• 2026年第4期文章目次
    全 选
    显示方式: |
    • >乳腺肿瘤专题·论著
    • 吡咯替尼联合曲妥珠单抗、白蛋白结合型紫杉醇治疗Her-2阳性晚期乳腺癌的疗效分析

      2026, 36(4):1-6. DOI: 10.3969/j.issn.1005-8982.2026.04.001

      摘要 (141) HTML (136) PDF 631.86 K (94) 评论 (0) 收藏

      摘要:目的 分析吡咯替尼(Py)联合曲妥珠单抗、白蛋白结合型紫杉醇对人类表皮生长因子受体-2(Her-2)阳性晚期乳腺癌的治疗效果。方法 选取2019年1月-2024年1月中国人民解放军联勤保障部队第九〇四医院(无锡市太湖医院)收治的82例Her-2阳性晚期乳腺癌患者,按照不同治疗方法分为对照组和观察组。40例对照组采取曲妥珠单抗、白蛋白结合型紫杉醇治疗,42例观察组在对照组基础上加用Py治疗,比较两组治疗效果。结果 观察组客观缓解率和疾病控制率均高于对照组(P <0.05)。观察组治疗前后血清癌胚抗原、糖类抗原125、糖类抗原153、CD4+、CD8+、CD4+/CD8+、卡氏功能状态评分和乳腺癌患者生命质量测定量表评分的差值均大于对照组(P <0.05)。两组不良反应总发生率比较,差异无统计学意义(P >0.05)。观察组生存曲线优于对照组(P <0.05)。结论 Py联合曲妥珠单抗、白蛋白结合型紫杉醇治疗Her-2阳性晚期乳腺癌患者,可降低肿瘤标志物水平,增强机体抗肿瘤能力,提高患者生活质量和生存率,且未显著增加不良反应发生率,显示出良好的近期疗效与安全性。

      • 0+1
    • 真空辅助乳腺旋切术与常规开放切除术治疗乳腺良性肿物的围手术期指标对比研究

      2026, 36(4):7-12. DOI: 10.3969/j.issn.1005-8982.2026.04.002

      摘要 (104) HTML (21) PDF 665.13 K (63) 评论 (0) 收藏

      摘要:目的 探讨真空辅助乳腺旋切术(VABB)与常规开放切除术治疗乳腺良性肿物的围手术期临床效果差异。方法 回顾性分析2022年1月—2025年1月马鞍山市人民医院收治的222例乳腺良性肿物患者作为研究对象,根据不同手术方法将患者分为观察组(122例,VABB治疗)和对照组(100例,开放切除术)。比较两组患者围手术期指标、创口及恢复情况、美容效果指标、炎症应激指标、疼痛情况和术后并发症发生情况。结果 观察组手术时间短于对照组(P <0.05),术中出血量少于对照组(P <0.05)。观察组的切口长度、切口愈合时间、术后住院时间均短于对照组(P <0.05)。两组患者肿瘤残留率比较,差异无统计学意义(P >0.05)。观察组的血管分布、色素沉着、厚度及柔软度评分均低于对照组(P <0.05)。观察组术后降钙素原(PCT)、C反应蛋白(CRP)、中性粒细胞弹性蛋白酶(NE)和皮质醇(Cor)水平均低于对照组(P <0.05)。观察组手术前后PCT、CRP、NE、Cor的差值均小于对照组(P <0.05)。观察组与对照组术后1、3、5 d静息状态下疼痛数字评分法(NRS)评分比较,结果 ①不同时间点NRS评分比较,差异有统计学意义(P <0.05);②两组患者NRS评分比较,差异有统计学意义(P <0.05),观察组NRS评分较低,相对镇痛效果较好;③两组患者NRS评分变化趋势比较,差异有统计学意义(P <0.05)。观察组术后并发症总发生率低于对照组(P <0.05)。结论 VABB在保证肿瘤切除效果的同时,具有创伤小、恢复快、美容效果佳等优势,是治疗乳腺良性肿物的优选微创术式。

