• 2026年第36卷第6期文章目次
    全 选
    显示方式: |
    • >妊娠期疾病专题·论著
    • 血清DNMT1、TIM-3、QSOX1在妊娠合并HBV感染患者中的表达水平及与母婴不良结局的关系

      2026, 36(6):1-6. DOI: 10.3969/j.issn.1005-8982.2026.06.001

      摘要 (83) HTML (36) PDF 661.53 K (49) 评论 (0) 收藏

      摘要:目的 探究血清脱氧核糖核酸甲基转移酶1(DNMT1)、T细胞免疫球蛋白粘蛋白-3(TIM-3)、巯基氧化酶1(QSOX1)在妊娠合并乙型肝炎病毒(HBV)感染患者中的表达水平及与母婴不良结局的关系。方法 选取2019年10月—2023年10月锦州医科大学附属第三医院收治的103例妊娠合并HBV患者作为HBV组,另选取50例同期健康体验妊娠女性作为对照组。HBV组根据母婴结局分为良好结局组(84例)和不良结局组(19例)。比较各组临床资料及血清DNMT1、TIM-3、QSOX水平,通过多因素一般Logistic回归模型分析妊娠合并HBV感染患者母婴结局的影响因素,构建列线图并绘制受试者工作特征(ROC)曲线。结果 HBV组血清DNMT1、TIM-3、QSOX1水平均高于对照组(P <0.05)。不良结局组HBV DNA载量≥1.0×103 IU/mL占比、TBIL、AST、ALT水平均高于良好结局组(P <0.05)。不良结局组血清DNMT1、TIM-3、QSOX1水平均高于良好结局组(P <0.05)。多因素一般Logistic回归分析结果表明:HBV DNA载量高[O^R=28.257(95% CI:2.069,385.982)]、DNMT1水平高([O^R=1.316(95% CI:1.039,1.666)]、TIM-3水平高[O^R=2.249(95% CI:1.319,3.833)]、QSOX1水平高[O^R=1.431(95% CI:1.151,1.780)]均为妊娠合并HBV感染患者母婴不良结局的危险因素(P <0.05)。ROC曲线结果表明,血清DNMT1、TIM-3、QSOX1水平三者联合预测妊娠合并HBV感染患者母婴不良结局的曲线下面积为0.962,敏感性为94.7%(95% CI:0.740,0.999),特异性为90.6%(95% CI:0.736,0.917)。结论 血清DNMT1、TIM-3、QSOX1在妊娠合并HBV感染患者中表达升高,并对母婴不良结局具有良好的预测价值。

      • 0+1
      • 1+1
    • 双歧杆菌联合维生素D对肥胖合并妊娠期糖尿病患者糖脂代谢水平及妊娠结局的影响

      2026, 36(6):7-12. DOI: 10.3969/j.issn.1005-8982.2026.06.002

      摘要 (48) HTML (14) PDF 630.35 K (35) 评论 (0) 收藏

      摘要:目的 探究双歧杆菌联合维生素D对肥胖合并妊娠期糖尿病(GDM)患者糖脂代谢水平及妊娠结局的影响。方法 选取2023年2月—2024年12月三二〇一医院收治的120例肥胖合并GDM患者,按信封抽签法随机分为常规组和联合组,每组60例。常规组给予常规治疗;联合组在常规组基础上,给予双歧杆菌联合维生素D干预。比较两组糖脂代谢水平、胰岛β细胞功能、体质量指数(BMI)、腰臀比及不良妊娠结局。结果 联合组治疗前后空腹血糖、餐后2 h血糖、糖化血红蛋白的差值均大于常规组(P <0.05);联合组治疗前后甘油三酯、总胆固醇、低密度脂蛋白胆固醇的差值均大于常规组(P <0.05);联合组治疗前后胰岛β细胞功能指数、胰岛素抵抗指数、空腹胰岛素的差值均大于常规组(P <0.05);联合组治疗前后BMI、腰臀比的差值均大于常规组(P <0.05);联合组不良妊娠结局总发生率低于常规组(P <0.05)。结论 双歧杆菌联合维生素D可改善肥胖合并GDM患者糖脂代谢和胰岛β细胞功能,降低胰岛素抵抗,优化体重管理,并降低不良妊娠结局发生率。

