• 2026年第5期文章目次
    全 选
    显示方式: |
    • >脑梗死专题·论著
    • 血清D-二聚体、NLR联合CTP对急性脑梗死溶栓后出血转化的评估价值

      2026, 36(5):1-6. DOI: 10.3969/j.issn.1005-8982.2026.05.001

      摘要 (88) HTML (30) PDF 649.55 K (60) 评论 (0) 收藏

      摘要:目的 探究血清D-二聚体(D-D)、中性粒细胞与淋巴细胞比值(NLR)联合CT灌注成像(CTP)对急性脑梗死(ACI)溶栓后出血转化的评估价值。方法 选取2022年2月—2025年3月阜阳市人民医院收治的100例ACI患者,根据是否溶栓后出血转化分为非出血组(74例)和出血组(26例)。比较两组一般资料及血清D-D、NLR的表达,并根据CTP图像分析相关参数。采用多因素一般Logistic回归模型分析ACI患者溶栓后出血转化的影响因素,绘制受试者工作特征(ROC)曲线分析血清D-D、NLR联合CTP对ACI患者溶栓后出血转化的预测价值。结果 出血组的心源性栓塞型占比、收缩压、大面积梗死占比、NIHSS评分、D-D水平、NLR均高于非出血组(P <0.05)。出血组的相对脑血流量(rCBF)、相对脑血容量(rCBV)低于非出血组,相对达峰时间(rTTP)高于非出血组(P <0.05)。多因素一般Logistic回归分析结果显示,梗死面积、收缩压、NIHSS评分、D-D、NLR、rCBF、rCBV、rTTP是ACI患者溶栓后出血转化的影响因素(P <0.05)。ROC曲线分析结果表明,血清D-D、NLR、CTP联合预测的曲线下面积为0.951(95% CI:0.882,1.000),敏感性为96.2%(95% CI:0.804,0.999),特异性为93.2%(95% CI:0.849,0.978)。结论 血清D-D、NLR联合CTP对ACI患者溶栓后出血转化有着良好的预测价值。

      • 0+1
    • 阿司匹林对急性大动脉主干闭塞性脑梗死后癫痫发作的影响

      2026, 36(5):7-13. DOI: 10.3969/j.issn.1005-8982.2026.05.002

      摘要 (57) HTML (17) PDF 648.04 K (63) 评论 (0) 收藏

      摘要:目的 分析阿司匹林对急性大动脉主干闭塞性脑梗死后癫痫发作的影响。方法 回顾性选取2019年1月—2022年12月于连云港市第一人民医院神经内科住院,诊断为急性大动脉主干闭塞性脑梗死,并为首次发作的患者384例。收集患者临床资料,以电话随访或上门随访的形式对患者开展为期2年的随访。依据患者是否出现癫痫,将其分为发作组与未发作组。采用多因素一般Logistic回归模型分析急性大动脉主干闭塞性脑梗死后癫痫发作的影响因素。结果 最终295例患者完成随访,其中,90例(30.51%)患者发生癫痫。发作组入院美国国立卫生研究院卒中量表(NIHSS)评分、出血转化率、梗死累及顶叶率和颞叶率均高于未发作组(P <0.05),阿司匹林使用率低于未发作组(P <0.05)。多因素一般Logistic回归分析结果显示:入院NIHSS评分高[O^R =1.428(95% CI:1.241,1.637)]、出血转化[O^R =3.976(95% CI:1.713,9.123)]、梗死累及顶叶[O^R =2.125(95% CI:1.095,4.120)]、梗死累及颞叶[O^R =5.470(95% CI:2.608,11.512)]均为急性大动脉主干闭塞性脑梗死后癫痫发作的危险因素(P <0.05),应用阿司匹林[O^R =0.182(95% CI:0.087,0.401)]为急性大动脉主干闭塞性脑梗死后癫痫发作的保护因素(P <0.05)。不同药物治疗急性大动脉主干闭塞性脑梗死患者癫痫发作次数等级的比较,差异无统计学意义(P >0.05)。结论 阿司匹林可能降低急性大动脉主干闭塞性脑梗死后癫痫的发生。

