• 2025年第24期文章目次
    全 选
    显示方式: |
    • >宫颈癌专题·论著
    • 血清PTPN3、DCLK1、CYFRA21-1在宫颈癌早期诊断和预后评估中的价值

      2025, 35(24):1-6. DOI: 10.3969/j.issn.1005-8982.2025.24.001

      摘要 (224) HTML (77) PDF 634.87 K (177) 评论 (0) 收藏

      摘要:目的 探讨血清蛋白酪氨酸磷酸酶非受体型3(PTPN3)、双皮质层感蛋白样激酶1(DCLK1)和细胞角蛋白19片段(CYFRA21-1)在宫颈癌早期诊断和预后评估中的价值。方法 选取2022年1月—2023年6月江南大学附属医院收治的92例宫颈癌患者作为宫颈癌组,取同期在该院确诊的50例宫颈上皮内瘤变(CIN)患者作为CIN组,取同期在该院健康体检的50例女性为对照组。观察各组血清PTPN3、DCLK1和CYFRA21-1水平,评价血清PTPN3、DCLK1和CYFRA21-1在宫颈癌中的诊断效能,及与临床指标和预后的关系。结果 宫颈癌组患者血清PTPN3、DCLK1和CYFRA21-1水平均高于CIN组(P <0.05),CIN组血清PTPN3、DCLK1和CYFRA21-1水平均高于对照组(P <0.05)。受试者工作特征曲线结果显示,血清PTPN3诊断宫颈癌的敏感性为65.2%(95% CI:0.546,0.749),特异性为96.0%(95% CI:0.863,0.995);血清DCLK1诊断宫颈癌的敏感性为76.1%(95% CI:0.661,0.844),特异性为88.2%(95% CI:0.757,0.955);血清CYFRA21-1诊断敏感性为89.1%(95% CI:0.809,0.947),特异性为98.1%(95% CI:0.894,0.999);联合检测诊断宫颈癌的敏感性为92.4%(95% CI:0.849,0.969),特异性为100.0%(95% CI:0.929,1.000)。低分化、人乳头瘤病毒阳性、临床分期Ⅱ期、有淋巴结转移宫颈癌患者血清PTPN3、DCLK1和CYFRA21-1水平均较高(P <0.05)。随访1年发现,死亡组患者血清PTPN3、DCLK1和CYFRA21-1水平均高于存活组(P <0.05)。结论 血清PTPN3、DCLK1和CYFRA21-1水平与宫颈癌病情的严重程度和预后密切相关,在宫颈癌早期诊断和预后评估中具有重要临床价值。

      • 0+1
    • 血清外泌体Hsa_circ_0005019、Hsa_circ_0004390水平对宫颈癌患者术后短期预后的影响

      2025, 35(24):7-14. DOI: 10.3969/j.issn.1005-8982.2025.24.002

      摘要 (136) HTML (38) PDF 696.63 K (156) 评论 (0) 收藏

      摘要:目的 探讨血清外泌体Hsa_circ_0005019、Hsa_circ_0004390水平对宫颈癌患者术后短期预后的影响。方法 前瞻性选取2022年6月—2024年6月西安市红会医院行宫颈癌根治术的385例宫颈癌患者,所有患者随访1年,过程中失访5例,380例患者根据是否出现复发转移分为预后良好组和预后不良组。比较两组临床资料、血常规指标、血清外泌体Hsa_circ_0005019、Hsa_circ_0004390水平,多因素逐步Logistic回归模型分析宫颈癌短期预后的影响因素,绘制受试者工作特征曲线,分析血清外泌体Hsa_circ_0005019、Hsa_circ_0004390水平对宫颈癌短期预后的价值。Rstudio 4.2.1绘制风险预警评分模型,构建列线图模型。结果 预后良好组宫颈间质浸润深度<1/2占比、FIGO分期为ⅠA、ⅠB1占比和Hsa_circ_0005019水平均高于预后不良组(P <0.05),血清Hsa_circ_0004390水平低于预后良好组(P <0.05)。鳞状细胞癌组Hsa_circ_0005019相对表达量高于腺癌组和腺鳞癌组(P <0.05),腺癌组高于腺鳞癌组(P <0.05);鳞状细胞癌组Hsa_circ_0004390低于腺癌组和腺鳞癌组(P <0.05),腺癌组低于腺鳞癌组(P <0.05)。多因素逐步Logistic回归分析结果显示:血清Hsa_circ_0005019水平高[O^R=0.289(95% CI:0.095,0.879)]为宫颈癌短期预后不良的保护因素(P <0.05),宫颈间质浸润深度≥1/2[O^R=3.740(95% CI:1.785,7.834)]、Hsa_circ_0004390水平高(O^R=10.166(95% CI:3.767,27.433)]和FIGO分期为ⅠB2、ⅡA[O^R=3.540(95% CI:1.696,7.389)]均为宫颈癌短期预后不良的危险因素(P <0.05)。ROC曲线分析结果显示,Hsa_circ_0005019、Hsa_circ_0004390联合检测的曲线下面积、敏感性分别为0.843(95% CI:0.802,0.878)、90.2%(95% CI:0.683,0.988);特异性为64.6%(95% CI:0.590,0.731)。结论 宫颈癌患者血清外泌体Hsa_circ_0005019、Hsa_circ_0004390水平与术后短期预后有关,两者联合检测对于评估患者预后的价值较高。

