相关的法尼酯X受体、Toll样受体4、核因子-κB等主要信号通路对肝损伤进行保护,还通过调节肠道菌群的组成和恢复肠道屏障功能、抑制LPS诱导的细胞及其相关因子表达,从而达到治疗NAFLD的效果。该文综述以LPS为NAFLD治疗靶点的最新研究进展,旨在为临床治疗NAFLD提供参考。

    • 勃起功能障碍与动脉粥样硬化指标的关系研究进展

      2025, 35(21):36-40. DOI: 10.3969/j.issn.1005-8982.2025.21.006

      摘要 (136) HTML (102) PDF 1.34 M (80) 评论 (0) 收藏

      摘要:勃起功能障碍是男性健康领域的重要临床问题,其病理生理机制与血管内皮功能密切相关。近年研究表明,勃起功能障碍不仅是男性性功能障碍的表现,更是全身血管系统病变的早期生物学标志。动脉粥样硬化作为心血管疾病的核心病理基础,其相关评估指标与勃起功能障碍的发生、发展存在显著关联。该研究重点关注4项具有临床价值的动脉粥样硬化指标:血浆致动脉硬化指数、动脉粥样硬化指数、Castelli风险指数-1及Castelli风险指数-2。上述指标通过评估脂质代谢异常和血管内皮功能障碍,能够客观反映动脉粥样硬化的进展程度,有助于建立心血管疾病的早期预警体系,更能为勃起功能障碍的预防和干预提供新的临床思路。

      • 0+1
    • >临床药学·论著
    • 拉莫三嗪联合维生素B12对小儿脑瘫合并癫痫患儿氨基酸代谢与脑电图的影响

      2025, 35(21):41-47. DOI: 10.3969/j.issn.1005-8982.2025.21.007

      摘要 (82) HTML (19) PDF 636.88 K (76) 评论 (0) 收藏

      摘要:目的 探讨拉莫三嗪联合维生素B12对小儿脑瘫合并癫痫患儿的氨基酸代谢指标及脑电图(EEG)的影响。方法 回顾性分析2022年4月—2023年10月江苏大学附属医院治疗的83例小儿脑瘫合并癫痫患儿的临床资料,按治疗方法分为对照组41例(拉莫三嗪治疗)和联合组42例(拉莫三嗪联合维生素B12治疗)。分析两组患儿治疗前后的脑电图(EEG)δ波、θ波、α波、β波的相对功率;采用韦氏儿童智力量表(WISC-CR)评估患儿认知功能,包括全面智力指数(FIQ)、言语智力指数(VIQ)、操作智力指数(PIQ);比较两组患儿治疗前后的氨基酸代谢指标[冬氨酸(Asp)、谷氨酸(Glu)、甘氨酸(Gly)],血清炎症因子指标[白细胞介素-6(IL-6)、白细胞介素-1β(IL-1β)、肿瘤坏死因子-α(TNF-α)],以及治疗后的不良反应。结果 联合组治疗前后θ波的差值大于对照组(P <0.05)。联合组治疗前后FIQ、VIQ和PIQ的差值均大于对照组(P <0.05)。联合组治疗前后Asp、Glu、Gly的差值绝对值大于对照组(P <0.05)。联合组治疗前后IL-6、IL-1β和TNF-α的差值均大于对照组(P <0.05)。联合组与对照组不良反应总发生率比较,差异无统计学意义(P >0.05)。结论 拉莫三嗪联合维生素B12治疗小儿脑瘫合并癫痫,能有效改善氨基酸代谢失衡和血清炎症因子水平,提高认知功能。