    • 依达拉奉右莰醇联合阿托伐他汀治疗缺血性脑血管病合并颈动脉粥样硬化的机制与临床疗效探讨

      2026, 36(5):14-19. DOI: 10.3969/j.issn.1005-8982.2026.05.003

      摘要 (59) HTML (20) PDF 630.24 K (43) 评论 (0) 收藏

      摘要:目的 探讨依达拉奉右莰醇联合阿托伐他汀治疗缺血性脑血管病(ICVD)合并颈动脉粥样硬化(CAS)的机制与临床疗效。方法 回顾性分析2021年12月—2024年12月贵航贵阳三〇〇医院收治的98例ICVD合并CAS患者的临床资料,按治疗方法分为阿托伐他汀组和联合组,各49例。阿托伐他汀组采用阿托伐他汀治疗,联合组在阿托伐他汀组的基础上联合依达拉奉右莰醇治疗。比较两组的一般资料、临床疗效、美国国立卫生研究院卒中量表(NIHSS)评分、Barthel指数(BI)、CAS程度,以及可溶性CD40配体(sCD40L)、脂蛋白相关磷脂酶A2(Lp-PLA2)、糖化白蛋白(GA)水平。结果 两组一般资料比较,差异无统计学意义(P >0.05)。联合组的临床总有效率高于阿托伐他汀组(P <0.05);治疗后,联合组的NIHSS评分低于阿托伐他汀组,BI评分高于阿托伐他汀组(P <0.05);联合组治疗前后NIHSS评分、BI评分的差值均大于阿托伐他汀组(P <0.05)。治疗后,联合组的颈动脉内膜中层厚度(IMT)、粥样斑块直径、斑块数量均低于阿托伐他汀组(P <0.05);联合组治疗前后IMT、粥样斑块直径、斑块数量的差值均大于阿托伐他汀组(P <0.05)。治疗后,联合组的sCD40L、Lp-PLA2、GA水平均低于阿托伐他汀组(P <0.05);联合组治疗前后sCD40L、Lp-PLA2、GA水平的差值均大于阿托伐他汀组(P <0.05)。结论 依达拉奉右莰醇联合阿托伐他汀能够显著提升ICVD合并CAS患者的临床疗效,改善神经功能,并有效减轻动脉粥样硬化负荷和系统性炎症反应,其作用机制可能与协同抗氧化、抗炎、降脂、改善代谢等多重路径有关。

    • 远隔缺血适应对急性缺血性脑卒中患者脑血流动力学及近期预后的影响

      2026, 36(5):20-26. DOI: 10.3969/j.issn.1005-8982.2026.05.004

      摘要 (55) HTML (25) PDF 611.80 K (55) 评论 (0) 收藏

      摘要:目的 研究远隔缺血适应对急性缺血性脑卒中(AIS)患者脑血流动力学及近期预后的影响。方法 前瞻性纳入2024年12月—2025年4月合肥市第一人民医院神经内科收治的80例AIS患者,随机分为治疗组和对照组。对照组予以标准药物治疗,治疗组在标准药物治疗的基础上进行远隔缺血适应治疗,1次/d,连续7 d。对比入院时和治疗7 d时两组患者双侧大脑中动脉经颅多普勒超声检测指标变化,包括收缩期峰值流速、平均流速、舒张末流速、血管搏动指数及血管阻力指数。比较两组病程90 d的转归良好构成,改良Rankin量表0~1分定义为转归良好。结果 80例AIS患者中,68例(85%)完成了治疗,治疗组33例,对照组35例。两组的年龄、性别构成、吸烟构成、高血压构成、糖尿病构成、高脂血症构成、同型半胱氨酸水平、低密度脂蛋白胆固醇水平、入院时美国国立卫生研究院卒中量表(NIHSS)评分、入院时改良Rankin量表和病程90 d患者功能转归良好构成比较,差异均无统计学意义(P >0.05)。治疗组治疗后右侧大脑中动脉血管搏动指数及血管阻力指数均低于对照组(P <0.05),治疗组治疗前后右侧大脑中动脉血管搏动指数及血管阻力指数的差值均大于对照组(P <0.05)。结论 短期远隔缺血适应能够改善AIS患者的脑血流动力学,降低脑远端血管阻力,但对病程90 d的良好转归无明显影响,可能需要较长周期的适应性治疗以观察其近远期影响。