      • 0+1
      • 1+1
    • 斯钙素2、富含半胱氨酸的酸性分泌蛋白类似蛋白1表达与宫颈癌患者临床特征及预后的关系

      2025, 35(24):15-20. DOI: 10.3969/j.issn.1005-8982.2025.24.003

      摘要 (126) HTML (36) PDF 643.94 K (129) 评论 (0) 收藏

      摘要:目的 分析宫颈癌组织中斯钙素2(STC2)、富含半胱氨酸的酸性分泌蛋白类似蛋白1(SPARCL1)表达与患者临床特征及预后的关系。方法 选取2021年1月—2023年7月徐州市妇幼保健院收治的90例宫颈癌患者,将其分为观察组(癌组织)和对照组(癌旁正常组织),对比不同组织中STC2、SPARCL1表达情况,分析不同临床特征宫颈癌患者STC2、SPARCL1表达状况及STC2和SPARCL1阳性表达的影响因素,分析不同STC2、SPARCL1表达对宫颈癌患者生存状况的预测价值。结果 观察组STC2阳性率高于对照组,SPARCL1阳性率低于对照组(P <0.05)。浸润深度>1/2纤维肌层、分化程度低和TNM分期为Ⅲ、Ⅳ期患者STC2阳性率高(P <0.05)。分化程度低,TNM分期Ⅲ、Ⅳ期,有淋巴结转移患者的SPARCL1阳性率低(P <0.05)。多因素一般Logistic回归分析,结果显示:浸润深度>1/2纤维肌层[O^R=3.095(95% CI:1.147,8.349)]、分化程度低[O^R=3.020(95% CI:1.122,8.129)]和TNM分期为Ⅲ、Ⅳ期[O^R=4.694(95% CI:1.696,12.992)]均为宫颈癌患者STC2阳性的危险因素(P <0.05)。多因素一般Logistic回归分析,结果显示:有淋巴结转移[O^R=0.211(95% CI:0.084,0.530)]、分化程度低[O^R=0.146(95% CI:0.056,0.375)]和TNM分期为Ⅲ、Ⅳ期[O^R=0.187(95% CI:0.072,0.486)]均为宫颈癌患者SPARCL1阳性的保护因素(P <0.05)。不同STC2、SPARCL1高低表达患者生存曲线比较,差异均无统计学意义(P >0.05)。结论 宫颈癌组织STC2、SPARCL1表达与临床特征及预后密切相关。

      • 0+1
      • 1+1
    • >实验研究·论著
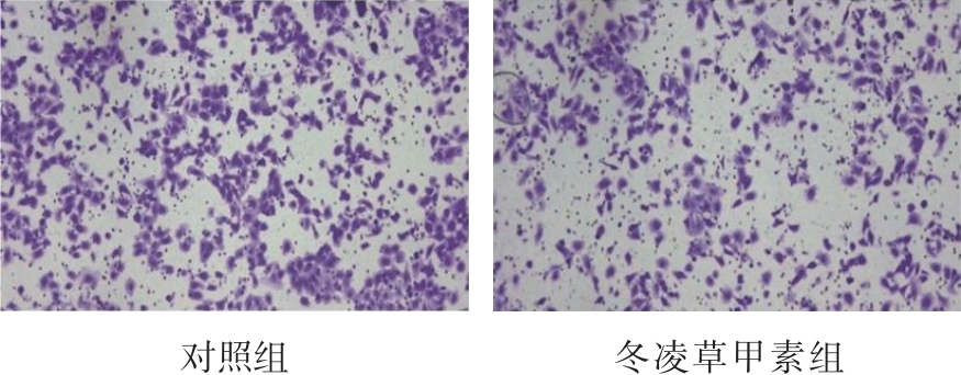
    • 冬凌草甲素通过根蛋白抑制胰腺癌细胞增殖和迁移的作用机制分析

