• 2026年第3期文章目次
    全 选
    显示方式: |
    • >小儿呼吸系统疾病·论著
    • 不同剂量甲泼尼龙联合肺泡灌洗对小儿重症支原体肺炎的疗效观察

      2026, 36(3):1-7. DOI: 10.3969/j.issn.1005-8982.2026.03.001

      摘要 (48) HTML (12) PDF 710.30 K (44) 评论 (0) 收藏

      摘要:目的 探讨不同剂量甲泼尼龙联合肺泡灌洗对小儿重症支原体肺炎的疗效。方法 本研究为前瞻性随机对照试验。选取2022年6月—2024年8月陕西省人民医院收治的重症支原体肺炎患儿154例,均接受甲泼尼龙联合肺泡灌洗治疗。将患儿分为低剂量组49例[1 mg/(kg·d)]、中剂量组54例[2 mg/(kg·d)]、高剂量组51例[4 mg/(kg·d)]。观察各组患儿的疗效、肺功能指标[第1秒用力呼气量(FEV1)、用力肺活量(FVC)、呼吸峰流速(PEF)]、血清炎症因子[肿瘤坏死因子α(TNF-α)、C反应蛋白(CRP)、白细胞介素-6(IL-6)]及不良反应发生情况。结果 高剂量组的治疗总有效率高于低剂量组(P <0.05)。高剂量组治疗后FEV1、FVC、PEF均高于低剂量组(P <0.05)。高剂量组治疗前后FEV1、FVC、PEF的差值均大于低剂量组(P <0.05),中剂量组大于低剂量组(P <0.05)。高剂量组治疗后TNF-α、CRP、IL-6水平均低于中剂量组(P <0.05),中剂量组低于低剂量组(P <0.05)。高剂量组治疗前后TNF-α、CRP、IL-6的差值均大于低剂量组(P <0.05),中剂量组大于低剂量组(P <0.05)。低、中、高剂量组的不良反应总发生率比较,差异无统计学意义(P >0.05)。结论 在重症支原体肺炎患儿中,与1 mg/(kg·d)剂量相比,4 mg/(kg·d)剂量的甲泼尼龙联合肺泡灌洗在提高总有效率、改善肺功能(FEV1、FVC、PEF)和降低炎症因子(TNF-α、CRP、IL-6)水平的短期疗效更好,且在本研究观察期内未显著增加不良反应发生率。

    • 涎液化糖链抗原6联合巨噬细胞移动抑制因子对新生儿呼吸窘迫综合征预后的预测价值分析

      2026, 36(3):8-13. DOI: 10.3969/j.issn.1005-8982.2026.03.002

      摘要 (27) HTML (6) PDF 679.27 K (35) 评论 (0) 收藏

      摘要:目的 分析涎液化糖链抗原6(KL-6)联合巨噬细胞移动抑制因子(MIF)对新生儿呼吸窘迫综合征(NRDS)预后的预测价值。方法 回顾性分析2021年3月—2023年8月西北妇女儿童医院收治的87例NRDS患儿的临床资料。于入院后2 h且分娩后6 h内采用酶联免疫吸附试验检测KL-6、MIF水平,检测动脉血氧分压(PaO2)、动脉血二氧化碳分压(PaCO2)、氧合指数(OI)。给予患儿呼吸支持肺泡表面活性物质替代、体外膜肺氧合、营养支持、抗感染及液体管理等对症及综合治疗。随访3个月,根据患儿预后情况将其分为预后良好组和预后不良组;比较两组患儿的基础资料和血清学指标;采用多因素一般Logistic回归模型分析NRDS患儿预后的影响因素,绘制受试者工作特征(ROC)曲线。结果 87例NRDS患儿,有22例(25.29%)患儿出现预后不良,其中有11例放弃治疗,6例患儿转院,5例患儿死亡。预后不良组新生儿急性生理学评分围生期补充Ⅱ(SNAPPE-Ⅱ)评分和肺部超声评分(LUSS)评分均高于预后良好组(P <0.05)。预后不良组KL-6水平和MIF水平均高于预后良好组(P <0.05)。多因素一般Logistic回归分析结果:KL-6水平高[O^R =3.508(95% CI:1.199,10.263)]、MIF水平高[O^R =4.993(95% CI:1.707,14.608)]、SNAPPE-Ⅱ评分高[O^R =5.743(95% CI:1.963,16.803)]和LUSS评分高[O^R =4.933(95% CI:1.686,14.433)]均为NRDS患儿预后不良的危险因素(P <0.05)。ROC曲线分析结果:KL-6、MIF、SNAPPE-Ⅱ评分、LUSS评分联合预测NRDS患儿预后不良的曲线下面积为0.906(95% CI:0.812,1.000),敏感性为90.91%(95% CI:0.797,1.000),特异性为93.85%(95% CI:0.827,1.000),联合预测效能较好。结论 KL-6水平高、MIF水平高、SNAPPE-Ⅱ评分高和LUSS评分高均为NRDS患儿预后不良的危险因素,且KL-6、MIF、SNAPPE-Ⅱ评分、LUSS评分联合预测NRDS患儿预后不良的风险较高,早期识别和纠正可逆因素有助于改善NRDS患儿预后。