    • 依达拉奉右莰醇注射液联合阿替普酶静脉溶栓治疗急性缺血性脑卒中的疗效分析

      2026, 36(5):27-32. DOI: 10.3969/j.issn.1005-8982.2026.05.005

      摘要 (59) HTML (15) PDF 635.81 K (39) 评论 (0) 收藏

      摘要:目的 分析依达拉奉右莰醇注射液联合阿替普酶静脉溶栓治疗急性缺血性脑卒中的疗效。方法 选取2022年6月—2025年6月在长安医院确诊的急性缺血性脑卒中患者100例,依据1∶1比例分为对照组(50例,阿替普酶静脉溶栓治疗)和试验组(50例,依达拉奉右莰醇注射液联合阿替普酶静脉溶栓治疗)。比较两组的疗效、脑血管血流动力学指标[脉搏波波速(Wv)、血流速度最小值(Vmin)、动态阻抗(DR)、外周阻力(R)]、神经功能[神经功能缺损程度(NDS)评分、美国国立卫生研究院卒中量表(NIHSS)评分]、氧化应激状况[丙二醛(MDA)、谷胱甘肽过氧化物酶(GSH-Px)、超氧化物歧化酶(SOD)]、内皮素-1(ET-1)、细胞间黏附分子-1(ICAM-1)、基质金属蛋白酶-9(MMP-9)、不良反应(恶心呕吐、发热、皮疹、胃肠道反应、血尿)。结果 试验组治疗总有效率高于对照组(P <0.05);试验组治疗后Wv、DR、R均低于对照组,Vmin高于对照组(P <0.05);试验组治疗后NDS评分、NIHSS评分均低于对照组(P <0.05);试验组治疗后MDA低于对照组,GSH-Px、SOD高于对照组(P <0.05);试验组治疗后ET-1、ICAM-1、MMP-9水平低于对照组(P <0.05)。试验组与对照组不良反应总发生率比较,差异无统计学意义(P >0.05)。结论 依达拉奉右莰醇联合阿替普酶溶栓可产生协同神经保护效应,不仅提升临床疗效,还能改善脑血流动力学参数并促进神经功能恢复,减轻氧化应激及炎症反应,且安全性较好。

    • 加味涤痰汤联合吡拉西坦注射液对脑卒中患者认知功能、脑血流动力学参数及日常生活能力的影响

      2026, 36(5):33-38. DOI: 10.3969/j.issn.1005-8982.2026.05.006

      摘要 (46) HTML (14) PDF 646.17 K (58) 评论 (0) 收藏

      摘要:目的 评估加味涤痰汤联合吡拉西坦注射液对脑卒中后患者认知功能、脑血流动力学参数及日常生活能力的影响。方法 选取2019年2月—2024年2月在安康市中医医院治疗的122例脑卒中患者,采用随机数字表法分为对照组(吡拉西坦注射液)和联合组(吡拉西坦注射液联合加味涤痰汤),各61例。比较两组患者的认知功能[神经行为认知状态检查表(NCSE)、蒙特利尔认知评估量表(MoCA)]、神经功能[美国国立卫生研究院卒中量表(NIHSS)]、脑血流动力学[中脑动脉(MCA)、基底动脉(BA)、平均血流速度(Vmean)]、近期预后[日常生活能力(ADL)]及不良反应。结果 联合组治疗前后NCSE、MoCA评分的差值均大于对照组(P <0.05)。联合组治疗前后NIHSS评分的差值大于对照组(P <0.05)。联合组治疗前后MCA、BA、Vmean的差值均大于对照组(P <0.05)。联合组治疗前后ADL评分的差值均大于对照组(P <0.05)。联合组与对照组患者不良反应总发生率比较,差异无统计学意义(P >0.05)。结论 加味涤痰汤联合吡拉西坦注射液能有效改善脑卒中后患者的认知功能和脑血流动力学参数,有助于改善患者的日常生活能力,治疗安全,适合临床推广应用。