      2025, 35(24):21-28. DOI: 10.3969/j.issn.1005-8982.2025.24.004

      摘要 (132) HTML (25) PDF 3.47 M (131) 评论 (0) 收藏

      摘要:目的 探究冬凌草甲素通过根蛋白(RDX)抑制胰腺癌细胞增殖和迁移的作用机制。方法 采用CCK8法评估冬凌草甲素对人胰腺癌细胞增殖的影响并计算IC50;通过Transwell和划痕试验分析其对细胞迁移能力的影响。结合生物信息学方法和分子实验,分析RDX基因在胰腺癌组织中的表达情况,及其对胰腺癌细胞增殖和迁移的影响。通过基因富集分析和GEPIA数据库分析RDX与下游通路基因的相关性,并通过分子实验进行验证。结果 冬凌草甲素40 μmol/L、80 μmol/L组细胞相对活力较对照组低(P <0.05)。冬凌草甲素组迁移细胞数低于对照组(P <0.05),相对迁移面积小于对照组(P <0.05)。胰腺癌组织RDX基因相对表达量高于正常组织(P <0.05)。冬凌草甲素组RDX基因和蛋白的相对表达量均低于对照组(P <0.05)。si-RDX1组和si-RDX2组RDX基因和蛋白相对表达量均低于si-NC组(P <0.05)。si-RDX1组和si-RDX2组细胞相对活力、迁移细胞数均低于si-NC组(P <0.05),相对迁移面积均小于si-NC组(P <0.05)。基因富集分析结果显示RDX可影响胰腺癌细胞黏附分子的表达(P <0.05),RDX与SNAI1在胰腺癌组织中表达呈正相关性(r =0.550,P <0.05)。冬凌草甲素组SNAI1基因和蛋白相对表达量均低于对照组(P <0.05)。si-RDX1组和si-RDX2组SNAI1基因和蛋白相对表达量均低于si-NC组(P <0.05)。结论 冬凌草甲素可能通过降低RDX基因表达,抑制胰腺癌PANC-1细胞增殖和迁移。

      • 0+1
      • 1+1
      • 2+1
      • 3+1
      • 4+1
      • 5+1
      • 6+1
      • 7+1
      • 8+1
      • 9+1
    • >综述
    • 基于肠道菌群探究中药多糖改善抑郁症的研究进展

      2025, 35(24):29-33. DOI: 10.3969/j.issn.1005-8982.2025.24.005

      摘要 (217) HTML (38) PDF 601.85 K (176) 评论 (0) 收藏

      摘要:抑郁症已成为全球公共卫生的重要挑战,其高发病率和严重危害影响着人类健康。尽管现有治疗方法多样,但抑郁症的发病机制复杂,且治疗效果有限。近期研究结果表明,肠道菌群失调可能是抑郁症的重要危险因素之一,肠脑轴研究逐渐成为新兴治疗方向。中药多糖作为一种天然生物活性物质,因其调节肠道菌群的作用而受到关注。中药多糖能够通过改善肠道菌群失衡,恢复菌群多样性,进而影响神经系统,缓解抑郁症状。虽然已有研究表明中药多糖能通过调节肠道菌群发挥积极干预作用,但其具体机制尚不完全明确。该文总结了近年来中药多糖干预抑郁症的研究进展,重点探讨了其通过调节肠道菌群在抑郁症治疗中的潜在机制,以期为中药多糖在抗抑郁药物开发中的应用提供理论依据与实践指导。

    • 三焦点人工晶状体在屈光性白内障手术中的视功能变化

      2025, 35(24):34-38. DOI: 10.3969/j.issn.1005-8982.2025.24.006

      摘要 (130) HTML (242) PDF 557.01 K (155) 评论 (0) 收藏

      摘要:三焦点人工晶状体通过衍射、折射或混合光学设计,可同时矫正远、中、近全距离视力,逐渐成为白内障手术中替代传统单焦点人工晶状体的重要选择。然而,术后早期视功能恢复的动态变化、光干扰控制、患者适应性方面及与单焦点人工晶状体的差异仍需系统探讨。该文基于近期技术进展,系统综述了三焦点人工晶状体的光学原理、术后视功能改善特征及临床应用挑战,为临床决策与研究方向提供参考。

    • >临床药学·论著
    • 氨磺必利联合氯氮平治疗精神分裂症:剂量优化与疗效评估的个体化治疗研究

      2025, 35(24):39-46. DOI: 10.3969/j.issn.1005-8982.2025.24.007

      摘要 (153) HTML (19) PDF 736.39 K (104) 评论 (0) 收藏

      摘要:目的 探讨在精神分裂症治疗中,氨磺必利联合氯氮平方案的剂量优化策略及其对疗效和安全性的影响,为实现个体化治疗提供临床依据。方法 选取2021年1月—2024年11月山东省戴庄医院精神科收治的102例精神分裂症患者为研究对象,采用随机数字表法分为A组(常规剂量氯氮平)、B组(常规剂量氯氮平+常规剂量氨磺必利)和C组(低剂量氯氮平+常规剂量氨磺必利),各34例。3组疗程均为12周,比较3组治疗12周后的剂量调整情况、临床疗效及安全性[不良反应发生率(TESS)评分],治疗前后精神症状[阳性和阴性症状量表(PANSS)评分]、社会功能[人与社会功能量表(PSP)]、认知功能[MATRICS成套测试共识版量表(MCCB)]及精神疾病相关递质[多巴胺(DA)与5-羟色胺(5-HT)]水平。结果 A组氯氮平基线剂量与最终剂量均高于B组和C组(P <0.05)。B组氨磺必利基线剂量高于C组(P <0.05)。B组剂量调整率高于A组和C组(P <0.05)。3组总有效率比较,差异无统计学意义(P >0.05)。B组和C组治疗前后PANSS中阴性症状、一般精神病理维度及总分的差值均大于A组(P <0.05),B组治疗前后PANSS中阳性症状维度评分的差值大于A组和C组(P <0.05)。C组治疗前后PSP、MCCB评分的差值均大于A组和B组(P <0.05)。C组治疗前后DA、5-HT水平的差值均大于B组和A组(P <0.05)。B组不良反应总发生率高于A组和C组(P <0.05)。结论 氨磺必利联合氯氮平治疗精神分裂症可显著改善精神症状、社会功能和认知功能,并能有效调节DA和5-HT水平。低剂量氯氮平联合方案在保持与常规剂量联合方案相当疗效的同时,显著减少剂量调整需求,并降低不良反应发生率。该方案通过优化用药剂量,在确保疗效的基础上提高了治疗安全性,适合于个体化治疗中对副作用有较高敏感性的患者,可为精神分裂症患者提供更精细化的治疗选择。