    • 血清Gal-1、VEGF预测重度子痫前期患者胎盘早剥的价值及危险因素分析

      2026, 36(6):13-19. DOI: 10.3969/j.issn.1005-8982.2026.06.003

      摘要 (41) HTML (4) PDF 696.17 K (37) 评论 (0) 收藏

      摘要:目的 探讨血清半乳糖凝集素-1(Gal-1)、血管内皮生长因子(VEGF)检测在评估重度子痫前期(PE)患者胎盘早剥(PA)中的临床价值,并分析其相关危险因素。方法 回顾性分析2023年1月—2025年1月西北妇女儿童医院收治的273例重度PE产妇的临床资料,根据产妇是否发生PA分为早剥组(46例)与无早剥组(227例)。收集上述研究对象的一般临床资料。检测并比较各组产妇血清相关指标水平。采用多因素一般Logistic回归模型分析重度PE患者发生PA的危险因素。采用受试者工作特征(ROC)曲线分析其对重度PE产妇发生PA的预测价值。结果 早剥组间接胆红素、肌酐、尿素氮均高于无早剥组(P <0.05),纤维蛋白原低于无早剥组(P <0.05);早剥组Gal-1、白细胞介素-12(IL-12)、胎盘生长因子(PLGF)、Fibulin-5、血管生成素-2(Ang-2)均低于无早剥组(P <0.05),VEGF高于无早剥组(P <0.05)。ROC曲线结果显示,Gal-1、VEGF、IL-12、PLGF、Fibulin-5、Ang-2联合预测重度PE产妇发生PA的敏感性为97.8%(95% CI:0.885,0.999),特异性为99.1%(95% CI:0.969,0.999),曲线下面积为0.977(95% CI:0.942,1.000)。多因素一般Logisitc回归分析结果显示:高VEGF水平[O^R =3.025(95% CI:1.216,7.527)]为重度PE患者发生PA的危险因素(P <0.05);高Gal-1水平[O^R =0.781(95% CI:0.679,0.899)]、高IL-12水平[O^R =0.824(95% CI:0.704,0.963)]、高PLGF水平[O^R =0.953(95% CI:0.912,0.996)]、高Fibulin-5水平[O^R =0.816(95% CI:0.742,0.897)]、高Ang-2水平[O^R =0.570(95% CI:0.343,0.948)]均为重度PE患者发生PA的保护因素(P <0.05)。结论 重度PE合并PA患者血清Gal-1、IL-12、PLGF、Fibulin-5、Ang-2水平显著降低,VEGF水平升高。联合检测上述指标可显著提高PA的预测效能,且高VEGF水平为独立危险因素,而高Gal-1、IL-12、PLGF、Fibulin-5、Ang-2水平为保护因素。

      • 0+1
      • 1+1
      • 2+1
      • 3+1
    • >实验研究·论著
    • lncRNA LOC101928477在食管鳞状细胞癌中的作用研究

      2026, 36(6):20-28. DOI: 10.3969/j.issn.1005-8982.2026.06.004

      摘要 (57) HTML (28) PDF 1.95 M (48) 评论 (0) 收藏

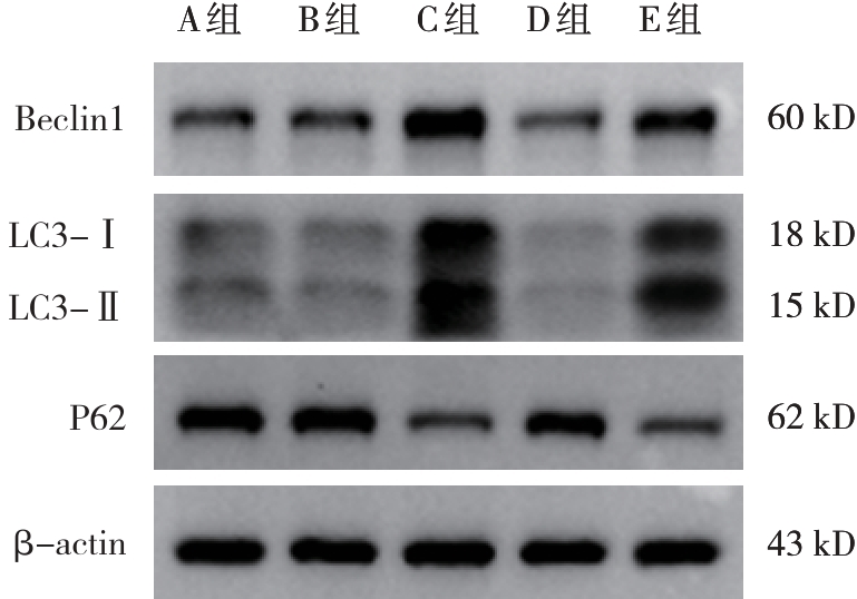
      摘要:目的 探讨lncRNA LOC101928477对人食管鳞状细胞癌(ESCC)ECA109细胞增殖、迁移、凋亡及自噬的生物学作用,并探索其相关分子调控关联。方法 将ECA109细胞分为5组:A组(空白对照,仅培养ECA109细胞)、B组(空载病毒对照,ECA109+oe-NC)、C组(LOC101928477过表达,ECA109+oe-LOC101928477)、D组(miR-139-5p抑制剂,ECA109+miR-139-5p抑制剂)、E组(联合干预,ECA109+miR-139-5p抑制剂+oe-LOC101928477)。CCK-8法检测细胞活性,流式细胞术分析细胞凋亡,划痕试验评估细胞迁移能力,实时荧光定量聚合酶链反应检测LOC101928477和miR-139-5p的mRNA表达,Western blotting检测自噬相关蛋白(Beclin1、LC3-Ⅱ/LC3-Ⅰ、P62)的表达,酶联免疫吸附试验(ELISA)检测肿瘤坏死因子-α(TNF-α)和白细胞介素-6(IL-6)水平。结果 A组与B组ECA109细胞活力、细胞凋亡率、细胞迁移能力、LOC101928477 mRNA及Beclin1、LC3-Ⅱ/LC3-Ⅰ、P62蛋白表达,以及TNF-α、IL-6水平比较,差异均无统计学意义(P >0.05);与B组相比,C组ECA109细胞活力、细胞迁移能力降低,细胞凋亡率升高,Beclin1蛋白表达及LC3-Ⅱ/LC3-Ⅰ显著上调,P62蛋白表达下调,TNF-α和IL-6水平升高(P <0.05);与C组相比,D组上述LOC101928477诱导的表型效应及自噬激活均逆转(P <0.05);与D组相比,E组细胞活力、细胞迁移能力进一步降低,凋亡率及自噬活性进一步升高,TNF-α和IL-6水平也进一步升高(P <0.05)。结论 lncRNA LOC101928477可激活ECA109细胞自噬,抑制ECA109的增殖与迁移,促进细胞凋亡,并上调炎症因子TNF-α和IL-6水平;其发挥上述抑癌作用的分子机制与调控miR-139-5p的表达相关,可为ESCC的靶向治疗提供新的理论依据。