    • >实验研究·论著
    • 失巢凋亡相关基因在脑梗死中的表达及电针治疗的可能机制研究

      2026, 36(5):39-48. DOI: 10.3969/j.issn.1005-8982.2026.05.007

      摘要 (51) HTML (8) PDF 2.63 M (23) 评论 (0) 收藏

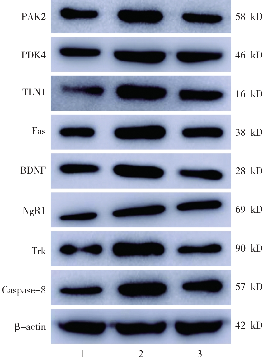
      摘要:目的 探讨失巢凋亡相关基因和microRNA(miRNA)在脑梗死中的作用,并探索电针治疗的潜在机制。方法 从GSE16561和GSE22255数据集中收集脑梗死患者和对照组的mRNA表达数据,通过基因集变异分析(GSVA)和基因集富集分析(GSEA)评估失巢凋亡的活化状态,并利用差异表达分析鉴定差异表达mRNAs(DEmRs)。结合Lasso回归、随机森林和XGBoost模型筛选与脑梗死诊断相关的关键基因,并绘制受试者工作特征(ROC)曲线评估其诊断效能。同时,从GSE110993数据集中获取microRNAs表达数据,鉴定DEmiRs,并通过ENCORI和miRtarbase数据库预测调控关键基因的候选miRNAs,与DEmiRs进行交集分析。此外,复制大鼠大脑中动脉栓塞模型并收集脑组织样本,分为对照组、模型组和模型+电针治疗组,通过TTC染色、酶联免疫吸附试验、实时荧光定量聚合酶链反应和Western blotting检测脑损伤程度、炎症因子水平、失巢凋亡相关基因及蛋白的表达变化。结果 GSVA和GSEA表明失巢凋亡在脑梗死中活化。共鉴定出27个失巢凋亡相关DEmRs,并通过多模型分析筛选出踝蛋白1(TLN1)、丙酮酸脱氢酶激酶4(PDK4)、p21活化激酶2(PAK2)和肉碱棕榈酰转移酶1A(CPT1A)对脑梗死具有诊断价值,其曲线下面积均较高。在miRNA层面,预测了hsa-miR-369-3p调控TLN1、PDK4和PAK2,hsa-miR-26b-5p调控PAK2,hsa-miR-20a-5p和hsa-miR-17-5p调控PDK4。与对照组比较,模型组大鼠脑损伤和炎症因子水平升高,hsa-miR-369-3p、hsa-miR-26b-5p、hsa-miR-20a-5p和hsa-miR-17-5p的表达降低,而TLN1、PDK4、PAK2及失巢凋亡相关蛋白水平升高(P <0.05)。与模型组比较,模型+电针治疗组显著缓解了脑缺血损伤,上述miRNAs表达升高,而TLN1、PDK4、PAK2及相关蛋白的表达降低(P <0.05)。结论 失巢凋亡在脑梗死病理过程中发挥重要作用,电针治疗可能通过调控失巢凋亡相关miRNAs及靶基因表达改善脑缺血损伤,为脑梗死的治疗提供了新思路。

      • 0+1
      • 1+1
      • 2+1
      • 3+1
      • 4+1
      • 5+1
      • 6+1
      • 7+1
      • 8+1
    • >综述
    • 蜂毒磷脂酶A2的药理作用及其临床应用的研究进展

      2026, 36(5):49-55. DOI: 10.3969/j.issn.1005-8982.2026.05.008

      摘要 (57) HTML (9) PDF 1.41 M (52) 评论 (0) 收藏

      摘要:蜂毒是重要的生物医药资源,其核心组分之一分泌型第三组磷脂酶A2(以下简称蜂毒ⅢsPLA2)展现出复杂的生物学功能。蜂毒ⅢsPLA2既是引发Ⅰ型超敏反应的主要过敏原,又是一种具备广谱药理活性的多效分子。近年来研究揭示,蜂毒ⅢsPLA2通过酶活性依赖和非酶活性依赖(配体)两种模式,在机体内发挥关键作用,其核心机制在于通过诱导调节性T细胞分化,发挥强大的免疫调节与抗炎效应,在自身免疫性疾病、神经退行性疾病和器官损伤模型中显示出治疗潜力;此外,其还具备抗神经元损伤、抗肿瘤及抗感染等药理活性。该文系统综述了蜂毒ⅢsPLA2的分子特性、以免疫调节为核心的药理作用及其临床应用研究的最新进展,旨在为该分子的后续转化研究提供理论参考。