    • 调强放射治疗联合替吉奥对老年食管癌的疗效研究

      2025, 35(24):47-53. DOI: 10.3969/j.issn.1005-8982.2025.24.008

      摘要 (96) HTML (18) PDF 681.13 K (61) 评论 (0) 收藏

      摘要:目的 探讨调强放射治疗(IMRT)联合替吉奥治疗老年食管癌的临床疗效。方法 选取2019年2月1日—2022年2月28日皖南医学院第一附属医院弋矶山医院100例经病理证实的老年食管鳞癌患者,根据不同治疗方法分为单放组和联合组,各50例。单放组接受单纯调强放疗,联合组在调强放疗的基础上联合口服替吉奥胶囊。主要观察指标为临床疗效、2年中位总生存期(OS)和中位无进展生存期(PFS);次要观察指标为治疗前后生活质量的变化、毒副反应(如放射性肺炎、放射性食管炎、中性粒细胞减少和消化道反应)发生率及治疗的总体安全性。结果 联合组客观缓解率、疾病控制率均高于单放组(P <0.05)。两组患者OS、PFS比较,差异均有统计学意义(P <0.05)。联合组共死亡26例,单放组共死亡33例。联合组治疗后肿瘤患者生活质量评分表(QOL)评分高于对照组(P <0.05)。治疗后单放组、联合组QOL评分均较治疗前升高(P <0.05)。联合组治疗前后QOL评分的差值均大于单放组(P <0.05)。单放组与联合组放射性肺炎率、放射性食管炎率、中性粒细胞减少率和胃肠道反应率比较,差异均无统计学意义(P >0.05)。结论 IMRT联合替吉奥治疗老年食管癌患者能有效提高治疗效果,且安全性良好,有助于提升患者的整体治疗体验和生活质量。

      • 0+1
      • 1+1
    • 氢吗啡酮联合帕瑞昔布在食管癌根治术中的超前镇痛效果

      2025, 35(24):54-59. DOI: 10.3969/j.issn.1005-8982.2025.24.009

      摘要 (74) HTML (12) PDF 624.59 K (73) 评论 (0) 收藏

      摘要:目的 探究氢吗啡酮联合帕瑞昔布在食管癌根治术中的超前镇痛效果。方法 选取2022年11月—2024年11月在榆林市中医医院行食管癌根治术的106例患者为研究对象,按麻醉方法分为氢吗啡酮组、联合组,各53例。氢吗啡酮组予以氢吗啡酮超前镇痛,联合组予以氢吗啡酮超前镇痛联合帕瑞昔布,比较两组临床资料、不同时间点心率(HR)、平均动脉压(MAP)、镇痛效果、应激反应及不良反应。结果 联合组自主呼吸恢复时间、苏醒时间、瑞芬太尼用量、按压镇痛泵次数均低于氢吗啡酮组(P <0.05)。联合组与氢吗啡酮组入室、气管插管、切皮5 min、术毕时的HR、MAP比较,结果 ①不同时间点HR、MAP比较,差异均有统计学意义(P <0.05);②联合组与氢吗啡酮组HR、MAP比较,差异均有统计学意义(P <0.05);③两组HR、MAP变化趋势比较,差异均有统计学意义(P <0.05)。联合组与氢吗啡酮组术后3、12和24 h的视觉模拟评分法(VAS)评分比较,结果 ①不同时间点VAS评分比较,差异有统计学意义(P <0.05);②联合组与氢吗啡酮组VAS评分比较,差异有统计学意义(P <0.05);③两组VAS评分变化趋势比较,差异有统计学意义(P <0.05)。联合组治疗前后促肾上腺皮质激素、去甲肾上腺素、皮质醇的差值均小于氢吗啡酮组(P <0.05)。两组不良反应总发生率比较,差异无统计学意义(P >0.05)。结论 氢吗啡酮超前镇痛联合帕瑞昔布在食管癌根治术中能有效改善围手术期指标、维持血流动力学稳定、减轻术后疼痛及应激激素水平,且安全性良好。