      • 0+1
      • 1+1
      • 2+1
    • >综述
    • 伴高危复发风险肝细胞癌术后辅助治疗的研究进展

      2026, 36(6):29-33. DOI: 10.3969/j.issn.1005-8982.2026.06.005

      摘要 (70) HTML (19) PDF 584.67 K (45) 评论 (0) 收藏

      摘要:肝细胞癌(HCC)是最常见的原发性肝癌类型,手术切除是可切除HCC患者的首选治疗方式。然而,术后高达70%的复发率是限制肝癌患者长期生存获益的关键因素,术后辅助治疗或是降低肝癌高复发率的有效治疗选择。因而,伴有高危复发风险肝癌患者的术后辅助治疗策略,近年来愈加受到重视。该文综述了目前针对HCC术后辅助治疗的系列研究,包括局部治疗和系统治疗等,以期为HCC术后高危复发风险患者制订有效的辅助治疗策略和术后辅助治疗的相关研究提供参考。

    • 腭中缝成熟度评估体系与颅颌面骨缝发育关联性的研究进展

      2026, 36(6):34-40. DOI: 10.3969/j.issn.1005-8982.2026.06.006

      摘要 (47) HTML (25) PDF 688.20 K (33) 评论 (0) 收藏

      摘要:该文系统综述腭中缝成熟度评估体系与颅颌面骨缝发育的关联性研究进展。通过解析腭中缝的分段解剖特征及5个阶段影像学分类(A~E),揭示其与颅颌面骨缝系统在发育时序、生物力学耦合和分子调控网络中的协同作用。传统组织学分型(Melsen分级)因侵入性和主观性限制,逐渐被锥形束计算机断层扫描三维重建和磁共振T2 mapping技术取代,而人工智能辅助影像分析显著提升了评估精度。Wnt/BMP信号通路通过时间-空间特异性调控骨缝发育,间充质干细胞(如具有机械感知能力的Piezo2+细胞)通过力学响应介导骨缝改建,而上颌快速扩弓产生的机械应力可激活骨缝适应性生长,三者共同构成骨缝发育的关键调控网络。临床应用中,微种植体辅助快速扩弓通过优化应力分布实现无创性骨骼效应,为颅颌面畸形治疗提供新策略。未来需融合影像、生物力学与分子检测技术,阐明骨缝发育的动态调控规律,并开发基于干细胞靶向调控的新型治疗策略,最终实现颅颌面畸形的精准诊疗。

    • >临床药学·论著
    • 低剂量奥拉帕利联合贝伐珠单抗对老年复发性铂敏感型卵巢癌患者的疗效和安全性研究

      2026, 36(6):41-47. DOI: 10.3969/j.issn.1005-8982.2026.06.007

      摘要 (22) HTML (4) PDF 649.93 K (13) 评论 (0) 收藏

      摘要:目的 探讨低剂量奥拉帕利联合贝伐珠单抗对老年复发性铂敏感型卵巢癌患者的疗效和安全性。方法 选取2021年1月—2023年1月南阳市第一人民医院收治的102例复发性铂敏感型卵巢癌老年患者,并按随机数字表法分为对照组、低剂量组和高剂量组,各34例。患者均接受贝伐珠单抗维持治疗,低剂量组在此基础上联合口服奥拉帕利150 mg/次、2次/d,高剂量组联合口服奥拉帕利300 mg/次、2次/d。4周/疗程,维持治疗6个疗程。比较两组的临床疗效,以及治疗前后的肿瘤标志物水平[人附睾上皮分泌蛋白4(HE4)、糖类抗原125(CA125)、CA199]和免疫功能(CD3、CD4、CD8),并通过生活质量问卷(QLQ-C30)评估患者治疗前后的生活质量,记录不良反应情况。结果 低剂量组、高剂量组客观缓解率均高于对照组(P <0.05)。高剂量组治疗后HE4、CA125、CA199水平均低于低剂量组、对照组(P <0.05)。治疗后各组HE4、CA125、CA199均较治疗前降低(P <0.05)。高剂量组治疗前后HE4、CA125、CA199水平的差值均大于低剂量组和对照组(P <0.05)。低剂量组治疗后的CD3+、CD4+水平高于高剂量组和对照组(P <0.05),CD8+水平低于高剂量组和对照组(P <0.05)。治疗后各组CD3+、CD4+水平均较治疗前降低(P <0.05),CD8+水平升高(P <0.05)。低剂量组治疗前后CD3+、CD4+、CD8+水平的差值均小于高剂量组和对照组(P <0.05)。低剂量组治疗后运动、健康状态、活动、生活行为评分高于高剂量组和对照组(P <0.05)。治疗后各组运动、健康状态、活动、生活行为评分均较治疗前升高(P <0.05)。低剂量组治疗前后运动、健康状态、活动、生活行为评分的差值均大于高剂量组和对照组(P <0.05)。结论 低剂量奥拉帕利联合贝伐珠单抗与高剂量方案疗效相当,且在免疫功能、生活质量改善及安全性方面更具优势。

