• 2026年第2期文章目次
    全 选
    显示方式: |
    • >胸腔镜专题·论著
    • 无呼吸性气流通气联合持续中低流量给氧在胸腔镜肺癌单肺通气肺保护中的效果

      2026, 36(2):1-6. DOI: 10.3969/j.issn.1005-8982.2026.02.001

      摘要 (212) HTML (53) PDF 615.88 K (158) 评论 (0) 收藏

      摘要:目的 探讨无呼吸性气流通气联合持续中低流量给氧在胸腔镜肺癌单肺通气肺保护中的效果。方法 前瞻性选取2021年1月—2023年6月在宁波市杭州湾医院接受胸腔镜下肺癌根治术患者102例,采用随机数字表法分为对照组和观察组(各51例)。对照组单肺通气后采用持续中低流量给氧,观察组在对照组的基础上采用无呼吸性气流通气。对比两组呼吸指数(RI)、动脉血二氧化碳分压(PaCO2)、肺萎陷及手术视野暴露效果、肺组织损伤评分、肺组织细胞凋亡指数、术后住院时间、术后机械通气辅助时间及并发症。结果 观察组与对照组麻醉诱导后1 min(T0)、单肺通气后30 min(T1)、单肺通气后1 h(T2)时刻的RI、PaCO2水平比较,结果 ①不同时间点RI、PaCO2水平比较,差异均有统计学意义(F =11.265、13.785,均P <0.05);②观察组与对照组RI、PaCO2水平比较,差异均有统计学意义(F =9.143、11.068,均P <0.05);③两组RI、PaCO2水平变化趋势比较,差异均有统计学意义(F =10.372、12.412,均P <0.05)。观察组肺萎陷及手术视野暴露总有效率高于对照组(P <0.05)。观察组肺组织损伤评分和肺组织细胞凋亡指数均低于对照组(P <0.05)。观察组术后住院时间、术后机械通气辅助时间均短于对照组(P <0.05)。两组患者并发症总发生率比较,差异无统计学意义(P >0.05)。结论 无呼吸性气流通气联合持续中低流量给氧在胸腔镜肺癌单肺通气肺保护中效果确切,可减轻肺组织损伤,改善RI、PaCO2水平,促进术后康复,且安全性可靠。

    • 艾司氯胺酮和右美托咪定作为超声引导下竖脊肌阻滞佐剂对胸腔镜肺手术术后镇痛的影响

      2026, 36(2):7-15. DOI: 10.3969/j.issn.1005-8982.2026.02.002

      摘要 (159) HTML (34) PDF 710.70 K (145) 评论 (0) 收藏

      摘要:目的 比较艾司氯胺酮和右美托咪定作为罗哌卡因佐剂用于胸腔镜手术中竖脊肌阻滞(ESPB)的效果。方法 选取2025年6月—2025年8月南京医科大学附属淮安第一医院纳入的105例接受胸腔镜术中行ESPB的患者,将其随机分为3组,RC组:0.75%罗哌卡因15 mL,用生理盐水稀释至30 mL。RE组:0.75%罗哌卡因15 mL,用生理盐水稀释至28 mL+0.1 mg/kg艾司氯胺酮2 mL。RD组:0.75%罗哌卡因15 mL,用生理盐水稀释至28 mL+1 μg/kg右美托咪定2 mL。所有患者术前在T5椎体水平进行超声引导下ESPB。主要指标为镇痛持续时间;其他指标包括术后1、6、12、24、48 h的视觉模拟评分法(VAS),术中舒芬太尼、瑞芬太尼和丙泊酚消耗量,术中平均动脉压(MAP)和心率(HR),术中间羟胺消耗量,术中液体出入量,术后48 h内抢救性镇痛人数和镇痛泵按压次数、胸管留置时间,术后住院时间及术后不良反应发生率。结果 RD组和RE组镇痛持续时间长于RC组(P <0.05),RD组镇痛持续时间长于RE组(P <0.05);RD组和RE组术后48 h内镇痛泵按压次数少于RC组(P <0.05),RD组术后48 h内镇痛泵按压次数少于RE组(P <0.05)。RD组和RE组血压开始降低时间早于RC组(P <0.05),RD组血压开始降低时间早于RE组(P <0.05);RD组术中入液总量大于RC组和RE组(P <0.05),RD组术中间羟胺消耗量大于RC组和RE组(P <0.05),RC组术中间羟胺消耗量大于RE组(P < 0.05)。RC组、RD组与RE组术后1、6、12、24和48 h静息和咳嗽状态下VAS评分比较,结果 ①不同时间点静息和咳嗽状态下VAS评分比较,差异均有统计学意义(P <0.05);②3组静息和咳嗽状态下VAS评分比较,差异均有统计学意义(P <0.05),RD组和RE组VAS评分较低,相对镇痛效果较好;③3组静息和咳嗽状态下VAS评分变化趋势比较,差异均有统计学意义(P <0.05)。RC组、RD组与RE组在入手术室后、神经阻滞后、麻醉诱导后、气管插管后、切皮时、缝皮时、手术结束时MAP、HR比较,结果 ①不同时间点MAP、HR比较,差异均有统计学意义(P <0.05);②3组MAP、HR比较,差异均有统计学意义(P <0.05),RE组MAP最高,RC组次之,RD组最低;③3组MAP、HR变化趋势比较,差异均有统计学意义(P <0.05)。RC组、RD组和RE组手术持续时间、舒芬太尼消耗量、瑞芬太尼消耗量、丙泊酚消耗量和术中出液总量、术后住院时间及恶心呕吐、头晕、低血压、心动过缓发生率比较,差异均无统计学意义(P> 0.05)。RD组和RE组胸管留置时间短于RC组(P <0.05)。结论 艾司氯胺酮和右美托咪定作为罗哌卡因佐剂用于胸腔镜手术ESPB,可有效延长镇痛持续时间,降低术后疼痛评分,但右美托咪定在镇痛持续时间方面优于艾司氯胺酮。