    • >临床研究·论著
    • 基质细胞衍生因子-1、microRNA-601与早期胃癌患者内镜黏膜下剥离术后复发的关系

      2025, 35(24):60-65. DOI: 10.3969/j.issn.1005-8982.2025.24.010

      摘要 (82) HTML (27) PDF 658.65 K (93) 评论 (0) 收藏

      摘要:目的 分析基质细胞衍生因子-1(SDF-1)、microRNA-601(miR-601)与早期胃癌患者内镜黏膜下剥离术(ESD)术后复发的关系。方法 回顾性分析2020年3月—2023年1月十堰市人民医院收治的229例早期胃癌患者的病历资料。所有患者采用ESD治疗。术后随访12个月,根据患者是否复发将其分为复发组(25例)与非复发组(204例)。采用实时荧光定量聚合酶链反应检测胃黏膜组织miR-601相对表达量,酶联免疫吸附试验检测血清SDF-1水平,对比两组血清SDF-1、miR-601相对表达量及临床资料,筛查早期胃癌术后复发的影响因素,评估血清SDF-1、miR-601预测早期胃癌术后复发的效能。结果 复发组血清SDF-1、miR-601相对表达量均高于非复发组(P <0.05)。复发组病变≥4 cm占比、淋巴结转移率和T2分期占比均高于非复发组(P <0.05)。多因素逐步Logistic回归分析结果:miR-601相对表达量高[O^R =2.770(95% CI:1.158,6.630)]、有淋巴结转移[O^R =3.865(95% CI:1.615,9.250)]和血清SDF-1水平高[O^R =3.059(95% CI:1.278,7.320)]和T2分期[O^R =4.108(95% CI:1.717,9.832)]均为早期胃癌术后复发的危险因素(P <0.05)。受试者工作特征曲线结果显示,血清miR-601、SDF-1及联合预测早期胃癌术后复发的敏感性分别为80.0%、84.0%、88.0%,特异性分别为72.1%、73.0%、93.6%,曲线下面积分别为0.799、0.803、0.908。结论 血清SDF-1、miR-601可用于评估早期胃癌患者ESD术后复发,且二者联合的预测效能更好。

      • 0+1
    • 外周血MHR联合RPR对脓毒症患者预后的预测价值

      2025, 35(24):66-70. DOI: 10.3969/j.issn.1005-8982.2025.24.011

      摘要 (107) HTML (21) PDF 629.18 K (108) 评论 (0) 收藏

      摘要:目的 探究外周血单核细胞与高密度脂蛋白胆固醇比值(MHR)联合红细胞分布宽度与血小板计数比值(RPR)对脓毒症患者预后的预测价值。方法 回顾性分析2024年6月-2025年3月南京医科大学附属淮安第一医院收治的102例脓毒症患者,患者均行单核细胞计数、血小板计数、高密度脂蛋白胆固醇、红细胞分布宽度检测。根据预后分为生存组(72例)和死亡组(30例)。收集相关资料,采用多因素逐步Logistic回归分析患者预后因素,绘制受试者工作特征(ROC)曲线分析MHR、RPR水平对患者预后的预测价值。结果 死亡组急性生理学和慢性健康状况评价Ⅱ(APACHE Ⅱ)评分、MHR、RPR、序贯器官衰竭评估(SOFA)评分均高于生存组(P <0.05),动脉血氧分压、血红蛋白、白蛋白水平均低于存活组(P <0.05)。多因素逐步Logistic回归分析结果显示:APACHE Ⅱ评分高[O^R=5.623(95% CI:1.560,20.261)]、白蛋白水平低[O^R=0.287(95% CI:0.152,0.538)]、SOFA评分高[O^R=3.151(95% CI:1.478,6.714)]、MHR水平高[O^R=4.043(95% CI:2.322,7.040)]、RPR水平高[O^R=8.144(95% CI:3.345,19.829)]均为患者预后死亡的危险因素(P <0.05)。ROC曲线分析显示,MHR、RPR及其联合预测预后的敏感性分别为75.0%、78.1%、84.4%,特异性分别为76.9%、73.1%、84.6%,曲线下面积分别为0.811、0.809、0.901。结论 外周血MHR、RPR水平是脓毒症患者预后的独立危险因素,且二者联合检测对患者预后预测价值更高。