    • 信迪利单抗联合白蛋白结合型紫杉醇、奈达铂一线治疗食管癌的临床研究

      2026, 36(6):48-53. DOI: 10.3969/j.issn.1005-8982.2026.06.008

      摘要 (21) HTML (4) PDF 611.56 K (13) 评论 (0) 收藏

      摘要:目的 探讨信迪利单抗联合白蛋白结合型紫杉醇、奈达铂一线治疗食管癌的临床疗效、安全性及免疫学指标变化。方法 选取2020年5月—2023年12月徐州市第一人民医院收治的100例食管癌患者,随机分为观察组和对照组,各50例。对照组采用白蛋白结合型紫杉醇与奈达铂治疗,观察组对照组基础上加用信迪利单抗治疗。于治疗前后对两组患者进行疗效评估,并检测肿瘤标志物[细胞角蛋白19片段抗原21-1(CYFRA21-1)、鳞状细胞癌抗原(SCC-Ag)、癌胚抗原(CEA)]、免疫功能指标(CD3+、CD4+、CD8+、CD4+/CD8+)、血清程序性死亡受体1(PD-1)、程序性死亡配体1(PD-L1)水平及不良反应发生情况。结果 观察组疾病控制率更高(P <0.05)。观察组治疗前后血清CEA、CYFRA21-1、SCC-Ag、CD3+、CD4+、CD4+/CD8+、PD-1、PD-L1的差值均大于对照组(P <0.05)。两组不良反应总发生率比较,差异无统计学意义(P >0.05)。结论 信迪利单抗联合白蛋白结合型紫杉醇、奈达铂对食管癌具有较好的疗效,能够改善免疫功能,降低肿瘤标志物水平,且不良反应可耐受,值得在临床上推广应用。

    • >临床研究·论著
    • 基于认知与运动的双重任务导向训练对痉挛型脑瘫儿童运动功能的影响

      2026, 36(6):54-58. DOI: 10.3969/j.issn.1005-8982.2026.06.009

      摘要 (22) HTML (4) PDF 597.39 K (11) 评论 (0) 收藏

      摘要:目的 观察基于认知与运动的双重任务导向训练对痉挛性脑瘫儿童步行、平衡功能及总体疗效的影响,以期探索能进一步改善该型患儿相应功能更有效的训练手段。方法 选取2024年1月—2024年10月湖南中医药大学第一附属医院针灸推拿康复中心儿童康复专科诊治的60例痉挛型脑瘫患儿作为研究对象。采取随机数字表法将患儿随机分为对照组与观察组,各30例。两组分别干预12周。比较两组训练前后及组间的粗大运动功能测试量表88项(GMFM-88)D区-站立、E区-走、跑、跳的得分,比较两组训练前后Berg平衡量表(BBS)的得分变化和总体疗效差异。结果 对照组与观察组治疗前GMFM-88 D区的评分均低于治疗后(P <0.05)。对照组治疗后GMFM-88 D区评分低于观察组(P <0.05)。对照组与观察组治疗前GMFM-88 E区的评分均低于治疗后(P <0.05)。对照组治疗后GMFM-88 E区评分低于观察组(P <0.05)。对照组与观察组治疗前BBS的评分均低于治疗后(P <0.05)。对照组治疗后BBS评分低于观察组(P <0.05)。观察组有效率高于对照组(P <0.05)。结论 认知与运动双重任务导向训练能显著提高痉挛型脑瘫儿童步行与平衡功能,值得临床推广。