    • 盐酸阿芬太尼在小儿疝气腹腔镜手术全凭静脉麻醉诱导中的作用

      2025, 35(21):48-52. DOI: 10.3969/j.issn.1005-8982.2025.21.008

      摘要 (83) HTML (60) PDF 614.85 K (75) 评论 (0) 收藏

      摘要:目的 分析盐酸阿芬太尼在小儿疝气腹腔镜手术全凭静脉麻醉诱导中的作用。方法 选取2024年9月—2025年2月安徽省儿童医院79例行腹腔镜疝气手术患儿为研究对象。按照全凭静脉麻醉诱导方法的不同分为两组,对照组(40例)应用舒芬太尼诱导,观察组(39例)应用盐酸阿芬太尼诱导。记录两组患儿麻醉诱导前(T0)、喉罩置入时(T1)、喉罩拔除时(T2)的平均动脉压(MAP)和心率(HR)。并统计两组患儿的苏醒期疼痛情况(FLACC量表)、麻醉恢复指标及安全性。结果 观察组与对照组T0、T1、T2时的MAP、HR比较,采用重复测量设计的方差分析,结果 ①不同时间点的MAP、HR比较,差异均有统计学意义(P <0.05);②观察组与对照组的MAP、HR比较,差异均有统计学意义(P <0.05),观察组MAP、HR较低,血流动力学较为稳定;③两组MAP、HR的变化趋势比较,差异均有统计学意义(P <0.05)。观察组苏醒期FLACC评分高于对照组(P <0.05)。观察组自主呼吸恢复时间、睁眼时间、喉罩拔除时间及麻醉苏醒室停留时间均短于对照组(P <0.05)。观察组不良反应总发生率低于对照组(P <0.05)。结论 在小儿疝气腹腔镜手术时,盐酸阿芬太尼应用于全凭静脉麻醉诱导中,可获得较为平稳的血流动力学,并缩短麻醉恢复时间,减少不良反应的发生。

    • 舒芬太尼快通道心脏麻醉方案对先天性心脏病患儿Narcotrend指数及血流动力学的影响

      2025, 35(21):53-58. DOI: 10.3969/j.issn.1005-8982.2025.21.009

      摘要 (92) HTML (21) PDF 614.17 K (72) 评论 (0) 收藏

      摘要:目的 观察舒芬太尼快通道麻醉方案对先天性心脏病(CHD)患儿Narcotrend指数及血流动力学的影响。方法 回顾性分析2022年6月—2024年6月徐州医科大学附属徐州儿童医院102例行手术治疗的CHD患儿的临床资料,根据麻醉方式不同将其分成对照组(常规麻醉)和观察组(舒芬太尼快通道心脏麻醉),各51例。比较两组患儿术前(T0)、气管插入后(T1)、手术1 h(T2)和术毕(T3)的Narcotrend指数、心率(HR)、平均动脉压(MAP)和血氧饱和度(SpO2),观察不良事件发生情况及康复进程。结果 两组患儿不同时间点的Narcotrend指数、HR、MAP比较,差异有统计学意义(P <0.05);不同时间点的SpO2比较,差异无统计学意义(P >0.05)。两组患儿的Narcotrend指数、HR、MAP比较,差异有统计学意义(P <0.05);两组的SpO2比较,差异无统计学意义(P >0.05)。两组患儿的Narcotrend指数、HR、MAP变化趋势比较,差异有统计学意义(P <0.05);两组SpO2变化趋势比较,差异无统计学意义(P >0.05)。观察组不良反应总发生率低于对照组(P <0.05)。观察组的自主呼吸时间、拔管时间、恢复进食时间、ICU停留时间、住院时间均短于对照组(P <0.05)。结论 舒芬太尼快通道心脏麻醉方案在CHD患儿中应用效果较好,可快速达到深度镇静的效果,维持血流动力学稳定,不良事件发生较少,有利于患儿术后康复。