    • 低剂量艾司氯胺酮在胸腔镜肺段切除术中的应用效果

      2026, 36(2):16-22. DOI: 10.3969/j.issn.1005-8982.2026.02.003

      摘要 (155) HTML (40) PDF 687.67 K (137) 评论 (0) 收藏

      摘要:目的 评估低剂量艾司氯胺酮在胸腔镜肺段切除术的应用效果。方法 选取2022年2月—2024年2月在乐山市人民医院接受胸腔镜肺段切除术的106例患者。通过分层随机抽样法将患者分为试验组、对照组,各53例。试验组接受低剂量艾司氯胺酮与氟比洛芬酯的联合治疗,麻醉诱导后通过静脉给予氟比洛芬酯1 mg/kg,随后在手术切皮前给予艾司氯胺酮0.5 mg/kg,然后以0.25 mg/(kg·h)速度继续输注,直到皮肤缝合前停止。对照组在麻醉诱导后也接受氟比洛芬酯1 mg/kg静脉注射,但在切皮前改为注射同等体积的生理盐水,并持续输注直至缝合皮肤。对比两组血流动力学[麻醉诱导前(T0)、进胸腔后5 min(T1)和拔双腔管后10 min(T2)的收缩压(SBP)、舒张压(DBP)、平均动脉压(MAP)、心率(HR)]、舒芬太尼和氟比洛芬酯用量、认知功能[术前和拔管后1、2、3 d简易精神状态检查量表(MMSE)评分]、血清生物标志物[白细胞介素-6(IL-6)、钙-钙调素依赖性蛋白激酶Ⅲ(CAMK Ⅲ)、5-羟色胺(5-HT)、脑源性神经营养因子(BDNF)]、恢复质量[40项恢复质量量表(QoR-40)评分]、情绪状况[医院焦虑-抑郁量表(HADS)评分]、不良反应(恶心、呕吐、呼吸抑制、眩晕、皮肤过敏)的变化。结果 两组患者T0、T1、T2时SBP、DBP、MAP、HR比较,结果 ①不同时间点SBP、DBP、MAP、HR比较,差异均有统计学意义(F =19.904、29.923、22.524、13.769,均P <0.05);②两组患者MAP比较,差异有统计学意义(F =20.099,P <0.05),试验组T2时MAP高于对照组。两组患者SBP、DBP、HR比较,差异均无统计学意义(F =2.072、0.038、0.092,均P >0.05);③两组患者MAP变化趋势比较,差异有统计学意义(F =36.736,P <0.05),两组患者SBP、DBP、HR变化趋势比较,差异无统计学意义(F =0.006、0.486、0.092,均P >0.05)。试验组术中和术后24 h舒芬太尼用量、术后24 h氟比洛芬酯用量均少于对照组(P <0.05)。两组患者术中氟比洛芬酯用量比较,差异无统计学意义(P >0.05)。两组患者术前和拔管后1、2、3 d MMSE评分比较,结果 ①不同时间点MMSE评分比较,差异有统计学意义(F =1830.314,P <0.05);②两组患者MMSE评分比较,差异有统计学意义(F =382.161,P <0.05),试验组MMSE评分较高,相对认知水平较好;③两组患者MMSE评分变化趋势比较,差异有统计学意义(F =125.299,P <0.05)。试验组IL-6、CAMKⅢ水平均低于对照组(P <0.05),5-HT、BDNF水平均高于对照组(P <0.05)。试验组QoR-40评分低于对照组(P <0.05),HADS-A评分、HADS-D评分均高于对照组(P <0.05)。两组患者不良反应总发生率比较,差异无统计学意义(P >0.05)。结论 低剂量艾司氯胺酮联合氟比洛芬酯的少阿片化方案在胸腔镜肺段切除手术中有效减少了阿片类药物的使用,改善了认知功能和术后恢复,降低了炎症指标,提高了情绪和恢复质量,且不良反应无显著差异。

    • >实验研究·论著
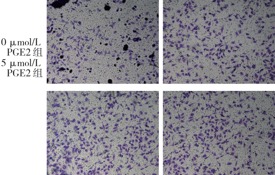
    • 前列腺素E2通过EP4受体调控甲状腺乳头状癌细胞增殖与侵袭的机制研究

