• 2025年第9期文章目次
    全 选
    显示方式: |
    • >心脏疾病专题·论著
    • 替罗非班联合尼可地尔对急性心肌梗死PCI患者早期心绞痛的疗效及vWF、CD62P、GPⅡb/Ⅲa受体复合物的影响

      2025(9):1-6. DOI: 10.3969/j.issn.1005-8982.2025.09.001

      摘要 (177) HTML (77) PDF 671.75 K (125) 评论 (0) 收藏

      摘要:目的 探讨替罗非班联合尼可地尔对急性心肌梗死经皮冠脉介入术(PCI)患者早期心绞痛的临床疗效及血清血管性血友病因(vWF)、P选择素家族(CD62P)水平和糖蛋白(GP)Ⅱb/Ⅲa受体复合物的影响。方法 前瞻性选取2020年1月—2023年8月大庆市龙南医院收治213例急性心肌梗死后接受PCI术的患者,随机分为观察组(107例)和对照组(106例)。观察组冠状动脉内注射替罗非班10 μg/kg及尼可地尔0.06 mg/kg治疗,对照组冠状动脉内注射替罗非班10 μg/kg治疗。观察两组患者的vWF、CD62P、GPⅡb/Ⅲa受体复合物水平;统计两组患者治疗开始后心绞痛发作情况及心绞痛发作的平均持续时间;采用西雅图心绞痛量表(SAQ)评估心绞痛严重程度;比较两组患者的不良反应。结果 观察组治疗前后vWF、CD62P、GPⅡb/Ⅲa的差值均高于对照组(P <0.05)。观察组治疗前后心绞痛发作频率、心绞痛持续时间的差值均高于对照组(P <0.05)。观察组治疗前后SAQ的躯体活动限制程度、心绞痛稳定性、心绞痛发作频率及对治疗满意度维度差值均高于对照组;两组患者治疗前后对疾病认知程度差值比较,差异无统计学意义(P >0.05)。两组不良反应总发生率比较,差异无统计学意义(P <0.05)。结论 替罗非班联合尼可地尔能有效降低急性心肌梗死后接受PCI术早期心绞痛患者的vWF、CD62P和GPⅡb/Ⅲa受体复合物水平,减少心绞痛发作频率并改善发作症状,有助于改善患者的临床预后。

    • SLCO1B1和ApoE基因多态性对氯吡格雷治疗的超高危动脉粥样硬化性心血管疾病患者的影响

      2025(9):7-12. DOI: 10.3969/j.issn.1005-8982.2025.09.002

      摘要 (123) HTML (58) PDF 640.55 K (111) 评论 (0) 收藏

      摘要:目的 探讨有机阴离子转运多肽1B1(OATP1B1;编码基因SLCO1B1)和载脂蛋白E(ApoE)基因多态性对氯吡格雷治疗的超高危动脉粥样硬化性心血管疾病(ASCVD)患者的影响。方法 选取2023年1月—2024年1月在北大荒集团建三江医院接受治疗的183例超高危ASCVD患者,收集患者的临床资料。所有患者接受氯吡格雷治疗,根据患者是否发生氯吡格雷抵抗进行分组。检测患者的SLCO1B1和ApoE基因型,分析SLCO1B1及ApoE基因多态性与ASCVD患者治疗中发生氯吡格雷抵抗的关系。结果 183例患者中发生氯吡格雷抵抗的占比为27.87%(51/183)。抵抗组与敏感组胆固醇水平、白细胞计数和糖尿病患病率的比较,差异均有统计学意义(P <0.05)。抵抗组SLCO1B1的1a/1b、1b/1b型构成比高于敏感组(P <0.05)。抵抗组SLCO1B1的15等位基因构成比低于敏感组(P <0.05),SLCO1B1的1b等位基因构成比高于敏感组(P <0.05)。抵抗组ApoE的e3/e4和e4/e4基因型构成比高于敏感组(P <0.05)。抵抗组ApoE的e4等位基因构成比高于敏感组(P <0.05)。结论 SLCO1B1及ApoE基因多态性与ASCVD患者氯吡格雷抵抗有关。