    • TAT、TM、PIC、t-PAIC在弥散性血管内凝血中的临床应用价值分析

      2026, 36(6):59-66. DOI: 10.3969/j.issn.1005-8982.2026.06.010

      摘要 (32) HTML (6) PDF 789.96 K (9) 评论 (0) 收藏

      摘要:目的 探索凝血酶-抗凝血酶复合物(TAT)、纤溶酶-抗纤溶酶复合物(PIC)、血栓调节蛋白(TM)和组织型纤溶酶原激活物-纤溶酶原激活物抑制复合物(t-PAIC)4个血栓分子标志物在弥散性血管内凝血(DIC)中的临床应用价值。方法 选取2019年1月—2022年4月西安交通大学第二附属医院收治的261例疑似DIC患者,回顾性分析其临床资料。经临床确诊后分为DIC组93例和非DIC组168例,比较两组传统凝血指标和新型分子标志物的差异。通过绘制受试者工作特征(ROC)曲线评估分子标志物对DIC的诊断效能。分析不同疾病类型、临床表现的DIC组患者分子标志物的差异。同时比较住院期间不同生存状况的DIC患者其分子标志物的差异。结果 与非DIC组相比,DIC组凝血酶原时间(PT)、活化部分凝血活酶时间(APTT)延长(P <0.05),血小板计数(PLT)、纤维蛋白原(FIB)水平降低(P <0.05),纤维蛋白原降解产物(FDP)、D-二聚体(D-D)水平升高(P <0.05)。与非DIC组比较,DIC组TAT、TM、PIC、t-PAIC及TAT/PIC均升高(P <0.05)。与血液系统肿瘤组比较,感染性疾病组PIC水平降低(P <0.05),TM、t-PAIC及TAT/PIC升高(P <0.05)。与无出血组比较,出血组t-PAIC、TAT/PIC降低(P <0.05),PIC水平升高(P <0.05)。Spearman相关性分析结果显示,中国弥散性血管内凝血诊断积分系统评分与TM、TAT、PIC、t-PAIC及TAT/PIC均呈正相关(P <0.05);FDP与TM、TAT、PIC、t-PAIC均呈正相关(P <0.05);D-D与TM、TAT、PIC、t-PAIC均呈正相关(P <0.05)。ROC曲线分析结果显示,TM、TAT、D-D、FDP联合检测诊断DIC的曲线下面积(AUC)为0.929(95% CI:0.899,0.959),敏感性为82.8%(95% CI:0.751,0.905),特异性为88.7%(95% CI:0.839,0.935);TM、TAT、PIC、t-PAIC、D-D、FDP联合检测诊断DIC的AUC为0.944(95% CI:0.919,0.970),敏感性为87.1%(95% CI:0.803,0.939),特异性为89.9%(95% CI:0.853,0.944)。与非死亡组比较,死亡组年龄更高(P <0.05),TM水平更高(P <0.05),PIC水平更低(P <0.05)。多因素逐步Logistic回归分析结果显示,年龄增长[O^R=1.042(95% CI:1.017,1.068)]、TM水平升高[O^R=1.022(95% CI:1.001,1.044)]是DIC患者预后的独立危险因素(P <0.05)。结论 凝血标志物TAT、TM、PIC、t-PAIC在DIC患者的精准诊断、出血风险评估、不良结局预测等方面均具有重要意义。

      • 0+1
      • 1+1
    • 光学相干断层成像与血管内超声指导下冲击波血管内碎石术治疗冠状动脉钙化病变的有效性分析

      2026, 36(6):67-72. DOI: 10.3969/j.issn.1005-8982.2026.06.011

      摘要 (24) HTML (2) PDF 660.36 K (14) 评论 (0) 收藏

      摘要:目的 分析光学相干断层成像(OCT)与血管内超声(IVUS)指导下冲击波血管内碎石术(IVL)治疗冠状动脉钙化(CAC)病变的有效性。方法 选取2021年2月—2024年2月南京医科大学附属淮安第一医院心血管内科收治的98例CAC病变患者(104个病变),按治疗方法不同分为两组,对照组47例(51个病变)予以IVUS指导下IVL,观察组51例(53个病变)予以OCT指导下IVL,比较两组治疗效果。结果 观察组和对照组手术成功率均为100.00%。观察组与对照组预扩张球囊直径、预扩张球囊最大压力、支架植入数、支架直径、总支架长度、后扩球囊直径、后扩球囊最大压力和手术时间比较,差异均无统计学意义(P >0.05)。观察组与对照组近端参考血管最小管腔直径(MLD)、最大管腔直径(MaxLD)、管腔面积,远端参考血管MLD、管腔面积、参考面积,病变处MaxLD、最小管腔面积(MLA)比较,差异均无统计学意义(P >0.05);观察组远端参考血管MaxLD、病变处MLD均低于对照组(P <0.05)。观察组与对照组治疗前后病变血管内径和血管狭窄率的差值比较,差异均无统计学意义(P >0.05)。观察组与对照组心肌梗死溶栓试验血流分级比较,差异无统计学意义(P >0.05)。观察组不良事件总发生率低于对照组(P <0.05)。结论 OCT与IVUS对指导IVL治疗CAC病变具有重要作用,OCT指导下的IVL不良事件发生率更低。

    • 可吸收软骨钉联合带线锚钉对髌骨脱位合并骨软骨骨折的临床疗效

      2026, 36(6):73-78. DOI: 10.3969/j.issn.1005-8982.2026.06.012

      摘要 (29) HTML (2) PDF 681.64 K (11) 评论 (0) 收藏

      摘要:目的 评估关节镜下应用可吸收软骨钉联合带线锚钉治疗创伤性髌骨脱位合并骨软骨骨折的临床疗效。方法 前瞻性选取2020年1月—2023年1月浙江中医药大学附属江南医院收治的96例创伤性髌骨脱位合并骨软骨骨折患者作为研究对象。采用随机数字表法将患者分为研究组和对照组,每组48例。对照组患者接受治疗关节镜下带线锚钉治疗,研究组患者接受关节镜下可吸收软骨钉联合带线锚钉治疗。患者术后随访,Bostman髌骨骨折功能评分标准评判治疗有效率、评估术前术后膝关节功能[国际膝关节文献委员会(IKDC)评分、Lysholm膝关节评分、视觉模拟评分(VAS)]、膝关节活动情况(单腿跳远测试及关节活动范围)、关节液内炎症因子[白细胞介素-1β(IL-1β)、肿瘤坏死因子-α(TNF-α)]水平及并发症等。结果 研究组患者治疗有效率高于对照组(P <0.05)。研究组术后IKDC评分、Lysholm评分均高于对照组(P <0.05),VAS评分低于对照组(P <0.05)。研究组手术前后IKDC评分、Lysholm评分、VAS评分的差值均大于对照组(P <0.05)。研究组术后单腿跳远距离和屈膝角度均高于对照组(P <0.05)。研究组治疗后IL-1β、TNF-α均低于对照组(P <0.05)。研究组治疗前后IL-1β、TNF-α的差值均大于对照组(P <0.05)。研究组患者并发症总发生率低于对照组(P <0.05)。结论 关节镜下可吸收软骨钉联合带线锚钉治疗创伤性髌骨脱位合并骨软骨骨折在本研究中显示出了良好的临床效果。该方法不仅可以有效提高髌骨稳定性,减少复发风险,而且大多数患者能够在较短的时间内恢复良好的膝关节功能,且并发症发生率低。