    • >临床研究·论著
    • 感染性心内膜炎患者术后院内死亡危险因素分析及其预测价值

      2025, 35(21):59-65. DOI: 10.3969/j.issn.1005-8982.2025.21.010

      摘要 (83) HTML (16) PDF 652.01 K (86) 评论 (0) 收藏

      摘要:目的 分析感染性心内膜炎(IE)患者术后院内死亡的危险因素,为临床提供改善疾病进程和预后的决策依据,同时进一步完善现有IE预后评估体系。方法 回顾性分析2019年1月—2021年3月在广东省人民医院确诊IE并行手术治疗的225例患者的临床资料,按照预后情况,分为死亡组12例和对照组213例。比较两组患者的术前因素、术中因素和术后因素;采用多因素向后逐步Logistic回归模型分析IE患者术后院内死亡的危险因素;绘制受试者工作特征(ROC)曲线。结果 225例IE患者术后院内死亡12例(5.3%)。血培养阳性51例(22.7%),均属革兰阳性菌,其中链球菌38例(74.5%)、葡萄球菌7例(13.7%)、肠球菌4例(7.8%)、缺陷乏氧菌1例(2.0%)、空气罗斯菌1例(2.0%)。死亡组与对照组的性别构成、年龄、体重、吸烟史占比、家族史占比、高血压占比、糖尿病占比、脑血管疾病占比、心外科手术史占比、入院前使用抗生素史占比、主动脉瓣周脓肿占比、合并先天性心脏病占比、血培养阳性占比、CRP水平、白细胞计数、中性粒细胞计数、CK-MB水平、赘生物直径、左室舒张期末直径、左室射血分数、主动脉阻断时间、使用人工瓣膜占比、赘生物培养阳性占比、抗生素使用时间、住院时间比较,差异均无统计学意义(P >0.05)。死亡组术前心力衰竭占比、术前BNP水平、术前PCT水平、二次IE手术占比、体外循环时间、累及多个瓣膜占比、肺部感染占比、CRRT占比、IABP辅助占比、重插管占比、呼吸机使用时间、ICU停留时间均高于对照组(P <0.05)。多因素向后逐步Logistic回归分析结果显示:累及多个瓣膜[O^R =3.216(95% CI:1.144,9.040)]、肺部感染[O^R =4.926(95% CI: 2.132,11.380)]、IABP辅助[O^R =2.112(95% CI:1.205,3.703)]、二次IE手术[O^R =1.870(95% CI: 1.007,3.474)]是IE术后院内死亡的独立危险因素(P <0.05)。建立回归方程:Logit(P) =-5.984+1.594×肺部感染+1.168×累及多个瓣膜+0.626×二次IE手术+0.748×IABP辅助;ROC曲线分析结果显示,该模型联合预测的曲线下面积为0.967(95% CI:0.913,1.000),敏感性为91.7%(95% CI:0.646,0.985),特异性为96.2%(95% CI:0.706,1.000)。结论 二次IE手术、手术累及多个瓣膜、术后肺部感染、术后需要IABP辅助治疗均为IE患者术后院内死亡的危险因素;对比单个预测因子,模型联合对IE患者术后院内死亡的预测价值更高。