    • 血清sST-2、hs-CRP、NT-proBNP、IGF-1与慢性心力衰竭严重程度的关系研究

      2025(9):13-20. DOI: 10.3969/j.issn.1005-8982.2025.09.003

      摘要 (188) HTML (22) PDF 698.97 K (131) 评论 (0) 收藏

      摘要:目的 探讨可溶性生长刺激表达基因2蛋白(sST-2)、超敏C反应蛋白(hs-CRP)、N末端B型脑钠肽前体(NT-proBNP)、胰岛素样生长因子-1(IGF-1)水平与慢性心力衰竭(CHF)严重程度的关系。方法 选取2023年1月—2024年6月山东大学齐鲁医院德州医院收治的73例慢性心力衰竭患者为心衰组,选取该院同期健康体检者80例作为对照组。比较两组血清sST-2、hs-CRP、NT-proBNP、IGF-1水平。将心衰组按左室射血分数(LVEF)分为射血分数降低型(HFrEF)组、射血分数轻度降低型(HFmrEF)组、射血分数保留型(HFpEF)组,比较3个亚组患者血清sST-2、hs-CRP、NT-proBNP、IGF-1水平;采用多因素逐步Logistic回归分析心力衰竭的影响因素;Spearman相关性分析血清sST-2、hs-CRP、NT-proBNP水平与心力衰竭严重程度的相关性;绘制受试者工作特征(ROC)曲线分析血清sST-2、hs-CRP、NT-proBNP水平及三者联合对心力衰竭严重程度的诊断价值。结果 心衰组血清sST-2、hs-CRP、NT-proBNP水平均高于对照组(P <0.05),IGF-1低于对照组(P <0.05)。HFrEF组血清sST-2、hs-CRP、NT-proBNP水平均高于HFmrEF组和HFpEF组(P <0.05),HFmrEF组血清sST-2、hs-CRP、NT-proBNP水平均高于HFpEF组(P <0.05);3个亚组患者血清IGF-1水平比较,差异无统计学意义(P >0.05)。Spearman相关性分析结果显示,sST-2、hs-CRP、NT-proBNP水平与LVEF呈负相关(P <0.05),与LVEDD、LVEF分级均呈正相关(P <0.05)。多因素逐步Logistic回归分析结果显示:LVEF [O^R =0.679(95% CI:0.514,0.897)]为为心力衰竭严重程度的保护因素(P <0.05),LVEDD [O^R =1.224(95% CI:1.053,1.422)]、sST-2 [O^R =1.175(95% CI:1.007,1.372)]、hs-CRP [O^R =1.428(95% CI:1.021,1.998)]及NT-proBNP [O^R =1.001(95% CI:1.000,1.002)]均为心力衰竭严重程度的危险因素(P <0.05)。ROC曲线分析结果显示,sST-2、hs-CRP、NT-proBNP的曲线下面积分别为0.774、0.770、0.689,三者联合检测的曲线下面积为0.883,诊断价值高于任一单一指标。结论 血清sST-2、hs-CRP、NT-proBNP水平与慢性心力衰竭严重程度呈正相关,随心力衰竭严重程度增加而升高;sST-2、hs-CRP、NT-proBNP三者联合的诊断价值高于单一因素的诊断价值,诊断特异性高,可以为慢性心力衰竭严重程度的诊断提供新的思路。