      • 0+1
      • 1+1
      • 2+1
    • 浆细胞样树突状细胞在多发性硬化中的作用研究进展

      2026, 36(5):56-61. DOI: 10.3969/j.issn.1005-8982.2026.05.009

      摘要 (57) HTML (12) PDF 1.80 M (29) 评论 (0) 收藏

      摘要:多发性硬化是一种以中枢神经系统脱髓鞘和轴突损伤为特征的自身免疫性疾病。浆细胞样树突状细胞因其在抗病毒免疫和免疫调节中的独特地位,逐渐成为多发性硬化研究的焦点。该文系统综述了浆细胞样树突状细胞的生物学特征及免疫功能,重点分析其在多发性硬化中向中枢募集的特征、功能亚型的变化及成熟功能的缺陷。同时,总结了当前多种临床多发性硬化治疗药物对浆细胞样树突状细胞功能的影响。深入理解浆细胞样树突状细胞的作用机制,为揭示多发性硬化发病机制和开发新型靶向治疗策略提供新的思路。

      • 0+1
      • 1+1
    • 影像学技术在肝癌外科诊疗中的应用

      2026, 36(5):62-68. DOI: 10.3969/j.issn.1005-8982.2026.05.010

      摘要 (66) HTML (19) PDF 627.75 K (32) 评论 (0) 收藏

      摘要:该文系统综述影像学技术在肝癌诊疗中的应用,分析不同影像技术的特点和优势,重点探讨其在肝癌外科诊疗中的实践价值,包括术前规划与手术模拟、术中影像导航、术后疗效评估及术后复发预测,以期为肝癌外科诊疗的优化提供参考。

    • >临床药学·论著
    • 瑞马唑仑复合丙泊酚对学龄期患儿无痛胃镜检查追加情况的影响

      2026, 36(5):69-75. DOI: 10.3969/j.issn.1005-8982.2026.05.011

      摘要 (37) HTML (9) PDF 802.95 K (23) 评论 (0) 收藏

      摘要:目的 探讨瑞马唑仑复合丙泊酚在学龄期患儿无痛胃镜检查中的应用效果,重点分析其对药物追加情况的影响,同时评估血流动力学稳定性、临床相关指标及不良反应发生情况。方法 选取2023年6月—2025年6月在西安市儿童医院行无痛胃镜检查的150例学龄期患儿为研究对象,采用随机数字表法将其分为丙泊酚组(P组)、瑞马唑仑组(R组)、瑞马唑仑复合丙泊酚组(RP组),每组50例。P组患儿采用丙泊酚进行麻醉诱导与维持,R组患儿采用瑞马唑仑进行麻醉诱导与维持,RP组患儿采用瑞马唑仑复合丙泊酚进行麻醉诱导与维持。比较3组患儿在不同时刻[麻醉诱导前(T0)、胃镜入镜时(T1)、退镜结束时(T2)、苏醒即刻(T3)]血流动力学指标[心率(HR)、收缩压(SBP)、舒张压(DBP)],记录并分析3组患儿的药物用量及药物追加次数,统计3组患儿的临床相关指标(麻醉起效时间、苏醒时间、胃镜检查时间),同时观察并比较3组患儿不良反应发生情况。结果 P组、R组及RP组T0、T1、T2、T3血流动力学指标比较,结果 ①不同时间点HR、SBP、DBP比较,差异有统计学意义(P <0.05);②P组、R组、RP组HR、SBP、DBP比较,差异无统计学意义(P >0.05);③3组HR、SBP、DBP变化趋势比较,差异无统计学意义(P >0.05)。RP组丙泊酚用量低于P组(P <0.05),RP组瑞马唑仑用量低于R组(P <0.05)。RP组药物追加次数均小于P组和R组(P <0.05)。RP组麻醉起效时间慢于P组、快于R组(P <0.05);RP组苏醒时间短于P组和R组(P <0.05);RP组胃镜检查时间短于P组和R组(P <0.05)。RP组低血压发生率低于R组(P <0.05),P组呃逆发生率低于R组(P <0.05)。RP组患儿发生≥2种并发症例数低于P组和R组(P <0.05)。结论 在学龄期患儿无痛胃镜检查中,瑞马唑仑复合丙泊酚麻醉可减少单一药物用量及追加次数,维持SBP稳定,缩短苏醒时间与胃镜检查时间,降低低血压等不良反应发生率,安全性与有效性优于单一用药,可作为学龄期患儿无痛胃镜检查的优选麻醉方案。