      • 0+1
    • 牛肺表面活性剂联合枸橼酸咖啡因治疗新生儿呼吸窘迫综合征的早期干预效果及对氧合功能的影响

      2026, 36(3):14-19. DOI: 10.3969/j.issn.1005-8982.2026.03.003

      摘要 (25) HTML (3) PDF 645.21 K (21) 评论 (0) 收藏

      摘要:目的 探讨牛肺表面活性剂联合枸橼酸咖啡因治疗新生儿呼吸窘迫综合征(NRDS)的早期干预效果及对氧合功能的影响。方法 选取2021年5月—2024年10月亳州市人民医院96例NRDS患儿为研究对象,按照随机数字表法分为对照组(牛肺表面活性剂治疗)与观察组(牛肺表面活性剂联合枸橼酸咖啡因治疗),各48例。比较两组患儿的临床疗效、临床指标、通气及氧合指标、呼吸机参数、支气管肺发育不良情况及并发症发生情况。结果 观察组治疗总有效率高于对照组(P <0.05)。观察组机械通气时间、氧疗时间、呼吸暂停次数均低于对照组(P <0.05)。观察组治疗前后动脉血二氧化碳分压、动脉血氧分压、血氧饱和度、氧合指数差值均大于对照组(P <0.05)。观察组治疗前后吸入氧浓度、吸气峰压、呼气末正压的差值均大于对照组(P <0.05)。观察组支气管肺发育不良总发生率低于对照组(P <0.05)。观察组与对照组并发症总发生率比较,差异无统计学意义(P >0.05)。结论 牛肺表面活性剂联合枸橼酸咖啡因可显著改善NRDS患儿氧合功能,减少支气管肺发育不良情况的发生,且安全性良好,具有临床推广价值。

    • 外周血炎症因子水平在重症肺炎支原体肺炎合并胸腔积液患儿临床转归中的意义

      2026, 36(3):20-25. DOI: 10.3969/j.issn.1005-8982.2026.03.004

      摘要 (28) HTML (9) PDF 644.40 K (16) 评论 (0) 收藏

      摘要:目的 探讨重症肺炎支原体肺炎(SMPP)合并胸腔积液患儿外周血炎症因子的变化,以及与临床转归的关系。方法 回顾性选取2020年2月—2023年12月南充市中心医院收治的200例SMPP合并胸腔积液的患儿作为观察组,另选同期50例SMPP非合并胸腔积液患儿作为对照组。比较患儿的白细胞介素-6(IL-6)、降钙素原(PCT)、C反应蛋白(CRP)、白细胞介素-8(IL-8)、肿瘤坏死因子α(TNF-α)、可溶性白细胞介素-2受体(sIL-2R)水平;对比分析观察组不同治疗反应、临床结局患儿的炎症因子水平;采用多因素一般Logistic回归模型分析治疗反应和临床结局的影响因素。结果 观察组的IL-6、IL-8、PCT、CRP、TNF-α和sIL-2R水平均高于对照组(P <0.05)。治疗7 d后,无效组的IL-6、PCT、CRP、IL-8、TNF-α、sIL-2R水平均高于有效组(P <0.05)。出院时,未痊愈组的IL-6、PCT、CRP、IL-8、TNF-α、sIL-2R水平均高于痊愈组(P <0.05)。多因素一般Logistic回归分析结果显示:sIL-2R高水平[O^R =7.608(95% CI:1.418,40.820)]、IL-6高水平[O^R =1.591(95% CI:1.294,1.958)]、IL-8高水平[O^R =1.240(95% CI:1.072,1.434)]、PCT高水平[O^R =3.555(95% CI:1.174,10.763)]均是患儿治疗无效的危险因素(P <0.05);PCT高水平[O^R =3.397(95% CI:1.069,10.793)]、IL-6高水平[O^R =1.601(95% CI:1.279,2.003)]、IL-8高水平[O^R =1.216(95% CI:1.038,1.424)]、TNF-α高水平[O^R =1.236(95% CI:1.060,1.441)]均是患儿未痊愈的危险因素(P <0.05)。结论 SMPP合并胸腔积液患儿的外周血炎症因子水平与临床转归密切相关,监测IL-6、IL-8、PCT和TNF-α水平可为评估治疗效果和疾病短期转归提供重要依据,从而辅助指导临床治疗策略的调整与优化。