      • 0+1
    • 超声斑点追踪成像技术联合血清肌酸激酶/肌酸激酶同工酶对急性心肌梗死ECMO早期撤机结果的预测价值

      2025(9):21-26. DOI: 10.3969/j.issn.1005-8982.2025.09.004

      摘要 (205) HTML (16) PDF 672.13 K (114) 评论 (0) 收藏

      摘要:目的 分析超声斑点追踪成像(STI)技术联合血清肌酸激酶(CK)/肌酸激酶同工酶(CK-MB)对急性心肌梗死(AMI)体外膜氧合器(ECMO)早期撤机结果的预测价值。方法 选取2022年6月—2023年7月在青岛市市立医院行ECMO治疗的82例AMI患者,采用彩色多普勒超声诊断仪检测左心室整体外层心肌环向应变值(GCS-epi)、中层心肌环向应变值(GCS-mid)及内层心肌环向应变值(GCS-endo);采用酶联免疫吸附试验检测CK、CK-MB水平,计算CK/CK-MB;根据撤机情况将患者分为撤机失败组和成功组,比较两组患者的临床资料;采用多因素逐步Logistic回归模型分析影响ECMO早期撤机失败的因素;绘制受试者工作特征(ROC)曲线分析STI联合血清CK/CK-MB对ECMO早期撤机结果的预测价值。结果 失败组多器官功能衰竭发生率高于成功组(P <0.05)。失败组和成功组CK/CK-MB、心率、GCS-endo、GCS-epi、GCS-mid水平比较,差异均有统计学意义(P<0.05)。失败组CK/CK-MB和左室射血分数(LVEF)均低于成功组(P <0.05),GCS-endo、GCS-epi、GCS-mid均高于成功组(P <0.05)。多因素逐步Logistic回归分析结果显示:多器官功能衰竭[O^R =5.114(95% CI:1.748,14.962)]、CK/CK-MB低[O^R =3.618(95% CI:1.237,10.586)]、LVEF低[O^R =6.135(95% CI:2.097,17.949)]、GCS-epi高[O^R =7.501(95% CI:2.564,21.945)]、GCS-mid高[O^R =8.183(95% CI:2.797,23.940)]和GCS-endo高[O^R =15.565(95% CI:1.841,29.289)]是AMI患者ECMO早期撤机失败的危险因素(P <0.05)。ROC曲线分析结果显示,多器官功能衰竭、CK/CK-MB、LVEF、GCS-epi、GCS-mid、GCS-endo联合预测ECMO早期撤机失败的敏感性为92.31%(95% CI:0.803,1.000),特异性为94.64%(95% CI:0.824,1.000),曲线下面积为0.924,联合检测对ECMO早期撤机失败的预测价值较高。结论 多器官功能衰竭、CK/CK-MB、LVEF、GCS-epi、GCS-mid、GCS-endo联合对AMI患者ECMO早期撤机失败的预测价值更高。

      • 0+1
    • 冻干重组人脑钠肽联合比伐卢定对急性冠脉综合征患者PCI术后心功能、炎症水平的影响

      2025(9):27-32. DOI: 10.3969/j.issn.1005-8982.2025.09.005

      摘要 (140) HTML (37) PDF 679.91 K (101) 评论 (0) 收藏

      摘要:目的 探讨冻干重组人脑钠肽联合比伐卢定对急性冠脉综合征患者经皮冠脉介入术(PCI)后心功能、炎症水平的影响。方法 选取2020年5月—2022年3月天津市第一中心医院收治的112例急性冠脉综合征PCI术后患者为研究对象。利用随机数字表法将其分为观察组和对照组,每组56例。对照组采用冻干重组人脑钠肽联合肝素钠治疗,观察组采用冻干重组人脑钠肽联合比伐卢定治疗。比较两组患者的心功能、炎症水平、不良反应、无心血管事件生存时间。结果 观察组治疗前后左室射血分数差值高于对照组(P <0.05),治疗前后左室舒张末期内径差值低于对照组(P <0.05)。观察组与对照组治疗前后左室内径缩短率和等容舒张时间的差值比较,差异均无统计学意义(P >0.05)。观察组治疗前后基质金属蛋白酶-9、一氧化氮、内皮素-1、超敏C反应蛋白水平的差值比较,差异均无统计学意义(P >0.05)。观察组患者不良反应总发生率低于对照组(P <0.05)。随访1年,观察组无心血管事件生存时间长于对照组(P <0.05)。结论 比伐卢定和冻干重组人脑钠肽联合应用能够改善患者的心功能状态,降低不良反应及心血管事件发生率。