    • 腹腔镜下改良经脐单孔与多孔手术治疗子宫肌瘤的疗效及对卵巢储备功能、术后复发的影响

      2026, 36(6):79-85. DOI: 10.3969/j.issn.1005-8982.2026.06.013

      摘要 (30) HTML (4) PDF 675.58 K (12) 评论 (0) 收藏

      摘要:目的 分析腹腔镜下改良经脐单孔与多孔手术治疗子宫肌瘤的疗效及对卵巢储备功能、术后复发的影响。方法 选取2022年4月—2024年12月扬州大学医学院附属淮安市妇幼保健院收治的81例子宫肌瘤患者,按不同手术方法分为对照组(41例)和观察组(40例)。对照组行腹腔镜下多孔手术,观察组行腹腔镜下改良经脐单孔手术。比较两组手术相关指标、卵巢储备功能、性激素水平、性功能、痛经情况、子宫体积、子宫内膜容受性、并发症、术后6个月复发情况。结果 观察组手术时间长于对照组(P <0.05),术中出血量少于对照组(P <0.05),肛门排气时间、首次下床活动时间均短于对照组(P <0.05),术后24 h引流量和子宫肌瘤残留率均低于对照组(P <0.05)。观察组治疗前后抗缪勒管激素、窦卵泡计数、卵巢体积、雌二醇水平、女性性功能指数、视觉模拟评分法评分、子宫体积、子宫内膜搏动指数、阻力指数、收缩期峰值流速的差值均大于对照组(P <0.05)。观察组并发症总发生率低于对照组(P <0.05)。随访6个月,观察组复发率低于对照组(P <0.05)。结论 与腹腔镜下多孔手术比较,腹腔镜下改良经脐单孔手术治疗子宫肌瘤效果更好,患者卵巢储备功能恢复更佳,且术后6个月复发率较低。

    • 超声二维斑点追踪技术联合血清凝血酶敏感蛋白1检测对老年高血压患者合并心脏病的评估价值

      2026, 36(6):86-91. DOI: 10.3969/j.issn.1005-8982.2026.06.014

      摘要 (25) HTML (6) PDF 619.37 K (16) 评论 (0) 收藏

      摘要:目的 探讨超声二维斑点追踪技术(2D-STI)联合血清凝血酶敏感蛋白1(TSP-1)对老年高血压患者合并心脏病的评估价值。方法 选取2023年10月—2024年10月秦皇岛市中医医院收治的老年高血压患者206例,将121例无其他心血管疾病的患者作为对照组,将85例合并心脏病的患者作为观察组。比较两组患者心功能[左心室舒张末期内径(LVEDD)、左心室射血分数(LVEF)]、左心室舒张末期左心房峰值应变率(SRa)、左心室舒张早期左心房峰值应变率(SRe)、左心室收缩期左心房峰值应变率(SRs)及血清TSP-1水平。通过多因素一般Logistic回归模型分析高血压合并心脏病的影响因素,利用受试者工作特征(ROC)曲线分析2D-STI联合血清TSP-1对老年高血压患者合并心脏病的诊断效能。结果 观察组LVEDD、SRa和TSP-1水平均高于对照组(P <0.05),LVEF、SRe和SRs水平均低于对照组(P <0.05)。多因素一般Logistic回归分析结果显示:SRa水平高[O^R=62.473(95% CI:6.196,629.857)]、TSP-1水平高[O^R=1.504(95% CI:1.270,1.782)]均为高血压患者合并心脏病的危险因素(P <0.05),而SRe水平高[O^R=0.095(95% CI:0.016,0.575)]、SRs水平高[O^R=0.011(95% CI:0.001,0.099)]是独立保护因素(P <0.05)。ROC曲线显示,2D-STI联合TSP-1诊断老年高血压心脏病患者的下曲线下面积为0.986(95% CI:0.975,0.997),敏感性为94.1%(95% CI:0.868,0.981),特异性为93.4%(95% CI:0.874,0.971)。结论 2D-STI联合血清TSP-1对老年高血压心脏病有较高的诊断价值。