      2026, 36(2):23-30. DOI: 10.3969/j.issn.1005-8982.2026.02.004

      摘要 (227) HTML (42) PDF 2.46 M (166) 评论 (0) 收藏

      摘要:目的 探索前列腺素E2(PGE2)在甲状腺乳头状癌发生、发展中的作用及其机制。方法 选取甲状腺滤泡细胞(Nthy-ori 3-1)及人甲状腺乳头状癌细胞株TPC-1细胞进行培养。采用酶联免疫吸附试验检测2种细胞上清液PGE2含量,Western blotting及实时荧光聚合酶链反应检测2种细胞前列腺素E2受体4(EP4)表达情况。用0、1、2、5 μmol/L PGE2培养TPC-1细胞,CCK-8法检测细胞存活率,Western blotting检测EP4蛋白表达。0、5 μmol/L PGE2培养TPC-1细胞,CCK-8实验和Transwell实验检测细胞增殖和侵袭能力。0 μmol/L PGE2、5 μmol/L PGE2、5 μmol/L PGE2+5 μmol/L EP4受体激动剂(receptor agonist 2)、5 μ mol/L PGE2+5 μmol/L EP4受体抑制剂(L-161982)培养TPC-1细胞,CCK-8实验和Transwell实验检测细胞增殖和侵袭能力。结果 TPC-1细胞上清液PGE2含量高于Nthy-ori 3-1细胞(P <0.05)。TPC-1细胞EP4受体mRNA表达高于Nthy-ori 3-1细胞(P <0.05)。TPC-1细胞EP4受体蛋白表达高于Nthy-ori 3-1细胞(P <0.05)。5 μmol/L PGE2组细胞存活率较0 μmol/L PGE2组升高(P <0.05)。0 μmol/L PGE2组、5 μmol/L PGE2组24、48、72、96 h的细胞相对增殖率比较,结果 ①不同时间点细胞相对增殖率比较,差异有统计学意义(P <0.05);②两组细胞相对增殖率结果比较,差异有统计学意义(P <0.05);③两组细胞相对增殖率变化趋势比较,差异有统计学意义(P <0.05)。5 μmol/L PGE2组24 h细胞穿膜数高于0 μmol/L PGE2组(P <0.05)。2 μmol/L PGE2组、5 μmol/L PGE2组EP4蛋白相对表达量较0 μmol/L PGE2组升高(P <0.05)。0 μmol/L PGE2组、5 μmol/L PGE2组、5 μmol/L PGE2+5 μmol/L EP4 receptor agonist 2组、5 μmol/L PGE2+5 μmol/L EP4 L-161982组24 h、48 h、72 h、96 h的细胞相对增殖率比较,结果 ①不同时间点细胞相对增殖率比较,差异有统计学意义(P <0.05);②各组细胞相对增殖率比较,差异有统计学意义(P <0.05);③各组细胞相对增殖率变化趋势比较,差异有统计学意义(P <0.05)。5 μmol/L PGE2+EP4 receptor agonist 2组细胞穿膜数较5 μmol/L PGE2组增加(P <0.05),5 μmol/L PGE2+EP4 L-161982组细胞穿膜数较5 μmol/L PGE2组减少(P <0.05)。结论 PGE2通过EP4受体促进TPC-1细胞增殖及侵袭。

      • 0+1
      • 1+1
      • 2+1
      • 3+1
      • 4+1
      • 5+1
    • >综述
    • 淋巴细胞相关炎症指数在甲状腺乳头状癌淋巴结转移中的研究进展

      2026, 36(2):31-35. DOI: 10.3969/j.issn.1005-8982.2026.02.005

      摘要 (231) HTML (45) PDF 580.50 K (144) 评论 (0) 收藏

      摘要:近年来炎症与肿瘤的相互作用机制成为研究热点,尤其为甲状腺乳头状癌(PTC)淋巴结转移(LNM)患者的预测提供了新视角。该文系统评价了中性粒细胞/淋巴细胞比值、淋巴细胞/单核细胞比值、血小板/淋巴细胞比值及全身免疫炎症指数(SII)与肿瘤细胞相互作用的分子机制,揭示了SII通过整合血小板介导的血管生成、中性粒细胞源性炎症级联及淋巴细胞耗竭动态,精准反映肿瘤免疫反应全过程。同时基于这些炎症指标构建术前决策树模型使中央区淋巴结清扫阳性率提高,为临床上实现PTC患者LNM风险的精准分层及个体化治疗策略的优化提供了理论依据。

    • 内镜成像技术在诊断浅表非壶腹部十二指肠上皮肿瘤中的应用进展

      2026, 36(2):36-41. DOI: 10.3969/j.issn.1005-8982.2026.02.006

      摘要 (172) HTML (54) PDF 604.94 K (151) 评论 (0) 收藏

      摘要:浅表非壶腹部十二指肠上皮肿瘤(SNADET)是指与Vater乳头无关的起源于十二指肠黏膜或黏膜下层的散发性肿瘤。早期SNADET较低的淋巴结转移率使大多数患者适合内镜治疗,但由于十二指肠管腔狭窄、病变形态隐蔽和早期症状缺乏特异性等问题,导致SNADET的漏诊率及误诊率较高,疾病治疗延误,SNADET诊断的准确性、及时性仍亟待提高。目前内镜成像技术从白光内镜等常规技术到色素内镜、共聚焦内镜、细胞内镜、胶囊内镜和AI辅助内镜等新兴技术可以实时提供更高分辨率、多层次的图像,在SNADET的诊断中具有巨大的发展潜力。该文就现有内镜成像技术在SNADET中的研究现状、应用前景作一综述,旨在为提高疾病检出率、诊断一致性提供新的思路与方法。