      • 0+1
    • 二维斑点追踪超声心动图早期评估冠状动脉狭窄程度的临床价值

      2025(9):33-39. DOI: 10.3969/j.issn.1005-8982.2025.09.006

      摘要 (130) HTML (82) PDF 805.36 K (126) 评论 (0) 收藏

      摘要:目的 探讨二维斑点追踪超声心动图(2D-STE)早期评估冠状动脉狭窄程度的临床价值。方法 收集100例行冠状动脉造影和2D-STE的冠状动脉粥样硬化性心脏病(以下简称冠心病)患者,根据Gensini评分将患者分为轻度组(<25分)34例,中度组(25~49分)24例,重度组(≥50分)35例;收集同期冠状动脉造影结果为无冠状动脉狭窄且不合并其他引起心脏功能改变疾病的25例为对照组。分析各组左心室收缩期整体纵向应变(GLS)峰值、各节段的收缩期纵向应变(LS)峰值、收缩期纵向应变达峰时间离散度(LS-PSD)及纵向应变达峰时间最大差(LS-Dif)的差异。采用多因素逐步线性回归模型分析冠状动脉狭窄率的影响因素,绘制受试者工作特征(ROC)曲线。结果 重度组的GLS高于对照组、轻度组、中度组(P <0.05),中度组的GLS高于对照组、轻度组(P <0.05),轻度组的GLS高于对照组(P <0.05);重度组的LS-PSD高于对照组、轻度组(P <0.05),中度组的LS-PSD高于对照组、轻度组(P <0.05),中度和重度组的LS-PSD比较,差异无统计学意义(P >0.05);重度组的LS-Dif高于对照组、轻度组(P <0.05),中度组的LS-Dif高于对照组、轻度组(P <0.05)。GLS和各心肌缺血节段LS是冠状动脉狭窄率的危险因素(P <0.05)。对冠状动脉狭窄率75%~<90%,心肌缺血节段LS的截断值为-14.0%,曲线下面积为0.819(95% CI:0.712,0.926),敏感性为60.75%(95% CI:0.539,0.673),特异性为79.13%(95% CI:0.733,0.842),诊断效能最好;对冠状动脉狭窄率 ≥90%,GLS的截断值为-12.5%,曲线下面积为0.877(95% CI:0.792,0.963),敏感性为70.97%(95% CI:0.520,0.858),特异性为92.86%(95% CI:0.765,0.991),诊断效能最好。结论 对准备冠状动脉造影检查的冠心病患者,2D-STE可作为一种安全可靠、无创的辅助工具,早期评估冠状动脉狭窄程度。