    • 艾司氯胺酮麻醉诱导与维持对老年胃癌手术患者血流动力学和脑氧代谢的影响

      2026, 36(5):76-82. DOI: 10.3969/j.issn.1005-8982.2026.05.012

      摘要 (39) HTML (7) PDF 714.96 K (17) 评论 (0) 收藏

      摘要:目的 探讨艾司氯胺酮麻醉诱导与维持对老年胃癌手术患者血流动力学和脑氧代谢的影响。方法 选取2023年1月—2025年1月在唐山市工人医院接受胃癌手术的102例患者为研究对象,采用随机数字表法分为观察组和对照组,各51例。观察组麻醉诱导时持续静脉泵注0.25 mg/(kg·h)艾司氯胺酮,麻醉维持时静脉泵注0.25 mg/(kg·h)艾司氯胺酮至手术结束前30 min;对照组在相应时点给予等量生理盐水;其余所用麻醉诱导及维持药物两组相同。记录患者麻醉前(T0)、切皮时(T1)、手术开始15 min(T2)、手术结束时(T3)的心率(HR)和平均动脉压(MAP),比较两组患者的睁眼时间、拔管时间、PACU停留时间和术后住院时间;比较两组患者术前和术后24 h神经损伤生物标志物[中枢神经特异性蛋白β(S100β)、神经元特异性烯醇化酶(NSE)]和脑氧代谢动力学参数[颈静脉血氧饱和度(SjvO2)、脑动静脉血氧含量差(Da-jvO2)、脑氧摄取率(CERO2)];记录不良反应发生情况。结果 观察组与对照组术后T0、T1、T2、T3的MAP和HR比较,采用重复测量设计的方差分析,结果 ①不同时间点的MAP、HR比较,差异有统计学意义(P <0.05);②两组的MAP、HR比较,差异有统计学意义(P <0.05),观察组MAP和HR更稳定;③两组MAP、HR的变化趋势比较,差异有统计学意义(P <0.05)。观察组术后住院时间短于对照组(P <0.05)。观察组治疗后S100β、NSE均低于对照组(P <0.05);观察组治疗前后S100β、NSE的差值均小于对照组(P <0.05)。观察组治疗后SjvO2低于对照组,Da-jvO2、CERO2高于对照组(P <0.05);观察组治疗前后SjvO2、Da-jvO2、CERO2的差值均小于对照组(P <0.05)。观察组与对照组不良反应总发生率比较,差异无统计学意义(P >0.05)。结论 艾司氯胺酮麻醉诱导可有效维持老年胃癌手术患者术中血流动力学稳定,改善术后脑氧代谢,缩短术后住院时间,且未增加不良反应总发生率。

    • >临床研究·论著
    • 彩色多普勒超声联合胎心监护及母体高危因素评估晚发型胎儿宫内生长受限孕妇妊娠结局的价值

      2026, 36(5):83-88. DOI: 10.3969/j.issn.1005-8982.2026.05.013

      摘要 (43) HTML (6) PDF 706.51 K (15) 评论 (0) 收藏

      摘要:目的 探讨彩色多普勒超声检测联合胎心监护及母体高危因素评估晚发型胎儿宫内生长受限(LO-FGR)孕妇妊娠结局的价值。方法 回顾性分析2021年7月—2025年3月南京医科大学附属淮安第一医院90例LO-FGR孕妇的临床资料。新生儿出生前进行彩色多普勒超声检测和胎心监护,根据新生儿妊娠结局分为妊娠良好组与不良妊娠结局组。比较两组基础资料。采用多因素一般Logistic回归模型分析LO-FGR孕妇妊娠结局的影响因素。绘制受试者工作特征(ROC)曲线分析静脉导管PI、胎心监护、子痫前期史、子宫动脉有舒张早期切迹预测LO-FGR孕妇不良妊娠结局的价值。结果 90例LO-FGR孕妇中,有54例发生不良妊娠结局,不良妊娠结局率为60.00%。不良妊娠结局组子痫前期史率、静脉导管搏动指数(PI)、子宫动脉舒张早期切迹率均高于妊娠良好组(P <0.05),不良妊娠结局组胎心监护反应型占比低于妊娠良好组(P <0.05)。多因素一般Logistic回归分析结果显示:静脉导管PI高[O^R =3.202(95% CI:1.582,6.479)]、有子痫前期史[O^R =7.740(95% CI:1.700,35.250)]、子宫动脉有舒张早期切迹[O^R =11.279(95% CI:2.477,51.349)]、胎心监护结果无反应型+可疑型[O^R =11.784(95% CI:2.546,54.536)]均为LO-FGR孕妇不良妊娠结局的危险因素(P <0.05)。ROC曲线结果显示,静脉导管PI、胎心监护、子痫前期史、子宫动脉有舒张早期切迹联合预测LO-FGR孕妇不良妊娠结局的曲线下面积为0.877(95% CI:0.802,0.951),敏感性为81.5%(95% CI:0.686,0.907)、特异性为91.7%(95% CI:0.775,0.982)。结论 彩色多普勒超声检测联合胎心监护及母体高危因素,能够准确地判断胎儿在宫内的生长发育情况及健康状况,及时发现潜在风险因素。