      • 0+1
    • 妊娠期合并先天性心脏病患者超声影像学指标与血清脑钠肽和母婴结局的关系分析

      2025, 35(21):66-71. DOI: 10.3969/j.issn.1005-8982.2025.21.011

      摘要 (72) HTML (29) PDF 719.64 K (79) 评论 (0) 收藏

      摘要:目的 探究妊娠期合并先天性心脏病患者超声影像学指标与血清脑钠肽(BNP)水平的关系,以及这些指标对母婴结局的预测价值。方法 回顾性分析2020年1月—2023年12月西北妇女儿童医院收治的248例妊娠期合并先天性心脏病患者的临床资料。根据母婴结局分为结局良好组162例和结局不良组86例。采用超声心动图评估心脏结构和功能;比较两组的超声指标、血清BNP水平及美国纽约心脏病协会(NYHA)心功能分级;采用Spearman法分析超声指标、血清BNP水平与NYHA分级的相关性;采用多因素一般Logistic回归模型分析影响母婴结局的危险因素,并绘制受试者工作特征(ROC)曲线评估该模型对母婴结局的预测效能。结果 结局不良组患者的心输出量(CO)、左室射血分数(LVEF)水平均低于结局良好组(P <0.05),结局不良组患者的心脏指数(CI)、二尖瓣舒张早期与晚期血流峰值速度比值(E/A)和BNP均高于结局良好组(P <0.05)。结局良好组患者NYHA分级优于结局不良组(P <0.05)。Spearman相关性分析结果显示,NYHA分级与CO水平(rs =-0.210,P =0.001)、LVEF水平(rs =-0.193,P =0.002)呈负相关,与CI水平(rs =0.172,P =0.007)、E/A水平(rs =0.173,P =0.006)和BNP水平(rs =0.184,P =0.004)呈正相关。多因素一般Logistic回归分析结果显示:CO水平低[O^R =0.612(95% CI:0.430,0.873)]、CI水平高[O^R =2.129(95% CI:1.361,3.331)]、E/A水平高[O^R =4.368(95% CI:1.726,11.053)]、LVEF水平低[O^R =0.928(95% CI:0.890,0.969)]、BNP水平高[O^R =1.099(95% CI:1.064,1.136)]均为妊娠期合并先天性心脏病患者母婴结局不良的危险因素(P <0.05)。多因素一般Logistic回归模型预测妊娠期合并先天性心脏病患者母婴结局不良的敏感性为67.9%(95% CI:0.565,0.772)、特异性为94.2%(95% CI:0.897,0.974)、准确性为85.1%(95% CI:0.782,0.903)。结论 超声影像学指标与血清BNP水平与妊娠期合并先天性心脏病患者的母婴结局有关,可作为评估病情严重程度和预测母婴结局的有效生物标志物。

      • 0+1
      • 1+1
      • 2+1
    • SaCo可视喉罩在腹腔镜卵巢囊肿切除术患者全身麻醉中的应用效果

      2025, 35(21):72-77. DOI: 10.3969/j.issn.1005-8982.2025.21.012

      摘要 (83) HTML (13) PDF 665.52 K (74) 评论 (0) 收藏

      摘要:目的 探究SaCo可视喉罩在腹腔镜卵巢囊肿切除术患者全身麻醉中的应用效果。方法 选取2023年1月—2025年3月西电集团医院106例行腹腔镜切除治疗的卵巢囊肿患者。依据随机数字表法分为对照组与观察组,每组53例。对照组在全身麻醉时予以气管插管通气,观察组在全身麻醉时予以SaCo可视喉罩通气。比较两组围手术期相关指标、血流动力学、疼痛程度、应激反应及相关并发症发生情况。结果 对照组与观察组手术时间和住院时间比较,差异均无统计学意义(P >0.05);观察组苏醒时间、人工气道建立时间和首次排气时间均短于对照组(P <0.05)。观察组与对照组在麻醉诱导前(T0)、气管/喉罩置入5 min(T1)、气管或喉罩拔出后5 min(T2)时的心率、MAP比较,采用重复测量设计的方差分析,结果 ①不同时间点心率、MAP比较,差异均有统计学意义(P <0.05);②观察组与对照组心率、MAP比较,差异均有统计学意义(P <0.05),观察组T1、T2时心率、MAP水平较低,相对镇痛效果较好;③两组心率、MAP的变化趋势比较,差异均有统计学意义(P <0.05)。观察组与对照组术后2、12、24 h静息状态下VAS评分比较,采用重复测量设计的方差分析,结果 ①不同时间点VAS评分比较,差异有统计学意义(P <0.05);②观察组与对照组VAS评分比较,差异有统计学意义(P <0.05),观察组VAS评分较低,相对镇痛效果较好;③两组VAS评分的变化趋势比较,差异有统计学意义(P <0.05)。观察组手术前后ALD、Cor、MDA和β-EP水平的差值均低于对照组(P <0.05)。观察组麻醉相关并发症总发生率和肺部相关并发症总发生率均低于对照组(P <0.05)。结论 在腹腔镜卵巢囊肿切除术全身麻醉中应用SaCo可视喉罩,可有效维持术中血流动力学稳定,减轻应激反应,提升麻醉质量,且并发症少。