      • 0+1
    • 平衡板运动控制训练对踝关节损伤修复术后患者平衡控制力的影响

      2026, 36(6):92-97. DOI: 10.3969/j.issn.1005-8982.2026.06.015

      摘要 (30) HTML (4) PDF 657.17 K (12) 评论 (0) 收藏

      摘要:目的 探究平衡板运动控制训练对踝关节损伤修复术后患者平衡控制力的影响。方法 选取2021年6月—2024年6月中国人民解放军联勤保障部队第904医院收治的86例踝关节损伤修复术后患者,按信封抽签法,随机分为常规组和平衡板组,各43例。常规组进行常规康复训练,平衡板组在常规组基础上增加平衡板运动控制训练。比较两组治疗前后疗效、患侧肢体平衡控制力、踝关节活动度、踝关节周围肌肉肌力、足踝功能量表(FAAM)评分及世界卫生组织生存质量测定简表(WHOQOI-BREF)评分。结果 平衡板组疗效优良率高于常规组(P <0.05)。平衡板组治疗前后X轴平均位移、Y轴平均位移、背伸活动度、跖屈活动度的差值均大于常规组(P <0.05)。平衡板组治疗前后60和180 °/s速度下跖屈肌群、背屈肌群的相对峰值力矩的差值均大于常规组(P <0.05)。平衡板组治疗前后FAAM和WHOQOI-BREF评分的差值均大于常规组(P <0.05)。结论 平衡板运动控制训练能显著提高踝关节损伤,修复术后患者的平衡控制力。

    • 颈部血管彩色超声参数联合血浆低密度脂蛋白对缺血性脑卒中患者颈动脉不稳定性斑块的评估价值

      2026, 36(6):98-103. DOI: 10.3969/j.issn.1005-8982.2026.06.016

      摘要 (37) HTML (3) PDF 727.07 K (12) 评论 (0) 收藏

      摘要:目的 分析颈部血管彩色超声(CVUS)参数联合血浆低密度脂蛋白(LDL-C)对缺血性脑卒中(IS)患者颈动脉不稳定性斑块的评估价值。方法 选取2023年1月—2024年1月沧州市中心医院收治的322例IS患者,根据颈动脉斑块的稳定性,分为稳定组(266例)与不稳定组(56例)。比较两组临床资料、LDL-C水平、颈动脉内膜中层厚度(IMT)、血流参数[收缩期峰值流速(VS)、舒张末期流速(VD)、搏动指数(PI)、阻力指数(RI)],通过多因素一般Logistic回归模型进行影响因素分析,并绘制受试者工作特征(ROC)曲线。结果 不稳定组LDL-C水平、IMT、颈内动脉PI、颈外动脉PI均高于稳定组,颈内动脉VS、颈内动脉VD、颈外动脉VS、颈外动脉VD均低于稳定组(P <0.05);多因素一般Logistic回归分析结果表明,LDL-C水平高[O^R=2.508(95% CI:1.675,3.755)]、IMT厚[O^R=10.138(95% CI:3.680,27.930)]、颈内动脉PI高[O^R=10.940(95% CI:3.838,31.179)]、颈外动脉PI高[O^R=235.353(95% CI:38.153,1451.426)]均为IS患者发生颈动脉不稳定性斑块的危险因素;颈内动脉VS高[O^R=0.877(95% CI:0.830,0.926)]、颈内动脉VD高[O^R=0.861(95% CI:0.808,0.917)]、颈外动脉VS高[O^R=0.879(95% CI:0.831,0.928)]、颈外动脉VD高[O^R=0.828(95% CI:0.764,0.897)]均为IS患者发生颈动脉不稳定性斑块的保护因素(P <0.05);ROC曲线结果表明,LDL-C、IMT、颈内动脉VS、颈内动脉VD、颈内动脉PI、颈外动脉VS、外动脉VD、颈外动脉PI联合评估对IS患者颈动脉不稳定性斑块的诊断效能更高,其敏感性为89.3%(95% CI:0.781,0.960),特异性为88.0%(95% CI:0.834,0.916),曲线下面积为89.1%(95% CI:0.845,0.938)。结论 CVUS参数联合LDL-C对IS患者颈动脉不稳定性斑块具有较好的临床诊断价值。

      • 0+1
    • 外周血LAR、RDW对老年多发性骨髓瘤患者发生医院感染的预测价值

      2026, 36(6):104-109. DOI: 10.3969/j.issn.1005-8982.2026.06.017

      摘要 (41) HTML (4) PDF 628.85 K (20) 评论 (0) 收藏

      摘要:目的 探究外周血乳酸脱氢酶与白蛋白比值(LAR)、红细胞分布宽度(RDW)对老年多发性骨髓瘤(MM)患者发生医院感染的预测价值。方法 回顾性选取2018年1月—2024年6月汉中市中心医院收治的122例老年MM患者,根据是否发生医院感染分为医院感染组(55例)和无医院感染组(67例)。比较两组相关临床资料、LAR、RDW。通过多因素逐步Logistic回归模型分析老年MM患者发生医院感染的危险因素;并进行风险分层分析;绘制受试者工作特征(ROC)曲线评估LAR、RDW及其联合检测的预测效能。结果 医院感染组糖尿病患病率、住院时间、国际分期体系分期、美国东部肿瘤协作组评分、血尿素氮(BUN)、LAR、RDW均高于无医院感染组,血红蛋白水平低于无医院感染组(P <0.05)。多因素逐步Logistic回归分析结果显示:住院时间长[O^R=1.862(95% CI:1.105,3.136)]、BUN水平高[O^R=2.145(95% CI:1.319,3.487)]、LAR水平高[O^R=7.362(95% CI:2.752,19.692)]和RDW水平高[O^R=6.204(95% CI:2.407,15.988)]均为老年MM患者发生医院感染的危险因素(P <0.05)。分层分析结果表明,随着LAR升高,老年MM患者发生医院感染风险增加(P <0.00125);随着RDW升高,老年MM患者发生医院感染风险增加(P <0.0125);高LAR且高RDW的老年MM患者的医院感染率较高(P <0.00625)。ROC曲线结果表明,LAR、RDW及其联合检测预测老年MM患者发生医院感染的敏感性分别为72.7%(95% CI:0.590,0.839)、78.2%(95% CI:0.650,0.882)、87.3%(95% CI:0.755,0.947),特异性分别为74.6%(95% CI:0.625,0.845)、71.6%(95% CI:0.593,0.820)、91.0%(95% CI:0.815,0.966)。结论 LAR、RDW是老年MM患者发生医院感染的独立危险因素,两者联合检测能较好地预测老年MM患者发生医院感染风险。