    • >临床药学·论著
    • 第三代头孢菌素结合免疫球蛋白治疗小儿化脓性脑膜炎的临床疗效

      2026, 36(2):42-48. DOI: 10.3969/j.issn.1005-8982.2026.02.007

      摘要 (114) HTML (18) PDF 631.80 K (64) 评论 (0) 收藏

      摘要:目的 探讨第三代头孢菌素结合免疫球蛋白对小儿化脓性脑膜炎的治疗效果。方法 选取2020年1月—2023年1月在山东大学齐鲁医院接受治疗的104例化脓性脑膜炎患儿。采用随机数字表法将患儿分为对照组和观察组,各52例。对照组接受头孢曲松钠治疗,观察组在对照组的基础上联合免疫球蛋白治疗,两组头孢曲松均治疗14 d,观察组免疫球蛋白治疗5 d。记录两组患儿临床疗效、症状消退时间(意识改善时间、退热时间)。比较患儿治疗前后的血清炎症因子水平[肿瘤坏死因子-α(TNF-α)、白细胞介素-1β(IL-1β)、IL-6、超敏C反应蛋白(hs-CRP)]、T细胞亚群水平(CD3+、CD4+、CD8+)、脑脊液生化指标(白细胞计数、糖定量、蛋白定量、神经元特异性烯醇化酶、S-100β蛋白)。结果 观察组总有效率高于对照组(P <0.05)。观察组意识改善时间和退热时间均短于对照组(P <0.05)。观察组治疗后TNF-α、IL-1β、IL-6、hs-CRP均低于对照组(P <0.05)。两组患儿治疗后TNF-α、IL-1β、IL-6、hs-CRP均低于治疗前(P <0.05)。观察组治疗前后TNF-α、IL-1β、IL-6、hs-CRP的差值均大于对照组(P <0.05)。观察组治疗后CD3+、CD4+均高于对照组(P <0.05),CD8+低于对照组(P <0.05)。两组患儿治疗后CD3+、CD4+均高于治疗前(P <0.05),CD8+低于治疗前(P <0.05)。观察组治疗前后CD3+、CD4+、CD8+的差值均大于对照组(P <0.05)。观察组治疗后白细胞计数、蛋白定量、NSE、S-100β均低于对照组(P <0.05),糖定量高于对照组(P <0.05)。两组患儿治疗后白细胞计数、蛋白定量、NSE、S-100β均低于治疗前(P <0.05),糖定量高于治疗前(P <0.05)。观察组治疗前后白细胞计数、糖定量、蛋白定量、NSE、S-100β的差值均大于对照组(P <0.05)。结论 头孢曲松钠结合免疫球蛋白有助于提高小儿化脓性脑膜炎的治疗效果。

    • 吡格列酮二甲双胍片联合去氧孕烯炔雌醇片治疗多囊卵巢综合征合并不孕患者的疗效观察

      2026, 36(2):49-54. DOI: 10.3969/j.issn.1005-8982.2026.02.008

      摘要 (120) HTML (55) PDF 658.62 K (73) 评论 (0) 收藏

      摘要:目的 观察吡格列酮二甲双胍片联合去氧孕烯炔雌醇片治疗多囊卵巢综合征(PCOS)合并不孕患者的疗效。方法 选取2022年5月—2024年10月在西安市人民医院就诊的83例PCOS合并不孕患者的病历资料,根据治疗方法分为观察组(42例,在对照组的基础上采用吡格列酮二甲双胍片治疗)、对照组(41例,采用去氧孕烯炔雌醇片治疗)。两组均治疗3个月。比较两组性激素水平[雌二醇(E2)、促黄体生成激素(LH)与促卵泡生成激素(FSH)]、血清孕酮(SP)、临床疗效、卵巢体积、卵泡数、血清指标[血清可溶性晚期糖基化终末产物受体(sRAGE)、总抗氧化能力(T-AOC)、肿瘤坏死因子α(TNF-α)、氧化应激指数(OSI)]及不良反应。结果 观察组治疗后E2、FSH、SP均高于对照组(P <0.05),LH低于对照组(P <0.05)。观察组治疗前后E2、LH、FSH、SP的差值均大于对照组(P <0.05)。观察组总有效率高于对照组(P <0.05)。观察组治疗后卵巢体积小于对照组(P <0.05),卵泡数少于对照组(P <0.05)。观察组治疗前后卵巢体积、卵泡数的差值均大于对照组(P <0.05)。观察组治疗后sRAGE、T-AOC、TNF-α、OSI均低于对照组(P <0.05)。观察组治疗前后sRAGE、T-AOC、TNF-α、OSI的差值均大于对照组(P <0.05)。观察组与对照组不良反应总发生率比较,差异无统计学意义(P >0.05)。结论 吡格列酮二甲双胍片联合去氧孕烯炔雌醇片治疗PCOS合并不孕患者疗效确切,可调节性激素及血清TOS、OSI水平,改善临床症状,减轻炎症反应,且安全性可靠。