      • 0+1
      • 1+1
      • 2+1
    • 经胸彩色多普勒超声对慢性心力衰竭患者心脏结构、功能的评估价值分析

      2025(9):40-45. DOI: 10.3969/j.issn.1005-8982.2025.09.007

      摘要 (155) HTML (21) PDF 683.43 K (116) 评论 (0) 收藏

      摘要:目的 评估经胸彩色多普勒超声在慢性心力衰竭患者心脏结构及功能评估中的应用价值。方法 回顾性分析2022年2月—2024年2月江油市第二人民医院收治的115例慢性心力衰竭患者的临床资料。根据美国纽约心脏协会(NYHA)分级标准将患者分为心功能Ⅱ级36例、Ⅲ级41例、Ⅳ级38例。所有患者进行冠状动脉造影检查、彩色多普勒超声检查。比较各组患者的冠状动脉造影指标、彩色多普勒超声指标。采用酶联免疫吸附试验检测可溶性生长刺激表达基因2蛋白(sST2)、选择蛋白-3(GAL-3)、自噬相关因子Beclin-1、生长分化因子(GDF-15)、脑钠肽(BNP)、心肌肌钙蛋白I(cTnI)、肌酸激酶MB同工酶(CK-MB)水平;采用酶活性测定法检测血清肌酸激酶CK)水平。采用多因素逐步Logistic回归分析影响慢性心力衰竭患者心功能的因素。结果 与心功能等级Ⅱ级相比,Ⅲ级、Ⅳ级组左心室舒张末期内径(LVEDD)、左心室收缩末期内径(LVESD)、左房内径(LA)及二尖瓣环E峰与A峰比值(E/A)均升高(P <0.05),左室射血分数(LVEF)下降(P <0.05)。与心功能等级Ⅱ级相比,Ⅲ级、Ⅳ级组主肺动脉直径(MAPD)、左肺动脉直径(LPAD)、右肺动脉直径(RPAD)均升高(P <0.05);与心功能等级Ⅱ级相比,Ⅲ级、Ⅳ级组sST2、GAL-3、Beclin-1、GDF-15、BNP、cTnI、CK、CK-MB均升高(P <0.05)。多因素逐步Logistic回归分析结果显示:LA高[O^R =1.368(95% CI:1.036,1.806)]、E/A高[O^R =9.903(95% CI:1.189,82.468)]、GAL-3高[O^R =1.266(95% CI:1.031,1.553)]、GDF-15高[O^R =1.072(95% CI:1.004,1.145)]、CK高[O^R =1.036(95% CI:1.011,1.060)]是影响慢性心力衰竭患者心功能的危险因素(P <0.05)。结论 经胸彩色多普勒超声能准确评估慢性心力衰竭患者的心脏结构及功能,LA、E/A、GAL-3、GDF-15和CK为心力衰竭的危险因素。

    • >实验研究·论著
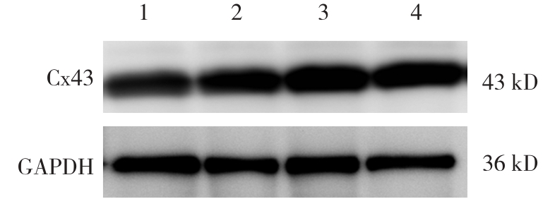
    • S1P对成肌细胞移植治疗心肌梗死后心律失常的影响及其机制探讨

      2025(9):46-53. DOI: 10.3969/j.issn.1005-8982.2025.09.008

      摘要 (156) HTML (40) PDF 1.80 M (114) 评论 (0) 收藏

      摘要:目的 探讨1-磷酸鞘氨醇(S1P)减少自体成肌细胞移植后心律失常发生的作用和机制。方法 大鼠随机分对照组、成肌细胞移植组、S1P脂质体和成肌细胞移植组及脂质体移植组,每组10只。在体通过程序性刺激的方法诱发心律失常,采用体表心电图检测成肌细胞移植治疗心肌梗死模型大鼠4周后的心律失常发生率;心肌组织Ca2+-ATPase活性检测Ca2+浓度。体外分离和培养大鼠心肌细胞,并与骨骼肌成肌细胞共同培养,构建缺氧/复氧损伤模型。复氧期开始S1P干预,采用Western blotting和免疫组织化学染色检测连接蛋白43(Cx43)表达水平。结果 导入S1P的细胞移植组发生心律失常的时间显著延后,诱发概率降低,心律失常持续时间短于对照组(P < 0.05)。导入S1P的细胞移植组Ca2+-ATPase的活性高于单纯细胞移植组(P <0.05)。离体成肌细胞和心肌细胞共培养的缺氧/复氧损伤模型中,随S1P浓度增加,Cx43蛋白相对表达量上升(P <0.05)。结论 S1P通过提升心肌缺血再灌注大鼠心肌组织中Ca2+-ATPase活性和心肌缝隙连接Cx43表达,从而减少成肌细胞移植后室性心律失常的发生。

      • 0+1
      • 1+1
      • 2+1
      • 3+1
      • 4+1
      • 5+1
    • 间歇性低氧干预调节p-STAT3/CPT-1对心肌梗死后小鼠心肌脂肪酸代谢的影响及机制研究