    • 血清EGFR、E-cadherin预测乳腺癌新辅助化疗疗效的价值

      2026, 36(4):13-18. DOI: 10.3969/j.issn.1005-8982.2026.04.003

      摘要 (81) HTML (21) PDF 617.68 K (72) 评论 (0) 收藏

      摘要:目的 探讨血清表皮生长因子受体(EGFR)、E-钙黏连蛋白(E-cadherin)预测乳腺癌新辅助化疗疗效的价值。方法 选取2020年1月—2023年3月绵阳市第三人民医院收治的151例行新辅助化疗的乳腺癌患者。采用多因素逐步Logistic回归模型分析影响因素,采用受试者工作特征(ROC)曲线验证诊断效能。结果 病理完全缓解(pCR)组肿瘤Ⅱ期占比、E-cadherin水平均高于非pCR组,pCR组KI-67抗原表达≥30%占比、癌胚抗原及EGFR水平均低于非pCR组。多因素逐步Logistic回归分析结果显示:肿瘤分期Ⅲ期[O^R=4.899(95% CI:2.016,11.909)]、EGFR水平高[O^R=3.904(95% CI:1.594,9.563)]、E-cadherin水平低[O^R=0.308(95% CI:0.127,0.748)]均为乳腺癌患者新辅助化疗不完全缓解的危险因素(P <0.05)。ROC曲线分析结果显示,EGFR、E-cadherin及联合模型预测新辅助化疗不完全缓解的敏感性分别为69.44%(95% CI:0.517,0.831)、72.22%(95% CI:0.546,0.852)、83.33%(95% CI:0.665,0.930),特异性分别为75.65%(95% CI:0.666,0.830)、70.43%(95% CI:0.611,0.784)、88.69%(95% CI:0.811,0.936)。曲线下面积分别为0.722(95% CI:0.609,0.834)、0.726(95% CI:0.629,0.822)和0.896(95% CI:0.826,0.966)。结论 血清EGFR、E-cadherin联合用于预测乳腺癌新辅助化疗疗效,可提高预测效能。

      • 0+1
    • 乳腺癌改良根治术后调强放疗的精细化调整

      2026, 36(4):19-25. DOI: 10.3969/j.issn.1005-8982.2026.04.004

      摘要 (73) HTML (23) PDF 652.78 K (65) 评论 (0) 收藏

      摘要:目的 探讨乳腺癌改良根治术后调强放疗计划系统(TPS)参数设置的影响。方法 回顾性分析2022年8月—2023年5月在中山市小榄人民医院行左侧乳腺癌改良根治术后调强放疗的14例患者。在放疗TPS中,对同一患者放疗计划的3个参数即最小子野面积(MSA)、最小机器跳数(MMU)和最大子野数(MNOS)先后设置不同数值,比较数值改变引起的剂量学参数[计划靶区的100%处方剂量覆盖体积(V100%)和110%处方剂量覆盖体积(V110%)、适形度指数(CI)、均匀性指数,危及器官中左肺接受5 Gy的肺体积、左肺接受20 Gy的肺体积(LV20)、左肺接受30 Gy的肺体积、左肺平均剂量,右肺接受5 Gy的肺体积(RV5)、右肺平均剂量,心脏接受30 Gy的组织体积、心脏平均剂量,脊髓最高值Cord]及执行参数计划执行时长的变化。结果 与初始计划(MSA=4 cm2)相比,MSA≥9 cm2时总机器跳数(OMU)降低(P <0.05);MSA≥16 cm2时计划执行时长降低(P <0.05);MSA≥49 cm2时ONOS降低(P <0.05);MSA≥64 cm2时V100%降低(P <0.05)。与初始计划(MMU=5)相比,MMU≥12时ONOS降低(P <0.05);MMU≥15时V110%和RV5升高(P <0.05),计划执行时长降低(P <0.05);MMU≥20时LV20升高(P <0.05),V100%和OMU降低(P <0.05);MMU≥25时CI降低(P <0.05),Cord升高(P <0.05)。其他MNOS与初始计划(MNOS=56)的ONOS和计划执行时长比较,差异均有统计学意义(P <0.05);ONOS和计划执行时长的变化与MNOS的大小变化一致。结论 在满足计划评估的前提下,乳腺癌改良根治术后调强放疗时适当调整TPS的参数值有利于提高执行效率。MSA最高可达49 cm2,MMU最高可达12,MNOS与执行时长密切相关,应谨慎设置。