    • >实验研究·论著
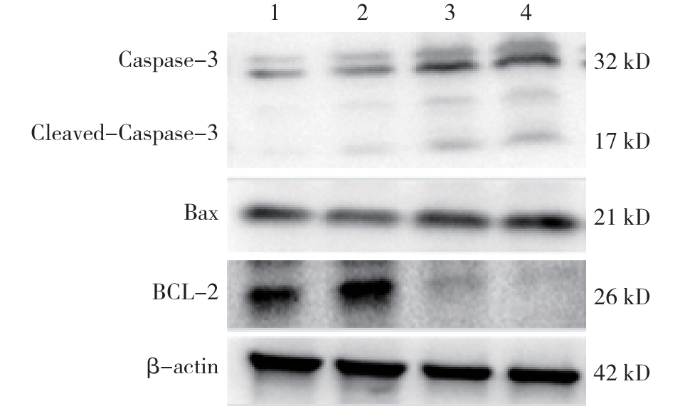
    • 胶霉毒素对肺泡Ⅱ型上皮细胞的作用研究

      2026, 36(3):26-31. DOI: 10.3969/j.issn.1005-8982.2026.03.005

      摘要 (23) HTML (5) PDF 808.99 K (14) 评论 (0) 收藏

      摘要:目的 探讨胶霉毒素(GT)对肺泡Ⅱ型上皮细胞损伤的影响及其潜在作用机制。方法 以GT作用于A549细胞制备体外模型。A549细胞与不同浓度GT共同孵育24 h后,采用CCK-8法检测细胞活性;采用流式细胞术检测细胞内活性氧(ROS)含量和细胞凋亡水平;采用Western blotting检测凋亡相关蛋白Caspase-3、Bax、Bcl-2的表达。结果 与对照组相比,不同浓度的GT均能抑制A549细胞的增殖活性,0.500 000 μmol/L组、1.000 000 μmol/L组、2.000 000 μmol/L组、4.000 000 μmol/L组的A549细胞活性均低于对照组(P <0.05),可以认为在浓度达到0.5 μmol/L时A549细胞活性开始下降,并随着药物浓度的增加呈浓度依赖性;与对照组相比,2.0 μmol/L组和4.0 μmol/L组的细胞内ROS含量、细胞凋亡率、Caspase-3和Bax表达均升高,Bcl-2表达降低(P <0.05)。结论 GT能降低A549细胞活性,使其ROS活性增强,并通过Caspase-3和Bax表达升高,Bcl-2表达降低,经线粒体介导的内源性凋亡途径导致细胞凋亡。

      • 0+1
      • 1+1
    • 联合抗生素对伪无菌模型大鼠的肠道菌群及其代谢的影响

      2026, 36(3):32-43. DOI: 10.3969/j.issn.1005-8982.2026.03.006

      摘要 (28) HTML (16) PDF 5.50 M (36) 评论 (0) 收藏

      摘要:目的 比较联合抗生素经灌胃与自由饮水两种给药复制大鼠伪无菌模型的效果,为优化伪无菌模型复制方法提供参考。方法 将SD大鼠随机分为正常组、抗生素灌胃组和抗生素饮水组,每组5只。抗生素灌胃组采用含200 mg/mL氨苄西林、200 mg/mL甲硝唑、200 mg/mL新霉素和100 mg/mL万古霉素的混悬液,按1 mL/kg体积每日灌胃;抗生素饮水组在灭菌饮用水中加入0.5 g/L氨苄西林、0.5 g/L甲硝唑、0.5 g/L新霉素和0.25 g/L万古霉素,大鼠自由饮水,干预14 d。干预后第5、10、14天,无菌取大鼠粪便进行菌群培养;14 d后取大鼠粪便进行16S核糖体rDNA(16S rDNA)测序;分离肝脏、脾脏、肾脏、胸腺称重,取各组大鼠结肠组织进行苏木精-伊红(HE)染色及免疫组织化学染色。结果 与正常组比较,在有氧和厌氧培养条件下,第5天起抗生素灌胃组和抗生素饮水组粪便菌落显著减少,伪无菌大鼠模型复制成功并稳定维持到第14天。与正常组比较,抗生素饮水组第2~6天体重均下降(P <0.05),第7~14天体重差异均无统计学意义(P >0.05);抗生素灌胃组第6天体重高于正常组(P <0.05)。正常组、抗生素灌胃组和抗生素饮水组大鼠肝脏、肾脏、脾脏和胸腺系数的比较,差异均无统计学意义(P >0.05)。各组大鼠结肠免疫组织化学结果显示,与正常组比较,抗生素灌胃组与抗生素饮水组中紧密连接蛋白闭锁小带蛋白-1(ZO-1)、闭合蛋白(Occludin)在肠上皮和腺上皮细胞细胞质及细胞膜呈阳性表达,棕黄色染色较多。基于16S rDNA测序的α多样性分析显示:与正常组比较,抗生素灌胃组和抗生素饮水组的ACE、Sobs及Shannon指数均降低(P <0.05),Simpson指数均升高(P <0.05);抗生素饮水组的Simpson指数较抗生素灌胃组升高(P <0.05)。基于Bray-Curtis距离的β多样性分析显示:正常组样本与抗生素灌胃组、抗生素饮水组样本明显分离(ANOSIM相似性分析:r =0.816,P =0.001)。抗生素灌胃组和抗生素饮水组变形菌门丰度均高于正常组(均P <0.05),抗生素灌胃组与抗生素饮水组比较,差异无统计学意义(P >0.05);正常组厚壁菌门、拟杆菌门及放线菌门丰度高于抗生素灌胃组和抗生素饮水组(均P <0.05)。抗生素饮水组摩根菌属丰度高于抗生素灌胃组和正常组(均P <0.05);抗生素灌胃组埃希-志贺菌属丰度高于抗生素饮水组和正常组(P < 0.05);正常组乳酸杆菌属、拟杆菌属及norank_f__Muribaculaceae属丰度高于抗生素灌胃组和抗生素饮水组(均P <0.05)。基于KEGG的菌群功能预测分析结果显示:在碳水化合物代谢、氨基酸代谢、能量代谢、萜类化合物和聚酮类化合物代谢、辅助因子和维生素代谢等多个途径上,3组预测丰度的总体比较,差异均有统计学意义(P <0.05)。结论 联合抗生素经灌胃和自由饮水给药均可在14 d内有效复制SD大鼠伪无菌模型,但抗生素灌胃组与抗生素饮水组均出现条件致病菌异常繁殖现象,这提示抗生素干预可能通过筛选压力改变菌群结构,使原本处于低丰度的潜在致病菌获得生长优势。这为研究者根据实验目标菌群选择适宜的抗生素给药策略复制伪无菌模型提供了参考。