      2025(9):54-62. DOI: 10.3969/j.issn.1005-8982.2025.09.009

      摘要 (220) HTML (41) PDF 3.03 M (116) 评论 (0) 收藏

      摘要:目的 探讨间歇性低氧(IH)对心肌梗死小鼠心肌脂肪酸代谢的影响及作用机制。方法 随机选取6~8周龄雄性C57BL6/J小鼠共32只,随机分为4组:假手术常氧组、假手术间歇性低氧组、心肌梗死常氧组和心肌梗死间歇性低氧组,每组8只。采用左冠状动脉前降支结扎复制心肌梗死模型。模型复制成功1周后开始实验干预,低氧干预4 h/d,5 d/周,持续4周。假手术组在常压常氧环境下饲养。间歇性低氧组置于低氧舱(模拟海拔5 000 m环境,氧浓度为13%)。4周后,分别检测各组小鼠的体重、运动耐量、左室射血分数(LVEF)、心肌纤维化水平、心肌线粒体结构、三磷酸腺苷(ATP)含量、柠檬酸合酶(CS)活性及脂肪酸代谢相关蛋白:脂肪酸转运酶CD36(CD36)、长链脂酰辅酶A脱氢酶(LCAD)、酰基辅酶A氧化酶1(ACOX1)蛋白表达水平,以及信号转导和转录活化因子3(STAT3)和肉碱脂酰转移酶1(CPT1)的蛋白及基因表达水平。结果 4周干预结束后,与心肌梗死常氧组比较,心肌梗死间歇性低氧组小鼠的运动耐量增加(P <0.05)、LVEF升高(P <0.05)、心肌纤维化指数降低(P <0.05)、心肌线粒体状态改善、ATP含量增高(P <0.05)、CS活性改善(P <0.05)、脂肪酸氧化相关蛋白CD36、LCAD和ACOX1蛋白水平升高,p-STAT3蛋白水平升高,CPT1蛋白和基因表达均升高(P <0.05)。结论 间歇性低氧干预可通过调控小鼠p-STAT3/CPT1通路,增加心肌梗死后心肌细胞的脂肪酸氧化,提高能量代谢,改善线粒体结构,降低心肌纤维化,保护心功能。

      • 0+1
      • 1+1
      • 2+1
      • 3+1
      • 4+1
      • 5+1
      • 6+1
      • 7+1
    • >综述
    • 线粒体ALDH2在心力衰竭中的作用研究进展

      2025(9):63-69. DOI: 10.3969/j.issn.1005-8982.2025.09.010

      摘要 (301) HTML (57) PDF 813.05 K (104) 评论 (0) 收藏

      摘要:慢性心力衰竭发病率持续上升,给群众生命健康造成了巨大影响,现已成为世界范围内死亡的主要原因。线粒体乙醛脱氢酶2(ALDH2)是线粒体基质中的一种乙醛代谢关键酶,在心肌细胞中通过清除醛类有害物质,调节相关蛋白及信号因子发挥心肌保护作用,近年来大量的文献研究证明其在慢性心力衰竭的发生、发展中至关重要。该文主要对线粒体ALDH2在心力衰竭中的作用机制研究作一综述。