    • >实验研究·论著
    • 自噬对小鼠围着床期子宫内膜容受性的影响

      2026, 36(4):26-34. DOI: 10.3969/j.issn.1005-8982.2026.04.005

      摘要 (81) HTML (22) PDF 4.98 M (83) 评论 (0) 收藏

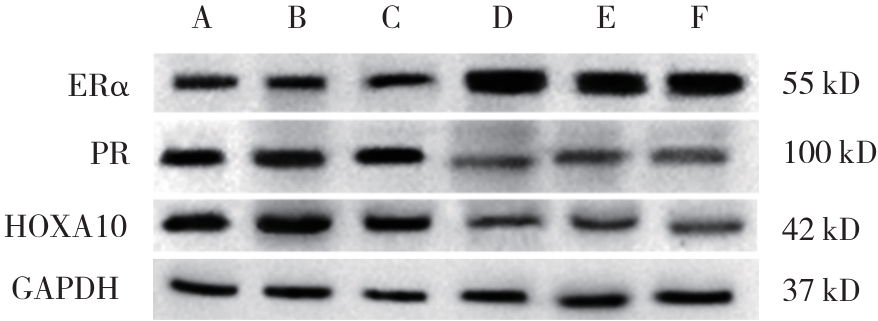
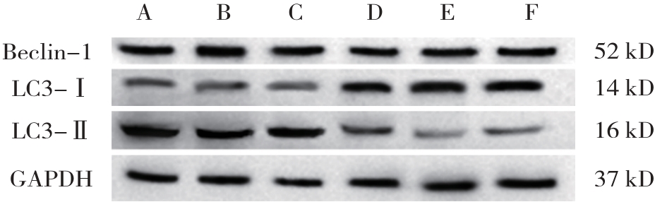
      摘要:目的 探究自噬对小鼠围着床期子宫内膜容受性的影响。方法 将36只ICR妊娠雌鼠随机分为空白组与自噬抑制剂组,每组18只。自噬抑制剂组自妊娠第1天(PD1)起,每日腹腔注射自噬抑制剂3-MA直至处死,空白组每日腹腔注射等量磷酸盐缓冲液(PBS)作为对照,各组分别于PD4、PD5、PD6以颈椎脱臼法处死6只小鼠。观察各组小鼠子宫形态,计数胚胎着床位点数,分别采用实时荧光定量聚合酶链反应、Western blotting检测子宫内膜组织中自噬相关因子Beclin-1、微管相关蛋白轻链3-Ⅰ(LC3-Ⅰ)、LC3-Ⅱ及子宫内膜容受性相关标志物雌激素受体α(ERα)、孕激素受体(PR)、同源框基因A10(HOXA10)mRNA与蛋白表达量,采用扫描电镜观察各组小鼠子宫内膜胞饮突形态,采用透射电镜观察子宫内膜细胞自噬体结构。结果 空白组PD4子宫无明显串珠状改变,PD5、PD6着床部位宫体膨大,形成串珠状,均匀分布,色泽红润;自噬抑制剂组PD4子宫色淡白、较细,无明显串珠状改变;PD5、PD6胚胎着床部位宫体轻度膨大,着床数目较少,分布不均匀,色淡红。自噬抑制剂组PD5、PD6胚胎着床位点数较空白组减少(P <0.05)。与空白组PD4、PD5、PD6比较,自噬抑制剂组PD4、PD5、PD6 LC3-Ⅱ mRNA相对表达量均降低(P <0.05)。与空白组PD4、PD5、PD6比较,自噬抑制剂组LC3-Ⅱ蛋白相对表达量、LC3-Ⅱ/LC3-Ⅰ比值均降低(P <0.05),LC3-Ⅰ蛋白相对表达量升高(P <0.05)。与空白组PD4、PD5、PD6比较,自噬抑制剂组PR mRNA相对表达量降低(P <0.05);与空白组PD4、PD5比较,自噬抑制剂组HOXA10 mRNA相对表达量降低(P <0.05)。与空白组PD4、PD5、PD6比较,自噬抑制剂组ERα蛋白相对表达量升高(P <0.05);与空白组PD5、PD6比较,自噬抑制剂组PD5、PD6 PR、HOXA10蛋白相对表达量均降低(P <0.05)。扫描电镜下,空白组PD4子宫内膜表面可见少量胞饮突,PD5、PD6胞饮突数目多,大小均一;自噬抑制剂组PD4子宫内膜表面胞饮突结构不明显且皱缩,PD5、PD6胞饮突数目少,大小不均。透射电镜下,空白组PD4子宫内膜细胞中自噬溶酶体数量较多,PD5、PD6数量减少;自噬抑制剂组PD4可见少量自噬溶酶体,PD5、PD6未见明显自噬溶酶体,较空白组明显减少。结论 自噬可能影响围着床期子宫内膜容受性的建立与调节,参与胚胎着床过程。

      • 0+1
      • 1+1
      • 2+1
      • 3+1
      • 4+1
    • >综述
    • Nrf2信号通路在肝脏缺血再灌注损伤中的保护机制及治疗前景的研究进展