      • 0+1
      • 1+1
      • 2+1
      • 3+1
      • 4+1
      • 5+1
      • 6+1
      • 7+1
      • 8+1
      • 9+1
      • 10+1
    • >综述
    • 精准医学时代的上皮屏障功能障碍与支气管哮喘的研究进展

      2026, 36(3):44-51. DOI: 10.3969/j.issn.1005-8982.2026.03.007

      摘要 (30) HTML (8) PDF 692.86 K (20) 评论 (0) 收藏

      摘要:支气管哮喘是一种异质性显著的慢性呼吸道疾病,其发病率在全球范围内持续攀升。呼吸道上皮屏障的结构完整性和稳态维持对哮喘的发生、发展具有重要意义。上皮层集物理阻隔、免疫监视和抗氧化防御于一体,当紧密连接、黏附连接或桥粒受损时,可触发局部慢性炎症、微生物群失衡及气道重塑。遗传学和表观遗传学研究进一步揭示了原钙黏蛋白1、钙黏蛋白相关家族成员3等上皮高表达易感基因及DNA甲基化、组蛋白修饰和miRNA失调在哮喘易感性中的关键作用。临床T 2-high型和T 2-low型免疫表型均与上皮屏障功能障碍密切相关,但在炎症细胞谱系、药物反应与重塑模式上存在差异。靶向胸腺基质淋巴细胞生成素、白细胞介素(IL)-33、IL-4/IL-13及IL-5生物制剂可改善重症哮喘的症状控制和结构损伤;同时,组蛋白去乙酰化酶调节剂和基于miRNA的治疗策略等表观遗传疗法正展现出新的应用前景。未来通过整合遗传-表观遗传特征与屏障功能评估,可望实现更为精细的分型诊断和个体化干预,从而推动哮喘精准医学的持续发展。

    • 视盘微循环的研究进展

      2026, 36(3):52-57. DOI: 10.3969/j.issn.1005-8982.2026.03.008

      摘要 (32) HTML (5) PDF 4.64 M (10) 评论 (0) 收藏

      摘要:供应视网膜的动静脉主干穿行于视盘,其微循环改变,可能关系到整个视网膜的血液灌注,进而影响视功能。近年来,越来越多的研究发现,视盘微循环在多种眼部疾病中起重要的作用,与疾病的严重程度、视力的预后等存在潜在的联系。该文就视盘微循环在不同眼病中的研究进展进行综述,以期为进一步的研究和治疗提供新的思路。