      • 0+1
    • 关节镜联合膝关节周围截骨治疗膝关节单间室骨关节炎的临床疗效

      2025, 35(24):71-77. DOI: 10.3969/j.issn.1005-8982.2025.24.012

      摘要 (111) HTML (45) PDF 678.64 K (86) 评论 (0) 收藏

      摘要:目的 探究关节镜联合膝关节周围截骨在治疗单间室膝关节骨关节炎(KOA)中的临床疗效。方法 回顾性分析2022年6月—2024年8月蚌埠医科大学第二附属医院87例单间室KOA患者,根据治疗方法分为两组,对照组(50例)予以膝关节镜下清理术,观察组(37例)予以膝关节镜下清理术联合膝关节周围截骨术治疗。比较两组围手术期相关指标、疼痛程度、膝关节功能、并发症及生活质量。结果 观察组手术时间长于对照组(P <0.05)。观察组与对照组术前、术后1周和术后4周的静息状态下VAS评分比较,结果 ①不同时间点静息状态下VAS评分比较,差异有统计学意义(P <0.05);②观察组与对照组静息状态下VAS评分比较,差异有统计学意义(P <0.05),观察组术后VAS评分较低,相对镇痛效果较好;③两组静息状态下VAS评分变化趋势比较,差异有统计学意义(P <0.05)。观察组与对照组术前和术后3、6个月的屈曲、伸直活动度比较,结果 ①不同时间屈曲、伸直活动度比较,差异均有统计学意义(P <0.05);②观察组与对照组屈曲、伸直活动度比较,差异均有统计学意义(P <0.05);③两组屈曲、伸直活动度变化趋势比较,差异均有统计学意义(P <0.05)。实验组与对照组术前和术后3、6个月的HSS和BBS评分比较,结果 ①不同时间点HSS和BBS评分比较,差异均有统计学意义(P <0.05);②实验组与对照组HSS和BBS评分比较,差异均有统计学意义(P <0.05);③两组HSS和BBS评分变化趋势比较,差异均有统计学意义(P <0.05)。观察组治疗后髋-膝-踝角(HKA)高于对照组(P <0.05),股胫角(FTA)均低于对照组(P <0.05)。观察组治疗前后HKA、FTA的差值均大于对照组(P <0.05)。观察组与对照组并发症比较,差异无统计学意义(P >0.05)。观察组治疗后生活质量综合评定问卷(GQOL-74)评分高于对照组(P <0.05)。观察组治疗前后GQOL-74评分的差值均大于对照组(P <0.05)。结论 单间室KOA患者予以关节镜联合膝关节周围截骨治疗,可有效减轻疼痛,促进膝关节功能及活动度恢复,提升生活质量,且较安全。

    • 脑梗死后下肢功能障碍老年患者发生骨质疏松的预测模型构建

      2025, 35(24):78-83. DOI: 10.3969/j.issn.1005-8982.2025.24.013

      摘要 (112) HTML (22) PDF 658.22 K (69) 评论 (0) 收藏

      摘要:目的 探究脑梗死后下肢功能障碍老年患者发生骨质疏松的影像因素并构建预测模型。方法 回顾性分析2021年1月—2024年1月南京医科大学附属脑科医院纳入的138例脑梗死后下肢功能障碍老年患者,根据是否发生骨质疏松分为骨质疏松组(31例)和非骨质疏松组(107例),比较两组的一般资料,采用多因素一般Logistic回归分析,构建脑梗死后下肢功能障碍老年患者发生骨质疏松的预测模型并构建列线图。结果 骨质疏松组的年龄、脑梗死病程、吞咽障碍率、睡眠状况不良率均高于非骨质疏松组(P <0.05),Fugl-Meyer运动功能评定量表评分、Holden步行功能分级、骨密度、骨钙素、维生素D水平均低于非骨质疏松组(P <0.05)。多因素一般Logistic回归分析结果表明:年龄大[O^R=1.272(95% CI:1.149,1.407)]、脑梗死病程长[O^R=1.755(95% CI:1.100,2.801)]、Fugl-Meyer运动功能评定量表评分低[O^R=0.739(95% CI:0.574,0.952)]、吞咽障碍[O^R=5.199(95% CI:1.343,20.126)]、睡眠状况不良[O^R=5.174(95% CI:1.315,20.353)]、Holden步行功能分级低[O^R=0.234(95% CI:0.098,0.560)]、骨密度低[O^R=0.196(95% CI:0.057,0.670)]、骨钙素低[O^R=0.885(95% CI:0.802,0.977)]、维生素D水平低[O^R=0.771(95% CI:0.624,0.952)]均为脑梗死后下肢功能障碍老年患者发生骨质疏松的危险因素(P <0.05)。多因素一般Logistic回归模型预测的曲线下面积为0.985(95% CI:0.970,1.000),敏感性为96.8%(95% CI:0.833,0.999),特异性为98.1%(95% CI:0.934,0.998)。结论 脑年龄大、脑梗死病程长、下肢运动功能差、吞咽障碍、睡眠状况不良、步行功能差、骨密度低、骨钙素低、维生素D水平低的梗死后下肢功能障碍老年患者更易发生骨质疏松,为早期识别和干预骨质疏松提供了科学依据,并为脑梗死后老年患者的综合管理提供了新思路。

      • 0+1
      • 1+1
      • 2+1
    • 血栓弹力图参数及PLT、PDW、MPV、P-LCR水平与多发性创伤患者严重程度的相关性分析