      2026, 36(4):35-42. DOI: 10.3969/j.issn.1005-8982.2026.04.006

      摘要 (107) HTML (115) PDF 659.96 K (83) 评论 (0) 收藏

      摘要:肝脏缺血再灌注损伤(HIRI)是肝移植和肝切除术后常见且难以避免的并发症,其发病机制涉及多个病理生理过程,包括氧化应激、无菌性炎症、线粒体功能障碍和细胞凋亡等。核因子红细胞2相关因子2(Nrf2)是细胞抗氧化反应的关键调节因子,其通过激活血红素加氧酶-1、超氧化物歧化酶和谷胱甘肽等抗氧化因子的表达,维持细胞的氧化还原平衡。Nrf2还通过抑制促炎因子的释放及调控炎症信号通路,减轻炎症反应并减少细胞凋亡,从而保护肝脏。该文综述了Nrf2在HIRI中的作用机制,Nrf2激活剂的研究进展及其临床转化前景,并探讨了人工智能、类器官模型等前沿技术在Nrf2研究中的应用价值,旨在为基于Nrf2通路的HIRI防治策略提供理论依据。

    • 老年心脏外科手术患者发生术后房颤的影响因素研究进展

      2026, 36(4):43-47. DOI: 10.3969/j.issn.1005-8982.2026.04.007

      摘要 (90) HTML (34) PDF 603.92 K (46) 评论 (0) 收藏

      摘要:心房颤动(以下简称房颤)是一种常见的心律失常,严重可导致心力衰竭、血栓栓塞等并发症,威胁患者生命。房颤是心脏外科手术患者术后常见并发症,术后房颤(POAF)可增加患者并发症发生风险、延长住院时间和提高病死率。该文旨在对老年心脏外科手术患者发生POAF的影响因素进行综述,以期为临床预防和治疗老年心脏外科手术患者POAF提供参考依据。

    • >临床药学·论著
    • 喹硫平联合丙戊酸镁治疗对双相情感障碍主客观睡眠及白细胞介素-6受体mRNA表达的影响

      2026, 36(4):48-53. DOI: 10.3969/j.issn.1005-8982.2026.04.008

      摘要 (96) HTML (20) PDF 665.54 K (35) 评论 (0) 收藏

      摘要:目的 探讨喹硫平联合丙戊酸镁治疗对双相情感障碍患者主观和客观睡眠质量,以及白细胞介素-6(IL-6)受体mRNA表达的影响。方法 选取2022年3月—2024年2月太原市精神病医院收治的106例双相情感障碍患者,随机分为对照组和观察组,各53例。对照组接受丙戊酸镁治疗,观察组接受喹硫平联合丙戊酸镁治疗。比较两组的治疗效果及治疗前后睡眠质量和IL-6受体mRNA相对表达量。结果 观察组治疗总有效率为90.6%,高于对照组的69.8%(P <0.05)。观察组治疗前后匹兹堡睡眠质量指数评分的差值大于对照组(P <0.05)。观察组治疗前后总睡眠时间、睡眠效率、睡眠潜伏期、REM潜伏期和觉醒次数的差值均大于对照组(P <0.05)。观察组治疗前后IL-6受体mRNA相对表达量的差值大于对照组(P <0.05)。结论 喹硫平联合丙戊酸镁治疗能够显著提升双相情感障碍患者的主观和客观睡眠质量,并降低IL-6受体mRNA的表达,疗效优于单一丙戊酸镁治疗。

    • 丙泊酚-瑞芬太尼复合七氟醚在心脏外科手术中的麻醉效果研究

      2026, 36(4):54-59. DOI: 10.3969/j.issn.1005-8982.2026.04.009

      摘要 (63) HTML (14) PDF 635.64 K (33) 评论 (0) 收藏

      摘要:目的 探究丙泊酚-瑞芬太尼复合七氟醚在心脏外科手术中的麻醉效果。方法 选取2022年9月—2024年9月陆军第七十一集团军医院接收的103例心脏外科手术患者,按信封抽签法随机分为对照组(51例)和复合组(52例)。对照组给予丙泊酚、瑞芬太尼麻醉维持,复合组给予七氟醚吸入复合丙泊酚、瑞芬太尼麻醉维持。比较两组一般资料、术中血流动力学、苏醒指标、术后视觉模拟评分法(VAS)评分及不良反应。结果 复合组与对照组T0、T1、T2、T3时MAP、HR比较,结果 ①不同时间点MAP、HR比较,差异均有统计学意义(P <0.05);②复合组与对照组MAP、HR比较,差异均有统计学意义(P <0.05),复合组T1、T2时MAP高于对照组,T1、T2、T3时HR低于对照组;③两组MAP变化趋势比较,差异有统计学意义(P <0.05);两组HR变化趋势比较,差异无统计学意义(P >0.05)。复合组自主呼吸恢复时间、拔管时间、睁眼时间和语言应答时间均低于对照组(P <0.05)。复合组与对照组术后2、4、6 h的VAS评分比较,结果 ①不同时间点VAS评分比较,差异有统计学意义(P <0.05);②复合组与对照组VAS评分比较,差异有统计学意义(P <0.05),复合组VAS评分较低,相对镇痛效果较好;③两组VAS评分变化趋势比较,差异有统计学意义(P <0.05)。两组不良反应总发生率比较,差异无统计学意义(P >0.05)。结论 丙泊酚-瑞芬太尼复合七氟醚在心脏外科手术中的麻醉效果较为显著。