    • >临床研究·论著
    • 特应性皮炎患儿与健康儿童肠道菌群、炎症因子水平的差异分析

      2026, 36(2):55-60. DOI: 10.3969/j.issn.1005-8982.2026.02.009

      摘要 (132) HTML (28) PDF 638.24 K (58) 评论 (0) 收藏

      摘要:目的 探讨特应性皮炎患儿与健康儿童肠道菌群及炎症因子水平的差异。方法 选取2022年1月—2024年1月在宁波大学附属第一医院接受治疗的116例特应性皮炎患儿作为观察组;另选取同期在该院接受体检的102例健康儿童作为对照组。收集两组粪便样本,利用16S rRNA测序技术和Qiime软件进行肠道菌群α多样性分析[Chao1、observed species(Sobs)、Shannon、Simpson指数],并通过酶联免疫吸附试验检测炎症因子水平[白细胞介素-4(IL-4)、IL-13、IL-31]。通过Pearson法分析肠道菌群多样性与炎症因子水平的相关性,并采用受试者工作特征(ROC)曲线分别评估肠道菌群α多样性、炎症因子水平对特应性皮炎患儿的诊断价值。结果 观察组Chao1、Sobs、Shannon和Simpson指数均低于对照组(P <0.05)。观察组IL-4、IL-13和IL-31水平均高于对照组(P <0.05)。Pearson相关性分析显示,Chao1、Sobs、Shannon、Simpson指数与IL-4、IL-13和IL-31水平均呈负相关(P <0.05)。ROC曲线分析结果显示,联合诊断的敏感性为98.3%(95% CI:0.939,0.998),特异性为98.0%(95% CI:0.931,0.998),曲线下面积为0.973(95% CI:0.946,1.000),且均较单一指标检测高。结论 特应性皮炎患儿会出现肠道菌群α多样性降低及炎症因子水平升高,联合检测可提高特应性皮炎的诊断效能。

      • 0+1
    • 结直肠癌伴肝转移患者同期根治性切除术后复发与肿瘤生物学特征的相关性研究

      2026, 36(2):61-66. DOI: 10.3969/j.issn.1005-8982.2026.02.010

      摘要 (140) HTML (24) PDF 630.81 K (64) 评论 (0) 收藏

      摘要:目的 探讨结直肠癌伴肝转移患者同期根治性切除术后复发与肿瘤生物学特征的相关性。方法 选取2022年1月—2024年1月锦州医科大学附属第一医院收治的结直肠癌伴肝转移患者108例,所有患者行腹腔镜下结直肠癌根治性切除及大范围肝段或肝叶切除。记录患者术后1年的复发情况,分为复发组和非复发组。比较两组的术前肿瘤生物学特征及肿瘤标志物水平,分析结直肠癌伴肝转移患者术后复发的危险因素。结果 两组患者性别构成、年龄、体质量指数、结直肠癌家族史、肝功能分级比较,差异均无统计学意义(P >0.05)。两组患者原发肿瘤部位、病理类型、分化程度、T分期比较,差异均无统计学意义(P >0.05)。复发组N2分期占比高于非复发组(P <0.05)。复发组肝双叶转移占比、转移瘤数目> 1个和同时性肝转移占比及转移瘤最大径均高于非复发组(P <0.05)。两组患者癌胚抗原、糖类抗原19-9、甲胎蛋白水平和p53蛋白(+)占比比较,差异均无统计学意义(P >0.05)。复发组nm23蛋白(+)占比低于非复发组(P <0.05)。多因素逐步Logistic回归分析结果显示:N2分期[O^R=4.509(95% CI:2.024,10.044)]、肝双叶转移[O^R=4.354(95% CI:1.954,9.699)]、转移瘤数目多[O^R=4.076(95% CI:1.829,9.079)]、同时性肝转移[O^R=3.725(95% CI:1.672,8.298)]、转移瘤最大径大[O^R=4.884(95% CI:2.192,10.881)]均是结直肠癌伴肝转移患者术后复发的危险因素(P <0.05),nm23蛋白(+)[O^R=0.502(95% CI:0.225,1.118)]是结直肠癌伴肝转移患者术后复发的保护因素(P <0.05)。。结论 N分期、肝双叶转移、转移瘤数目、同时性肝转移、转移瘤最大径、nm23蛋白(+)表达与结直肠癌伴肝转移患者的术后复发有关。

    • Carisolv伢典微创去腐联合树脂充填对儿童龋齿牙周指标及疼痛程度的影响

      2026, 36(2):67-71. DOI: 10.3969/j.issn.1005-8982.2026.02.011

      摘要 (99) HTML (111) PDF 633.62 K (50) 评论 (0) 收藏

      摘要:目的 探究Carisolv伢典微创去腐联合树脂充填对儿童龋齿牙周指标及疼痛程度的影响。方法 选取2024年8月—2025年1月中国人民解放军北部战区总医院就诊的198例龋齿患儿作为研究对象,按信封抽签法随机分为传统组(患牙数123)和Carisolv组(患牙数126),均99例。传统组给予传统机械去腐联合树脂充填治疗,Carisolv组给予Carisolv伢典微创去腐联合树脂充填治疗,比较两组临床疗效、围手术期指标、牙周指标、视觉模拟评分量法(VAS)评分及并发症。结果 Carisolv组总有效率高于传统组(P <0.05)。两组患儿去腐时间、充填时间和总治疗时间比较,差异均无统计学意义(P >0.05)。Carisolv组治疗前后牙龈指数、龈沟出血指数及菌斑指数的差值均大于传统组(P <0.05)。两组患儿治疗前、治疗1周后、治疗1个月后的VAS评分比较,结果 ①不同时间点VAS评分比较,差异有统计学意义(F =4 515.442,P <0.05);②两组患儿VAS评分比较,差异有统计学意义(F =90.287,P <0.05),Carisolv组治疗后VAS评分较低,相对镇痛效果较好;③两组患儿VAS评分变化趋势比较,差异有统计学意义(F =17.109,P <0.05)。两组患儿并发症总发生率比较,差异无统计学意义(P >0.05)。结论 Carisolv伢典微创去腐联合树脂充填对儿童龋齿牙周指标及疼痛程度的影响较为显著。