      • 0+1
      • 1+1
    • 基于靶向肽改造的间充质干细胞用于膝骨关节炎治疗的作用机制与研究进展

      2026, 36(3):58-65. DOI: 10.3969/j.issn.1005-8982.2026.03.009

      摘要 (29) HTML (30) PDF 752.45 K (9) 评论 (0) 收藏

      摘要:膝骨关节炎(KOA)作为高致残性退行性关节疾病,非甾体抗炎药治疗难以逆转软骨损伤。间充质干细胞(MSCs)虽具软骨分化与免疫调节潜能,但天然MSCs的应用存在归巢效率低(<5%到达损伤区)、关节腔滞留短(<24 h)及炎症微环境下异常肥大分化(高表达Col10a1/Runx2)等主要瓶颈。该综述提出了以靶向肽工程化改造MSCs为核心策略:①靶向修饰:通过仿生学设计,采用点击化学或膜疏水插入法修饰MSCs表面,其归巢效率(局部浓度提高3倍)及滞留时间(≥7 d)均得到显著改善。②协同递送系统:整合纳米载体形成“双工程化MSCs”,同步精准调控软骨分化并重塑免疫微环境。KOA小鼠模型及人软骨外植体实验显示工程化MSCs促进软骨基质再生,改善病理评分。临床试验证实同种异体MSCs及联合疗法可缓解疼痛、改善功能并延缓进展,获《中国骨关节炎诊疗指南(2024版)》早期KOA阶梯治疗推荐。临床转化需解决靶向肽稳定性、纳米载体长期安全性及标准化问题。未来方向包括开发抗酶解肽(D-氨基酸替代)、靶向肽-外泌体无细胞疗法、AI辅助肽设计,以及建立自动化生产与多维度疗效标准,推动其成为中早期KOA的疾病修饰疗法。

    • >临床药学·论著
    • 瑞马唑仑与七氟烷在小儿扁桃体腺样体日间手术全身麻醉中的疗效比较

      2026, 36(3):66-71. DOI: 10.3969/j.issn.1005-8982.2026.03.010

      摘要 (21) HTML (3) PDF 703.49 K (7) 评论 (0) 收藏

      摘要:目的 探讨瑞马唑仑与七氟烷在小儿扁桃体腺样体日间手术全身麻醉中的临床效果。方法 选取2023年7月—2025年6月在西安市儿童医院接受扁桃体腺样体日间手术的150例患儿为研究对象,随机分为实验组与对照组,各75例。实验组接受瑞马唑仑麻醉维持,对照组接受七氟烷麻醉维持。比较两组手术麻醉相关指标(自主呼吸恢复时间、苏醒时间、拔管时间)、血流动力学[麻醉前(T0)、插管时(T1)、插管后5 min(T2)、术后10 min(T3)、拔管时(T4)的收缩压(SBP)、舒张压(DBP)、心率(HR)及血氧饱和度(SpO2)]、谵妄状况[儿童麻醉苏醒期谵妄(PAED)评分],疼痛状况[改良加拿大东安大略儿童医院疼痛评分量表(m-CHEOPS)]、家长满意度、不良反应(呼吸抑制、气道梗阻、低血压、恶心呕吐、疼痛、呛咳)的差异。结果 实验组自主呼吸恢复时间、苏醒时间和拔管时间均短于对照组(P <0.05)。实验组与对照组在T0、T1、T2、T3、T4时SBP、DBP、HR、SpO2比较,结果 ①不同时间点SBP、DBP、HR、SpO2比较,差异有统计学意义(P <0.05)。②实验组与对照组SBP、DBP、HR比较,差异有统计学意义(P <0.05),SpO?差异无统计学意义(P >0.05)。③两组SBP、DBP、HR变化趋势比较,差异有统计学意义(P <0.05),SpO?差异无统计学意义(P >0.05)。实验组与对照组拔管后5 min、10 min、20 min、出麻醉恢复室时的PAED、m-CHEOPS评分比较,结果 ①不同时间点PAED、m-CHEOPS评分比较,差异有统计学意义(P <0.05)。②实验组与对照组PAED评分比较,差异有统计学意义(P <0.05),m-CHEOPS评分差异无统计学意义(P >0.05)。③两组PAED评分变化趋势比较,差异有统计学意义(P <0.05),m-CHEOPS评分变化趋势差异无统计学意义(P >0.05)。实验组家长满意度高于对照组(P <0.05)。两组不良反应总发生率比较,差异无统计学意义(P >0.05)。结论 瑞马唑仑用于小儿扁桃体腺样体日间手术全身麻醉,可加速自主呼吸恢复和拔管时间,维持血流动力学稳定,减少苏醒期谵妄,家长满意度高。瑞马唑仑协同镇痛效果与七氟烷相当,不良反应发生率无差异。