    • 卡瑞利珠单抗联合白蛋白结合型紫杉醇、顺铂在晚期食管癌中的应用研究

      2026, 36(4):60-65. DOI: 10.3969/j.issn.1005-8982.2026.04.010

      摘要 (69) HTML (14) PDF 623.59 K (36) 评论 (0) 收藏

      摘要:目的 探讨卡瑞利珠单抗联合白蛋白结合型紫杉醇、顺铂在晚期食管癌中的应用效果。方法 选取2023年8月—2025年3月在南京鼓楼医院集团宿迁医院接受治疗的98例晚期食管癌患者,按随机数字表法分为对照组和观察组,各49例。对照组接受白蛋白结合型紫杉醇、顺铂化疗,观察组在对照组基础上联合应用卡瑞利珠单抗。21 d为一个周期,两组均治疗4个周期。比较两组客观缓解率(ORR)和疾病控制率(DCR)、免疫功能、肿瘤标志物水平、外泌体中程序性死亡受体1(PD-1)、程序性死亡配体1(PD-L1)水平、吞咽功能和生活质量、不良反应发生情况。结果 观察组ORR、DCR均高于对照组(P <0.05);观察组治疗前后CD3、CD4、CD8 T细胞的差值均小于对照组(P <0.05);观察组治疗前后癌胚抗原、糖类抗原19-9、鳞状细胞癌抗原的差值均大于对照组(P <0.05);观察组治疗前后PD-1、PD-L1的差值均大于对照组(P <0.05);观察组治疗前后吞咽功能评定量表评分、食管癌生命质量测定量表评分的差值均大于对照组(P <0.05);两组不良反应总发生率比较,差异无统计学意义(P >0.05)。结论 卡瑞利珠单抗联合白蛋白结合型紫杉醇、顺铂方案可提高晚期食管癌患者ORR、DCR,改善患者免疫功能、吞咽功能与生活质量,同时未显著增加不良反应。

    • >临床研究·论著
    • 血小板-单核细胞聚集物水平、早期血钠浓度变异度对脓毒症合并急性肾损伤患者预后的预测价值

      2026, 36(4):66-71. DOI: 10.3969/j.issn.1005-8982.2026.04.011

      摘要 (62) HTML (22) PDF 673.00 K (36) 评论 (0) 收藏

      摘要:目的 探讨血小板-单核细胞聚集物(PMA)水平、早期血钠浓度变异度对脓毒症合并急性肾损伤(AKI)患者预后的预测价值。方法 选取2022年1月—2025年5月江苏大学附属人民医院重症医学科收治的154例脓毒症合并AKI患者作为研究对象,依据28 d生存结局,分为存活组(92例)和死亡组(62例)。收集患者临床资料,检测患者入院时PMA水平、早期血钠浓度变异度。比较两组PMA水平、血钠浓度变异度,通过多因素一般Logistic回归模型分析影响脓毒症合并AKI患者预后的危险因素,并绘制受试者工作特征(ROC)曲线评估其预测效能。结果 死亡组APACHE Ⅱ评分、SOFA评分、血清肌酐、胱抑素C、中性粒细胞明胶酶相关脂质运载蛋白(NGAL)、肾损伤分子-1(KIM-1)水平均高于存活组(P <0.05)。存活组PMA水平低于死亡组(P <0.05),早期血钠浓度变异度低于死亡组(P <0.05)。多因素一般Logistic回归分析结果显示:APACHE Ⅱ评分高[O^R=1.048(95% CI:1.003,1.095)]、SOFA评分高[O^R=1.128(95% CI:1.024,1.243)]、KIM-1水平高[O^R=1.191(95% CI:1.069,1.327)]、PMA水平高[O^R=1.033(95% CI:1.006,1.059)]及早期血钠浓度变异度大[O^R=1.253(95% CI:1.010,1.554)]均为脓毒症合并AKI患者28 d内死亡的危险因素(P <0.05)。ROC曲线结果表明,PMA、早期血钠浓度变异度联合预测的曲线下面积为0.983(95% CI:0.964,1.000),敏感性为95.2%(95% CI:0.892,0.990),特异性为95.7%(95% CI:0.892,0.988)。结论 APACHE Ⅱ评分、SOFA评分高、KIM-1水平高、PMA水平高、早期血钠浓度变异度大均为脓毒症合并AKI患者28 d内死亡的危险因素。PMA、早期血钠浓度变异度联合检测对脓毒症合并AKI患者预后的预测价值更高。