    • 经阴道单孔腹腔镜与经脐单孔腹腔镜子宫全切术近期疗效及术后盆底功能障碍的高危因素分析

      2025, 35(21):78-85. DOI: 10.3969/j.issn.1005-8982.2025.21.013

      摘要 (90) HTML (26) PDF 2.84 M (88) 评论 (0) 收藏

      摘要:目的 探讨经阴道单孔腹腔镜(v-NOTES)与经脐单孔腹腔镜(u-LESS)子宫全切术近期疗效并分析术后盆底功能障碍(PFD)发生的影响因素。方法 回顾性分析2021年3月—2023年3月徐州市妇幼保健院156例行子宫全切术的患者的临床资料,按照手术方法分为v-NOTES组(94例)和u-LESS组(62例),按照是否发生PFD分为发生PFD组(21例)与未发生PFD组(135例)。收集记录所有患者的年龄、体质量指数(BMI)、绝经、人工流产史、孕产次、术后初次负重时间、术后初次性生活时间等一般资料。观察并记录所有患者的手术时间、术中出血量、留置尿管时间、肛门排气时间、住院时间等围手术期指标。采用视觉模拟评分法(VAS)评价患者术后疼痛情况,比较两组患者近期疗效、术后PFD发生情况及不同临床因素的差异。采用多因素一般Logistics回归模型分析PFD发生的危险因素。结果 v-NOTES组手术时间、留置尿管时间和肛门排气时间均短于u-LESS组(P <0.05)。u-LESS组与v-NOTES组术后6、12、24 h静息状态下VAS评分比较,结果 ①不同时间点的VAS评分比较,差异有统计学意义(P <0.05);②u-LESS组与v-NOTES组VAS评分比较,差异有统计学意义(P <0.05),v-NOTES组VAS评分较低,相对镇痛效果较好;③v-NOTES组与u-LESS组VAS评分的变化趋势比较,差异无统计学意义(P >0.05)。v-NOTES组治疗总有效率高于u-LESS组(P <0.05)。u-LESS组与v-NOTES组术后PFD总发生率比较,差异无统计学意义(P >0.05)。发生PFD组与未发生PFD组年龄、BMI、孕产次和术后初次负重时间构成比较,差异均有统计学意义(P <0.05)。年龄大[O^R =1.191(95% CI:1.036,1.369)]、BMI高[O^R =1.196(95% CI:1.059,1.351)]、孕产次多[O^R =1.198(95% CI:1.057,1.359)]、术后初次负重时间≤3个月[O^R =1.372(95% CI:1.082,1.739)]均是子宫全切术后发生PFD的危险因素(P <0.05)。多因素一般Logistic回归模型预测的曲线下面积为0.877,敏感性为80.56%(95% CI:0.763,0.845),特异性为82.58%(95% CI:0.732,0.886)。结论 子宫全切术后PFD发生受患者年龄、BMI、孕产次、术后初次负重时间影响,基于Logistic回归构建的预测模型对子宫全切术后PFD的发生有一定预测价值,v-NOTES及u-LESS不影响术后PFD发生率,但采用v-NOTES可降低患者疼痛、疗效更好。