    • 瑞马唑仑联合曲马多在上消化道内镜黏膜下剥离术中的应用研究

      2026, 36(3):72-76. DOI: 10.3969/j.issn.1005-8982.2026.03.011

      摘要 (18) HTML (3) PDF 640.39 K (7) 评论 (0) 收藏

      摘要:目的 探讨瑞马唑仑联合曲马多在上消化道内镜黏膜下剥离术(ESD)中的临床效果。方法 选取2024年1月—2025年8月在南通市第一人民医院接受上消化道ESD术的100例患者,采用随机数字表法分为观察组(瑞马唑仑联合曲马多)与对照组(瑞马唑仑联合舒芬太尼),每组50例。对比两组术后视觉模拟评分(VAS)、脑电双频指数(BIS)范围维持率、拔管时间、不良反应及总体临床效果。结果 观察组患者术后3、6、12和24 h VAS评分低分率均高于对照组(P <0.05);观察组患者BIS值在45~60范围内时间占比高于对照组(P <0.05);观察组患者术后拔管时间短于对照组(P <0.05);观察组患者不良反应总发生率低于对照组(P <0.05);观察组患者优良率高于对照组(P <0.05)。结论 瑞马唑仑联合曲马多在上消化道ESD术中可实现更优的镇静镇痛效果,缩短恢复时间,降低不良反应,具有良好的临床应用价值。

    • >临床研究·论著
    • 无创呼吸机昼夜不同通气参数对AECOPD合并OSA患者疗效、睡眠效率、Borg评分、AHI的影响

      2026, 36(3):77-83. DOI: 10.3969/j.issn.1005-8982.2026.03.012

      摘要 (24) HTML (1) PDF 701.76 K (9) 评论 (0) 收藏

      摘要:目的 分析无创呼吸机昼夜不同通气参数对慢性阻塞性肺疾病急性加重期(AECOPD)合并阻塞性睡眠呼吸暂停(OSA)患者的疗效、睡眠效率、博格自觉劳累程度评分表(Borg评分)、呼吸暂停低通气指数(AHI)的影响。方法 选取2022年3月—2025年2月河北省胸科医院收治的174例AECOPD合并OSA患者,按随机数字表法分为3组,各58例。3组患者白天均选用AECOPD患者的最佳气道正压通气参数治疗,夜间则选用无创气道正压通气参数治疗。A组夜间采用吸气相气道正压(IPAP)维持恒定,呼气相气道正压(EPAP)若在睡眠期无鼾声则保持不变,反之则将EPAP滴定至可消除睡眠期鼾声的最低参数水平。B组在白天参数基础上,于夜间将IPAP和EPAP分别上调3 cmH2O。C组采取夜晚保持IPAP不变,EPAP在白天参数基础上调高3 cmH2O,比较3组治疗效果。结果 B组、C组治疗后睡眠效率(TST/TRT)、AHI、微觉醒指数(MAI)水平均低于A组(P <0.05),最低脉搏氧饱和度(miniSpO2)水平高于A组(P <0.05)。B组、C组治疗前后TST/TRT水平的升高幅度均小于A组(P <0.05),AHI、MAI水平的降低幅度均大于A组(P <0.05),miniSpO2水平的升高幅度的均大于A组(P <0.05)。B组、C组治疗后Epworth量表(ESS)评分、Borg评分、改良的英国医学委员会呼吸困难量表(mMRC)评分均低于A组(P <0.05)。B组、C组治疗前后ESS、Borg、mMRC评分的差值均大于A组(P <0.05)。B组、C组治疗后动脉血二氧化碳分压(PaCO2)水平均低于A组(P <0.05),动脉血氧分压(PaO2)水平均高于A组(P <0.05)。B组、C组治疗前后PaCO2、pH值的下降幅度均大于A组(P <0.05),PaO2的上升幅度均大于A组(P <0.05)。C组、B组治疗后CAT评分低于A组(P <0.05),HRQL评分高于A组(P <0.05)。B组、C组治疗前后HRQL评分的上升幅度均大于A组(P <0.05),CAT评分的下降幅度均大于A组(P <0.05)。结论 OSA合并AECOPD患者采用无创正压通气治疗时,采用夜晚保持IPAP不变,EPAP在白天基础上调3 cmH2O模式,可改善PSG参数和血气分析指标,缓解患者呼吸困难症状和疲劳状态,减轻其白天嗜睡程度。