      • 0+1
    • 孕中期超声多切面检查对超重孕妇胎儿心脏畸形的诊断价值

      2026, 36(4):72-77. DOI: 10.3969/j.issn.1005-8982.2026.04.012

      摘要 (49) HTML (61) PDF 2.01 M (32) 评论 (0) 收藏

      摘要:目的 分析孕中期超声多切面检查对超重孕妇胎儿心脏畸形的诊断价值。方法 回顾性分析2023年6月—2024年12月在商洛市中心医院超声医学科进行孕中期心脏超声检查的114例超重孕妇的临床资料,所有孕妇行超声常规和超声多切面检查,分别在平卧位、侧卧位下完成检查,以随访结果为金标准,分析超声多切面检查的诊断效能及图像质量。结果 超声多切面检查平卧位和侧卧位图像满意度均高于超声常规检查(P <0.05);侧卧位超声多切面检查和超声常规检查图像满意度均高于平卧位(P <0.05)。随访结果显示,5例(4.39%)心脏畸形胎儿中,室间隔缺损1例、三尖瓣下移畸形2例、左心发育不良1例、单心室1例。超声常规检查的敏感性为20.0%(1/5),特异性为92.7%(101/109),准确度为89.5%(102/114);超声多切面检查的敏感性为80.0%(4/5),特异性为97.2%(106/109),准确度为96.5%(110/114);两者联合检查的敏感性、特异性、准确度均为100.0%。孕22~<24周的52例孕妇中,检出心脏畸形1例(1.92%),孕24~<26周的62例孕妇中,检出心脏畸形4例(6.45%)。结论 孕中期超声多切面检查可显著提高超重孕妇胎儿心脏畸形的检出准确性,图像质量优于超声常规检查。联合多切面与常规超声检查可使敏感性、特异性及准确度均达100%,推荐作为超重孕妇胎儿心脏畸形筛查的优选方案。

      • 0+1
      • 1+1
      • 2+1
    • 直肠癌三孔腹腔镜直肠前切除术中经自然腔道标本取出失败的预测模型

      2026, 36(4):78-83. DOI: 10.3969/j.issn.1005-8982.2026.04.013

      摘要 (52) HTML (20) PDF 713.38 K (32) 评论 (0) 收藏

      摘要:目的 构建直肠癌三孔腹腔镜直肠前切除术中经自然腔道标本取出(NOSE)失败的预测模型。方法 选取2021年3月—2023年3月苏州市立医院收治的123例行三孔腹腔镜直肠前切除术的直肠癌患者,根据NOSE是否成功分为成功组(39例)与失败组(84例)。比较两组临床资料,进行多因素一般Logistic回归分析,并构建预测模型和受试者工作特征(ROC)曲线。结果 失败组体质量指数>25 kg/m2、肿瘤梗阻率、肿瘤距肛缘距离>5 cm、肿瘤最大直径>5 cm、标本直径/肛管直径>0.8、直肠系膜脂肪厚度>3 cm占比均高于成功组(P <0.05);多因素一般Logistic分析结果表明:发生肿瘤梗阻[O^R=8.442(95% CI:0.007,1.800)]、肿瘤距肛缘距离>5 cm[O^R=6.965(95% CI:0.003,1.937)]、肿瘤最大直径>5 cm[O^R=4.681(95% CI:0.005,1.583)]、标本直径/肛管直径>0.8[O^R=5.064(95% CI:0.003,1.721)]、肠系膜脂肪厚度>3 cm[O^R=4.524(95% CI:0.005,1.562)]均为直肠癌三孔腹腔镜直肠前切除术中NOSE失败的危险因素(P <0.05);ROC曲线结果表明,联合肿瘤梗阻、肿瘤距肛缘距离>5 cm、肿瘤最大直径>5 cm、标本直径/肛管直径>0.8、肠系膜脂肪厚度>3 cm联合预测直肠癌三孔腹腔镜直肠前切除术中NOSE失败的AUC为0.825,敏感性为89.3%(95% CI:0.806,0.950),特异性为64.1%(95% CI:0.472,0.788)。结论 肿瘤梗阻、肿瘤距肛缘距离>5 cm、肿瘤最大直径>5 cm、标本直径/肛管直径>0.8、直肠系膜脂肪厚度>3 cm是直肠癌三孔腹腔镜直肠前切除术中NOSE失败的危险因素,且联合预测效能较好。