    • 儿童传染性单核细胞增多症与肝功能异常的相关性及长期预后分析

      2026, 36(2):72-77. DOI: 10.3969/j.issn.1005-8982.2026.02.012

      摘要 (142) HTML (127) PDF 655.25 K (71) 评论 (0) 收藏

      摘要:目的 探讨儿童传染性单核细胞增多症(IM)合并肝功能异常的危险因素及长期预后,并分析其潜在机制。方法 回顾性分析2021年1月—2023年12月山西省儿童医院收治的80例IM住院患儿的临床资料。依据肝功能状态分为肝功能异常组(32例)和肝功能正常组(48例)。比较两组的一般临床特征及实验室指标,采用多因素一般Logistic回归模型分析IM合并肝功能异常的影响因素。随访12个月,评估患儿的肝功能恢复情况、复发率及并发症发生情况。结果 肝功能异常组丙氨酸氨基转移酶(ALT)、天门冬氨酸氨基转移酶、总胆红素和直接胆红素水平均高于肝功能正常组(P <0.05)。两组患儿发热天数、肝脏肿大、皮疹、异形淋巴细胞比值、中性粒细胞与淋巴细胞比值(NLR)和CD4+/CD8+比值比较,差异均有统计学意义(P <0.05)。两组患儿性别构成、年龄、咽峡炎、淋巴结肿大、脾脏肿大、白细胞计数、血红蛋白、EB病毒DNA载量、EB病毒衣壳抗原抗体阳性和CD3+比较,差异均无统计学意义(P >0.05)。多因素一般Logistic回归分析结果显示:发热天数长[O^R=4.775(95% CI:1.550,14.709)]、肝脏肿大[O^R=5.438(95% CI:1.529,19.338)]、皮疹[O^R=5.370(95% CI:1.725,16.712)]、异形淋巴细胞比例大[O^R=6.234(95% CI:1.673,23.226)]、NLR水平低[O^R=0.315(95% CI:0.107,0.928)]、CD4+/CD8+水平低[O^R=0.384(95% CI:0.153,0.967)]均是IM患儿发生肝功能异常的危险因素(P <0.05)。肝功能异常组中87.50%(28/32)的患儿在3个月内肝酶及胆红素水平恢复正常;9.38%(3/32)的患儿在6个月内恢复;仅1例(3.13%)患儿在6个月后ALT仍轻度升高,但至12个月随访时已基本恢复正常。两组患儿均复发2例,均未出现典型慢性IM或慢性肝炎病例。结论 IM患儿易合并肝功能异常,其发生与发热持续时间长、肝脏肿大、皮疹、异形淋巴细胞比例升高、NLR降低及CD4+/CD8+比值下降关系密切。尽管部分患儿肝功能恢复较慢,但长期预后总体良好,未见严重慢性肝损伤。

    • 达芬奇机器人辅助下结直肠癌根治术对患者围手术期指标、胃肠功能及氧化应激的影响

      2026, 36(2):78-84. DOI: 10.3969/j.issn.1005-8982.2026.02.013

      摘要 (130) HTML (21) PDF 663.53 K (66) 评论 (0) 收藏

      摘要:目的 探讨达芬奇机器人辅助下结直肠癌根治术对患者围手术期指标、胃肠功能及氧化应激的影响。方法 选取2021年1月—2024年12月上海中医药大学附属曙光医院收治的108例结直肠癌患者,以随机数字表法分为研究组与对照组,各54例。对照组接受腹腔镜结直肠癌根治术,研究组接受达芬奇机器人辅助下结直肠癌根治术。比较两组围手术期指标、胃肠功能、氧化应激水平、炎症反应、能量代谢指标及并发症。结果 研究组术后住院时间、术中出血量、术后首次排气时间、术后首次排便时间均少于对照组(P <0.05),手术时长、淋巴结清扫数目均多于对照组(P <0.05)。对照组术前与术后3 d的胃动素、胃泌素、超氧化物歧化酶、丙二醛、肿瘤坏死因子α、超敏C反应蛋白、视黄醇结合蛋白、转铁蛋白的差值均大于研究组(P <0.05)。两组并发症总发生率比较,差异无统计学意义(P >0.05)。结论 达芬奇机器人辅助下结直肠癌根治术可促进患者康复,改善患者胃肠功能,减轻氧化应激、炎症反应,抑制能量代谢波动,且安全性良好。