      • 0+1
    • 基于“阴阳学说”理论探讨线粒体自噬介导的PINK1/Parkin信号通路在动脉粥样硬化中的调控机制

      2025(9):70-77. DOI: 10.3969/j.issn.1005-8982.2025.09.011

      摘要 (215) HTML (33) PDF 900.92 K (117) 评论 (0) 收藏

      摘要:动脉粥样硬化是一种常见的血管疾病,表现为动脉脂质堆积和斑块形成,其高发病率、病死率严重影响全球人类的生命健康。线粒体作为细胞的能量中心和调节器,参与细胞内的多种代谢过程,对动脉粥样硬化的发生、发展具有重要影响。线粒体自噬用以描述线粒体的选择性自噬过程,是维持细胞线粒体健康的关键机制,在生理和病理生理环境中均发挥着重要作用,其中PINK1/Parkin介导的通路是最具特征的信号通路,其在动脉粥样硬化中发挥着举足轻重的作用,其调控与中医阴阳理论中的阴阳平衡、对立制约、互根互用以及“阳”推动、温煦、防御和“阴”静止、寒凉、内守的特性有相似之处。该文从阴阳理论为出发点,探讨线粒体自噬PINK1/Parkin信号通路在动脉粥样硬化中的作用机制,以及通过中药以及复方干预,为中医药防治动脉粥样硬化提供新的思路。

      • 0+1
    • >临床研究·论著
    • 2型糖尿病患者血清LGMN水平与颈动脉粥样硬化的相关性研究

      2025(9):78-84. DOI: 10.3969/j.issn.1005-8982.2025.09.012

      摘要 (167) HTML (28) PDF 739.79 K (114) 评论 (0) 收藏

      摘要:目的 探讨2型糖尿病(T2DM)患者血清天冬酰胺内肽酶(LGMN)水平与颈动脉粥样硬化(CAS)的关系。方法 选取2023年5月—2024年5月在保定市第一中心医院内分泌科就诊的111例T2DM患者,依据颈动脉超声测定的颈动脉内-中膜厚度(CIMT)结果分为单纯T2DM组(T2DM组,55例)、T2DM合并CAS组(T2DM+CAS组,56例);另选取同期该院体检健康者55例作为对照组。收集各组一般资料及相关生化指标,酶联免疫吸附试验检测血清LGMN水平,Spearman法分析LGMN与各指标的相关性,多因素一般Logistic回归模型分析T2DM合并CAS的影响因素,受试者工作特征(ROC)曲线分析血清LGMN对T2DM合并CAS的诊断价值。结果 各组体质量指数(BMI)、收缩压(DBP)、空腹静脉血糖(FPG)、糖化血红蛋白(HbA1c)、空腹胰岛素(FINS)、胰岛素抵抗指数(HOMA-IR)、LGMN、CIMT比较,差异均有统计学意义(P <0.05);与对照组相比,T2DM组、T2DM+CAS组HbA1c、LGMN水平均升高(P <0.05),T2DM+CAS组最高。Spearman相关性分析结果显示,血清LGMN与BMI、SBP、FPG、HbA1c、FINS、HOMA-IR、CIMT均呈正相关(rs =0.303、0.400、0.639、0.699、0.340、0.493和0.580,均P =0.000)。多因素一般Logistic回归分析结果显示,HbA1c水平升高[O^R =1.944(95% CI:1.311,2.883)]、LGMN水平升高[O^R=1.495(95% CI:1.273,1.756)]是T2DM合并CAS的危险因素(P <0.05)。ROC曲线分析结果显示,血清LGMN诊断T2DM合并CAS的曲线下面积为0.870(95% CI:0.819,0.924),敏感性为87.5%(95% CI:0.788,0.962),特异性为73.6%(95% CI:0.654,0.819)。结论 血清LGMN水平升高与T2DM合并CAS密切相关,可能是T2DM合并CAS的新型生物学标志物。