      • 0+1
      • 1+1
    • 局部进展期胃癌患者根治性切除术后的预后因素分析及模型构建

      2026, 36(4):84-90. DOI: 10.3969/j.issn.1005-8982.2026.04.014

      摘要 (71) HTML (24) PDF 750.52 K (26) 评论 (0) 收藏

      摘要:目的 分析行根治性切除术的局部进展期胃癌(LAGC)患者预后因素并构建预后模型。方法 回顾性分析2015年1月—2018年12月于苏州大学附属张家港医院行胃癌根治性切除术的186例LAGC患者的临床病理资料。随访5年,根据随访情况将研究对象分为生存组(112例)和死亡组(74例)。采用多因素Cox回归分析筛选影响LAGC患者预后的影响因素并构建列线图模型。结果 生存组年龄、肿瘤直径小于死亡组,低/中低肿瘤分化程度占比低于死亡组,临床肿瘤Ⅱ期占比高于死亡组,中性粒细胞与淋巴细胞比值(NLR)低于死亡组(P <0.05)。多因素一般Cox回归分析发现,年龄大[H^R=1.054(95% CI:1.014,1.096)]、肿瘤直径大[H^R=1.416(95% CI:1.117,1.794)]、临床分期Ⅲ期[H^R=3.474(95% CI:1.671,7.221)]和NLR高[H^R=2.598(95% CI:1.529,4.414)]是LAGC患者根治性切除术后的危险因素(P <0.05),肿瘤分化程度高或中高[H^R=0.339(95% CI:0.163,0.705)]是LAGC患者根治性切除术后的保护因素(P <0.05)。ROC曲线分析结果显示,联合检测的曲线下面积为0.821,敏感性为70.3%(95% CI:0.585,0.803),特异性为86.6%(95% CI:0.789,0.923)。高年龄组生存率低于低年龄组(P <0.05),肿瘤直径较大组生存率低于肿瘤直径较小组(P <0.05),低/中分化程度组生存率高于高/中分化程度组(P <0.05),临床分期Ⅱ期组生存率高于临床分期Ⅲ期组(P <0.05),高NLR组生存率低于低NLR组(P <0.05)。结论 年龄、肿瘤直径、肿瘤分化程度、临床分期和NLR是LAGC患者预后的影响因素,且年龄、肿瘤直径、肿瘤分化程度、临床分期和NLR联合检测对LAGC患者预后价值较高。

      • 0+1
      • 1+1
      • 2+1
    • 参松养心胶囊联合曲唑酮治疗稳定型心绞痛PCI术后慢性失眠患者的临床疗效研究

      2026, 36(4):91-96. DOI: 10.3969/j.issn.1005-8982.2026.04.015

      摘要 (88) HTML (104) PDF 712.26 K (36) 评论 (0) 收藏

      摘要:目的 探讨参松养心胶囊联合曲唑酮治疗稳定型心绞痛经皮冠状动脉介入治疗(PCI)术后慢性失眠患者的临床疗效。方法 选取2022年4月—2025年3月在宝鸡市人民医院就诊的稳定型心绞痛PCI术后慢性失眠患者84例,采用随机数字表法将其分成观察组、对照组,各42例。术后两组均接受常规治疗,对照组在常规治疗基础上口服曲唑酮;观察组在对照组基础上口服参松养心胶囊。比较两组睡眠质量、炎症反应指标、心肌损伤指标、多导睡眠图参数及心血管不良事件发生情况。结果 观察组治疗前后匹兹堡睡眠质量指数(PSQI)的差值大于对照组(P <0.05);观察组治疗前后白细胞介素-6、超敏C反应蛋白、肿瘤坏死因子α的差值均大于对照组(P <0.05);观察组治疗前后脑钠肽、心脏型脂肪酸结合蛋白的差值均大于对照组(P <0.05);观察组治疗前后觉醒次数、慢波睡眠时长、睡眠潜伏期的差值均大于对照组(P <0.05);观察组心血管不良事件总发生率低于对照组(P <0.05)。结论 参松养心胶囊联合曲唑酮可改善稳定型心绞痛PCI术后慢性失眠患者睡眠质量,改善多导睡眠图参数,减轻炎症反应与心肌损伤,降低心血管不良事件发生风险。