    • 慢性阻塞性肺疾病合并呼吸衰竭患者院内感染病原菌的耐药特征与危险因素分析

      2026, 36(3):84-90. DOI: 10.3969/j.issn.1005-8982.2026.03.013

      摘要 (24) HTML (6) PDF 726.24 K (7) 评论 (0) 收藏

      摘要:目的 探讨慢性阻塞性肺疾病(COPD)合并呼吸衰竭患者院内感染病原菌的耐药特征及其相关危险因素,优化临床医生对该群体的感染管理与治疗策略。方法 回顾性选取2021年7月—2024年7月北京中医医院怀柔医院198例COPD合并呼吸衰竭患者的临床资料。根据患者是否并发呼吸机相关性肺炎分为肺炎组(86例)与非肺炎组(112例)。比较两组患者相关实验室指标水平。统计并分析肺炎患者病原菌分布情况及耐药性情况。采用多因素一般Logistic回归模型分析COPD合并呼吸衰竭患者发生院内感染的影响因素。结果 肺炎组血清白细胞介素-6(IL-6)、肿瘤坏死因子-α(TNF-α)、酸性α-糖蛋白(AAG)、血清淀粉样蛋白A(SAA)、降钙素原(PCT)、Toll样受体4(TLR4)、核因子κ(NF-κB)水平均高于非肺炎组(P <0.05)。肺炎组共检出病原菌237株,以革兰阴性菌为主(59.49%),其中铜绿假单胞菌占比最高(35.46%);革兰阳性菌占22.36%,以金黄色葡萄球菌为主(52.83%)。主要革兰阴性菌(铜绿假单胞菌、鲍曼不动杆菌、肺炎克雷伯菌)对头孢噻肟、头孢吡肟等头孢类抗菌药物耐药率较高,对美罗培南、亚胺培南耐药率较低;主要革兰阳性菌(金黄色葡萄球菌、溶血葡萄球菌)对红霉素、氨苄西林耐药率较高,对万古霉素、利奈唑胺耐药率较低。多因素一般Logistic回归分析结果显示,IL-6水平高[O^R =3.436(95% CI:1.097,10.762)]、TNF-α水平高[O^R =4.398(95% CI:1.023,18.908)]、AAG水平高[O^R =3.316(95% CI:1.068,10.296)]、SAA水平高[O^R =2.984(95% CI:1.135,7.845)]、PCT水平高[O^R =2.801(95% CI:1.047,7.493)]、TLR4水平高[O^R =2.801(95% CI:1.047,7.493)]、NF-κB水平高[O^R =4.066(95% CI:1.184,13.963)]均为COPD合并呼吸衰竭患者发生院内感染的危险因素(P <0.05)。结论 COPD合并呼吸衰竭患者院内感染的病原菌以革兰阴性菌为主,且显示出显著的耐药性。早期准确的病原菌识别及耐药性分析对于制订有效的抗感染治疗策略至关重要。

    • 支气管镜介入冷冻联合3HRZE/9HR方案治疗淋巴结瘘型气管支气管结核的疗效观察

      2026, 36(3):91-97. DOI: 10.3969/j.issn.1005-8982.2026.03.014

      摘要 (24) HTML (2) PDF 727.09 K (9) 评论 (0) 收藏

      摘要:目的 探讨支气管镜介入冷冻联合3HRZE/9HR方案治疗淋巴结瘘型气管支气管结核的临床疗效与安全性。方法 前瞻性选取2020年10月—2024年7月武威市人民医院收治的120例淋巴结瘘型气管支气管结核患者,随机分为观察组和对照组,各60例。对照组患者接受3HRZE/9HR方案治疗;观察组患者接受支气管镜介入冷冻联合3HRZE/9HR方案治疗。比较两组治疗前后临床疗效,呼吸困难指数分级、肺功能指标[第1秒用力呼气容积(FEV1)、用力肺活量(FVC)、最大呼气流量(PEF)]、血气分析[动脉血氧分压(PaO2)、动脉血氧饱和度(SaO2)、动脉血二氧化碳分压(PaCO2)]及不良反应发生情况。结果 观察组总有效率高于对照组(P <0.05);治疗后观察组呼吸困难指数分级水平低于对照组(P <0.05);治疗后观察组FEV1、FVC、PEF水平均高于对照组,且观察组治疗前后FEV1、FVC、PEF水平的差值均大于对照组(P <0.05);治疗后观察组PaO2、SaO2水平均高于对照组,PaCO2水平低于对照组,且观察组治疗前后PaO2、SaO2、PaCO2水平的差值均大于对照组(P <0.05);观察组与对照组不良反应总发生率的比较,差异无统计学意义(P >0.05)。结论 支气管镜介入冷冻联合3HRZE/9HR方案治疗淋巴结瘘型气管支气管结核能有效提升治疗效果,优化患者的临床指标与症状表现,推动患者康复进程,且此联合治疗方案具有良好的安全性,具备临床推广应用价值。?