    • 尿NGAL、KIM-1与免疫球蛋白A肾病患者肾间质纤维化程度的相关性分析

      2026, 36(2):85-90. DOI: 10.3969/j.issn.1005-8982.2026.02.014

      摘要 (111) HTML (23) PDF 673.43 K (61) 评论 (0) 收藏

      摘要:目的 探讨尿中性粒细胞明胶酶相关脂质运载蛋白(NGAL)、肾损伤分子-1(KIM-1)与免疫球蛋白A肾病(IgAN)患者肾间质纤维化程度的相关性。方法 回顾性选取2021年4月—2024年6月南京医科大学附属泰州人民医院收治的IgAN患者104例,按照IgAN患者的肾间质纤维化程度分为轻度组42例、中度组34例、重度组28例,另取同期该院收治的膜性肾病患者(28例)作为疾病对照组,同期该院健康体检者(30例)作为正常对照组。比较各组尿NGAL、KIM-1水平,分析尿NGAL、KIM-1与IgAN患者肾间质纤维化程度的相关性,评价尿NGAL、KIM-1对IgAN患者肾间质纤维化程度的预测价值。结果 尿NGAL、KIM-1水平随肾间质纤维化程度加重逐渐升高(P <0.05)。轻、中、重度组Scr、尿微量白蛋白、24 h尿蛋白定量、尿微量转铁蛋白、肾小球滤过率水平两两比较,差异均有统计学意义(P <0.05)。Spearman相关性分析结果显示,尿NGAL水平(rs =0.359)、KIM-1水平(rs =0.413)与IgAN患者肾间质纤维化程度均呈正相关(P <0.05)。受试者工作特征曲线结果表明,尿NGAL、KIM-1单独及联合预测IgAN患者肾间质纤维化程度的敏感性分别为59.7%、67.7%、72.6%,特异性分别为88.1%、85.7%、90.5%,曲线下面积分别为0.794、0.816、0.874。结论 尿NGAL与KIM-1水平与IgAN患者肾间质纤维化严重程度密切相关。NGAL联合KIM-1可作为辅助判断IgAN患者病理严重程度的参考指标,有助于提高患者的治疗效果和预后。

      • 0+1
      • 1+1
      • 2+1
    • 薄型股前外侧皮瓣与前臂皮瓣修复对口腔癌手术缺损的疗效及美观度的影响

      2026, 36(2):91-96. DOI: 10.3969/j.issn.1005-8982.2026.02.015

      摘要 (100) HTML (18) PDF 607.41 K (73) 评论 (0) 收藏

      摘要:目的 探究薄型股前外侧皮瓣与前臂皮瓣修复对口腔癌手术缺损的疗效及美观度的影响。方法 选取2021年3月—2024年3月中山市小榄人民医院和广州医科大学附属口腔医院纳入的98例口腔癌手术缺损患者作为研究对象,按手术方法分为股前组(52例)和前臂组(46例)。前臂组行前臂皮瓣修复,股前组行薄型股前外侧皮瓣修复,比较两组治疗后的临床指标、华盛顿大学生存质量评估问卷评分、美观度、术后皮瓣供区恢复情况、并发症及肿瘤局部复发情况。结果 股前组皮瓣修复术时间长于前臂组(P <0.05),缺损面积大于前臂组(P <0.05)。股前组术后皮瓣供区色素沉着率、瘢痕增生率均低于前臂组(P <0.05)。股前组并发症总发生率低于前臂组(P <0.05);两组均无肿瘤局部复发情况。结论 薄型股前外侧皮瓣与前臂皮瓣修复对口腔癌手术缺损的疗效及美容度的影响相当,但薄型股前外侧皮瓣修复对术后皮瓣供区恢复的影响较为显著,且并发症更少。

    • 25(OH)D3、EOS%联合CT Bhalla评分评估支气管肺炎病情严重程度及预后的价值

      2026, 36(2):97-103. DOI: 10.3969/j.issn.1005-8982.2026.02.016

      摘要 (94) HTML (35) PDF 668.61 K (61) 评论 (0) 收藏

      摘要:目的 探讨血清25羟维生素D3[25(OH)D3]、嗜酸性粒细胞百分比(EOS%)及CT Bhalla评分评估支气管肺炎病情严重程度及预后的效果。方法 选取2024年11月—2025年3月阜阳市人民医院收治的支气管肺炎患者93例,根据病情严重程度分为轻症组(59例)和重症组(34例),另取59例同期该院健康体检人群作为对照组。检测各组血清25(OH)D3、EOS%水平,并行胸部CT Bhalla评分。比较各组间25(OH)D3、EOS%及Bhalla评分的差异,以及不同严重程度患者的预后情况。通过多元线性回归分析影响患者疾病严重程度的独立影响因素,采用受试者工作特征(ROC)曲线评估联合指标的预测效能。结果 重症组吸烟史率、既往慢性病史率、胸闷率和NEUT%均高于轻症组(P <0.05),发热率低于轻症组(P <0.05)。重症组和轻症组25(OH)D3和EOS%水平均低于对照组(P <0.05),重症组患者25(OH)D3和EOS%水平均低于轻症组(P <0.05)。重症组CT Bhalla评分高于轻症组。重症组住院总时间长于轻症组(P <0.05),住院费用高于轻症组(P <0.05)。进行多因素一般回归Logistic回归分析结果显示,低25(OH)D3水平[O^R=0.586(95%CI:0.431,0.797)]、低EOS%[O^R=0.391(95%CI:0.167,0.915)]和高CT Bhalla评分[O^R=1.251(95%CI:1.017,1.539)]是支气管肺炎患者疾病加重的危险因素(P <0.05)。血清25(OH)D3、EOS%与CT Bhalla评分联合预测支气管肺炎患者病情加重的曲线下面积为0.906(95% CI:0.846,0.966),敏感性为97.1%(95% CI:0.847,0.999),特异性为78.0%(95% CI:0.653,0.877)。结论 血清25(OH)D3、EOS%与CT Bhalla评分可作为评估支气管肺炎病情严重程度的有效指标,且重症患者的医疗费用更高,联合检测有助于临床病情评估及医疗资源管理。