    • 经皮后路脊柱内镜全可视化下多节段半椎板切除治疗颈椎管狭窄症的临床研究

      2026, 36(4):97-102. DOI: 10.3969/j.issn.1005-8982.2026.04.016

      摘要 (76) HTML (22) PDF 615.99 K (35) 评论 (0) 收藏

      摘要:目的 探究颈椎管狭窄症(CS)患者应用颈后路脊柱内镜全可视多节段半椎板切除减压椎管扩大成形术的临床应用研究。方法 选取2023年8月—2024年12月新余市中医院收治的60例CS患者,采用随机数字表法将其分为对照组和治疗组,各30例。对照组采用后路单开门椎管扩大成形术进行治疗,治疗组采用颈后路脊柱内镜全可视多节段半椎板切除减压椎管扩大成形术进行治疗。比较两组围手术期指标、影像学评价指标、日本骨科协会(JOA)评分、颈椎功能障碍指数(NDI)评分、视觉模拟评分法(VAS)和并发症发生情况。结果 对照组手术时间、住院时间均长于治疗组(P <0.05),术中失血量大于治疗组(P <0.05)。治疗组JOA改善率高于对照组(P <0.05)。治疗组术后NDI、VAS评分均低于对照组(P <0.05)。术后两组NDI、VAS评分均较术前降低(P <0.05)。治疗组手术前后NDI、VAS评分的差值均大于对照组(P <0.05)。治疗组术后C1~C2 Cobb角均大于对照组(P <0.05)。术后两组C1~C2 Cobb角较术前增大(P <0.05),C2~C7 Cobb角较术前减小(P <0.05)。治疗组手术前后C1~C2 Cobb角、C2~C7 Cobb角的差值均大于对照组(P <0.05)。对照组与治疗组并发症总发生率比较,差异无统计学意义(P >0.05)。结论 颈后路脊柱内镜全可视多节段半椎板切除减压椎管扩大成形术能给CS患者带来明确疗效,该术式能缩短手术时间和住院时间,减少术中出血量,并有效改善症状,提高颈椎功能,有利于术后恢复。

    • Nd:YAG激光联合普萘洛尔治疗颌面部血管瘤的临床疗效观察

      2026, 36(4):103-107. DOI: 10.3969/j.issn.1005-8982.2026.04.017

      摘要 (55) HTML (8) PDF 650.46 K (36) 评论 (0) 收藏

      摘要:目的 探究Nd:YAG激光联合普萘洛尔治疗颌面部血管瘤的临床疗效。方法 选取2020年5月—2023年5月兴安盟人民医院收治的60例颌面部血管瘤患者,按随机数字表法分为对照组和观察组,各30例。对照组采取Nd:YAG激光治疗,观察组在对照组基础上联合使用普萘洛尔。比较两组治疗效果、血流动力学指标、血管生成因子、瘤体消退程度、不良反应、复发状况。结果 观察组治疗总有效率高于对照组(P <0.05)。观察组治疗前后血流峰值、阻力系数、血管内皮生长因子、碱性成纤维细胞、血管瘤活跃度量表评分的差值均大于对照组(P <0.05)。两组不良反应总发生率比较,差异无统计学意义(P >0.05)。随访2年,观察组复发率低于对照组(P <0.05)。结论 Nd:YAG激光结合普萘洛尔治疗颌面部血管瘤效果显著,可改善血管生成因子、血流动力学指标,促进瘤体消退,复发率较低且安全性良好。

    • 超声引导下肩关节囊周神经阻滞与肌间沟臂丛神经阻滞在肩关节镜术后恢复效果的比较

      2026, 36(4):108-114. DOI: 10.3969/j.issn.1005-8982.2026.04.018

      摘要 (68) HTML (14) PDF 843.66 K (39) 评论 (0) 收藏

      摘要:目的 探讨超声引导下肩关节囊周神经阻滞(PENG)与肌间沟臂丛神经阻滞(ISB)在肩关节镜术后恢复的效果。方法 采用非劣效性研究设计,选取2023年1月—2024年6月于嘉兴市第二医院行单侧肩关节镜下肩袖修补手术的190例患者,按照区组随机化的方法随机分为PENG组、ISB组,各95例。术后PENG组失访6例,ISB组失访4例,最终研究纳入PENG组89例、ISB组91例。比较两组术后恢复质量评定量表(QoR-40)评分、疼痛数字评分量表(NRS)评分、第1次镇痛补救时间、镇痛补救率、术后镇痛泵按压次数、麻醉剂用量及不良反应。结果 PENG组治疗前与术后24 h QoR-40评分的差值小于ISB组(P <0.05)。PENG组与ISB组术后30 min和4、8、12、24、48 h静息状态NRS评分比较,结果 ①不同时间点NRS评分比较,差异有统计学意义(P <0.05);②PENG组与ISB组NRS评分比较,差异有统计学意义(P <0.05),PENG组NRS评分更低;③两组NRS评分变化趋势比较,差异有统计学意义(P <0.05)。PENG组补救镇痛率低于ISB组(P <0.05),镇痛泵按压次数少于ISB组(P <0.05)。PENG组术后反跳痛发生率低于ISB组(P <0.05)。结论 超声引导下肩关节PENG在肩关节镜术后的恢复效果与ISB相当;PENG对RCI患者可实现有效镇痛,且安全性良好。

      • 0+1

当期目录


年第卷第

文章目录

过刊浏览

年份

刊期

点击排行

引用排行

下载排行