    • 膝神经阻滞与局部浸润镇痛对膝骨关节炎术后镇痛方案的比较研究

      2026, 36(3):98-104. DOI: 10.3969/j.issn.1005-8982.2026.03.015

      摘要 (25) HTML (2) PDF 675.59 K (10) 评论 (0) 收藏

      摘要:目的 比较膝神经阻滞(GNB)与局部浸润镇痛(LIA)在全膝关节置换术(TKA)术后的镇痛效果,并评估其对患者术后康复的影响。方法 纳入2021年2月—2024年10月在联勤保障部队第九〇四医院常州医疗区接受TKA手术的82例膝骨关节炎(KOA)患者,采用随机数字表法分为GNB组与LIA组,各41例。比较两组术后4、8、12、24 h静息及运动状态下的视觉模拟评分法(VAS)评分;两组术后24、48 h的主、被动屈膝角度;两组最早下床活动时间和术后至出院时间;两组术后1 d的C反应蛋白(CRP)、白细胞介素-6(IL-6)水平;两组术前1 d、术后24 h、术后48 h、出院前股四头肌肌力、胫前肌肌力、小腿三头肌肌力评分;两组术后1个月膝关节功能(HSS)评分;记录两组不良反应。结果 GNB组与LIA组术后4、8、12、24 h静息状态下的VAS评分比较,结果 ①不同时间点静息状态下的VAS评分比较,差异无统计学意义(P >0.05);②GNB组与LIA组静息状态下的VAS评分比较,差异有统计学意义(P <0.05);③两组静息状态下的VAS评分变化趋势比较,差异有统计学意义(P <0.05)。GNB组与LIA组术后4、8、12、24 h运动状态下的VAS评分比较,结果 ①不同时间点运动状态下的VAS评分比较,差异有统计学意义(P <0.05);②GNB组与LIA组运动状态下的VAS评分比较,差异有统计学意义(P <0.05),GNB组VAS评分较低,相对镇痛效果较好;③两组运动状态下的VAS评分变化趋势比较,差异无统计学意义(P >0.05)。GNB组患者术后24、48 h的主、被动屈膝角度均大于LIA组(P <0.05)。GNB组患者最早下床活动时间早于LIA组,术后至出院时间短于LIA组(P <0.05)。两组术后1 d的CRP、IL-6水平比较,差异均无统计学意义(P >0.05)。GNB组与LIA组术前1 d、术后24 h、术后48 h、出院前的股四头肌、胫前肌、小腿三头肌肌力评分比较,结果 ①不同时间点股四头肌、胫前肌、小腿三头肌肌力评分比较,差异均有统计学意义(P <0.05);②GNB组与LIA组股四头肌、胫前肌、小腿三头肌肌力评分比较,差异均有统计学意义(P <0.05),术后24 h、术后48 h、出院前,GNB组股四头肌、胫前肌、小腿三头肌肌力评分较高;③GNB组与LIA组股四头肌、胫前肌、小腿三头肌肌力评分变化趋势比较,差异均有统计学意义(P <0.05)。两组术后1个月的HSS评分比较,差异均无统计学意义(P >0.05)。两组不良反应总发生率的比较,差异无统计学意义(P >0.05)。结论 GNB在TKA术后早期镇痛效果优于LIA,可更好地促进关节活动度的恢复、改善肌力并早期下床活动,有利于加速术后康复。两组远期功能及安全性无明显差异。

    • 单纯刮治术与开窗减压联合刮治术治疗牙源性颌骨囊肿的疗效比较

      2026, 36(3):105-110. DOI: 10.3969/j.issn.1005-8982.2026.03.016

      摘要 (26) HTML (2) PDF 649.81 K (8) 评论 (0) 收藏

      摘要:目的 比较单纯刮治术与开窗减压联合刮治术治疗牙源性颌骨囊肿的疗效。方法 回顾性选取2020年5月—2023年3月商洛市中心医院收治的81例牙源性颌骨囊肿患者,根据手术方法分为刮治组(43例)和联合组(38例)。刮治组予以单纯囊肿刮治术治疗,联合组予以开窗减压联合刮治术治疗。比较两组围手术期指标、疼痛程度、囊肿改善情况、并发症发生情况及复发率。结果 联合组手术时间和术中出血量均低于刮治组(P <0.05)。联合组术后3个月体积缩小量、术后6个月体积缩小量、术后3个月面积缩小量和术后6个月面积缩小量均高于刮治组(P <0.05),联合组囊肿愈合时间短于刮治组(P <0.05)。联合组术后3个月骨密度、术后6个月骨密度、术后3个月骨质增生厚度和术后6个月骨质增生厚度均高于刮治组(P <0.05)。刮治组与联合组术后3、5、7 d的VAS评分比较,不同时间点VAS评分比较,差异有统计学意义(P <0.05);两组VAS评分比较,差异有统计学意义(P <0.05),联合组VAS评分较低,相对镇痛效果较好;两组VAS评分变化趋势比较,差异有统计学意义(P <0.05)。两组术后并发症发生率比较,差异无统计学意义(P >0.05)。两组复发率比较,差异有统计学意义(P <0.05),联合组低于刮治组。结论 开窗减压联合刮治术治疗牙源性颌骨囊肿的疗效优于单纯刮治术,能够缩短手术时间、减少术中出血量、减轻术后疼痛、缩短创口愈合时间,并降低囊肿复发率。

当期目录


年第卷第

文章目录

过刊浏览

年份

刊期

点击排行

引用排行

下载排行