      • 0+1
    • 多模态代谢-血液标志物联合甲状腺超声特征构建的高危结节风险预测列线图

      2026, 36(2):104-110. DOI: 10.3969/j.issn.1005-8982.2026.02.017

      摘要 (131) HTML (24) PDF 660.76 K (64) 评论 (0) 收藏

      摘要:目的 探讨多模态代谢-血液标志物联合甲状腺超声特征在甲状腺高低危结节鉴别中的价值,并构建高危结节风险预测列线图模型。方法 选取2024年5月—2025年4月淮安市第一人民医院健康管理中心检出的8 141例甲状腺结节患者,根据甲状腺超声甲状腺影像报告和数据系统分类标准,将4类结节(4a、4b、4c)归为高危结节组(111例),1~3类结节归为低危结节组(8 030例)。比较两组多模态代谢-血液标志物水平及甲状腺结节超声特征差异,通过多因素一般Logistic回归模型分析影响高危结节的独立危险因素,并构建甲状腺高危结节发生的预测列线图模型及校正曲线。结果 高危结节组年龄、促甲状腺激素(TSH)、低密度脂蛋白胆固醇(LDL-C)水平均高于低危结节组(P <0.05),游离甲状腺素(FT4)水平低于低危结节组(P <0.05)。低危结节组血流分级0、Ⅰ级占比、边界清晰率、形态规则率均高于高危结节组(P <0.05),钙化率和内部低回声占比均低于高危结节组(P <0.05)。多因素一般Logistic回归分析结果显示:年龄大[O^R=1.036(95% CI:1.011,1.061)]、TSH水平高[O^R=1.058(95% CI:1.017,1.100)]、LDL-C水平高[O^R=1.644(95% CI:1.065,2.537)]、发生钙化[O^R=12.767(95% CI:6.583,24.762)]、血流分级Ⅱ、Ⅲ级[O^R=10.351(95% CI:5.347,20.038)]、内部回声低[O^R=17.075(95% CI:8.343,34.943)]均为发生甲状腺高危结节的危险因素(P <0.05);FT4水平高[O^R=0.826(95% CI:0.700,0.973)]、边界清晰[O^R=0.046(95% CI:0.023,0.091)]、形态规则[O^R=0.019(95% CI:0.009,0.039)]均为甲状腺高危结节的保护因素(P <0.05);并构建甲状腺高危结节发生的列线图模型。结论 基于多模态代谢-血液标志物与甲状腺超声特征构建的列线图模型能有效区分甲状腺高低危结节,为临床决策提供量化工具。

      • 0+1
      • 1+1
    • 外周血VCAM-1联合LFA-1对子痫前期孕妇病情严重程度的预测价值

      2026, 36(2):111-116. DOI: 10.3969/j.issn.1005-8982.2026.02.018

      摘要 (105) HTML (14) PDF 662.60 K (65) 评论 (0) 收藏

      摘要:目的 探讨子痫前期孕妇外周血血管细胞黏附分子-1(VCAM-1)联合淋巴细胞功能相关抗原-1(LFA-1)对病情严重程度的预测价值。方法 选取2022年4月—2024年7月西安市第三医院收治的82例子痫前期孕妇患者的病历资料,根据子痫前期严重程度分为子痫前期组44例和重度子痫前期组38例。比较两组外周血血管细胞黏附分子-1(VCAM-1)水平、淋巴细胞功能相关抗原-1(LFA-1)阳性率,分析外周血中VCAM-1、LFA-1对子痫前期严重程度的影响和对子痫前期严重程度的预测价值。结果 子痫前期组VCAM-1水平、LFA-1阳性率均低于重度子痫前期组(P <0.05)。子痫前期组与重度子痫前期组子宫动脉阻力指数、搏动指数水平比较,差异均无统计学意义(P >0.05)。多因素逐步Logistic回归分析结果显示:外周血中VCAM-1升高[O^R=3.740(95% CI:1.987,7.040)]、LFA-1升高[O^R=4.108(95% CI:2.182,7.734)]均是子痫前期孕妇病情严重程度的危险因素(P <0.05)。受试者工作特征曲线分析结果示,外周血VCAM-1、LFA-1单一及联合预测子痫前期孕妇病情严重程度的敏感性分别为78.15%(95% CI:0.703,0.869)、74.63%(95% CI:0.635,0.821)、85.69%(95% CI:0.762,0.933),特异性分别为69.02%(95% CI:0.605,0.773)、78.85%(95% CI:0.712,0.863)、63.27%(95% CI:0.549,0.712)。结论 外周血VCAM-1、LFA-1在子痫前期患者中的表达水平异常升高,与病情严重程度密切相关,可用于预测子痫前期。

      • 0+1

当期目录


年第卷第

文章目录

过刊浏览

年份

刊期

点击排行

引用排行

下载排行