      2025, 35(24):84-90. DOI: 10.3969/j.issn.1005-8982.2025.24.014

      摘要 (106) HTML (24) PDF 752.05 K (78) 评论 (0) 收藏

      摘要:目的 探究血栓弹力图(TEG)参数及血小板计数(PLT)、血小板分布宽度(PDW)、平均血小板容积(MPV)、大血小板比率(P-LCR)等血小板相关指标与多发性创伤患者严重程度的相关性。方法 回顾性分析2021年1月—2023年12月延安大学咸阳医院收治的117例多发性创伤患者,根据损伤严重程度评分(ISS)将患者分为轻症组(64例,ISS<16分)和重症组(53例,ISS评分≥16分),另取同期该院40例健康体检人群为对照组。比较3组TEG参数[凝固反应时间(R值)、凝血速率(K值)、水平夹角(α角)及最大振幅(MA值)]及血小板相关指标(PLT、PDW、MPV、P-LCR)。通过Spearman相关性分析评估TEG参数及PLT、PDW、MPV、P-LCR水平与多发性创伤患者严重程度的相关性。根据患者预后情况分为存活组和死亡组,比较两组TEG参数,并通过受试者工作特征(ROC)曲线分析其对预后的预测效能。结果 轻症组R值、K值均高于对照组(P <0.05),α角、MA值均低于对照组(P <0.05);重症组R值、K值均高于轻症组和对照组(P <0.05),α角、MA值均低于轻症组和对照组(P <0.05)。轻症组PLT、PDW、MPV、P-LCR均高于对照组(P <0.05);重症组PLT、PDW、MPV、P-LCR均高于轻症组和对照组(P <0.05)。Spearman相关性分析结果显示,R值(rs =0.399)、K值(rs =0.544)、PDW(rs =0.594)、MPV(rs =0.581)、P-LCR(rs =0.649)与多发性创伤患者的严重程度均呈正相关(P <0.05);α角(rs =-0.709)、MA值(rs =-0.597)、PLT(rs =-0.597)与多发性创伤患者的严重程度均呈负相关(P <0.05)。死亡组R值、K值均高于存活组(P <0.05),α角、MA值均低于存活组(P <0.05)。TEG参数联合血小板相关指标检测预测多发性创伤患者预后的敏感性为97.1%(95% CI:0.881,0.981),特异性为96.3%(95% CI:0.740,0.955),曲线下面积为0.984(95% CI:0.961,1.000)。结论 在多发性创伤患者中,TEG参数及PLT、PDW、MPV、P-LCR水平与严重程度相关,可作为患者预后评估的检测指标。

      • 0+1
      • 1+1
    • MHR、LMR、NLR对重症肺炎合并脓毒症患者预后的预测价值

      2025, 35(24):91-96. DOI: 10.3969/j.issn.1005-8982.2025.24.015

      摘要 (116) HTML (31) PDF 607.20 K (91) 评论 (0) 收藏

      摘要:目的 探讨单核细胞与高密度脂蛋白胆固醇比值(MHR)、淋巴细胞与单核细胞比值(LMR)、中性粒细胞与淋巴细胞比值(NLR)对重症肺炎合并脓毒症患者预后的预测价值。方法 选取2021年3月—2024年8月无锡市人民医院收治的重症肺炎合并脓毒症患者99例,按30 d存活情况将其分成生存组、死亡组。比较两组患者的临床资料、MHR、LMR及NLR;采用多因素一般Logistic回归模型分析重症肺炎合并脓毒症患者死亡的影响因素,并绘制受试者工作特征(ROC)曲线分析预测价值。结果 随访30 d,99例患者病死率为24.24%。死亡组脓毒症休克率、入院时急性生理学和慢性健康状况评估Ⅱ评分、入院时序贯器官衰竭评分和C反应蛋白水平均高于生存组(P <0.05)。死亡组MHR、LMR和NLR水平均高于生存组(P <0.05)。多因素一般Logistic回归分析,结果显示:脓毒症休克[O^R=4.821(95% CI:2.119,10.967)]、MHR高水平[O^R=3.615(95% CI:1.589,8.223)]、LMR高水平[O^R=3.714(95% CI:1.632,8.448)]、NLR高水平[O^R=4.125(95% CI:1.813,9.383)]均为重症肺炎合并脓毒症患者死亡的危险因素(P <0.05)。ROC曲线结果显示,MHR、LMR、NLR及三者联合预测重症肺炎合并脓毒症患者死亡的敏感性分别为79.2%、83.3%、83.3%、91.7%,特异性分别为84.0%、73.3%、82.7%、93.3%,曲线下面积分别为0.797、0.803、0.841、0.905。结论 MHR、LMR、NLR在预测重症肺炎合并脓毒症患者预后中具有重要价值,且三者联合检测预测价值更高。