      • 0+1
    • 基于RDW-CV与胆红素/白蛋白比值的列线图模型预测新生儿高胆红素血症颅脑超声异常的研究

      2026, 36(5):89-96. DOI: 10.3969/j.issn.1005-8982.2026.05.014

      摘要 (44) HTML (9) PDF 784.31 K (17) 评论 (0) 收藏

      摘要:目的 探讨红细胞分布宽度变异系数(RDW-CV)联合胆红素/白蛋白(B/A)比值对新生儿高胆红素血症颅脑超声异常的预测价值。方法 回顾性分析2022年3月—2025年3月在宣城市人民医院及南充市中心医院接受治疗的420例孕周≥35周的高胆红素血症新生儿的病历资料,根据颅脑超声诊断脑损伤结果分为颅脑超声异常组(115例)与颅脑超声正常组(305例),筛除非胆红素相关异常患儿64例,颅脑超声异常组最终纳入51例。比较两组RDW-CV、B/A比值。采用多因素逐步Logistic回归模型分析新生儿高胆红素血症颅脑超声异常的危险因素。基于RDW-CV、B/A比值建立列线图预测模型,评估两者对新生儿高胆红素血症颅脑超声异常的预测价值。结果 两组性别、出生日龄、出生体重、平均红细胞血红蛋白含量、白细胞计数、中性粒细胞数、淋巴细胞数、单核细胞数、血小板数、血小板压积、分娩方式、血型、产妇产次及病因比较,差异均无统计学意义(P >0.05);颅脑超声异常组血小板分布宽度、总胆红素水平、B/A比值及RDW-CV均高于颅脑超声正常组(P <0.05)。总胆红素水平高[O^R=4.433(95% CI:1.778,11.051)]、B/A比值大[O^R=4.039(95% CI:1.621,10.069)]、RDW-CV高[O^R=4.267(95% CI:1.712,10.638)]、血小板分布宽[O^R=3.380(95% CI:1.349,8.467)]均为新生儿高胆红素血症颅脑超声异常的危险因素(P <0.05)。列线图预测模型的风险率为0.05~0.90,校正曲线趋近于理想曲线(P >0.05)。RDW-CV、B/A比值及二者联合预测新生儿高胆红素血症颅脑超声异常的曲线下面积(AUC)分别为0.721、0.704、0.826,二者联合时AUC更高。RDW-CV的敏感性为82.45%(95% CI:0.691,0.916),特异性为71.20%(95% CI:0.657,0.762);B/A比值的敏感性为78.41%(95% CI:0.647,0.887),特异性为73.80%(95% CI:0.685,0.786);二者联合预测的敏感性为88.21%(95% CI:0.761,0.956),特异性为79.66%(95% CI:0.747,0.840)。结论 RDW-CV联合B/A比值对新生儿高胆红素血症颅脑超声异常的预测效能显著优于任一单一指标,可作为早期识别高危患儿的更佳生物标志物组合。