      • 0+1
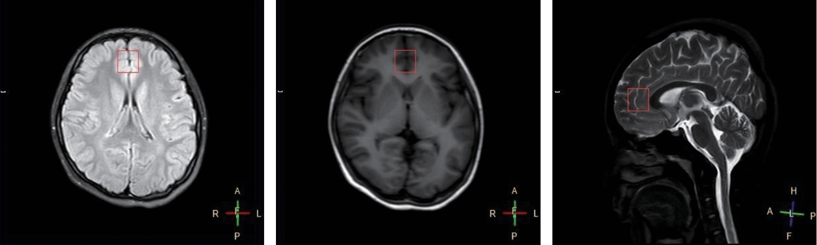
    • 青少年双相障碍抑郁发作患者神经代谢的性别差异研究

      2025(9):85-91. DOI: 10.3969/j.issn.1005-8982.2025.09.013

      摘要 (260) HTML (19) PDF 1.38 M (124) 评论 (0) 收藏

      摘要:目的 探讨青少年双相障碍抑郁发作患者性别差异与腹内侧前额叶(vmPFC)神经代谢之间的关系。方法 招募2023年6月—2024年6月符合精神障碍诊断与统计手册第5版双相障碍抑郁发作诊断标准,且近1个月未接受任何治疗的45例青少年双相障碍抑郁发作患者作为研究对象,其中男性患者20例,女性患者25例。采用汉密顿抑郁量表-24对入组患者的抑郁症状严重程度进行评估,应用氢质子磁共振波谱(1H-MRS)扫描检测vmPFC内肌醇(mI)、胆碱(Cho)、N-乙酰天门冬氨酸(NAA)、肌酸(Cr)水平。结果 女性患者与男性患者的年龄、独生率、居住地、受教育程度、发病年龄、病程、家族史及HAMD评分比较,差异均无统计学意义(P >0.05);女性患者与男性患者NAA/Cr水平的比较,差异有统计学意义(P <0.05);男性患者vmPFC的mI/Cr与病程呈负相关(rs =-0.467,P <0.05),男性和女性患者Cho/Cr与HAMD评分均呈正相关(r =0.553和0.621,均P <0.05)。结论 女性青少年双相障碍抑郁发作患者vmPFC脑区可能存在更高的神经代谢物NAA的水平。

      • 0+1
      • 1+1
    • 脑梗死患者外周血线粒体DNA拷贝数与病情严重程度的相关性研究

      2025(9):92-98. DOI: 10.3969/j.issn.1005-8982.2025.09.014

      摘要 (191) HTML (49) PDF 785.06 K (120) 评论 (0) 收藏

      摘要:目的 探讨外周血线粒体DNA(mtDNA)拷贝数与脑梗死患者病情严重程度的关系。方法 选取2024年1月—2024年11月在梅州市人民医院诊断为脑梗死的199例患者为研究对象。根据美国国立卫生院研究卒中量表(NIHSS)评分结果将脑梗死患者分为轻度组(NIHSS评分 ≤4分)与中重度组(NIHSS评分 >4分);按照脑梗死患者外周血mtDNA拷贝数的中位数将患者分为高mtDNA组和低mtDNA组。采用实时定量聚合酶链反应检测患者外周血mtDNA拷贝数水平;采用Spearman秩相关和多因素一般Logistic回归模型分析mtDNA拷贝数与脑梗死患者临床参数的相关性和影响因素。结果 轻度组与中重度组患者在年龄、NIHSS评分、白细胞和中性粒细胞方面均存在差异(P <0.05)。中重度组脑梗死患者mtDNA拷贝数低于轻度组(P <0.05)。高mtDNA组脑梗死患者的NIHSS评分低于低mtDNA组脑梗死患者(P <0.05)。Spearman相关性分析显示,外周血mtDNA拷贝数与患者的NIHSS评分(rs =-0.446,P <0.05)、年龄(rs =-0.115,P <0.05)、白细胞(rs =-0.204,P <0.05)、中性粒细胞(rs =-0.221,P <0.05)、淋巴细胞(rs =0.185,P <0.05)和甘油三酯(rs =0.167,P <0.05)均相关。多因素一般Logistic回归分析结果显示,高mtDNA拷贝数是脑梗死患者病情严重程度的保护因素[O^R =0.496(95% CI:0.380,0.647)](P <0.05)。结论 外周血mtDNA拷贝数水平与脑梗死严重程度具有显著的关联,提示其可能作为评估脑梗死病情的重要循环标志物。

      • 0+1
      • 1+1

当期目录


年第卷第

文章目录

过刊浏览

年份

刊期

点击排行

引用排行

下载排行