      • 0+1
      • 1+1
      • 2+1
    • cTnI、ApoA-Ⅰ联合冠状动脉CT血管成像对脓毒症相关心肌损伤的评估价值分析

      2025, 35(21):86-91. DOI: 10.3969/j.issn.1005-8982.2025.21.014

      摘要 (91) HTML (55) PDF 703.85 K (58) 评论 (0) 收藏

      摘要:目的 探讨心肌肌钙蛋白I(cTnI)、载脂蛋白A-Ⅰ(ApoA-Ⅰ)联合CT冠状动脉成像对脓毒症患者心肌损伤的评估价值。方法 回顾性分析2022年1月—2024年12月在梅州市人民医院接受治疗的85例脓毒症患者的临床资料。所有患者均接受冠状动脉CT血管成像检查,并检测患者血清cTnI、ApoA-Ⅰ水平。根据患者发生脓毒症72 h后心肌肌钙蛋白T(cTnT)水平将患者分为心肌损伤组52例和非心肌损伤组33例。采用多因素一般Logistic回归分析脓毒症患者发生心肌损伤的影响因素,绘制受试者工作特征(ROC)曲线评估血清cTnI、ApoA-Ⅰ联合检测对脓毒症患者发生心肌损伤的预测价值。结果 心肌损伤组与非心肌损伤组深在型心肌桥(无狭窄)率、无明显狭窄或斑块率比较,差异均有统计学意义(P <0.05);心肌损伤组患者的血清cTnI水平高于非心肌损伤组(P <0.05),心肌损伤组患者ApoA-Ⅰ水平低于非心肌损伤组(P <0.05);多因素一般Logistic分析结果显示:无明显狭窄或斑块[O^R =21.284(95% CI:1.612,281.105)]、深在型心肌桥(无狭窄)[O^R =56.436(95% CI:1.823,1 736.132)]、血清cTnI高[O^R =16.754(95% CI:1.702,164.978)]和ApoA-Ⅰ低[O^R =1 085.952(95% CI:3.811,309 451.857)]均是脓毒症患者发生心肌损伤的危险因素(P <0.05)。ROC曲线分析结果显示,血清cTnI、ApoA-Ⅰ联合检测对脓毒症患者发生心肌损伤的预测敏感性为83.9%(95% CI:0.719,0.931),特异性为92.6%(95% CI:0.798,0.993)。结论 脓毒症并发心肌损伤患者的冠状动脉CT血管成像特点与非心肌损伤患者存在明显差异,cTnI、ApoA-Ⅰ联合检测并冠状动脉CT血管成像可显著提高脓毒症患者心肌损伤的早期识别效能。

      • 0+1
    • 2023年—2024年邯郸市新生儿听力筛查结果及听力损失的影响因素分析

      2025, 35(21):92-97. DOI: 10.3969/j.issn.1005-8982.2025.21.015

      摘要 (93) HTML (55) PDF 652.95 K (86) 评论 (0) 收藏

      摘要:目的 分析2023年—2024年邯郸市新生儿听力筛查结果及听力损失的影响因素。方法 回顾性分析2023年1月—2024年12月在邯郸市妇幼保健院出生的10 886例活产新生儿及产妇的临床资料。所有新生儿均采取畸变产物耳声发射法检测听力损失,根据新生儿听力筛查通过情况分为听力正常组和听力损失组。比较听力正常组和听力损失组产妇、新生儿的临床资料,采用多因素一般Logistic回归分析新生儿听力损失的影响因素。结果 10 886例新生儿中听力筛查的初筛率为98.95%(10 772/10 886),初筛未通过1 205例(11.19%),复筛1 039例(86.22%),复筛阳性32例,阳性转诊32例,其中14例确诊。听力损失组产妇原发性巨细胞病毒感染率和围生期宫内感染率均高于听力正常组(P <0.05);听力损失组新生儿重度高胆红素血症占比及新生儿巨细胞病毒感染占比高于听力正常组(P <0.05)。多因素一般Logistic回归分析结果显示,产妇原发性巨细胞病毒感染[O^R =3.766(95% CI:1.119,12.673)]、围生期宫内感染[O^R =3.651(95% CI:1.085,12.286)]、新生儿重度高胆红素血症[O^R =3.762(95 %CI:1.118,12.659)]和新生儿巨细胞病毒感染[O^R =4.059(95% CI:1.206,13.659)]均为新生儿听力损失的危险因素(P <0.05)。结论 2023年—2024年邯郸市新生儿中听力损失的发生率较低,产妇原发性巨细胞病毒感染、围生期宫内感染、新生儿重度高胆红素血症及新生儿巨细胞病毒感染与新生儿听力损失的发生有关。