      • 0+1
      • 1+1
    • 基于血栓弹力图和凝血功能指标构建输血原位肝移植患者临床转归的预测模型

      2026, 36(5):97-103. DOI: 10.3969/j.issn.1005-8982.2026.05.015

      摘要 (45) HTML (10) PDF 697.05 K (20) 评论 (0) 收藏

      摘要:目的 探讨血栓弹力图(TEG)和凝血功能指标对输血原位肝移植(OLT)患者临床转归(以术后严重并发症为主要观察终点)的影响。方法 回顾性分析2022年2月—2024年9月西安大兴医院和西安交通大学第一附属医院106例行OLT术患者的临床资料。依据9∶1定量将患者随机分为训练集(95例)与验证集(11例)。根据患者术后3个月内是否发生Clavien-Dindo分级≥3级的并发症,将其分为严重并发症组与无严重并发症组。比较两组患者基础资料。采用多因素一般Logistic回归模型分析OLT术患者术后发生严重并发症的影响因素。基于影响因素构建OLT术患者术后发生严重并发症的列线图预测模型并加以验证。结果 训练集中,95例行OLT术患者中,发生严重并发症22例,占23.2%。验证集中,11例行OLT术患者中,发生严重并发症2例,占18.2%。训练集中严重并发症组和无严重并发症组性别构成、肝移植病因、终末期肝病模型评分、年龄、体质量指数、血小板计数、白细胞计数、活化部分凝血活酶时间、凝血酶时间、凝血因子反应时间、凝血综合指数及术中出血量比较,差异均无统计学意义(P >0.05)。严重并发症组纤维原蛋白(FIB)、最大幅度(MA)、夹角均高于无严重并发症组(P <0.05),凝血酶原时间(PT)低于无严重并发症组(P <0.05)。FIB高、MA高、夹角高和PT低均为OLT术患者术后发生严重并发症的影响因素(P <0.05)。训练集模型预测OLT术患者术后发生严重并发症的最佳截断值为0.412,此阈值下对应的敏感性为88.5%(95% CI:0.781,0.989),特异性为85.0%(95% CI:0.746,0.954),曲线下面积(AUC)为0.885(95% CI:0.811,0.958)。验证集风险总分的最佳截断值为0.358,此阈值下对应的敏感性为85.3%(95% CI:0.768,0.938),特异性为86.7%(95% CI:0.782,0.952),AUC为0.879(95% CI:0.814,0.944)。结论 基于TEG和凝血功能指标建立的列线图预测模型对OLT术患者术后发生严重并发症具有良好的预测效能。

      • 0+1
      • 1+1
      • 2+1
      • 3+1
    • 基于客观指标的不同强度运动康复对稳定型冠心病患者PCI术后的影响分析

      2026, 36(5):104-110. DOI: 10.3969/j.issn.1005-8982.2026.05.016

      摘要 (50) HTML (12) PDF 680.98 K (23) 评论 (0) 收藏

      摘要:目的 探讨不同强度运动康复对稳定型冠心病患者经皮冠状动脉介入治疗(PCI)后的临床疗效。方法 选取2023年3月—2025年3月沧州市中心医院收治的107例PCI术后稳定型冠心病患者作为研究对象,采用随机数字表法分为对照组[54例,接受中等强度持续训练(MICT)]与观察组[53例,接受高强度间歇训练(HIIT)]。比较两组患者的运动功能指标[(峰值摄氧量(VO2 peak)、无氧阈值(AT)、运动持续时间(ED)及峰值功率(PP)]、肺功能与耐力指标[最大自主通气量(MVV)、用力肺活量(FVC)、第一秒用力呼气容积(FEV1)及6分钟步行试验距离(6MWT)]、心功能指标[左室射血分数(LVEF)、左室收缩末内径(LVESD)及左室舒张末内径(LVEDD)]、生化指标[氨基末端脑钠肽前体(NT-proBNP)、超敏C反应蛋白(hs-CRP)、内皮素-1(ET-1)]及特异性生活质量[西雅图心绞痛调查量表(Seattle Angina Questionnaire, SAQ)中的身体受限、心绞痛频率、心绞痛稳定性3项]。结果 观察组治疗前后VO2 peak、AT、ED及PP的差值均大于对照组(P <0.05)。观察组治疗前后MVV、FVC、FEV1及6MWT的差值均大于对照组(P <0.05)。观察组治疗前后LVEF、LVESD及LVEDD的差值均大于对照组(P <0.05)。观察组治疗前后NT-proBNP、hs-CRP及ET-1的差值均大于对照组(P <0.05)。观察组治疗前后身体受限、心绞痛频率、心绞痛稳定性评分的差值均大于对照组(P <0.05)。结论 HIIT较MICT能更显著改善PCI术后患者心肺功能、促进心脏逆向重构、降低神经内分泌激活及炎症水平,并有效提升生活质量,推荐临床推广应用。

当期目录


年第卷第

文章目录

过刊浏览

年份

刊期

点击排行

引用排行

下载排行