      • 0+1
    • 不孕症患者生殖道支原体感染、Th17/Treg比值及阴道微生态情况对辅助生殖妊娠结局的影响

      2025, 35(24):97-102. DOI: 10.3969/j.issn.1005-8982.2025.24.016

      摘要 (93) HTML (38) PDF 601.59 K (79) 评论 (0) 收藏

      摘要:目的 分析不孕症患者生殖道支原体感染、辅助型T17细胞/调节性T细胞(Th17/Treg)比值及阴道微生态情况对辅助生殖妊娠结局的影响。方法 选取2022年6月—2024年9月宝鸡市妇幼保健院收治的124例不孕症患者,采用全自动鉴定系统行菌株鉴定,结合支原体感染状况分为感染组和未感染组。比较两组临床资料、Th17/Treg比值、阴道微生态情况;分析Th17/Treg比值、阴道微生态情况对不孕症患者发生支原体感染的影响;截至2025年5月,所有患者接受辅助生殖技术助孕,比较感染组和未感染组妊娠结局。结果 124例不孕症患者,总支原体感染率为60.48%,其中解脲支原体(UU)感染36例,人型支原体感染(MH)29例,UU+MH混合感染10例。感染组Th17/Treg比值、菌群密度异常率和pH值异常率均高于未感染组(P <0.05)。多因素逐步Logistic回归分析结果显示:Th17/Treg比值高[O^R=21.355(95% CI:6.706,68.001)]、菌群密度异常[O^R=4.542(95% CI:1.579,13.069)]和pH值异常[O^R=3.058(95% CI:1.132,8.261)]是不孕症患者发生支原体感染的危险因素(P <0.05)。未感染组受精率高于感染组(P <0.05),流产率和早产率均低于感染组(P <0.05)。结论 Th17/Treg比值、阴道微生态情况是不孕症患者发生支原体感染的影响因素,而生殖道支原体感染影响辅助生殖技术效果,进而影响妊娠结局。

    • 血清CA125、CA19-9、CEA及外泌体PD-L1在晚期胃癌患者化疗疗效评估中的价值

      2025, 35(24):103-109. DOI: 10.3969/j.issn.1005-8982.2025.24.017

      摘要 (131) HTML (55) PDF 1.04 M (79) 评论 (0) 收藏

      摘要:目的 探讨血清糖类抗原125(CA125)、糖类抗原19-9(CA19-9)、癌胚抗原(CEA)及外泌体程序性死亡配体1(PD-L1)在评估晚期胃癌患者化疗疗效中的应用价值。方法 本研究为回顾性研究,选取2019年2月—2020年2月于苏州市中西医结合医院确诊并接受化疗的52例晚期胃癌患者为观察组,根据化疗疗效分为敏感组(21例)与耐药组(31例)。收集两组晨间空腹外周静脉血,采用电化学发光免疫检测技术检测血清CA125、CA19-9、CEA水平,透射电镜观察外泌体形态,Western blotting检测外泌体标志物表达水平并对外泌体进行鉴定,用酶标仪检测外泌体PD-L1蛋白表达。结果 耐药组患者CA125、CEA和CA19-9水平均高于敏感组(P <0.05)。耐药组PD-L1蛋白相对表达量低于敏感组(P <0.05)。血清CA125水平(rs =-0.697)、CEA水平(rs =-0.829)、CA19-9水平(rs =-0.850)与化疗疗效均呈负相关(P <0.05);外泌体PD-L1蛋白相对表达量与化疗疗效呈正相关(rs =0.721,P <0.05)。ROC曲线结果分析,血清CA125、CEA、CA19-9和外泌体PD-L1联合预测化疗疗效的敏感性为95.2%(95% CI:0.762,0.999),特异性为96.8%(95% CI:0.833,0.999),AUC为0.980(95% CI:0.945,1.000)。结论 血清CA125、CA19-9、CEA及外泌体PD-L1可作为评估晚期胃癌患者化疗疗效的有效生物标志物。

      • 0+1
      • 1+1
      • 2+1
      • 3+1
    • MicroRNA-492、红细胞微粒水平预测STEMI患者PCI术后预后的价值

      2025, 35(24):110-116. DOI: 10.3969/j.issn.1005-8982.2025.24.018

      摘要 (81) HTML (24) PDF 721.88 K (94) 评论 (0) 收藏

      摘要:目的 探究microRNA-192(miR-492)和红细胞微粒(RMPs)水平对ST段抬高型心肌梗死(STEMI)患者经皮冠状动脉介入术(PCI)术后预后的预测价值。方法 回顾性分析2020年5月—2022年12月淮安市第二人民医院收治的87例行PCI的STEMI患者的临床资料。收集患者术前临床相关资料、miR-492、RMPs水平及实验室指标等。术后随访6个月,根据主要不良心血管事件(MACE)发生情况,分为预后良好组(无MACE)和预后不良组(发生MACE)。比较两组患者miR-492、RMPs水平及临床相关资料等。分析影响预后的因素,并分析miR-492、RMPs预测预后的价值。结果 预后不良组患者miR-492和RMPs水平均高于预后良好组(P <0.05)。预后不良组年龄、SYNTAX积分、发病至介入治疗时间、Killip Ⅳ级占比、冠脉血栓高负荷和术后抗血小板药物使用时长均高于预后良好组(P <0.05)。预后不良组心肌肌钙蛋白Ⅰ、脑钠肽、肌酸激酶同工酶水平均高于预后良好组(P <0.05)。多因素一般Logistic回归分析结果显示:miR-492相对表达量高、RMPs高水平、发病至介入治疗时间长均为患者预后不良的危险因素(P <0.05)。ROC曲线结果显示,miR-492、RMPs及联合预测STEMI患者预后的曲线下面积分别为0.779、0.790、0.936,敏感性分别为71.4%、76.2%、90.5%,特异性分别为74.2%、75.8%、84.8%。结论 miR-492、RMPs是STEMI患者PCI术后预后不良的独立危险因素,二者联合检测可有效预测患者预后。

      • 0+1

当期目录


年第卷第

文章目录

过刊浏览

年份

刊期

点击排行

引用排行

下载排行