    • 人类职能模式康复训练结合文娱疗法对稳定期精神分裂症患者的康复疗效

      2025, 35(21):98-104. DOI: 10.3969/j.issn.1005-8982.2025.21.016

      摘要 (66) HTML (28) PDF 629.17 K (79) 评论 (0) 收藏

      摘要:目的 评估人类职能模式康复训练结合文娱疗法对稳定期精神分裂症患者康复效果的影响。方法 选取2022年6月—2024年5月丽水市第二人民医院120例稳定期精神分裂症患者作为研究对象,按照随机数字表法分为观察组与对照组,每组60例。观察组采用人类职能模式康复训练结合文娱疗法进行康复治疗,对照组实行常规康复治疗。观察两组患者治疗前后住院精神病人康复疗效评定量表(IPROS)和可重复神经心理状态测验问卷(RBANS)评分、阳性与阴性症状量表(PANSS)、阴性症状评定量表(SANS)、认知功能评分、一般疏离感量表(GAS)及神经递质[谷氨酸(Glu)、γ-氨基丁酸(GABA)、5-羟色胺(5-HT)、去甲肾上腺素(NE)]等指标的变化。结果 观察组治疗前后IPROS和RBANS评分的差值均大于对照组(P <0.05)。观察组治疗前后PANSS各项评分的差值均大于对照组(P <0.05)。观察组治疗前后SANS各项评分的差值均大于对照组(P <0.05)。观察组治疗前后认知功能各项评分的差值均大于对照组(P <0.05)。观察组治疗前后GAS各项评分的差值均大于对照组(P <0.05)。观察组治疗前后Glu、GABA、5-HT及NE水平的差值均大于对照组(P <0.05)。结论 人类职能模式康复训练结合文娱疗法对稳定期精神分裂症患者的康复具有显著效果,可作为一种有效的康复治疗策略推广应用。

    • 改良式减张美容缝合术对颌面部外伤患者创口愈合、术后瘢痕的影响

      2025, 35(21):105-110. DOI: 10.3969/j.issn.1005-8982.2025.21.017

      摘要 (111) HTML (56) PDF 2.84 M (72) 评论 (0) 收藏

      摘要:目的 探讨改良式减张美容缝合术对颌面部外伤患者创口愈合、术后瘢痕的影响。方法 回顾性分析2023年1月—2024年12月安庆市立医院108例颌面部外伤患者的临床资料,分为对照组与观察组,每组54例。对照组予以传统缝合法治疗,观察组予以改良式减张美容缝合术治疗。比较两组临床疗效、创口愈合、疼痛程度[采用视觉模拟评分法(VAS)评估]、瘢痕情况[采用温哥华瘢痕量表评分(VSS)评估]及不良反应发生情况。结果 观察组治疗总有效率高于对照组(P <0.05);观察组创口愈合时间、水肿持续时间及手术瘢痕长度均低于对照组(P <0.05);观察组与对照组术前、术后3 d、术后7 d的VAS评分比较,采用重复测量设计的方差分析,结果 ①不同时间点VAS评分比较,差异有统计学意义(P <0.05);②观察组与对照组VAS评分比较,差异有统计学意义(P <0.05),观察组VAS评分较低,相对镇痛效果较好;③两组VAS评分变化趋势比较,差异有统计学意义(P <0.05)。观察组色泽评分、血管分布评分、柔软度评分、厚度评分均低于对照组(P <0.05);两组不良反应发生率比较,差异无统计学意义(P >0.05)。结论 改良式减张美容缝合术可加快颌面部创口愈合,减轻疼痛,改善瘢痕外观,疗效优于传统缝合法,且安全性良好。

      • 0+1
      • 1+1

当期目录


年第卷第

文章目录

过刊浏览

年份

刊期

点击排行

引用排行

下载排行