      • 0+1
    • 全身麻醉联合椎旁神经阻滞少阿片化方案在胸腔镜肺段切除术中的临床应用效果研究

      2026, 36(6):110-115. DOI: 10.3969/j.issn.1005-8982.2026.06.018

      摘要 (38) HTML (6) PDF 666.49 K (12) 评论 (0) 收藏

      摘要:目的 探讨全身麻醉联合椎旁神经阻滞少阿片化方案在胸腔镜肺段切除术中的临床应用效果。方法 选取2020年6月—2024年6月在南通市中医院行胸腔镜肺段切除术的82例患者。依据麻醉方式不同分为对照组(接受全身麻醉)和试验组(接受全身麻醉联合椎旁神经阻滞),各41例。比较两组血流动力学、瑞芬太尼用量、苏醒时间、自主呼吸恢复时间、疼痛状况、应激反应、并发症。结果 试验组与对照组术后麻醉前、诱导插管时(T1)、切皮时(T2)、拔管时(T3)时平均动脉压(MAP)、心率(HR)比较,结果 ①不同时间点MAP、HR比较,差异均有统计学意义(P <0.05);②两组MAP、HR比较,差异均有统计学意义(P <0.05),试验组T1~T3时MAP、HR均低于对照组(P <0.05);③两组MAP、HR变化趋势比较,差异均有统计学意义(P <0.05)。试验组瑞芬太尼用量、苏醒时间和自主呼吸恢复时间均低于对照组(P <0.05)。两组术后4、24、48 h静息和咳嗽状态视觉模拟评分法(VAS)评分比较,结果 ①不同时间点静息、咳嗽状态VAS评分比较,差异均有统计学意义(P <0.05);②两组静息、咳嗽状态VAS评分比较,差异均有统计学意义(P <0.05),试验组术后4 h静息、咳嗽状态VAS评分均低于对照组(P <0.05),试验组术后24 h咳嗽状态VAS评分低于对照组(P <0.05);③两组静息、咳嗽状态VAS评分变化趋势比较,差异均有统计学意义(P <0.05)。试验组术后24 h内镇痛泵按压次数少于对照组(P <0.05)。试验组与对照组术前、术后1和3 d的甲肾上腺素(NE)、肾上腺素(E)、胰岛素(INS)、皮质醇(Cor)水平比较,结果 ①不同时间点NE、E、INS、Cor水平比较,差异均有统计学意义(P <0.05);②两组NE、E、INS、Cor水平比较,差异均有统计学意义(P <0.05),试验组术后1、3 d的NE、E、INS、Cor水平均低于对照组(P <0.05);③两组NE、E、INS、Cor变化趋势比较,差异均有统计学意义(P <0.05)。试验组并发症总发生率低于对照组(P <0.05)。结论 全身麻醉联合椎旁神经阻滞在胸腔镜肺段切除手术中可维持稳定的血流动力学、减少麻醉药物使用剂量、优化疼痛管理、从而减少生理应激和并发症的发生风险。

    • 格拉斯哥评定联合洼田饮水试验对改良电休克治疗患者进食与服药时间的影响研究

      2026, 36(6):116-120. DOI: 10.3969/j.issn.1005-8982.2026.06.019

      摘要 (27) HTML (4) PDF 591.39 K (11) 评论 (0) 收藏

      摘要:目的 探讨格拉斯哥评定联合洼田饮水试验对改良电休克治疗(MECT)患者进食与服药时间的影响。方法 选取2023年3月—2023年6月绵阳市第三人民医院行MECT的82例精神疾病患者,采取随机数字表法分为观察组和对照组,分别有45、37例。对照组患者治疗后由医务人员根据自身经验对患者进行评估;观察组患者则采取格拉斯哥评定量表和洼田饮水试验法联合评定法干预,根据评估结果指导患者进食进水及服药。比较两组患者连续3次MECT后进食、进水、服药时间及呛咳、噎食发生率、患者治疗满意率情况。结果 观察组第1、2、3次MECT后进食时间、进水时间和服药时间均长于对照组(P <0.05)。观察组并发症总发生率低于对照组(P <0.05)。观察组总满意率高于对照组(P <0.05)。结论 采用格拉斯哥评定量表和洼田饮水试验法联合评定可较好掌握改良电休克治疗患者进水及进食时间,改善患者治疗体验和治疗舒适度,为进食和服药时间提供客观量化依据,有效地避免改良电休克治疗后发生呛咳噎食,还可提升患者治疗满意率。

当期目录


年第卷第

文章目录

过刊浏览

年份

刊期

点击排行

引用排行

下载排行